蛔虫在泌尿道中的异常表现:病例报告。

IF 0.5 Q4 RADIOLOGY, NUCLEAR MEDICINE & MEDICAL IMAGING
BJR Case Reports Pub Date : 2025-01-16 eCollection Date: 2025-01-01 DOI:10.1093/bjrcr/uaaf001
Zaid A Sowaity, Ammar A Zamareh, Tayseer N Sabooh, Amjed T Sowaity, Yazan F Khdour, Mutaz A A Atmeza
{"title":"蛔虫在泌尿道中的异常表现:病例报告。","authors":"Zaid A Sowaity, Ammar A Zamareh, Tayseer N Sabooh, Amjed T Sowaity, Yazan F Khdour, Mutaz A A Atmeza","doi":"10.1093/bjrcr/uaaf001","DOIUrl":null,"url":null,"abstract":"<p><p><i>Ascaris lumbricoides</i> is one of the most well-known helminthic parasites affecting humans. Ascariasis is prevalent in developing countries where inadequate water, sanitation, and hygiene facilitate human-to-human transmission. In this report, we present a case of a 20-year-old male who arrived at the emergency room with severe right flank pain, high-grade fever, and recurrent vomiting. Diagnostic evaluations were conducted, including a complete blood count test, urinalysis, stool analysis, abdominal ultrasound, and CT scan. The final diagnosis was <i>A lumbricoides</i> found in the distal part of the ureter. A ureteroscopy procedure confirmed the diagnosis and extracted the worm, which measured 6 cm in length, had a brown colour, and exhibited a tight elastic consistency. While Ascaris is commonly found in the gastrointestinal tract, its occurrence in the urinary tract is an extremely rare phenomenon. In our case, the most likely explanation is that the Ascaris accessed the distal ureter through retrograde migration, wherein the worm traverses from the bladder into the ureter.</p>","PeriodicalId":45216,"journal":{"name":"BJR Case Reports","volume":"11 1","pages":"uaaf001"},"PeriodicalIF":0.5000,"publicationDate":"2025-01-16","publicationTypes":"Journal Article","fieldsOfStudy":null,"isOpenAccess":false,"openAccessPdf":"https://www.ncbi.nlm.nih.gov/pmc/articles/PMC11849953/pdf/","citationCount":"0","resultStr":"{\"title\":\"Unusual presentation of <i>Ascaris lumbricoides</i> in the urinary tract: a case report.\",\"authors\":\"Zaid A Sowaity, Ammar A Zamareh, Tayseer N Sabooh, Amjed T Sowaity, Yazan F Khdour, Mutaz A A Atmeza\",\"doi\":\"10.1093/bjrcr/uaaf001\",\"DOIUrl\":null,\"url\":null,\"abstract\":\"<p><p><i>Ascaris lumbricoides</i> is one of the most well-known helminthic parasites affecting humans. Ascariasis is prevalent in developing countries where inadequate water, sanitation, and hygiene facilitate human-to-human transmission. In this report, we present a case of a 20-year-old male who arrived at the emergency room with severe right flank pain, high-grade fever, and recurrent vomiting. Diagnostic evaluations were conducted, including a complete blood count test, urinalysis, stool analysis, abdominal ultrasound, and CT scan. The final diagnosis was <i>A lumbricoides</i> found in the distal part of the ureter. A ureteroscopy procedure confirmed the diagnosis and extracted the worm, which measured 6 cm in length, had a brown colour, and exhibited a tight elastic consistency. While Ascaris is commonly found in the gastrointestinal tract, its occurrence in the urinary tract is an extremely rare phenomenon. In our case, the most likely explanation is that the Ascaris accessed the distal ureter through retrograde migration, wherein the worm traverses from the bladder into the ureter.</p>\",\"PeriodicalId\":45216,\"journal\":{\"name\":\"BJR Case Reports\",\"volume\":\"11 1\",\"pages\":\"uaaf001\"},\"PeriodicalIF\":0.5000,\"publicationDate\":\"2025-01-16\",\"publicationTypes\":\"Journal Article\",\"fieldsOfStudy\":null,\"isOpenAccess\":false,\"openAccessPdf\":\"https://www.ncbi.nlm.nih.gov/pmc/articles/PMC11849953/pdf/\",\"citationCount\":\"0\",\"resultStr\":null,\"platform\":\"Semanticscholar\",\"paperid\":null,\"PeriodicalName\":\"BJR Case Reports\",\"FirstCategoryId\":\"1085\",\"ListUrlMain\":\"https://doi.org/10.1093/bjrcr/uaaf001\",\"RegionNum\":0,\"RegionCategory\":null,\"ArticlePicture\":[],\"TitleCN\":null,\"AbstractTextCN\":null,\"PMCID\":null,\"EPubDate\":\"2025/1/1 0:00:00\",\"PubModel\":\"eCollection\",\"JCR\":\"Q4\",\"JCRName\":\"RADIOLOGY, NUCLEAR MEDICINE & MEDICAL IMAGING\",\"Score\":null,\"Total\":0}","platform":"Semanticscholar","paperid":null,"PeriodicalName":"BJR Case Reports","FirstCategoryId":"1085","ListUrlMain":"https://doi.org/10.1093/bjrcr/uaaf001","RegionNum":0,"RegionCategory":null,"ArticlePicture":[],"TitleCN":null,"AbstractTextCN":null,"PMCID":null,"EPubDate":"2025/1/1 0:00:00","PubModel":"eCollection","JCR":"Q4","JCRName":"RADIOLOGY, NUCLEAR MEDICINE & MEDICAL IMAGING","Score":null,"Total":0}
引用次数: 0

