抗nmda受体脑炎的异常脑MRI:临床和预后意义。

IF 7.5 1区 医学 Q1 CLINICAL NEUROLOGY
Laura Khatib, Julie Pique, Nicolas Lundahl Ciano-Petersen, Guillaume Criton, Cristina Birzu, Mélodie Aubart, Marie Benaiteau, Geraldine Picard, Romain Marignier, Clarisse Carra-Dalliere, Xavier Ayrignac, Dimitri Psimaras, Pierre M Labauge, Jerome Honnorat, Francois Cotton, Bastien Joubert
{"title":"抗nmda受体脑炎的异常脑MRI:临床和预后意义。","authors":"Laura Khatib, Julie Pique, Nicolas Lundahl Ciano-Petersen, Guillaume Criton, Cristina Birzu, Mélodie Aubart, Marie Benaiteau, Geraldine Picard, Romain Marignier, Clarisse Carra-Dalliere, Xavier Ayrignac, Dimitri Psimaras, Pierre M Labauge, Jerome Honnorat, Francois Cotton, Bastien Joubert","doi":"10.1212/NXI.0000000000200378","DOIUrl":null,"url":null,"abstract":"<p><strong>Background and objectives: </strong>Abnormal brain MRI is associated with poor outcomes in anti-N-methyl-d-aspartate receptor encephalitis (NMDARE). We aimed to characterize the lesions on brain MRI in NMDARE and to assess the clinical and prognostic associations.</p><p><strong>Methods: </strong>This retrospective cohort study included patients with NMDARE identified at the French Reference Center for Autoimmune Encephalitis, with at least a one-year follow-up, and with available brain MRI results. In case of brain extralimbic lesion, the image files were reviewed when available. Clinical data were collected from medical records. Multivariable logistic regression analysis was used to study the outcomes at 2-year follow-up; recovery was defined as modified Rankin Scale score ≤1.</p><p><strong>Results: </strong>Among the 255 patients included, 37 (14.5%) had limbic hyperintensities and 41 (16.1%) had extralimbic lesions that included multiple sclerosis (MS)-like lesions (14/41, 34.1%); extensive lesions (5/41, 12.2%); and poorly demarcated fluffy lesions, either multifocal (10/41, 24.4%) or involving the cerebral cortex or cerebellum (6/41 each, 14.6%). Extralimbic lesions coexisting with limbic lesions (19/41 patients, 46.3%) were mostly fluffy lesions (11/19, 57.9%). Ten patients had overlapping demyelinating syndromes: 4 with MS, 4 with myelin oligodendrocyte glycoprotein-associated disorder, and 2 with neuromyelitis optica spectrum disorder; all had MS-like (7/10 patients) or extensive (3/10 patients) lesions, and none had fluffy lesions. Extralimbic lesions were associated with symptoms nontypical for NMDARE (23/41, 56.1%, <i>p</i> < 0.001), especially cerebellar ataxia (17/41, 41.5%) and motor impairment (12/41, 29.3%). At 2 years, patients with MS-like or extensive lesions had a lower recovery rate (5/12, 41.7%, and 1/4, 25%, respectively) compared with the patients without extralimbic lesions (124/162, 76.5%; <i>p</i> = 0.014 and <i>p</i> = 0.047, respectively). In multivariable analysis, MS-like lesions, but not hippocampal nor fluffy lesions, were associated with absence of recovery at 2 years (adjusted OR 0.1, 95% CI 0.03-0.42, <i>p</i> = 0.002; extensive lesions [n = 4] not included in the analysis).</p><p><strong>Discussion: </strong>Brain MRI lesions in NMDARE include limbic hyperintensities and 3 patterns of extralimbic lesions, which are associated with nontypical NMDARE symptoms. Moreover, MS-like and extensive lesions, but not fluffy nor hippocampal lesions, are associated with overlapping demyelinating syndromes and poor clinical outcomes at 2 years. These findings can have practical implications on the monitoring of patients with NMDARE.</p>","PeriodicalId":19472,"journal":{"name":"Neurology® Neuroimmunology & Neuroinflammation","volume":"12 3","pages":"e200378"},"PeriodicalIF":7.5000,"publicationDate":"2025-05-01","publicationTypes":"Journal Article","fieldsOfStudy":null,"isOpenAccess":false,"openAccessPdf":"https://www.ncbi.nlm.nih.gov/pmc/articles/PMC11867192/pdf/","citationCount":"0","resultStr":"{\"title\":\"Abnormal Brain MRI in Anti-NMDA Receptor Encephalitis: Clinical and Prognostic Implications.