常染色体隐性贝氏肌病严重进行性呼吸受累需要呼吸机支持。一份病例报告。

Anna Annunziata, Gerardo Langella, Rosa Cauteruccio, Luigi Fiorentino, Giuseppe Fiorentino
{"title":"常染色体隐性贝氏肌病严重进行性呼吸受累需要呼吸机支持。一份病例报告。","authors":"Anna Annunziata, Gerardo Langella, Rosa Cauteruccio, Luigi Fiorentino, Giuseppe Fiorentino","doi":"10.36185/2532-1900-654","DOIUrl":null,"url":null,"abstract":"<p><p>Bethlem myopathy (BM) was first described in 1976 by Bethlem and van Wijngaarden in patients who presented a myopathy characterized by slowly progressive muscle weakness and typical flexion contractures of the long finger flexors, wrists, elbows, pectoralis muscles and ankles. Patients with Bethlem myopathy usually become symptomatic during the first or second decade of life. The condition is in most cases slowly progressive and more than two thirds of patients over 50 years of age may require aids for ambulation. Inheritance is usually autosomal dominant. However, patients with autosomal recessive (AR) BM have been recently reported in Literature. Cardiac involvement is usually absent. Respiratory muscle involvement necessitating nocturnal respiratory support is rarely reported in association with severe weakness later in life.</p><p><p>We describe a further case of ARBM in a 52-year-old man who presented a slowly progressive myopathy but developed a severe progressive respiratory involvement requiring ventilatory support.</p>","PeriodicalId":93851,"journal":{"name":"Acta myologica : myopathies and cardiomyopathies : official journal of the Mediterranean Society of Myology","volume":"43 4","pages":"149-152"},"PeriodicalIF":0.0000,"publicationDate":"2024-12-01","publicationTypes":"Journal Article","fieldsOfStudy":null,"isOpenAccess":false,"openAccessPdf":"https://www.ncbi.nlm.nih.gov/pmc/articles/PMC11978421/pdf/","citationCount":"0","resultStr":"{\"title\":\"Severe progressive respiratory involvement requiring ventilator support in autosomal recessive Bethlem myopathy. A case report.\",\"authors\":\"Anna Annunziata, Gerardo Langella, Rosa Cauteruccio, Luigi Fiorentino, Giuseppe Fiorentino\",\"doi\":\"10.36185/2532-1900-654\",\"DOIUrl\":null,\"url\":null,\"abstract\":\"<p><p>Bethlem myopathy (BM) was first described in 1976 by Bethlem and van Wijngaarden in patients who presented a myopathy characterized by slowly progressive muscle weakness and typical flexion contractures of the long finger flexors, wrists, elbows, pectoralis muscles and ankles. Patients with Bethlem myopathy usually become symptomatic during the first or second decade of life. The condition is in most cases slowly progressive and more than two thirds of patients over 50 years of age may require aids for ambulation. Inheritance is usually autosomal dominant. However, patients with autosomal recessive (AR) BM have been recently reported in Literature. Cardiac involvement is usually absent. Respiratory muscle involvement necessitating nocturnal respiratory support is rarely reported in association with severe weakness later in life.</p><p><p>We describe a further case of ARBM in a 52-year-old man who presented a slowly progressive myopathy but developed a severe progressive respiratory involvement requiring ventilatory support.</p>\",\"PeriodicalId\":93851,\"journal\":{\"name\":\"Acta myologica : myopathies and cardiomyopathies : official journal of the Mediterranean Society of Myology\",\"volume\":\"43 4\",\"pages\":\"149-152\"},\"PeriodicalIF\":0.0000,\"publicationDate\":\"2024-12-01\",\"publicationTypes\":\"Journal Article\",\"fieldsOfStudy\":null,\"isOpenAccess\":false,\"openAccessPdf\":\"https://www.ncbi.nlm.nih.gov/pmc/articles/PMC11978421/pdf/\",\"citationCount\":\"0\",\"resultStr\":null,\"platform\":\"Semanticscholar\",\"paperid\":null,\"PeriodicalName\":\"Acta myologica : myopathies and cardiomyopathies : official journal of the Mediterranean Society of Myology\",\"FirstCategoryId\":\"1085\",\"ListUrlMain\":\"https://doi.org/10.36185/2532-1900-654\",\"RegionNum\":0,\"RegionCategory\":null,\"ArticlePicture\":[],\"TitleCN\":null,\"AbstractTextCN\":null,\"PMCID\":null,\"EPubDate\":\"\",\"PubModel\":\"\",\"JCR\":\"\",\"JCRName\":\"\",\"Score\":null,\"Total\":0}","platform":"Semanticscholar","paperid":null,"PeriodicalName":"Acta myologica : myopathies and cardiomyopathies : official journal of the Mediterranean Society of Myology","FirstCategoryId":"1085","ListUrlMain":"https://doi.org/10.36185/2532-1900-654","RegionNum":0,"RegionCategory":null,"ArticlePicture":[],"TitleCN":null,"AbstractTextCN":null,"PMCID":null,"EPubDate":"","PubModel":"","JCR":"","JCRName":"","Score":null,"Total":0}
引用次数: 0

