伴有中枢神经系统受累的先天性管状聚集体肌病:一个病例的描述。

Guillaume Baille, Gianmarco Severa, Camille Verebi, Robert-Yves Carlier, Edoardo Malfatti
{"title":"伴有中枢神经系统受累的先天性管状聚集体肌病:一个病例的描述。","authors":"Guillaume Baille, Gianmarco Severa, Camille Verebi, Robert-Yves Carlier, Edoardo Malfatti","doi":"10.36185/2532-1900-675","DOIUrl":null,"url":null,"abstract":"<p><p>Tubular aggregate myopathy is a rare neuromuscular condition associated with the presence of myofibers protein accumulations, in the form of dense tubular aggregates. Clinically it is characterized by proximal muscular weakness, exercise-induced cramps, myalgias, and ocular features such as ophthalmoplegia and pupillary abnormalities. The involvement of the central nervous system is rare and not completely elucidated. Variants in <i>STIM1</i>, <i>ORAI1, CASQ1</i> genes are frequently associated with tubular aggregate myopathy. Here we describe a 35-year-old man who presented neonatal hypotonia, motor delay, seizures, and sensorineural hearing loss. During a SARS-CoV-2 infection at the age of 35, he developed myoclonus, encephalopathy, and marked muscular weakness. A deltoid muscle biopsy revealed the presence of tubular aggregates. Genetic analyses including a Whole Genome sequencing failed to reveal a genetic cause. In conclusion, we enlarge the clinical spectrum of tubular aggregate myopathy associated with central nervous system involvement.</p>","PeriodicalId":93851,"journal":{"name":"Acta myologica : myopathies and cardiomyopathies : official journal of the Mediterranean Society of Myology","volume":"43 4","pages":"130-133"},"PeriodicalIF":0.0000,"publicationDate":"2024-12-01","publicationTypes":"Journal Article","fieldsOfStudy":null,"isOpenAccess":false,"openAccessPdf":"https://www.ncbi.nlm.nih.gov/pmc/articles/PMC11978424/pdf/","citationCount":"0","resultStr":"{\"title\":\"Congenital tubular aggregates myopathy associated with central nervous system involvement: description of a case.\",\"authors\":\"Guillaume Baille, Gianmarco Severa, Camille Verebi, Robert-Yves Carlier, Edoardo Malfatti\",\"doi\":\"10.36185/2532-1900-675\",\"DOIUrl\":null,\"url\":null,\"abstract\":\"<p><p>Tubular aggregate myopathy is a rare neuromuscular condition associated with the presence of myofibers protein accumulations, in the form of dense tubular aggregates. Clinically it is characterized by proximal muscular weakness, exercise-induced cramps, myalgias, and ocular features such as ophthalmoplegia and pupillary abnormalities. The involvement of the central nervous system is rare and not completely elucidated. Variants in <i>STIM1</i>, <i>ORAI1, CASQ1</i> genes are frequently associated with tubular aggregate myopathy. Here we describe a 35-year-old man who presented neonatal hypotonia, motor delay, seizures, and sensorineural hearing loss. During a SARS-CoV-2 infection at the age of 35, he developed myoclonus, encephalopathy, and marked muscular weakness. A deltoid muscle biopsy revealed the presence of tubular aggregates. Genetic analyses including a Whole Genome sequencing failed to reveal a genetic cause. In conclusion, we enlarge the clinical spectrum of tubular aggregate myopathy associated with central nervous system involvement.</p>\",\"PeriodicalId\":93851,\"journal\":{\"name\":\"Acta myologica : myopathies and cardiomyopathies : official journal of the Mediterranean Society of Myology\",\"volume\":\"43 4\",\"pages\":\"130-133\"},\"PeriodicalIF\":0.0000,\"publicationDate\":\"2024-12-01\",\"publicationTypes\":\"Journal Article\",\"fieldsOfStudy\":null,\"isOpenAccess\":false,\"openAccessPdf\":\"https://www.ncbi.nlm.nih.gov/pmc/articles/PMC11978424/pdf/\",\"citationCount\":\"0\",\"resultStr\":null,\"platform\":\"Semanticscholar\",\"paperid\":null,\"PeriodicalName\":\"Acta myologica : myopathies and cardiomyopathies : official journal of the Mediterranean Society of Myology\",\"FirstCategoryId\":\"1085\",\"ListUrlMain\":\"https://doi.org/10.36185/2532-1900-675\",\"RegionNum\":0,\"RegionCategory\":null,\"ArticlePicture\":[],\"TitleCN\":null,\"AbstractTextCN\":null,\"PMCID\":null,\"EPubDate\":\"\",\"PubModel\":\"\",\"JCR\":\"\",\"JCRName\":\"\",\"Score\":null,\"Total\":0}","platform":"Semanticscholar","paperid":null,"PeriodicalName":"Acta myologica : myopathies and cardiomyopathies : official journal of the Mediterranean Society of Myology","FirstCategoryId":"1085","ListUrlMain":"https://doi.org/10.36185/2532-1900-675","RegionNum":0,"RegionCategory":null,"ArticlePicture":[],"TitleCN":null,"AbstractTextCN":null,"PMCID":null,"EPubDate":"","PubModel":"","JCR":"","JCRName":"","Score":null,"Total":0}
引用次数: 0