\",\"authors\":\"Laura Khatib, Julie Pique, Nicolas Lundahl Ciano-Petersen, Guillaume Criton, Cristina Birzu, Mélodie Aubart, Marie Benaiteau, Geraldine Picard, Romain Marignier, Clarisse Carra-Dalliere, Xavier Ayrignac, Dimitri Psimaras, Pierre M Labauge, Jerome Honnorat, Francois Cotton, Bastien Joubert\",\"doi\":\"10.1212/NXI.0000000000200378\",\"DOIUrl\":null,\"url\":null,\"abstract\":\"<p><strong>Background and objectives: </strong>Abnormal brain MRI is associated with poor outcomes in anti-N-methyl-d-aspartate receptor encephalitis (NMDARE). We aimed to characterize the lesions on brain MRI in NMDARE and to assess the clinical and prognostic associations.</p><p><strong>Methods: </strong>This retrospective cohort study included patients with NMDARE identified at the French Reference Center for Autoimmune Encephalitis, with at least a one-year follow-up, and with available brain MRI results. In case of brain extralimbic lesion, the image files were reviewed when available. Clinical data were collected from medical records. Multivariable logistic regression analysis was used to study the outcomes at 2-year follow-up; recovery was defined as modified Rankin Scale score ≤1.</p><p><strong>Results: </strong>Among the 255 patients included, 37 (14.5%) had limbic hyperintensities and 41 (16.1%) had extralimbic lesions that included multiple sclerosis (MS)-like lesions (14/41, 34.1%); extensive lesions (5/41, 12.2%); and poorly demarcated fluffy lesions, either multifocal (10/41, 24.4%) or involving the cerebral cortex or cerebellum (6/41 each, 14.6%). Extralimbic lesions coexisting with limbic lesions (19/41 patients, 46.3%) were mostly fluffy lesions (11/19, 57.9%). Ten patients had overlapping demyelinating syndromes: 4 with MS, 4 with myelin oligodendrocyte glycoprotein-associated disorder, and 2 with neuromyelitis optica spectrum disorder; all had MS-like (7/10 patients) or extensive (3/10 patients) lesions, and none had fluffy lesions. Extralimbic lesions were associated with symptoms nontypical for NMDARE (23/41, 56.1%, <i>p</i> < 0.001), especially cerebellar ataxia (17/41, 41.5%) and motor impairment (12/41, 29.3%). At 2 years, patients with MS-like or extensive lesions had a lower recovery rate (5/12, 41.7%, and 1/4, 25%, respectively) compared with the patients without extralimbic lesions (124/162, 76.5%; <i>p</i> = 0.014 and <i>p</i> = 0.047, respectively). In multivariable analysis, MS-like lesions, but not hippocampal nor fluffy lesions, were associated with absence of recovery at 2 years (adjusted OR 0.1, 95% CI 0.03-0.42, <i>p</i> = 0.002; extensive lesions [n = 4] not included in the analysis).</p><p><strong>Discussion: </strong>Brain MRI lesions in NMDARE include limbic hyperintensities and 3 patterns of extralimbic lesions, which are associated with nontypical NMDARE symptoms. Moreover, MS-like and extensive lesions, but not fluffy nor hippocampal lesions, are associated with overlapping demyelinating syndromes and poor clinical outcomes at 2 years. These findings can have practical implications on the monitoring of patients with NMDARE.</p>\",\"PeriodicalId\":19472,\"journal\":{\"name\":\"Neurology® Neuroimmunology & Neuroinflammation\",\"volume\":\"12 3\",\"pages\":\"e200378\"},\"PeriodicalIF\":7.5000,\"publicationDate\":\"2025-05-01\",\"publicationTypes\":\"Journal Article\",\"fieldsOfStudy\":null,\"isOpenAccess\":false,\"openAccessPdf\":\"https://www.ncbi.nlm.nih.gov/pmc/articles/PMC11867192/pdf/\",\"citationCount\":\"0\",\"resultStr\":null,\"platform\":\"Semanticscholar\",\"paperid\":null,\"PeriodicalName\":\"Neurology® Neuroimmunology & Neuroinflammation\",\"FirstCategoryId\":\"3\",\"ListUrlMain\":\"https://doi.org/10.1212/NXI.0000000000200378\",\"RegionNum\":1,\"RegionCategory\":\"医学\",\"ArticlePicture\":[],\"TitleCN\":null,\"AbstractTextCN\":null,\"PMCID\":null,\"EPubDate\":\"2025/2/25 0:00:00\",\"PubModel\":\"Epub\",\"JCR\":\"Q1\",\"JCRName\":\"CLINICAL NEUROLOGY\",\"Score\":null,\"Total\":0}","platform":"Semanticscholar","paperid":null,"PeriodicalName":"Neurology® Neuroimmunology & Neuroinflammation","FirstCategoryId":"3","ListUrlMain":"https://doi.org/10.1212/NXI.0000000000200378","RegionNum":1,"RegionCategory":"医学","ArticlePicture":[],"TitleCN":null,"AbstractTextCN":null,"PMCID":null,"EPubDate":"2025/2/25 0:00:00","PubModel":"Epub","JCR":"Q1","JCRName":"CLINICAL NEUROLOGY","Score":null,"Total":0}
引用次数: 0

