控释地塞米松对脑膜炎模型耳蜗骨化的预防作用。

IF 1.2 4区 医学 Q3 OTORHINOLARYNGOLOGY
Fakih Cihat Eravcı, Ömer Kaplan, Fahriye Kılınç, Metin Doğan, Hamdi Arbağ, Miyase Orhan
{"title":"控释地塞米松对脑膜炎模型耳蜗骨化的预防作用。","authors":"Fakih Cihat Eravcı, Ömer Kaplan, Fahriye Kılınç, Metin Doğan, Hamdi Arbağ, Miyase Orhan","doi":"10.1177/00034894251322616","DOIUrl":null,"url":null,"abstract":"<p><strong>Objective: </strong>Despite vaccination and early antibiotic treatment, pneumococcal meningitis remains a disease with significant mortality and morbidity. The resulting inflammatory response can lead to cochlear fibrosis, ossification where cochlear implant surgeries are far challenging. Our study aimed to investigate the preventive effect of controlled-release dexamethasone implant in such cases in terms of structural integrity.</p><p><strong>Methods: </strong>Twenty-four rats were induced with pneumococcal meningitis and randomized into study (n = 16) and control (n = 8) groups. Controlled-release dexamethasone implants were placed transbullarly into the right round window of the study group. Bilateral cochleas underwent histological examination 3 months post-infection.</p><p><strong>Results: </strong>In the study, cochlear effects of pneumococcal meningitis were evaluated. The basal turn was significantly more affected by fibrosis and ossification (<i>P</i> = .013 and .010, respectively). Compared with control ears, the dexamethasone implant group showed less fibrosis in all turns and less ossification in the basal turn (<i>P</i> = .014, .003, .044, and .035, respectively).</p><p><strong>Conclusion: </strong>In pneumococcal meningitis, fibrosis and ossification occur more intensively in the basal turn of the cochlea. Controlled-release dexamethasone implants are effective in preventing cochlear ossification and fibrosis. The prevention from the structural damage indicates the potential role of these dexamethasone implants in post-meningitic hearing loss and easing cochlear implant surgeries.</p>","PeriodicalId":50975,"journal":{"name":"Annals of Otology Rhinology and Laryngology","volume":" ","pages":"476-484"},"PeriodicalIF":1.2000,"publicationDate":"2025-07-01","publicationTypes":"Journal Article","fieldsOfStudy":null,"isOpenAccess":false,"openAccessPdf":"https://www.ncbi.nlm.nih.gov/pmc/articles/PMC12177190/pdf/","citationCount":"0","resultStr":"{\"title\":\"Preventive Effect of Controlled-Release Dexamethasone on Cochlear Ossification in Meningitis Model.\",\"authors\":\"Fakih Cihat Eravcı, Ömer Kaplan, Fahriye Kılınç, Metin Doğan, Hamdi Arbağ, Miyase Orhan\",\"doi\":\"10.1177/00034894251322616\",\"DOIUrl\":null,\"url\":null,\"abstract\":\"<p><strong>Objective: </strong>Despite vaccination and early antibiotic treatment, pneumococcal meningitis remains a disease with significant mortality and morbidity. The resulting inflammatory response can lead to cochlear fibrosis, ossification where cochlear implant surgeries are far challenging. Our study aimed to investigate the preventive effect of controlled-release dexamethasone implant in such cases in terms of structural integrity.</p><p><strong>Methods: </strong>Twenty-four rats were induced with pneumococcal meningitis and randomized into study (n = 16) and control (n = 8) groups. Controlled-release dexamethasone implants were placed transbullarly into the right round window of the study group. Bilateral cochleas underwent histological examination 3 months post-infection.</p><p><strong>Results: </strong>In the study, cochlear effects of pneumococcal meningitis were evaluated. The basal turn was significantly more affected by fibrosis and ossification (<i>P</i> = .013 and .010, respectively). Compared with control ears, the dexamethasone implant group showed less fibrosis in all turns and less ossification in the basal turn (<i>P</i> = .014, .003, .044, and .035, respectively).</p><p><strong>Conclusion: </strong>In pneumococcal meningitis, fibrosis and ossification occur more intensively in the basal turn of the cochlea. Controlled-release dexamethasone implants are effective in preventing cochlear ossification and fibrosis. The prevention from the structural damage indicates the potential role of these dexamethasone implants in post-meningitic hearing loss and easing cochlear implant surgeries.</p>\",\"PeriodicalId\":50975,\"journal\":{\"name\":\"Annals of Otology Rhinology and Laryngology\",\"volume\":\" \",\"pages\":\"476-484\"},\"PeriodicalIF\":1.2000,\"publicationDate\":\"2025-07-01\",\"publicationTypes\":\"Journal Article\",\"fieldsOfStudy\":null,\"isOpenAccess\":false,\"openAccessPdf\":\"https://www.ncbi.nlm.nih.gov/pmc/articles/PMC12177190/pdf/\",\"citationCount\":\"0\",\"resultStr\":null,\"platform\":\"Semanticscholar\",\"paperid\":null,\"PeriodicalName\":\"Annals of Otology Rhinology and Laryngology\",\"FirstCategoryId\":\"3\",\"ListUrlMain\":\"https://doi.org/10.1177/00034894251322616\",\"RegionNum\":4,\"RegionCategory\":\"医学\",\"ArticlePicture\":[],\"TitleCN\":null,\"AbstractTextCN\":null,\"PMCID\":null,\"EPubDate\":\"2025/2/24 0:00:00\",\"PubModel\":\"Epub\",\"JCR\":\"Q3\",\"JCRName\":\"OTORHINOLARYNGOLOGY\",\"Score\":null,\"Total\":0}","platform":"Semanticscholar","paperid":null,"PeriodicalName":"Annals of Otology Rhinology and Laryngology","FirstCategoryId":"3","ListUrlMain":"https://doi.org/10.1177/00034894251322616","RegionNum":4,"RegionCategory":"医学","ArticlePicture":[],"TitleCN":null,"AbstractTextCN":null,"PMCID":null,"EPubDate":"2025/2/24 0:00:00","PubModel":"Epub","JCR":"Q3","JCRName":"OTORHINOLARYNGOLOGY","Score":null,"Total":0}
引用次数: 0

