蝶下颌韧带钙化:一个罕见的限制开口的儿科病人。

IF 1.3 4区 医学 Q4 RADIOLOGY, NUCLEAR MEDICINE & MEDICAL IMAGING
Journal of the Belgian Society of Radiology Pub Date : 2025-02-18 eCollection Date: 2025-01-01 DOI:10.5334/jbsr.3749
Sarah Kechtban, Pierre-Antoine Poncelet, Timothée Dontaine
{"title":"蝶下颌韧带钙化:一个罕见的限制开口的儿科病人。","authors":"Sarah Kechtban, Pierre-Antoine Poncelet, Timothée Dontaine","doi":"10.5334/jbsr.3749","DOIUrl":null,"url":null,"abstract":"<p><p>This report aims to present a very rare case of progressive limited mouth opening (trismus) in an 8‑year‑old child caused by calcification of the sphenomandibular ligament. This case highlights the difficulty of diagnostic and therapeutic challenges associated with this disorder. We discuss the detailed clinical and radiological approach, including the imaging techniques used to identify the calcification, as well as the treatment option chosen, namely maxillofacial physiotherapy. This report provides new information to the existing literature on this rare entity and to provide useful information for the clinical management of similar cases. <i>Teaching point:</i> Sphenomandibular ligament ossification is a very rare cause of limitation of mouth opening and can be a challenging diagnosis.</p>","PeriodicalId":55987,"journal":{"name":"Journal of the Belgian Society of Radiology","volume":"109 1","pages":"4"},"PeriodicalIF":1.3000,"publicationDate":"2025-02-18","publicationTypes":"Journal Article","fieldsOfStudy":null,"isOpenAccess":false,"openAccessPdf":"https://www.ncbi.nlm.nih.gov/pmc/articles/PMC11843920/pdf/","citationCount":"0","resultStr":"{\"title\":\"Calcification of the Sphenomandibular Ligament: A Rare Case of Restricted Mouth Opening in a Pediatric Patient.\",\"authors\":\"Sarah Kechtban, Pierre-Antoine Poncelet, Timothée Dontaine\",\"doi\":\"10.5334/jbsr.3749\",\"DOIUrl\":null,\"url\":null,\"abstract\":\"<p><p>This report aims to present a very rare case of progressive limited mouth opening (trismus) in an 8‑year‑old child caused by calcification of the sphenomandibular ligament. This case highlights the difficulty of diagnostic and therapeutic challenges associated with this disorder. We discuss the detailed clinical and radiological approach, including the imaging techniques used to identify the calcification, as well as the treatment option chosen, namely maxillofacial physiotherapy. This report provides new information to the existing literature on this rare entity and to provide useful information for the clinical management of similar cases. <i>Teaching point:</i> Sphenomandibular ligament ossification is a very rare cause of limitation of mouth opening and can be a challenging diagnosis.</p>\",\"PeriodicalId\":55987,\"journal\":{\"name\":\"Journal of the Belgian Society of Radiology\",\"volume\":\"109 1\",\"pages\":\"4\"},\"PeriodicalIF\":1.3000,\"publicationDate\":\"2025-02-18\",\"publicationTypes\":\"Journal Article\",\"fieldsOfStudy\":null,\"isOpenAccess\":false,\"openAccessPdf\":\"https://www.ncbi.nlm.nih.gov/pmc/articles/PMC11843920/pdf/\",\"citationCount\":\"0\",\"resultStr\":null,\"platform\":\"Semanticscholar\",\"paperid\":null,\"PeriodicalName\":\"Journal of the Belgian Society of Radiology\",\"FirstCategoryId\":\"3\",\"ListUrlMain\":\"https://doi.org/10.5334/jbsr.3749\",\"RegionNum\":4,\"RegionCategory\":\"医学\",\"ArticlePicture\":[],\"TitleCN\":null,\"AbstractTextCN\":null,\"PMCID\":null,\"EPubDate\":\"2025/1/1 0:00:00\",\"PubModel\":\"eCollection\",\"JCR\":\"Q4\",\"JCRName\":\"RADIOLOGY, NUCLEAR MEDICINE & MEDICAL IMAGING\",\"Score\":null,\"Total\":0}","platform":"Semanticscholar","paperid":null,"PeriodicalName":"Journal of the Belgian Society of Radiology","FirstCategoryId":"3","ListUrlMain":"https://doi.org/10.5334/jbsr.3749","RegionNum":4,"RegionCategory":"医学","ArticlePicture":[],"TitleCN":null,"AbstractTextCN":null,"PMCID":null,"EPubDate":"2025/1/1 0:00:00","PubModel":"eCollection","JCR":"Q4","JCRName":"RADIOLOGY, NUCLEAR MEDICINE & MEDICAL IMAGING","Score":null,"Total":0}
引用次数: 0

