使用单核苷酸多态性(SNP)微阵列检测臼齿妊娠全基因组单系异位体:一例报告。

IF 1.4 4区 生物学 Q4 GENETICS & HEREDITY
Onyinye O Okonkwo, Veronica Ortega, Sheila Kane, Galina Aldrete, Paulina Ramirez, Philip T Valente, Gopalrao V N Velagaleti
{"title":"使用单核苷酸多态性(SNP)微阵列检测臼齿妊娠全基因组单系异位体:一例报告。","authors":"Onyinye O Okonkwo, Veronica Ortega, Sheila Kane, Galina Aldrete, Paulina Ramirez, Philip T Valente, Gopalrao V N Velagaleti","doi":"10.1186/s13039-025-00707-6","DOIUrl":null,"url":null,"abstract":"<p><strong>Background: </strong>Gestational trophoblastic neoplasms consist of complete and partial hydatidiform moles, both of which are considered aberrant conceptuses. Both conditions, complete hydatidiform mole (CHM) and partial hydatidiform mole (PHM), differ in histological characteristics, genetic origin and content and clinical features. CHM have a diploid karyotype, mostly 46,XX but lack maternal genetic contribution with all chromosomes of paternal origin. High-resolution SNP microarray testing is an efficient method used to determine the parental contribution of the genomic material in molar pregnancies and confirm the diagnosis.</p><p><strong>Case presentation: </strong>We present a case of CHM in a 43-year-old, G3P2Ab1 who presented to the emergency department with 2 episodes of heavy bleeding. Chromosome analysis showed a normal 46,XX karyotype but with a homozygous pericentric inversion on chromosome 9. High-resolution SNP microarray studies detected whole genome uniparental isodisomy.</p><p><strong>Conclusion: </strong>We present a case of CHM with homozygous pericentric inversion on chromosome 9 and whole genome uniparental isodisomy. This case illustrates the efficacy of high-resolution SNP microarray in confirming the diagnosis of CHM.</p>","PeriodicalId":19099,"journal":{"name":"Molecular Cytogenetics","volume":"18 1","pages":"4"},"PeriodicalIF":1.4000,"publicationDate":"2025-02-25","publicationTypes":"Journal Article","fieldsOfStudy":null,"isOpenAccess":false,"openAccessPdf":"https://www.ncbi.nlm.nih.gov/pmc/articles/PMC11863443/pdf/","citationCount":"0","resultStr":"{\"title\":\"Whole genome uniparental isodisomy detected using single nucleotide polymorphism (SNP) microarray in molar pregnancy: a case report.\",\"authors\":\"Onyinye O Okonkwo, Veronica Ortega, Sheila Kane, Galina Aldrete, Paulina Ramirez, Philip T Valente, Gopalrao V N Velagaleti\",\"doi\":\"10.1186/s13039-025-00707-6\",\"DOIUrl\":null,\"url\":null,\"abstract\":\"<p><strong>Background: </strong>Gestational trophoblastic neoplasms consist of complete and partial hydatidiform moles, both of which are considered aberrant conceptuses. Both conditions, complete hydatidiform mole (CHM) and partial hydatidiform mole (PHM), differ in histological characteristics, genetic origin and content and clinical features. CHM have a diploid karyotype, mostly 46,XX but lack maternal genetic contribution with all chromosomes of paternal origin. High-resolution SNP microarray testing is an efficient method used to determine the parental contribution of the genomic material in molar pregnancies and confirm the diagnosis.</p><p><strong>Case presentation: </strong>We present a case of CHM in a 43-year-old, G3P2Ab1 who presented to the emergency department with 2 episodes of heavy bleeding. Chromosome analysis showed a normal 46,XX karyotype but with a homozygous pericentric inversion on chromosome 9. High-resolution SNP microarray studies detected whole genome uniparental isodisomy.</p><p><strong>Conclusion: </strong>We present a case of CHM with homozygous pericentric inversion on chromosome 9 and whole genome uniparental isodisomy. This case illustrates the efficacy of high-resolution SNP microarray in confirming the diagnosis of CHM.</p>\",\"PeriodicalId\":19099,\"journal\":{\"name\":\"Molecular Cytogenetics\",\"volume\":\"18 1\",\"pages\":\"4\"},\"PeriodicalIF\":1.4000,\"publicationDate\":\"2025-02-25\",\"publicationTypes\":\"Journal Article\",\"fieldsOfStudy\":null,\"isOpenAccess\":false,\"openAccessPdf\":\"https://www.ncbi.nlm.nih.gov/pmc/articles/PMC11863443/pdf/\",\"citationCount\":\"0\",\"resultStr\":null,\"platform\":\"Semanticscholar\",\"paperid\":null,\"PeriodicalName\":\"Molecular Cytogenetics\",\"FirstCategoryId\":\"99\",\"ListUrlMain\":\"https://doi.org/10.1186/s13039-025-00707-6\",\"RegionNum\":4,\"RegionCategory\":\"生物学\",\"ArticlePicture\":[],\"TitleCN\":null,\"AbstractTextCN\":null,\"PMCID\":null,\"EPubDate\":\"\",\"PubModel\":\"\",\"JCR\":\"Q4\",\"JCRName\":\"GENETICS & HEREDITY\",\"Score\":null,\"Total\":0}","platform":"Semanticscholar","paperid":null,"PeriodicalName":"Molecular Cytogenetics","FirstCategoryId":"99","ListUrlMain":"https://doi.org/10.1186/s13039-025-00707-6","RegionNum":4,"RegionCategory":"生物学","ArticlePicture":[],"TitleCN":null,"AbstractTextCN":null,"PMCID":null,"EPubDate":"","PubModel":"","JCR":"Q4","JCRName":"GENETICS & HEREDITY","Score":null,"Total":0}
引用次数: 0

