无水脑畸形:探讨22例CT表现在诊断中的作用。

IF 0.8 4区 医学 Q4 PUBLIC, ENVIRONMENTAL & OCCUPATIONAL HEALTH
Malawi Medical Journal Pub Date : 2025-02-04 eCollection Date: 2025-02-01 DOI:10.4314/mmj.v36i5.4
Hui Zhang, Patrick Manda, Tianze Sun, Blessed Kondowe, Dong Wang, Jin Shang
{"title":"无水脑畸形:探讨22例CT表现在诊断中的作用。","authors":"Hui Zhang, Patrick Manda, Tianze Sun, Blessed Kondowe, Dong Wang, Jin Shang","doi":"10.4314/mmj.v36i5.4","DOIUrl":null,"url":null,"abstract":"<p><strong>Objective: </strong>To delve into the clinical and CT imaging manifestations of hydranencephaly, a rare congenital post-neurulation disorder occurring during the second trimester, characterized by the destruction of cerebral hemispheres and cranial cavity filled with cerebrospinal fluid (CSF). This research aims to enhance our understanding of hydranencephaly and establish a standard for its imaging diagnosis.</p><p><strong>Methods: </strong>A retrospective analysis was conducted using the brain CT images and clinical data of 26 pediatric patients diagnosed with hydranencephaly.</p><p><strong>Results: </strong>At birth, the primitive reflexes were generally preserved in these infants, who exhibited a spectrum of symptoms including progressive enlargement of head circumference, epilepsy, cerebral palsy, intellectual disability, developmental delay, lethargy, convulsive spasms, and varying degrees of visual and auditory impairment. These infants may also present with other congenital malformations or abnormalities. The primary CT imaging findings revealed complete or near-complete absence of bilateral cerebral hemispheres, replaced by CSF. Specifically, there were 5 cases of complete absence of cerebral hemispheres, with minimal residual brain tissue observed in 17 cases. Bilateral ventricles were approximately normal in 3 cases and completely absent in 19 cases. Falx cerebri was incomplete or/and displaced in 12 cases, and 3 cases were concurrent with Dandy-Walker syndrome.</p><p><strong>Conclusion: </strong>Hydranencephaly is a congenital disease characterized by destruction of the cerebral hemispheres. CT scan can provide accurate and reliable imaging evidence for the diagnosis of hydranencephaly.</p>","PeriodicalId":18185,"journal":{"name":"Malawi Medical Journal","volume":"36 5","pages":"313-317"},"PeriodicalIF":0.8000,"publicationDate":"2025-02-04","publicationTypes":"Journal Article","fieldsOfStudy":null,"isOpenAccess":false,"openAccessPdf":"https://www.ncbi.nlm.nih.gov/pmc/articles/PMC11862845/pdf/","citationCount":"0","resultStr":"{\"title\":\"Hydranencephaly: exploring the role of CT features in the diagnosis of 22 cases.\",\"authors\":\"Hui Zhang, Patrick Manda, Tianze Sun, Blessed Kondowe, Dong Wang, Jin Shang\",\"doi\":\"10.4314/mmj.v36i5.4\",\"DOIUrl\":null,\"url\":null,\"abstract\":\"<p><strong>Objective: </strong>To delve into the clinical and CT imaging manifestations of hydranencephaly, a rare congenital post-neurulation disorder occurring during the second trimester, characterized by the destruction of cerebral hemispheres and cranial cavity filled with cerebrospinal fluid (CSF). This research aims to enhance our understanding of hydranencephaly and establish a standard for its imaging diagnosis.</p><p><strong>Methods: </strong>A retrospective analysis was conducted using the brain CT images and clinical data of 26 pediatric patients diagnosed with hydranencephaly.</p><p><strong>Results: </strong>At birth, the primitive reflexes were generally preserved in these infants, who exhibited a spectrum of symptoms including progressive enlargement of head circumference, epilepsy, cerebral palsy, intellectual disability, developmental delay, lethargy, convulsive spasms, and varying degrees of visual and auditory impairment. These infants may also present with other congenital malformations or abnormalities. The primary CT imaging findings revealed complete or near-complete absence of bilateral cerebral hemispheres, replaced by CSF. Specifically, there were 5 cases of complete absence of cerebral hemispheres, with minimal residual brain tissue observed in 17 cases. Bilateral ventricles were approximately normal in 3 cases and completely absent in 19 cases. Falx cerebri was incomplete or/and displaced in 12 cases, and 3 cases were concurrent with Dandy-Walker syndrome.</p><p><strong>Conclusion: </strong>Hydranencephaly is a congenital disease characterized by destruction of the cerebral hemispheres. CT scan can provide accurate and reliable imaging evidence for the diagnosis of hydranencephaly.</p>\",\"PeriodicalId\":18185,\"journal\":{\"name\":\"Malawi Medical Journal\",\"volume\":\"36 5\",\"pages\":\"313-317\"},\"PeriodicalIF\":0.8000,\"publicationDate\":\"2025-02-04\",\"publicationTypes\":\"Journal Article\",\"fieldsOfStudy\":null,\"isOpenAccess\":false,\"openAccessPdf\":\"https://www.ncbi.nlm.nih.gov/pmc/articles/PMC11862845/pdf/\",\"citationCount\":\"0\",\"resultStr\":null,\"platform\":\"Semanticscholar\",\"paperid\":null,\"PeriodicalName\":\"Malawi Medical Journal\",\"FirstCategoryId\":\"3\",\"ListUrlMain\":\"https://doi.org/10.4314/mmj.v36i5.4\",\"RegionNum\":4,\"RegionCategory\":\"医学\",\"ArticlePicture\":[],\"TitleCN\":null,\"AbstractTextCN\":null,\"PMCID\":null,\"EPubDate\":\"2025/2/1 0:00:00\",\"PubModel\":\"eCollection\",\"JCR\":\"Q4\",\"JCRName\":\"PUBLIC, ENVIRONMENTAL & OCCUPATIONAL HEALTH\",\"Score\":null,\"Total\":0}","platform":"Semanticscholar","paperid":null,"PeriodicalName":"Malawi Medical Journal","FirstCategoryId":"3","ListUrlMain":"https://doi.org/10.4314/mmj.v36i5.4","RegionNum":4,"RegionCategory":"医学","ArticlePicture":[],"TitleCN":null,"AbstractTextCN":null,"PMCID":null,"EPubDate":"2025/2/1 0:00:00","PubModel":"eCollection","JCR":"Q4","JCRName":"PUBLIC, ENVIRONMENTAL & OCCUPATIONAL HEALTH","Score":null,"Total":0}
引用次数: 0