摘要

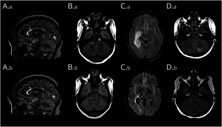
背景和目的:脑MRI异常与抗n -甲基-d-天冬氨酸受体脑炎(NMDARE)预后不良相关。我们的目的是在NMDARE中描述病变的脑MRI特征,并评估临床和预后相关性。方法:这项回顾性队列研究纳入了法国自身免疫性脑炎参考中心鉴定的NMDARE患者,随访至少一年,并有可用的脑MRI结果。对于脑边缘外病变,在有图像文件时进行复查。临床数据从医疗记录中收集。采用多变量logistic回归分析对2年随访结果进行分析;恢复定义为修正Rankin量表得分≤1。结果:255例患者中,37例(14.5%)有边缘高信号,41例(16.1%)有边缘外病变,包括多发性硬化症样病变(14/41,34.1%);广泛病变(5/41,12.2%);边界模糊的绒毛状病变,多灶性(10/41,24.4%)或累及大脑皮层或小脑(6/41,14.6%)。边缘外病变与边缘病变共存(19/41,46.3%),以绒毛病变居多(11/19,57.9%)。重叠脱髓鞘综合征10例:多发性硬化症4例,髓鞘少突胶质细胞糖蛋白相关障碍4例,视神经脊髓炎谱系障碍2例;所有患者均有ms样病变(7/10例)或广泛病变(3/10例),无绒毛病变。边缘外病变与NMDARE非典型症状相关(23/41,56.1%,p < 0.001),尤其是小脑性共济失调(17/41,41.5%)和运动障碍(12/41,29.3%)。2年时,ms样或广泛病变患者的恢复率(分别为5/ 12,41.7%和1/ 4,25%)低于边缘外病变患者(124/162,76.5%;P = 0.014, P = 0.047)。在多变量分析中,ms样病变,而不是海马和绒毛病变,与2年未恢复相关(校正OR 0.1, 95% CI 0.03-0.42, p = 0.002;广泛病变[n = 4]未包括在分析中)。讨论:NMDARE的脑MRI病变包括边缘高信号和3种边缘外病变,它们与非典型NMDARE症状相关。此外,ms样病变和广泛病变,而不是蓬松或海马病变,与重叠脱髓鞘综合征和2年不良临床结果相关。这些发现对NMDARE患者的监测具有实际意义。
本文章由计算机程序翻译,如有差异,请以英文原文为准。

Abnormal Brain MRI in Anti-NMDA Receptor Encephalitis: Clinical and Prognostic Implications.

Abnormal Brain MRI in Anti-NMDA Receptor Encephalitis: Clinical and Prognostic Implications.

Abnormal Brain MRI in Anti-NMDA Receptor Encephalitis: Clinical and Prognostic Implications.

Abnormal Brain MRI in Anti-NMDA Receptor Encephalitis: Clinical and Prognostic Implications.

Background and objectives: Abnormal brain MRI is associated with poor outcomes in anti-N-methyl-d-aspartate receptor encephalitis (NMDARE). We aimed to characterize the lesions on brain MRI in NMDARE and to assess the clinical and prognostic associations.