摘要

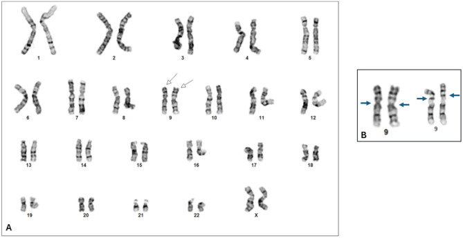
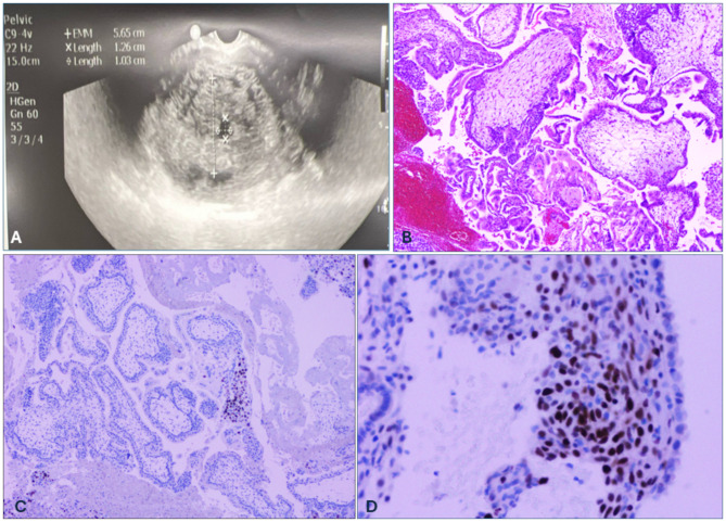
背景:妊娠滋养细胞肿瘤包括完全和部分葡萄胎,两者都被认为是异常的概念。完全葡萄胎(CHM)和部分葡萄胎(PHM)在组织学特征、遗传起源、内容和临床特征上都有所不同。CHM具有二倍体核型,大多数为46,XX,但缺乏母系遗传贡献与所有父系起源的染色体。高分辨率SNP微阵列检测是一种有效的方法,用于确定父母在磨牙妊娠中对基因组物质的贡献并确认诊断。病例介绍:我们报告一例43岁的CHM患者,G3P2Ab1,因2次大出血就诊于急诊科。染色体分析显示为正常的46,XX核型,但在第9号染色体上有纯合的周中心反转。高分辨率SNP微阵列研究检测了全基因组的单系异位体。结论:我们报告了一例9号染色体纯合子周中心反转和全基因组单系异染色体的CHM。该病例说明了高分辨率SNP微阵列在确认CHM诊断中的有效性。
本文章由计算机程序翻译,如有差异,请以英文原文为准。

Whole genome uniparental isodisomy detected using single nucleotide polymorphism (SNP) microarray in molar pregnancy: a case report.

