非强化性脑前脊索瘤伴弥散受限,酷似表皮样囊肿

Asian journal of neurosurgery Pub Date : 2024-10-10 eCollection Date: 2025-03-01 DOI:10.1055/s-0044-1791581
Bheru Dan Charan, Sushant Agarwal, Ekamjot Singh, Savyasachi Jain, Sumanta Das, Ajay Garg, Leve Joseph Devarajan Sebastian, Manmohan Singh
{"title":"非强化性脑前脊索瘤伴弥散受限,酷似表皮样囊肿","authors":"Bheru Dan Charan, Sushant Agarwal, Ekamjot Singh, Savyasachi Jain, Sumanta Das, Ajay Garg, Leve Joseph Devarajan Sebastian, Manmohan Singh","doi":"10.1055/s-0044-1791581","DOIUrl":null,"url":null,"abstract":"<p><p>Intradural prepontine chordoma is an extremely rare entity and depicts benign features with no recurrence and has a good prognosis as compared with bone endogenous chordoma. Radiologically, it may mimic an epidermoid cyst and present an imaging challenge. Here we present a case of a middle adolescent girl who presented with headache along with limb and facial weakness. A nonenhancing, diffusion-restricting, predominantly intradural cystic-appearing mass lesion was seen in the prepontine cistern. Initially, an epidermoid cyst was suspected, but histopathology revealed it to be a chordoma. Destruction of the clivus is important and chordoma should be included in differential diagnosis.</p>","PeriodicalId":94300,"journal":{"name":"Asian journal of neurosurgery","volume":"20 1","pages":"138-142"},"PeriodicalIF":0.0000,"publicationDate":"2024-10-10","publicationTypes":"Journal Article","fieldsOfStudy":null,"isOpenAccess":false,"openAccessPdf":"https://www.ncbi.nlm.nih.gov/pmc/articles/PMC11875700/pdf/","citationCount":"0","resultStr":"{\"title\":\"Nonenhancing Prepontine Chordoma with Diffusion Restriction Mimicking an Epidermoid Cyst.\",\"authors\":\"Bheru Dan Charan, Sushant Agarwal, Ekamjot Singh, Savyasachi Jain, Sumanta Das, Ajay Garg, Leve Joseph Devarajan Sebastian, Manmohan Singh\",\"doi\":\"10.1055/s-0044-1791581\",\"DOIUrl\":null,\"url\":null,\"abstract\":\"<p><p>Intradural prepontine chordoma is an extremely rare entity and depicts benign features with no recurrence and has a good prognosis as compared with bone endogenous chordoma. Radiologically, it may mimic an epidermoid cyst and present an imaging challenge. Here we present a case of a middle adolescent girl who presented with headache along with limb and facial weakness. A nonenhancing, diffusion-restricting, predominantly intradural cystic-appearing mass lesion was seen in the prepontine cistern. Initially, an epidermoid cyst was suspected, but histopathology revealed it to be a chordoma. Destruction of the clivus is important and chordoma should be included in differential diagnosis.</p>\",\"PeriodicalId\":94300,\"journal\":{\"name\":\"Asian journal of neurosurgery\",\"volume\":\"20 1\",\"pages\":\"138-142\"},\"PeriodicalIF\":0.0000,\"publicationDate\":\"2024-10-10\",\"publicationTypes\":\"Journal Article\",\"fieldsOfStudy\":null,\"isOpenAccess\":false,\"openAccessPdf\":\"https://www.ncbi.nlm.nih.gov/pmc/articles/PMC11875700/pdf/\",\"citationCount\":\"0\",\"resultStr\":null,\"platform\":\"Semanticscholar\",\"paperid\":null,\"PeriodicalName\":\"Asian journal of neurosurgery\",\"FirstCategoryId\":\"1085\",\"ListUrlMain\":\"https://doi.org/10.1055/s-0044-1791581\",\"RegionNum\":0,\"RegionCategory\":null,\"ArticlePicture\":[],\"TitleCN\":null,\"AbstractTextCN\":null,\"PMCID\":null,\"EPubDate\":\"2025/3/1 0:00:00\",\"PubModel\":\"eCollection\",\"JCR\":\"\",\"JCRName\":\"\",\"Score\":null,\"Total\":0}","platform":"Semanticscholar","paperid":null,"PeriodicalName":"Asian journal of neurosurgery","FirstCategoryId":"1085","ListUrlMain":"https://doi.org/10.1055/s-0044-1791581","RegionNum":0,"RegionCategory":null,"ArticlePicture":[],"TitleCN":null,"AbstractTextCN":null,"PMCID":null,"EPubDate":"2025/3/1 0:00:00","PubModel":"eCollection","JCR":"","JCRName":"","Score":null,"Total":0}
引用次数: 0