摘要

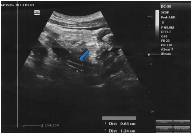
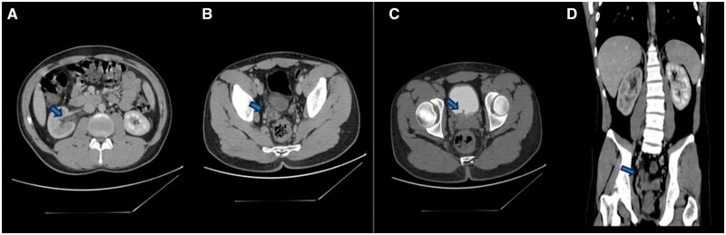
类蚓蛔虫是影响人类的最著名的寄生虫之一。蛔虫病在水、环境卫生和个人卫生不足的发展中国家流行,这些国家便于人与人之间的传播。在此报告中,我们报告了一个20岁男性的病例,他因严重的右侧疼痛,高烧和反复呕吐而到达急诊室。进行诊断评估,包括全血细胞计数测试、尿液分析、粪便分析、腹部超声和CT扫描。最终诊断为输尿管远端发现类蚓状瘤。输尿管镜检查证实了诊断并取出了蠕虫,该蠕虫长6厘米,呈棕色,并表现出紧密的弹性一致性。蛔虫通常在胃肠道中发现,但在尿道中出现是一种极其罕见的现象。在我们的病例中,最可能的解释是蛔虫通过逆行迁移进入输尿管远端,其中蛔虫从膀胱进入输尿管。
本文章由计算机程序翻译,如有差异,请以英文原文为准。

Unusual presentation of <i>Ascaris lumbricoides</i> in the urinary tract: a case report.

Unusual presentation of <i>Ascaris lumbricoides</i> in the urinary tract: a case report.

Unusual presentation of <i>Ascaris lumbricoides</i> in the urinary tract: a case report.

Unusual presentation of Ascaris lumbricoides in the urinary tract: a case report.

Ascaris lumbricoides is one of the most well-known helminthic parasites affecting humans. Ascariasis is prevalent in developing countries where inadequate water, sanitation, and hygiene facilitate human-to-human transmission. In this report, we present a case of a 20-year-old male who arrived at the emergency room with severe right flank pain, high-grade fever, and recurrent vomiting. Diagnostic evaluations were conducted, including a complete blood count test, urinalysis, stool analysis, abdominal ultrasound, and CT scan. The final diagnosis was A lumbricoides found in the distal part of the ureter. A ureteroscopy procedure confirmed the diagnosis and extracted the worm, which measured 6 cm in length, had a brown colour, and exhibited a tight elastic consistency. While Ascaris is commonly found in the gastrointestinal tract, its occurrence in the urinary tract is an extremely rare phenomenon. In our case, the most likely explanation is that the Ascaris accessed the distal ureter through retrograde migration, wherein the worm traverses from the bladder into the ureter.

求助全文
通过发布文献求助,成功后即可免费获取论文全文。 去求助
来源期刊
BJR Case Reports
BJR Case Reports RADIOLOGY, NUCLEAR MEDICINE & MEDICAL IMAGING-
自引率
0.00%
发文量
77
审稿时长
11 weeks
×
引用
GB/T 7714-2015
复制
MLA
复制
APA
复制
导出至
BibTeX EndNote RefMan NoteFirst NoteExpress
×
提示
您的信息不完整,为了账户安全,请先补充。
现在去补充
×
提示
您因"违规操作"
具体请查看互助需知
我知道了
×
提示
确定
请完成安全验证×
copy
已复制链接
快去分享给好友吧!
我知道了
右上角分享
点击右上角分享
0
联系我们:info@booksci.cn Book学术提供免费学术资源搜索服务,方便国内外学者检索中英文文献。致力于提供最便捷和优质的服务体验。 Copyright © 2023 布克学术 All rights reserved.
京ICP备2023020795号-1
ghs 京公网安备 11010802042870号
Book学术文献互助
Book学术文献互助群
群 号:604180095
Book学术官方微信