摘要

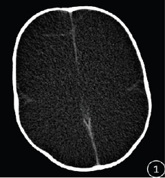
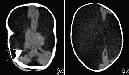
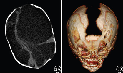
目的:探讨水无脑畸形的临床及CT表现。水无脑畸形是一种罕见的发生于妊娠中期的先天性神经性疾病,以大脑半球破坏及颅内充满脑脊液(CSF)为特征。本研究旨在提高我们对无脑积水的认识,并为其影像学诊断建立标准。方法:回顾性分析26例确诊为水无脑畸形的患儿的脑部CT图像及临床资料。结果:出生时,这些婴儿普遍保留了原始反射,他们表现出一系列症状,包括头围进行性增大、癫痫、脑瘫、智力残疾、发育迟缓、嗜睡、抽搐痉挛和不同程度的视觉和听觉障碍。这些婴儿也可能出现其他先天性畸形或异常。初步CT影像显示双侧大脑半球完全或接近完全缺失,取而代之的是脑脊液。具体来说,有5例大脑半球完全缺失,17例观察到少量脑组织残留。3例双侧脑室基本正常,19例双侧脑室完全缺失。12例脑镰不完整或/和移位,3例合并Dandy-Walker综合征。结论:无水脑畸形是一种以大脑半球破坏为特征的先天性疾病。CT扫描可为无水脑畸形的诊断提供准确可靠的影像学依据。
本文章由计算机程序翻译,如有差异,请以英文原文为准。

Hydranencephaly: exploring the role of CT features in the diagnosis of 22 cases.