Methods: This retrospective cohort study included patients with NMDARE identified at the French Reference Center for Autoimmune Encephalitis, with at least a one-year follow-up, and with available brain MRI results. In case of brain extralimbic lesion, the image files were reviewed when available. Clinical data were collected from medical records. Multivariable logistic regression analysis was used to study the outcomes at 2-year follow-up; recovery was defined as modified Rankin Scale score ≤1.

Results: Among the 255 patients included, 37 (14.5%) had limbic hyperintensities and 41 (16.1%) had extralimbic lesions that included multiple sclerosis (MS)-like lesions (14/41, 34.1%); extensive lesions (5/41, 12.2%); and poorly demarcated fluffy lesions, either multifocal (10/41, 24.4%) or involving the cerebral cortex or cerebellum (6/41 each, 14.6%). Extralimbic lesions coexisting with limbic lesions (19/41 patients, 46.3%) were mostly fluffy lesions (11/19, 57.9%). Ten patients had overlapping demyelinating syndromes: 4 with MS, 4 with myelin oligodendrocyte glycoprotein-associated disorder, and 2 with neuromyelitis optica spectrum disorder; all had MS-like (7/10 patients) or extensive (3/10 patients) lesions, and none had fluffy lesions. Extralimbic lesions were associated with symptoms nontypical for NMDARE (23/41, 56.1%, p < 0.001), especially cerebellar ataxia (17/41, 41.5%) and motor impairment (12/41, 29.3%). At 2 years, patients with MS-like or extensive lesions had a lower recovery rate (5/12, 41.7%, and 1/4, 25%, respectively) compared with the patients without extralimbic lesions (124/162, 76.5%; p = 0.014 and p = 0.047, respectively). In multivariable analysis, MS-like lesions, but not hippocampal nor fluffy lesions, were associated with absence of recovery at 2 years (adjusted OR 0.1, 95% CI 0.03-0.42, p = 0.002; extensive lesions [n = 4] not included in the analysis).

Discussion: Brain MRI lesions in NMDARE include limbic hyperintensities and 3 patterns of extralimbic lesions, which are associated with nontypical NMDARE symptoms. Moreover, MS-like and extensive lesions, but not fluffy nor hippocampal lesions, are associated with overlapping demyelinating syndromes and poor clinical outcomes at 2 years. These findings can have practical implications on the monitoring of patients with NMDARE.

求助全文
通过发布文献求助,成功后即可免费获取论文全文。 去求助
来源期刊
CiteScore
15.60
自引率
2.30%
发文量
219
审稿时长
8 weeks
期刊介绍: Neurology Neuroimmunology & Neuroinflammation is an official journal of the American Academy of Neurology. Neurology: Neuroimmunology & Neuroinflammation will be the premier peer-reviewed journal in neuroimmunology and neuroinflammation. This journal publishes rigorously peer-reviewed open-access reports of original research and in-depth reviews of topics in neuroimmunology & neuroinflammation, affecting the full range of neurologic diseases including (but not limited to) Alzheimer's disease, Parkinson's disease, ALS, tauopathy, and stroke; multiple sclerosis and NMO; inflammatory peripheral nerve and muscle disease, Guillain-Barré and myasthenia gravis; nervous system infection; paraneoplastic syndromes, noninfectious encephalitides and other antibody-mediated disorders; and psychiatric and neurodevelopmental disorders. Clinical trials, instructive case reports, and small case series will also be featured.
×
引用
GB/T 7714-2015
复制
MLA
复制
APA
复制
导出至
BibTeX EndNote RefMan NoteFirst NoteExpress
×
提示
您的信息不完整,为了账户安全,请先补充。
现在去补充
×
提示
您因"违规操作"
具体请查看互助需知
我知道了
×
提示
确定
请完成安全验证×
copy
已复制链接
快去分享给好友吧!
我知道了
右上角分享
点击右上角分享
0
联系我们:info@booksci.cn Book学术提供免费学术资源搜索服务,方便国内外学者检索中英文文献。致力于提供最便捷和优质的服务体验。 Copyright © 2023 布克学术 All rights reserved.
京ICP备2023020795号-1
ghs 京公网安备 11010802042870号
Book学术文献互助
Book学术文献互助群
群 号:604180095
Book学术官方微信