利伐沙班和氯吡格雷治疗下自发性脊髓硬膜外血肿1例并文献复习。

IF 1.5 Q3 EMERGENCY MEDICINE
Open Access Emergency Medicine Pub Date : 2025-02-21 eCollection Date: 2025-01-01 DOI:10.2147/OAEM.S489072
Bruno Schoenmaekers, Imad Derraz, Nadim Tahhan, Pierre Metrailler
{"title":"利伐沙班和氯吡格雷治疗下自发性脊髓硬膜外血肿1例并文献复习。","authors":"Bruno Schoenmaekers, Imad Derraz, Nadim Tahhan, Pierre Metrailler","doi":"10.2147/OAEM.S489072","DOIUrl":null,"url":null,"abstract":"<p><p>Spontaneous spinal epidural hematoma (SSEH) is a rare pathology with potentially severe consequences for the patient. Given its uncommon incidence and frequent atypical presentation, SSEH can easily be misdiagnosed. The association between anticoagulation or antiplatelet therapy and SSEH has been described in multiple case reports and literature reviews. We present a case of a 61-year-old man on anticoagulation and antiplatelet therapy (Rivaroxaban and Clopidogrel respectively), diagnosed with spinal SSEH with good recovery after laminectomy and hematoma evacuation. However, treatment guidelines for SSEH are difficult to find and there is no clear strategy about management of anticoagulation and antiplatelet therapy. The aim of this report is to highlight the importance of rapid diagnosis and surgical therapy in selected cases and to give an insight on the anticoagulation and antiplatelet management in these patients and their prognosis.</p>","PeriodicalId":45096,"journal":{"name":"Open Access Emergency Medicine","volume":"17 ","pages":"129-135"},"PeriodicalIF":1.5000,"publicationDate":"2025-02-21","publicationTypes":"Journal Article","fieldsOfStudy":null,"isOpenAccess":false,"openAccessPdf":"https://www.ncbi.nlm.nih.gov/pmc/articles/PMC11853066/pdf/","citationCount":"0","resultStr":"{\"title\":\"Spontaneous Spinal Epidural Hematoma Under Rivaroxaban and Clopidogrel: A Case Report and Literature Review.\",\"authors\":\"Bruno Schoenmaekers, Imad Derraz, Nadim Tahhan, Pierre Metrailler\",\"doi\":\"10.2147/OAEM.S489072\",\"DOIUrl\":null,\"url\":null,\"abstract\":\"<p><p>Spontaneous spinal epidural hematoma (SSEH) is a rare pathology with potentially severe consequences for the patient. Given its uncommon incidence and frequent atypical presentation, SSEH can easily be misdiagnosed. The association between anticoagulation or antiplatelet therapy and SSEH has been described in multiple case reports and literature reviews. We present a case of a 61-year-old man on anticoagulation and antiplatelet therapy (Rivaroxaban and Clopidogrel respectively), diagnosed with spinal SSEH with good recovery after laminectomy and hematoma evacuation. However, treatment guidelines for SSEH are difficult to find and there is no clear strategy about management of anticoagulation and antiplatelet therapy. The aim of this report is to highlight the importance of rapid diagnosis and surgical therapy in selected cases and to give an insight on the anticoagulation and antiplatelet management in these patients and their prognosis.</p>\",\"PeriodicalId\":45096,\"journal\":{\"name\":\"Open Access Emergency Medicine\",\"volume\":\"17 \",\"pages\":\"129-135\"},\"PeriodicalIF\":1.5000,\"publicationDate\":\"2025-02-21\",\"publicationTypes\":\"Journal Article\",\"fieldsOfStudy\":null,\"isOpenAccess\":false,\"openAccessPdf\":\"https://www.ncbi.nlm.nih.gov/pmc/articles/PMC11853066/pdf/\",\"citationCount\":\"0\",\"resultStr\":null,\"platform\":\"Semanticscholar\",\"paperid\":null,\"PeriodicalName\":\"Open Access Emergency Medicine\",\"FirstCategoryId\":\"1085\",\"ListUrlMain\":\"https://doi.org/10.2147/OAEM.S489072\",\"RegionNum\":0,\"RegionCategory\":null,\"ArticlePicture\":[],\"TitleCN\":null,\"AbstractTextCN\":null,\"PMCID\":null,\"EPubDate\":\"2025/1/1 0:00:00\",\"PubModel\":\"eCollection\",\"JCR\":\"Q3\",\"JCRName\":\"EMERGENCY MEDICINE\",\"Score\":null,\"Total\":0}","platform":"Semanticscholar","paperid":null,"PeriodicalName":"Open Access Emergency Medicine","FirstCategoryId":"1085","ListUrlMain":"https://doi.org/10.2147/OAEM.S489072","RegionNum":0,"RegionCategory":null,"ArticlePicture":[],"TitleCN":null,"AbstractTextCN":null,"PMCID":null,"EPubDate":"2025/1/1 0:00:00","PubModel":"eCollection","JCR":"Q3","JCRName":"EMERGENCY MEDICINE","Score":null,"Total":0}
引用次数: 0

