克雅氏病与边缘脑炎相似,是导致神经系统迅速恶化的一种疾病。

IF 2.4 Q3 CLINICAL NEUROLOGY
BMJ Neurology Open Pub Date : 2025-02-24 eCollection Date: 2025-01-01 DOI:10.1136/bmjno-2024-000891
Vinod Rajasingam, Donald P Peter Craig, Yun Hwang, Laveniya Satgunaseelan, Michael Buckland, Rodrigo Tomazini Martins
{"title":"克雅氏病与边缘脑炎相似,是导致神经系统迅速恶化的一种疾病。","authors":"Vinod Rajasingam, Donald P Peter Craig, Yun Hwang, Laveniya Satgunaseelan, Michael Buckland, Rodrigo Tomazini Martins","doi":"10.1136/bmjno-2024-000891","DOIUrl":null,"url":null,"abstract":"<p><strong>Background: </strong>A broad range of inflammatory and neurodegenerative conditions manifest with progressive cognitive and behavioural changes. A diagnostic challenge is the differentiation of limbic encephalitis (LE) from Creutzfeldt-Jakob disease (CJD). LE and CJD are distinct neurological conditions with distinct variations in their clinical course, with overlapping clinical presentations. LE can be subdivided into autoimmune paraneoplastic and non-paraneoplastic subtypes, under the umbrella of autoimmune LE. CJD is the most prevalent form of human prion disease and the subtype sporadic CJD (sCJD) the most common.</p><p><strong>Case presentation: </strong>This case study presents a 68-year-old man with a 6-week history of progressive cognitive decline and behavioural changes, ultimately leading to a dire clinical state. The initial symptoms included confusion, intermittent headaches and episodes of aggression towards his wife, preceded by 2 weeks of visual hallucinations. On examination, the patient displayed an ataxic gait, with signs of cerebellar dysfunction. The clinical course evolved, marked by myoclonic jerks, culminating in a decline in both his Glasgow Coma Scale (GCS) score and overall clinical status.</p><p><strong>Conclusion: </strong>The patient's rapidly deteriorating condition over 6 weeks was thought to be too rapid for sCJD, and the patient was treated initially as an LS. However, post-mortem biopsy findings confirmed CJD. Asymmetric periodic discharges on EEG, asymmetric neuroimaging changes and the manifestation of psychiatric symptoms should not preclude the diagnosis of sCJD. This case highlights the importance of recognising the potential rapid deterioration of sCJD, which would alert clinicians to earlier diagnosis and management.</p>","PeriodicalId":52754,"journal":{"name":"BMJ Neurology Open","volume":"7 1","pages":"e000891"},"PeriodicalIF":2.4000,"publicationDate":"2025-02-24","publicationTypes":"Journal Article","fieldsOfStudy":null,"isOpenAccess":false,"openAccessPdf":"https://www.ncbi.nlm.nih.gov/pmc/articles/PMC11865761/pdf/","citationCount":"0","resultStr":"{\"title\":\"Creutzfeldt-Jakob disease mimicking limbic encephalitis as a cause of rapid neurological deterioration.\",\"authors\":\"Vinod Rajasingam, Donald P Peter Craig, Yun Hwang, Laveniya Satgunaseelan, Michael Buckland, Rodrigo Tomazini Martins\",\"doi\":\"10.1136/bmjno-2024-000891\",\"DOIUrl\":null,\"url\":null,\"abstract\":\"<p><strong>Background: </strong>A broad range of inflammatory and neurodegenerative conditions manifest with progressive cognitive and behavioural changes. A diagnostic challenge is the differentiation of limbic encephalitis (LE) from Creutzfeldt-Jakob disease (CJD). LE and CJD are distinct neurological conditions with distinct variations in their clinical course, with overlapping clinical presentations. LE can be subdivided into autoimmune paraneoplastic and non-paraneoplastic subtypes, under the umbrella of autoimmune LE. CJD is the most prevalent form of human prion disease and the subtype sporadic CJD (sCJD) the most common.</p><p><strong>Case presentation: </strong>This case study presents a 68-year-old man with a 6-week history of progressive cognitive decline and behavioural changes, ultimately leading to a dire clinical state. The initial symptoms included confusion, intermittent headaches and episodes of aggression towards his wife, preceded by 2 weeks of visual hallucinations. On examination, the patient displayed an ataxic gait, with signs of cerebellar dysfunction. The clinical course evolved, marked by myoclonic jerks, culminating in a decline in both his Glasgow Coma Scale (GCS) score and overall clinical status.</p><p><strong>Conclusion: </strong>The patient's rapidly deteriorating condition over 6 weeks was thought to be too rapid for sCJD, and the patient was treated initially as an LS. However, post-mortem biopsy findings confirmed CJD. Asymmetric periodic discharges on EEG, asymmetric neuroimaging changes and the manifestation of psychiatric symptoms should not preclude the diagnosis of sCJD. This case highlights the importance of recognising the potential rapid deterioration of sCJD, which would alert clinicians to earlier diagnosis and management.</p>\",\"PeriodicalId\":52754,\"journal\":{\"name\":\"BMJ Neurology Open\",\"volume\":\"7 1\",\"pages\":\"e000891\"},\"PeriodicalIF\":2.4000,\"publicationDate\":\"2025-02-24\",\"publicationTypes\":\"Journal Article\",\"fieldsOfStudy\":null,\"isOpenAccess\":false,\"openAccessPdf\":\"https://www.ncbi.nlm.nih.gov/pmc/articles/PMC11865761/pdf/\",\"citationCount\":\"0\",\"resultStr\":null,\"platform\":\"Semanticscholar\",\"paperid\":null,\"PeriodicalName\":\"BMJ Neurology Open\",\"FirstCategoryId\":\"1085\",\"ListUrlMain\":\"https://doi.org/10.1136/bmjno-2024-000891\",\"RegionNum\":0,\"RegionCategory\":null,\"ArticlePicture\":[],\"TitleCN\":null,\"AbstractTextCN\":null,\"PMCID\":null,\"EPubDate\":\"2025/1/1 0:00:00\",\"PubModel\":\"eCollection\",\"JCR\":\"Q3\",\"JCRName\":\"CLINICAL NEUROLOGY\",\"Score\":null,\"Total\":0}","platform":"Semanticscholar","paperid":null,"PeriodicalName":"BMJ Neurology Open","FirstCategoryId":"1085","ListUrlMain":"https://doi.org/10.1136/bmjno-2024-000891","RegionNum":0,"RegionCategory":null,"ArticlePicture":[],"TitleCN":null,"AbstractTextCN":null,"PMCID":null,"EPubDate":"2025/1/1 0:00:00","PubModel":"eCollection","JCR":"Q3","JCRName":"CLINICAL NEUROLOGY","Score":null,"Total":0}
引用次数: 0