摘要

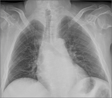
Bethlem肌病(BM)于1976年由Bethlem和van Wijngaarden首次描述,患者表现为缓慢进行性肌肉无力和典型的长指屈肌、手腕、肘部、胸肌和脚踝屈曲挛缩。Bethlem肌病患者通常在生命的第一或第二个十年出现症状。这种情况在大多数情况下进展缓慢,超过三分之二的50岁以上的患者可能需要辅助行走。遗传通常为常染色体显性。然而,最近文献报道了常染色体隐性(AR) BM患者。通常不累及心脏。呼吸肌受累,需要夜间呼吸支持,很少报道与严重无力在以后的生活。我们描述了另一个52岁男性的ARBM病例,他表现为缓慢进行性肌病,但发展为严重的进行性呼吸受累,需要通气支持。
本文章由计算机程序翻译,如有差异,请以英文原文为准。

Severe progressive respiratory involvement requiring ventilator support in autosomal recessive Bethlem myopathy. A case report.

Severe progressive respiratory involvement requiring ventilator support in autosomal recessive Bethlem myopathy. A case report.

Severe progressive respiratory involvement requiring ventilator support in autosomal recessive Bethlem myopathy. A case report.

Severe progressive respiratory involvement requiring ventilator support in autosomal recessive Bethlem myopathy. A case report.

Bethlem myopathy (BM) was first described in 1976 by Bethlem and van Wijngaarden in patients who presented a myopathy characterized by slowly progressive muscle weakness and typical flexion contractures of the long finger flexors, wrists, elbows, pectoralis muscles and ankles. Patients with Bethlem myopathy usually become symptomatic during the first or second decade of life. The condition is in most cases slowly progressive and more than two thirds of patients over 50 years of age may require aids for ambulation. Inheritance is usually autosomal dominant. However, patients with autosomal recessive (AR) BM have been recently reported in Literature. Cardiac involvement is usually absent. Respiratory muscle involvement necessitating nocturnal respiratory support is rarely reported in association with severe weakness later in life.

We describe a further case of ARBM in a 52-year-old man who presented a slowly progressive myopathy but developed a severe progressive respiratory involvement requiring ventilatory support.

求助全文
通过发布文献求助,成功后即可免费获取论文全文。 去求助
来源期刊
自引率
0.00%
发文量
0
×
引用
GB/T 7714-2015
复制
MLA
复制
APA
复制
导出至
BibTeX EndNote RefMan NoteFirst NoteExpress
×
提示
您的信息不完整,为了账户安全,请先补充。
现在去补充
×
提示
您因"违规操作"
具体请查看互助需知
我知道了
×
提示
确定
请完成安全验证×
copy
已复制链接
快去分享给好友吧!
我知道了
右上角分享
点击右上角分享
0
联系我们:info@booksci.cn Book学术提供免费学术资源搜索服务,方便国内外学者检索中英文文献。致力于提供最便捷和优质的服务体验。 Copyright © 2023 布克学术 All rights reserved.
京ICP备2023020795号-1
ghs 京公网安备 11010802042870号
Book学术文献互助
Book学术文献互助群
群 号:604180095
Book学术官方微信