Whole genome uniparental isodisomy detected using single nucleotide polymorphism (SNP) microarray in molar pregnancy: a case report.

Whole genome uniparental isodisomy detected using single nucleotide polymorphism (SNP) microarray in molar pregnancy: a case report.

Whole genome uniparental isodisomy detected using single nucleotide polymorphism (SNP) microarray in molar pregnancy: a case report.

Background: Gestational trophoblastic neoplasms consist of complete and partial hydatidiform moles, both of which are considered aberrant conceptuses. Both conditions, complete hydatidiform mole (CHM) and partial hydatidiform mole (PHM), differ in histological characteristics, genetic origin and content and clinical features. CHM have a diploid karyotype, mostly 46,XX but lack maternal genetic contribution with all chromosomes of paternal origin. High-resolution SNP microarray testing is an efficient method used to determine the parental contribution of the genomic material in molar pregnancies and confirm the diagnosis.

Case presentation: We present a case of CHM in a 43-year-old, G3P2Ab1 who presented to the emergency department with 2 episodes of heavy bleeding. Chromosome analysis showed a normal 46,XX karyotype but with a homozygous pericentric inversion on chromosome 9. High-resolution SNP microarray studies detected whole genome uniparental isodisomy.

Conclusion: We present a case of CHM with homozygous pericentric inversion on chromosome 9 and whole genome uniparental isodisomy. This case illustrates the efficacy of high-resolution SNP microarray in confirming the diagnosis of CHM.

求助全文
通过发布文献求助,成功后即可免费获取论文全文。 去求助
来源期刊
Molecular Cytogenetics
Molecular Cytogenetics GENETICS & HEREDITY-
CiteScore
2.60
自引率
7.70%
发文量
49
审稿时长
>12 weeks
期刊介绍: Molecular Cytogenetics encompasses all aspects of chromosome biology and the application of molecular cytogenetic techniques in all areas of biology and medicine, including structural and functional organization of the chromosome and nucleus, genome variation, expression and evolution, chromosome abnormalities and genomic variations in medical genetics and tumor genetics. Molecular Cytogenetics primarily defines a large set of the techniques that operate either with the entire genome or with specific targeted DNA sequences. Topical areas include, but are not limited to: -Structural and functional organization of chromosome and nucleus- Genome variation, expression and evolution- Animal and plant molecular cytogenetics and genomics- Chromosome abnormalities and genomic variations in clinical genetics- Applications in preimplantation, pre- and post-natal diagnosis- Applications in the central nervous system, cancer and haematology research- Previously unreported applications of molecular cytogenetic techniques- Development of new techniques or significant enhancements to established techniques. This journal is a source for numerous scientists all over the world, who wish to improve or introduce molecular cytogenetic techniques into their practice.
×
引用
GB/T 7714-2015
复制
MLA
复制
APA
复制
导出至
BibTeX EndNote RefMan NoteFirst NoteExpress
×
提示
您的信息不完整,为了账户安全,请先补充。
现在去补充
×
提示
您因"违规操作"
具体请查看互助需知
我知道了
×
提示
确定
请完成安全验证×
copy
已复制链接
快去分享给好友吧!
我知道了
右上角分享
点击右上角分享
0
联系我们:info@booksci.cn Book学术提供免费学术资源搜索服务,方便国内外学者检索中英文文献。致力于提供最便捷和优质的服务体验。 Copyright © 2023 布克学术 All rights reserved.
京ICP备2023020795号-1
ghs 京公网安备 11010802042870号
Book学术文献互助
Book学术文献互助群
群 号:604180095
Book学术官方微信