摘要

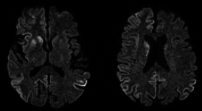
背景:广泛的炎症和神经退行性疾病表现为进行性认知和行为改变。边缘脑炎(LE)与克雅氏病(CJD)的鉴别是一个诊断挑战。LE和CJD是不同的神经系统疾病,在其临床过程中有不同的变化,具有重叠的临床表现。LE可细分为自身免疫性副肿瘤亚型和非副肿瘤亚型,归为自身免疫性LE。克雅氏病是人类朊病毒疾病中最常见的一种,其中散发型克雅氏病(sCJD)最为常见。病例介绍:本病例研究报告了一名68岁男性,有6周进行性认知能力下降和行为改变的病史,最终导致了可怕的临床状态。最初的症状包括精神错乱、间歇性头痛和对妻子的攻击性发作,之前有2周的视觉幻觉。在检查中,患者表现出共济失调的步态,伴有小脑功能障碍的迹象。临床过程不断发展,以肌阵挛性抽搐为特征,最终导致格拉斯哥昏迷评分(GCS)评分和总体临床状态下降。结论:患者病情在6周内迅速恶化,对于sCJD来说,这一速度太快了,患者最初被当作LS治疗。然而,尸检结果证实是CJD。脑电图不对称周期性放电、不对称神经影像学改变和精神症状的表现不应排除sCJD的诊断。该病例强调了认识到sCJD潜在的快速恶化的重要性,这将提醒临床医生早期诊断和治疗。
本文章由计算机程序翻译,如有差异,请以英文原文为准。

Creutzfeldt-Jakob disease mimicking limbic encephalitis as a cause of rapid neurological deterioration.

Creutzfeldt-Jakob disease mimicking limbic encephalitis as a cause of rapid neurological deterioration.

Background: A broad range of inflammatory and neurodegenerative conditions manifest with progressive cognitive and behavioural changes. A diagnostic challenge is the differentiation of limbic encephalitis (LE) from Creutzfeldt-Jakob disease (CJD). LE and CJD are distinct neurological conditions with distinct variations in their clinical course, with overlapping clinical presentations. LE can be subdivided into autoimmune paraneoplastic and non-paraneoplastic subtypes, under the umbrella of autoimmune LE. CJD is the most prevalent form of human prion disease and the subtype sporadic CJD (sCJD) the most common.

Case presentation: This case study presents a 68-year-old man with a 6-week history of progressive cognitive decline and behavioural changes, ultimately leading to a dire clinical state. The initial symptoms included confusion, intermittent headaches and episodes of aggression towards his wife, preceded by 2 weeks of visual hallucinations. On examination, the patient displayed an ataxic gait, with signs of cerebellar dysfunction. The clinical course evolved, marked by myoclonic jerks, culminating in a decline in both his Glasgow Coma Scale (GCS) score and overall clinical status.

Conclusion: The patient's rapidly deteriorating condition over 6 weeks was thought to be too rapid for sCJD, and the patient was treated initially as an LS. However, post-mortem biopsy findings confirmed CJD. Asymmetric periodic discharges on EEG, asymmetric neuroimaging changes and the manifestation of psychiatric symptoms should not preclude the diagnosis of sCJD. This case highlights the importance of recognising the potential rapid deterioration of sCJD, which would alert clinicians to earlier diagnosis and management.

求助全文
通过发布文献求助,成功后即可免费获取论文全文。 去求助
来源期刊
BMJ Neurology Open
BMJ Neurology Open Medicine-Neurology (clinical)
CiteScore
3.20
自引率
3.70%
发文量
46
审稿时长
13 weeks
×
引用
GB/T 7714-2015
复制
MLA
复制
APA
复制
导出至
BibTeX EndNote RefMan NoteFirst NoteExpress
×
提示
您的信息不完整,为了账户安全,请先补充。
现在去补充
×
提示
您因"违规操作"
具体请查看互助需知
我知道了
×
提示
确定
请完成安全验证×
copy
已复制链接
快去分享给好友吧!
我知道了
右上角分享
点击右上角分享
0
联系我们:info@booksci.cn Book学术提供免费学术资源搜索服务,方便国内外学者检索中英文文献。致力于提供最便捷和优质的服务体验。 Copyright © 2023 布克学术 All rights reserved.
京ICP备2023020795号-1
ghs 京公网安备 11010802042870号
Book学术文献互助
Book学术文献互助群
群 号:604180095
Book学术官方微信