结直肠富含黏液蛋白的传统锯齿状腺瘤的内镜和临床病理特征。

IF 3.6 3区 医学 Q2 GASTROENTEROLOGY & HEPATOLOGY
Digestion Pub Date : 2025-01-01 Epub Date: 2025-02-21 DOI:10.1159/000543700
Eiji Kamba, Takashi Murakami, Naoki Tsugawa, Yudai Otsuki, Kei Nomura, Yuichiro Kadomatsu, Hirofumi Fukushima, Tsuyoshi Saito, Tomoyoshi Shibuya, Takashi Yao, Akihito Nagahara
{"title":"结直肠富含黏液蛋白的传统锯齿状腺瘤的内镜和临床病理特征。","authors":"Eiji Kamba, Takashi Murakami, Naoki Tsugawa, Yudai Otsuki, Kei Nomura, Yuichiro Kadomatsu, Hirofumi Fukushima, Tsuyoshi Saito, Tomoyoshi Shibuya, Takashi Yao, Akihito Nagahara","doi":"10.1159/000543700","DOIUrl":null,"url":null,"abstract":"<p><strong>Introduction: </strong>The mucin-rich variant of traditional serrated adenoma (MR-TSA), pathologically defined by the presence of goblet cells comprising over 50% of the lesion compared to the absorptive epithelial eosinophilic cytoplasm, was recently introduced as one morphological variants of traditional serrated adenoma (TSA). This study aimed to characterize the endoscopic and clinicopathological characteristics of MR-TSAs.</p><p><strong>Methods: </strong>Lesions pathologically diagnosed as TSAs at our hospital between 2011 and 2023 were reviewed. We analyzed the endoscopic and clinicopathological features of 49 MR-TSAs and 236 conventional TSAs (C-TSAs). Furthermore, immunohistochemical and genetic analyses were performed to ensure that there were no discrepancies with our previous study.</p><p><strong>Results: </strong>MR-TSAs, like C-TSAs, were often located in the sigmoid colon and rectum, with no significant difference in lesion size. Macroscopically, MR-TSAs frequently appeared as type 0-Is with a weak reddish color and had a mucous cap, less often exhibiting a pinecone-like or coral-shaped appearance compared to C-TSAs (p < 0.001). Magnifying endoscopy showed expanded crypt openings in 80% of MR-TSAs (p < 0.001). Both groups had similar IIIH and IVH pit patterns. Immunohistochemical analysis revealed that MUC5AC was expressed more frequently in MR-TSAs than in C-TSAs. Additionally, genetic analysis showed that MR-TSAs more frequently harbored the BRAF mutation than C-TSAs (p < 0.001), whereas MR-TSAs less frequently harbored the KRAS mutation than C-TSAs (p = 0.047).</p><p><strong>Conclusion: </strong>MR-TSAs, frequently harboring the BRAF but not KRAS mutation, exhibited several distinct endoscopic findings, including a sessile morphology, lack of pinecone-like or coral-like appearance, weak reddish color, and mucous cap.</p>","PeriodicalId":11315,"journal":{"name":"Digestion","volume":" ","pages":"314-326"},"PeriodicalIF":3.6000,"publicationDate":"2025-01-01","publicationTypes":"Journal Article","fieldsOfStudy":null,"isOpenAccess":false,"openAccessPdf":"https://www.ncbi.nlm.nih.gov/pmc/articles/PMC12324798/pdf/","citationCount":"0","resultStr":"{\"title\":\"Endoscopic and Clinicopathological Features of a Colorectal Mucin-Rich Variant of Traditional Serrated Adenoma.\",\"authors\":\"Eiji Kamba, Takashi Murakami, Naoki Tsugawa, Yudai Otsuki, Kei Nomura, Yuichiro Kadomatsu, Hirofumi Fukushima, Tsuyoshi Saito, Tomoyoshi Shibuya, Takashi Yao, Akihito Nagahara\",\"doi\":\"10.1159/000543700\",\"DOIUrl\":null,\"url\":null,\"abstract\":\"<p><strong>Introduction: </strong>The mucin-rich variant of traditional serrated adenoma (MR-TSA), pathologically defined by the presence of goblet cells comprising over 50% of the lesion compared to the absorptive epithelial eosinophilic cytoplasm, was recently introduced as one morphological variants of traditional serrated adenoma (TSA). This study aimed to characterize the endoscopic and clinicopathological characteristics of MR-TSAs.</p><p><strong>Methods: </strong>Lesions pathologically diagnosed as TSAs at our hospital between 2011 and 2023 were reviewed. We analyzed the endoscopic and clinicopathological features of 49 MR-TSAs and 236 conventional TSAs (C-TSAs). Furthermore, immunohistochemical and genetic analyses were performed to ensure that there were no discrepancies with our previous study.</p><p><strong>Results: </strong>MR-TSAs, like C-TSAs, were often located in the sigmoid colon and rectum, with no significant difference in lesion size. Macroscopically, MR-TSAs frequently appeared as type 0-Is with a weak reddish color and had a mucous cap, less often exhibiting a pinecone-like or coral-shaped appearance compared to C-TSAs (p < 0.001). Magnifying endoscopy showed expanded crypt openings in 80% of MR-TSAs (p < 0.001). Both groups had similar IIIH and IVH pit patterns. Immunohistochemical analysis revealed that MUC5AC was expressed more frequently in MR-TSAs than in C-TSAs. Additionally, genetic analysis showed that MR-TSAs more frequently harbored the BRAF mutation than C-TSAs (p < 0.001), whereas MR-TSAs less frequently harbored the KRAS mutation than C-TSAs (p = 0.047).</p><p><strong>Conclusion: </strong>MR-TSAs, frequently harboring the BRAF but not KRAS mutation, exhibited several distinct endoscopic findings, including a sessile morphology, lack of pinecone-like or coral-like appearance, weak reddish color, and mucous cap.</p>\",\"PeriodicalId\":11315,\"journal\":{\"name\":\"Digestion\",\"volume\":\" \",\"pages\":\"314-326\"},\"PeriodicalIF\":3.6000,\"publicationDate\":\"2025-01-01\",\"publicationTypes\":\"Journal Article\",\"fieldsOfStudy\":null,\"isOpenAccess\":false,\"openAccessPdf\":\"https://www.ncbi.nlm.nih.gov/pmc/articles/PMC12324798/pdf/\",\"citationCount\":\"0\",\"resultStr\":null,\"platform\":\"Semanticscholar\",\"paperid\":null,\"PeriodicalName\":\"Digestion\",\"FirstCategoryId\":\"3\",\"ListUrlMain\":\"https://doi.org/10.1159/000543700\",\"RegionNum\":3,\"RegionCategory\":\"医学\",\"ArticlePicture\":[],\"TitleCN\":null,\"AbstractTextCN\":null,\"PMCID\":null,\"EPubDate\":\"2025/2/21 0:00:00\",\"PubModel\":\"Epub\",\"JCR\":\"Q2\",\"JCRName\":\"GASTROENTEROLOGY & HEPATOLOGY\",\"Score\":null,\"Total\":0}","platform":"Semanticscholar","paperid":null,"PeriodicalName":"Digestion","FirstCategoryId":"3","ListUrlMain":"https://doi.org/10.1159/000543700","RegionNum":3,"RegionCategory":"医学","ArticlePicture":[],"TitleCN":null,"AbstractTextCN":null,"PMCID":null,"EPubDate":"2025/2/21 0:00:00","PubModel":"Epub","JCR":"Q2","JCRName":"GASTROENTEROLOGY & HEPATOLOGY","Score":null,"Total":0}
引用次数: 0