摘要

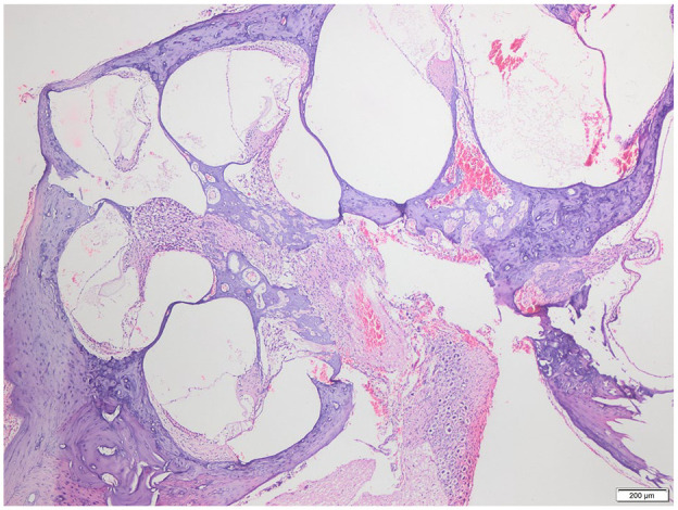
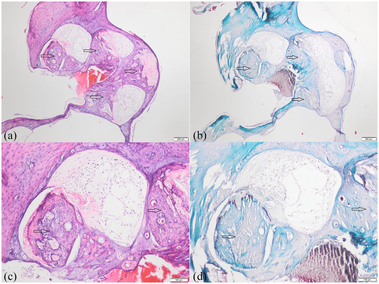
目的:尽管疫苗接种和早期抗生素治疗,肺炎球菌脑膜炎仍然是一种具有显著死亡率和发病率的疾病。由此产生的炎症反应可导致耳蜗纤维化,骨化,这是人工耳蜗手术的一大挑战。我们的研究旨在探讨控释地塞米松种植体在这种情况下对结构完整性的预防作用。方法:将24只肺炎球菌性脑膜炎大鼠随机分为研究组(n = 16)和对照组(n = 8)。控制性地塞米松植入物经球囊置入研究组右圆窗。感染后3个月行双侧耳蜗组织学检查。结果:本研究评价了肺炎球菌性脑膜炎对耳蜗的影响。基底转角受纤维化和骨化的影响更大(P =。分别为0.013和0.010)。与对照耳比较,地塞米松植入组各匝间纤维化减少,基底匝骨化减少(P =。分别为0.014、0.003、0.044和0.035)。结论:肺炎球菌性脑膜炎中,纤维化和骨化多发于耳蜗基底部。控释地塞米松植入物可有效预防耳蜗骨化和纤维化。对结构损伤的预防表明地塞米松植入物在脑膜后听力损失和减轻人工耳蜗手术中的潜在作用。
本文章由计算机程序翻译,如有差异,请以英文原文为准。