摘要

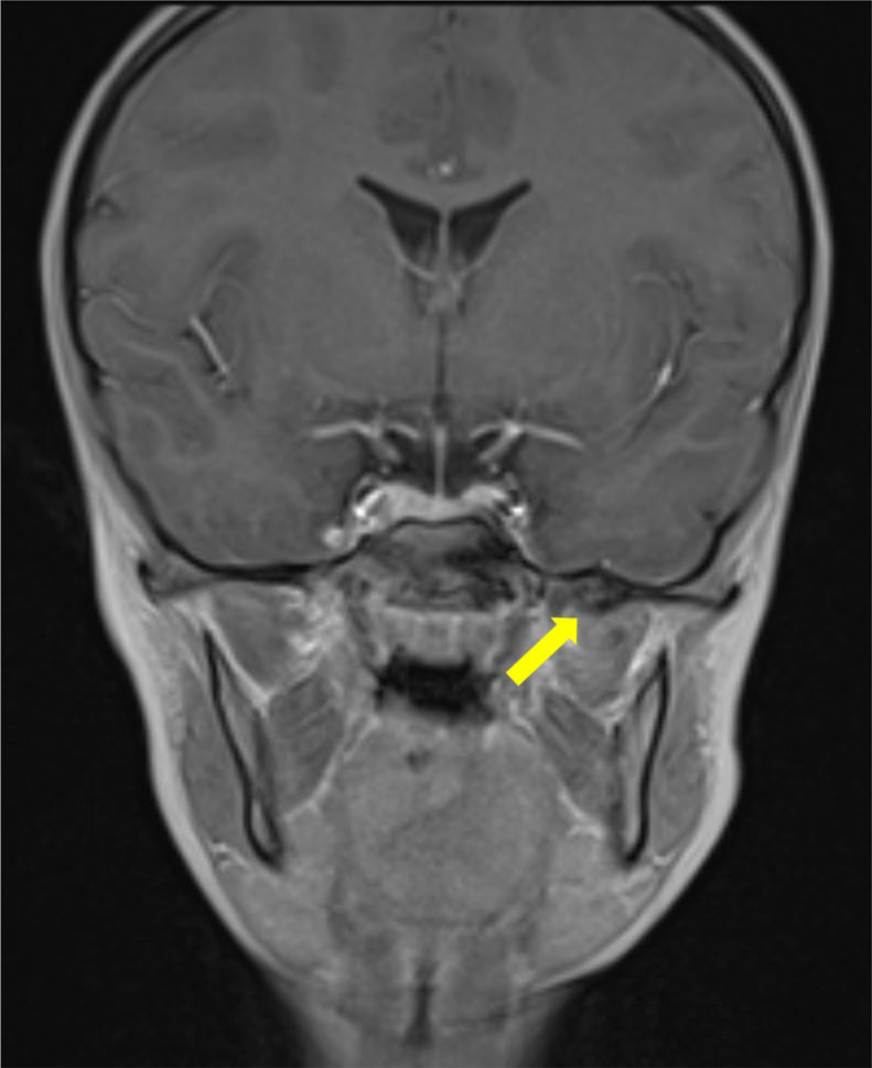
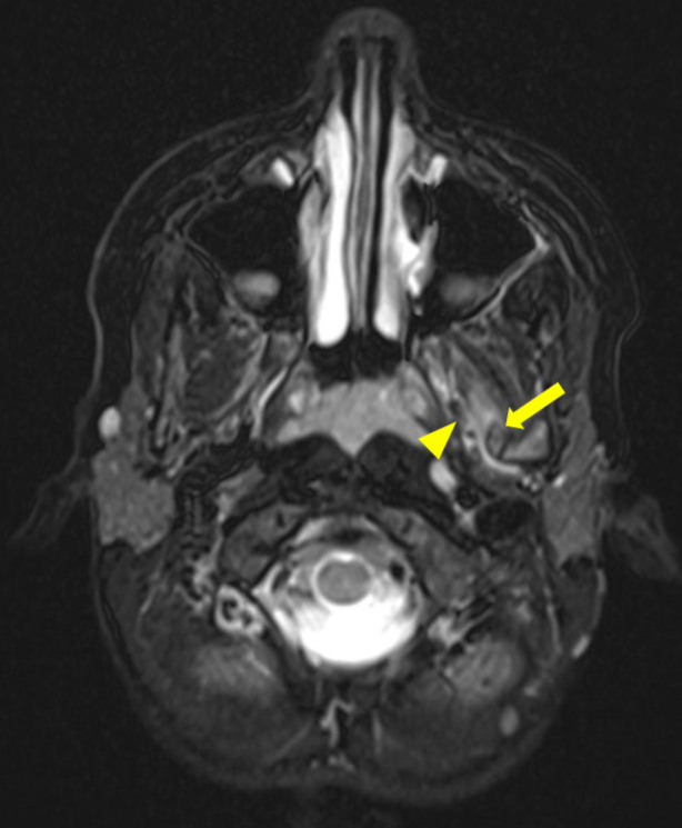
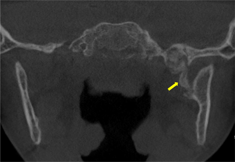
本报告报告一例非常罕见的8岁儿童,由蝶下颌韧带钙化引起的进行性限制开口(牙关)。这个病例突出了与这种疾病相关的诊断和治疗挑战的困难。我们讨论了详细的临床和放射学方法,包括用于识别钙化的成像技术,以及所选择的治疗方案,即颌面物理治疗。本报告提供了新的信息,现有文献对这种罕见的实体和提供有用的信息,临床管理类似的情况下。教学要点:蝶下颌韧带骨化症是一种非常罕见的导致张嘴受限的原因,也是一种具有挑战性的诊断。
本文章由计算机程序翻译,如有差异,请以英文原文为准。