摘要

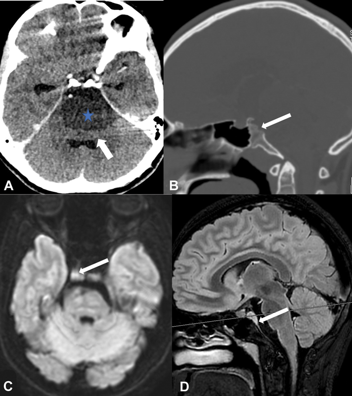
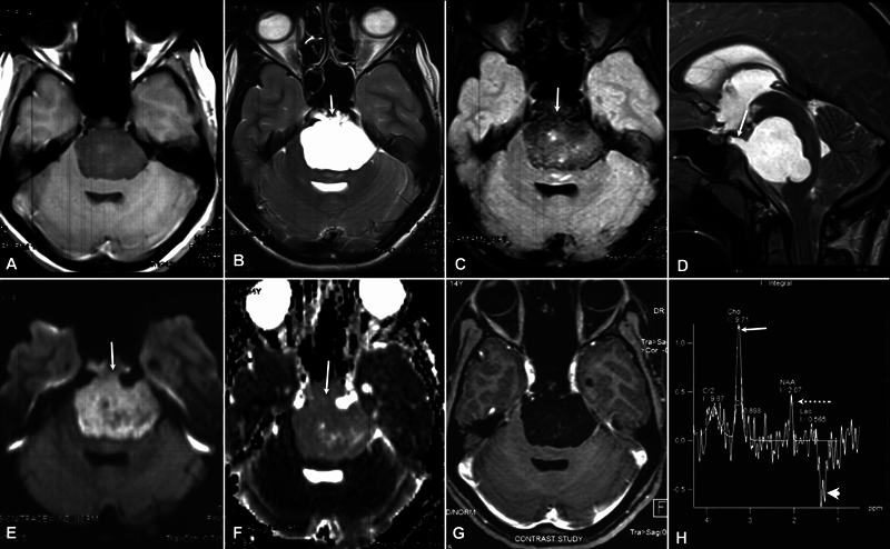
硬膜前脊索瘤是一种极为罕见的肿瘤,与骨内源性脊索瘤相比,它具有良性特征,不会复发,预后良好。放射学上,它可能与表皮样囊肿相似,给影像学带来挑战。在此,我们介绍一例因头痛、肢体和面部无力而就诊的中青春期女孩的病例。在大脑前蝶窦发现了一个不强化、弥散受限、以硬脑膜内囊性包块为主的肿块病变。起初怀疑是表皮样囊肿,但组织病理学检查发现是脊索瘤。蝶窦的破坏很重要,脊索瘤应纳入鉴别诊断。
本文章由计算机程序翻译,如有差异,请以英文原文为准。

Nonenhancing Prepontine Chordoma with Diffusion Restriction Mimicking an Epidermoid Cyst.

Nonenhancing Prepontine Chordoma with Diffusion Restriction Mimicking an Epidermoid Cyst.

Nonenhancing Prepontine Chordoma with Diffusion Restriction Mimicking an Epidermoid Cyst.

Nonenhancing Prepontine Chordoma with Diffusion Restriction Mimicking an Epidermoid Cyst.

Intradural prepontine chordoma is an extremely rare entity and depicts benign features with no recurrence and has a good prognosis as compared with bone endogenous chordoma. Radiologically, it may mimic an epidermoid cyst and present an imaging challenge. Here we present a case of a middle adolescent girl who presented with headache along with limb and facial weakness. A nonenhancing, diffusion-restricting, predominantly intradural cystic-appearing mass lesion was seen in the prepontine cistern. Initially, an epidermoid cyst was suspected, but histopathology revealed it to be a chordoma. Destruction of the clivus is important and chordoma should be included in differential diagnosis.

求助全文
通过发布文献求助,成功后即可免费获取论文全文。 去求助
来源期刊
自引率
0.00%
发文量
0
×
引用
GB/T 7714-2015
复制
MLA
复制
APA
复制
导出至
BibTeX EndNote RefMan NoteFirst NoteExpress
×
提示
您的信息不完整,为了账户安全,请先补充。
现在去补充
×
提示
您因"违规操作"
具体请查看互助需知
我知道了
×
提示
确定
请完成安全验证×
copy
已复制链接
快去分享给好友吧!
我知道了
右上角分享
点击右上角分享
0
联系我们:info@booksci.cn Book学术提供免费学术资源搜索服务,方便国内外学者检索中英文文献。致力于提供最便捷和优质的服务体验。 Copyright © 2023 布克学术 All rights reserved.
京ICP备2023020795号-1
ghs 京公网安备 11010802042870号
Book学术文献互助
Book学术文献互助群
群 号:604180095
Book学术官方微信