摘要

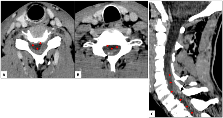
自发性脊髓硬膜外血肿(SSEH)是一种罕见的病理,对患者有潜在的严重后果。由于其罕见的发病率和频繁的非典型表现,SSEH很容易被误诊。抗凝或抗血小板治疗与SSEH之间的关系已在多个病例报告和文献综述中得到描述。我们报告一例61岁男性患者,接受抗凝和抗血小板治疗(分别为利伐沙班和氯吡格雷),诊断为脊柱SSEH,经椎板切除术和血肿清除后恢复良好。然而,SSEH的治疗指南很难找到,并且没有明确的抗凝和抗血小板治疗管理策略。本报告的目的是强调在选定病例中快速诊断和手术治疗的重要性,并对这些患者的抗凝和抗血小板管理及其预后提供见解。
本文章由计算机程序翻译,如有差异,请以英文原文为准。

Spontaneous Spinal Epidural Hematoma Under Rivaroxaban and Clopidogrel: A Case Report and Literature Review.

Spontaneous Spinal Epidural Hematoma Under Rivaroxaban and Clopidogrel: A Case Report and Literature Review.

Spontaneous Spinal Epidural Hematoma Under Rivaroxaban and Clopidogrel: A Case Report and Literature Review.

Spontaneous spinal epidural hematoma (SSEH) is a rare pathology with potentially severe consequences for the patient. Given its uncommon incidence and frequent atypical presentation, SSEH can easily be misdiagnosed. The association between anticoagulation or antiplatelet therapy and SSEH has been described in multiple case reports and literature reviews. We present a case of a 61-year-old man on anticoagulation and antiplatelet therapy (Rivaroxaban and Clopidogrel respectively), diagnosed with spinal SSEH with good recovery after laminectomy and hematoma evacuation. However, treatment guidelines for SSEH are difficult to find and there is no clear strategy about management of anticoagulation and antiplatelet therapy. The aim of this report is to highlight the importance of rapid diagnosis and surgical therapy in selected cases and to give an insight on the anticoagulation and antiplatelet management in these patients and their prognosis.

求助全文
通过发布文献求助,成功后即可免费获取论文全文。 去求助
来源期刊
Open Access Emergency Medicine
Open Access Emergency Medicine EMERGENCY MEDICINE-
CiteScore
2.60
自引率
6.70%
发文量
85
审稿时长
16 weeks
×
引用
GB/T 7714-2015
复制
MLA
复制
APA
复制
导出至
BibTeX EndNote RefMan NoteFirst NoteExpress
×
提示
您的信息不完整,为了账户安全,请先补充。
现在去补充
×
提示
您因"违规操作"
具体请查看互助需知
我知道了
×
提示
确定
请完成安全验证×
copy
已复制链接
快去分享给好友吧!
我知道了
右上角分享
点击右上角分享
0
联系我们:info@booksci.cn Book学术提供免费学术资源搜索服务,方便国内外学者检索中英文文献。致力于提供最便捷和优质的服务体验。 Copyright © 2023 布克学术 All rights reserved.
京ICP备2023020795号-1
ghs 京公网安备 11010802042870号
Book学术文献互助
Book学术文献互助群
群 号:604180095
Book学术官方微信