摘要

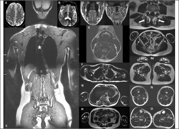
管状聚集体肌病是一种罕见的神经肌肉疾病,与肌纤维蛋白以致密管状聚集体的形式积聚有关。临床表现为近端肌无力、运动性痉挛、肌痛以及眼麻痹和瞳孔异常等眼部特征。中枢神经系统的受累是罕见的,并没有完全阐明。STIM1、ORAI1、CASQ1基因的变异常与小管聚集性肌病相关。在这里,我们描述了一个35岁的男性,他表现出新生儿张力低下,运动迟缓,癫痫发作和感觉神经性听力损失。在35岁感染SARS-CoV-2期间,他出现了肌阵挛、脑病和明显的肌肉无力。三角肌活检显示存在管状聚集体。包括全基因组测序在内的遗传分析未能揭示遗传原因。总之,我们扩大了与中枢神经系统受累相关的小管聚集性肌病的临床谱。
本文章由计算机程序翻译,如有差异,请以英文原文为准。

Congenital tubular aggregates myopathy associated with central nervous system involvement: description of a case.

Congenital tubular aggregates myopathy associated with central nervous system involvement: description of a case.

Congenital tubular aggregates myopathy associated with central nervous system involvement: description of a case.

Congenital tubular aggregates myopathy associated with central nervous system involvement: description of a case.

Tubular aggregate myopathy is a rare neuromuscular condition associated with the presence of myofibers protein accumulations, in the form of dense tubular aggregates. Clinically it is characterized by proximal muscular weakness, exercise-induced cramps, myalgias, and ocular features such as ophthalmoplegia and pupillary abnormalities. The involvement of the central nervous system is rare and not completely elucidated. Variants in STIM1, ORAI1, CASQ1 genes are frequently associated with tubular aggregate myopathy. Here we describe a 35-year-old man who presented neonatal hypotonia, motor delay, seizures, and sensorineural hearing loss. During a SARS-CoV-2 infection at the age of 35, he developed myoclonus, encephalopathy, and marked muscular weakness. A deltoid muscle biopsy revealed the presence of tubular aggregates. Genetic analyses including a Whole Genome sequencing failed to reveal a genetic cause. In conclusion, we enlarge the clinical spectrum of tubular aggregate myopathy associated with central nervous system involvement.

求助全文
通过发布文献求助,成功后即可免费获取论文全文。 去求助
来源期刊
自引率
0.00%
发文量
0
×
引用
GB/T 7714-2015
复制
MLA
复制
APA
复制
导出至
BibTeX EndNote RefMan NoteFirst NoteExpress
×
提示
您的信息不完整,为了账户安全,请先补充。
现在去补充
×
提示
您因"违规操作"
具体请查看互助需知
我知道了
×
提示
确定
请完成安全验证×
copy
已复制链接
快去分享给好友吧!
我知道了
右上角分享
点击右上角分享
0
联系我们:info@booksci.cn Book学术提供免费学术资源搜索服务,方便国内外学者检索中英文文献。致力于提供最便捷和优质的服务体验。 Copyright © 2023 布克学术 All rights reserved.
京ICP备2023020795号-1
ghs 京公网安备 11010802042870号
Book学术文献互助
Book学术文献互助群
群 号:604180095
Book学术官方微信