Hydranencephaly: exploring the role of CT features in the diagnosis of 22 cases.

Hydranencephaly: exploring the role of CT features in the diagnosis of 22 cases.

Hydranencephaly: exploring the role of CT features in the diagnosis of 22 cases.

Objective: To delve into the clinical and CT imaging manifestations of hydranencephaly, a rare congenital post-neurulation disorder occurring during the second trimester, characterized by the destruction of cerebral hemispheres and cranial cavity filled with cerebrospinal fluid (CSF). This research aims to enhance our understanding of hydranencephaly and establish a standard for its imaging diagnosis.

Methods: A retrospective analysis was conducted using the brain CT images and clinical data of 26 pediatric patients diagnosed with hydranencephaly.

Results: At birth, the primitive reflexes were generally preserved in these infants, who exhibited a spectrum of symptoms including progressive enlargement of head circumference, epilepsy, cerebral palsy, intellectual disability, developmental delay, lethargy, convulsive spasms, and varying degrees of visual and auditory impairment. These infants may also present with other congenital malformations or abnormalities. The primary CT imaging findings revealed complete or near-complete absence of bilateral cerebral hemispheres, replaced by CSF. Specifically, there were 5 cases of complete absence of cerebral hemispheres, with minimal residual brain tissue observed in 17 cases. Bilateral ventricles were approximately normal in 3 cases and completely absent in 19 cases. Falx cerebri was incomplete or/and displaced in 12 cases, and 3 cases were concurrent with Dandy-Walker syndrome.

Conclusion: Hydranencephaly is a congenital disease characterized by destruction of the cerebral hemispheres. CT scan can provide accurate and reliable imaging evidence for the diagnosis of hydranencephaly.

求助全文
通过发布文献求助,成功后即可免费获取论文全文。 去求助
来源期刊
Malawi Medical Journal
Malawi Medical Journal Medicine-General Medicine
CiteScore
1.50
自引率
0.00%
发文量
27
审稿时长
>12 weeks
期刊介绍: Driven and guided by the priorities articulated in the Malawi National Health Research Agenda, the Malawi Medical Journal publishes original research, short reports, case reports, viewpoints, insightful editorials and commentaries that are of high quality, informative and applicable to the Malawian and sub-Saharan Africa regions. Our particular interest is to publish evidence-based research that impacts and informs national health policies and medical practice in Malawi and the broader region. Topics covered in the journal include, but are not limited to: - Communicable diseases (HIV and AIDS, Malaria, TB, etc.) - Non-communicable diseases (Cardiovascular diseases, cancer, diabetes, etc.) - Sexual and Reproductive Health (Adolescent health, education, pregnancy and abortion, STDs and HIV and AIDS, etc.) - Mental health - Environmental health - Nutrition - Health systems and health policy (Leadership, ethics, and governance) - Community systems strengthening research - Injury, trauma, and surgical disorders
×
引用
GB/T 7714-2015
复制
MLA
复制
APA
复制
导出至
BibTeX EndNote RefMan NoteFirst NoteExpress
×
提示
您的信息不完整,为了账户安全,请先补充。
现在去补充
×
提示
您因"违规操作"
具体请查看互助需知
我知道了
×
提示
确定
请完成安全验证×
copy
已复制链接
快去分享给好友吧!
我知道了
右上角分享
点击右上角分享
0
联系我们:info@booksci.cn Book学术提供免费学术资源搜索服务,方便国内外学者检索中英文文献。致力于提供最便捷和优质的服务体验。 Copyright © 2023 布克学术 All rights reserved.
京ICP备2023020795号-1
ghs 京公网安备 11010802042870号
Book学术文献互助
Book学术文献互助群
群 号:604180095
Book学术官方微信