Calcification of the Sphenomandibular Ligament: A Rare Case of Restricted Mouth Opening in a Pediatric Patient.

Calcification of the Sphenomandibular Ligament: A Rare Case of Restricted Mouth Opening in a Pediatric Patient.

Calcification of the Sphenomandibular Ligament: A Rare Case of Restricted Mouth Opening in a Pediatric Patient.

Calcification of the Sphenomandibular Ligament: A Rare Case of Restricted Mouth Opening in a Pediatric Patient.

This report aims to present a very rare case of progressive limited mouth opening (trismus) in an 8‑year‑old child caused by calcification of the sphenomandibular ligament. This case highlights the difficulty of diagnostic and therapeutic challenges associated with this disorder. We discuss the detailed clinical and radiological approach, including the imaging techniques used to identify the calcification, as well as the treatment option chosen, namely maxillofacial physiotherapy. This report provides new information to the existing literature on this rare entity and to provide useful information for the clinical management of similar cases. Teaching point: Sphenomandibular ligament ossification is a very rare cause of limitation of mouth opening and can be a challenging diagnosis.

求助全文
通过发布文献求助,成功后即可免费获取论文全文。 去求助
来源期刊
Journal of the Belgian Society of Radiology
Journal of the Belgian Society of Radiology Medicine-Radiology, Nuclear Medicine and Imaging
CiteScore
0.70
自引率
5.00%
发文量
96
期刊介绍: The purpose of the Journal of the Belgian Society of Radiology is the publication of articles dealing with diagnostic and interventional radiology, related imaging techniques, allied sciences, and continuing education.
×
引用
GB/T 7714-2015
复制
MLA
复制
APA
复制
导出至
BibTeX EndNote RefMan NoteFirst NoteExpress
×
提示
您的信息不完整,为了账户安全,请先补充。
现在去补充
×
提示
您因"违规操作"
具体请查看互助需知
我知道了
×
提示
确定
请完成安全验证×
copy
已复制链接
快去分享给好友吧!
我知道了
右上角分享
点击右上角分享
0
联系我们:info@booksci.cn Book学术提供免费学术资源搜索服务,方便国内外学者检索中英文文献。致力于提供最便捷和优质的服务体验。 Copyright © 2023 布克学术 All rights reserved.
京ICP备2023020795号-1
ghs 京公网安备 11010802042870号
Book学术文献互助
Book学术文献互助群
群 号:604180095
Book学术官方微信