Preventive Effect of Controlled-Release Dexamethasone on Cochlear Ossification in Meningitis Model.

Preventive Effect of Controlled-Release Dexamethasone on Cochlear Ossification in Meningitis Model.

Preventive Effect of Controlled-Release Dexamethasone on Cochlear Ossification in Meningitis Model.

Preventive Effect of Controlled-Release Dexamethasone on Cochlear Ossification in Meningitis Model.

Objective: Despite vaccination and early antibiotic treatment, pneumococcal meningitis remains a disease with significant mortality and morbidity. The resulting inflammatory response can lead to cochlear fibrosis, ossification where cochlear implant surgeries are far challenging. Our study aimed to investigate the preventive effect of controlled-release dexamethasone implant in such cases in terms of structural integrity.

Methods: Twenty-four rats were induced with pneumococcal meningitis and randomized into study (n = 16) and control (n = 8) groups. Controlled-release dexamethasone implants were placed transbullarly into the right round window of the study group. Bilateral cochleas underwent histological examination 3 months post-infection.

Results: In the study, cochlear effects of pneumococcal meningitis were evaluated. The basal turn was significantly more affected by fibrosis and ossification (P = .013 and .010, respectively). Compared with control ears, the dexamethasone implant group showed less fibrosis in all turns and less ossification in the basal turn (P = .014, .003, .044, and .035, respectively).

Conclusion: In pneumococcal meningitis, fibrosis and ossification occur more intensively in the basal turn of the cochlea. Controlled-release dexamethasone implants are effective in preventing cochlear ossification and fibrosis. The prevention from the structural damage indicates the potential role of these dexamethasone implants in post-meningitic hearing loss and easing cochlear implant surgeries.

求助全文
通过发布文献求助,成功后即可免费获取论文全文。 去求助
来源期刊
CiteScore
3.10
自引率
7.10%
发文量
171
审稿时长
4-8 weeks
期刊介绍: The Annals of Otology, Rhinology & Laryngology publishes original manuscripts of clinical and research importance in otolaryngology–head and neck medicine and surgery, otology, neurotology, bronchoesophagology, laryngology, rhinology, head and neck oncology and surgery, plastic and reconstructive surgery, pediatric otolaryngology, audiology, and speech pathology. In-depth studies (supplements), papers of historical interest, and reviews of computer software and applications in otolaryngology are also published, as well as imaging, pathology, and clinicopathology studies, book reviews, and letters to the editor. AOR is the official journal of the American Broncho-Esophagological Association.
×
引用
GB/T 7714-2015
复制
MLA
复制
APA
复制
导出至
BibTeX EndNote RefMan NoteFirst NoteExpress
×
提示
您的信息不完整,为了账户安全,请先补充。
现在去补充
×
提示
您因"违规操作"
具体请查看互助需知
我知道了
×
提示
确定
请完成安全验证×
copy
已复制链接
快去分享给好友吧!
我知道了
右上角分享
点击右上角分享
0
联系我们:info@booksci.cn Book学术提供免费学术资源搜索服务,方便国内外学者检索中英文文献。致力于提供最便捷和优质的服务体验。 Copyright © 2023 布克学术 All rights reserved.
京ICP备2023020795号-1
ghs 京公网安备 11010802042870号
Book学术文献互助
Book学术文献互助群
群 号:604180095
Book学术官方微信