摘要

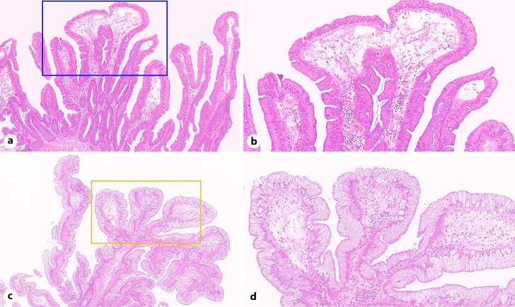
摘要:传统锯齿状腺瘤(MR-TSA)富含黏液蛋白的变体,病理学上定义为与吸收性上皮嗜酸性细胞质相比,杯状细胞占病变的50%以上,最近被介绍为传统锯齿状腺瘤(TSA)的一种形态变体。本研究旨在描述mr - tsa的内镜和临床病理特征。方法:回顾性分析我院2011 ~ 2023年病理诊断为TSAs的病变。我们分析了49例mr - tsa和236例常规tsa (c - tsa)的内镜和临床病理特征。此外,我们还进行了免疫组织化学和遗传分析,以确保与我们之前的研究没有差异。结果:mr - tsa与c - tsa一样多位于乙状结肠和直肠,病变大小无明显差异。宏观上,mr - tsa常表现为0- i型,呈淡红色,有粘液帽,与c - tsa相比,较少表现为松果状或珊瑚状外观(p < 0.001)。放大内镜显示80% MR-TSAs的隐窝开口扩大(p < 0.001)。两组均有相似的iih和IVH窝型。免疫组化分析显示,MUC5AC在MR-TSAs中的表达频率高于C-TSAs。此外,遗传分析显示,MR-TSAs比C-TSAs更频繁地携带BRAF突变(p < 0.001),而MR-TSAs比C-TSAs更频繁地携带KRAS突变(p = 0.047)。结论:mr - tsa经常携带BRAF,但不携带KRAS突变,在内镜下表现出几种不同的表现,包括无根状形态,缺乏松果样或珊瑚样外观,淡红色和粘液帽。
本文章由计算机程序翻译,如有差异,请以英文原文为准。

Endoscopic and Clinicopathological Features of a Colorectal Mucin-Rich Variant of Traditional Serrated Adenoma.

Endoscopic and Clinicopathological Features of a Colorectal Mucin-Rich Variant of Traditional Serrated Adenoma.

Endoscopic and Clinicopathological Features of a Colorectal Mucin-Rich Variant of Traditional Serrated Adenoma.

Endoscopic and Clinicopathological Features of a Colorectal Mucin-Rich Variant of Traditional Serrated Adenoma.

Introduction: The mucin-rich variant of traditional serrated adenoma (MR-TSA), pathologically defined by the presence of goblet cells comprising over 50% of the lesion compared to the absorptive epithelial eosinophilic cytoplasm, was recently introduced as one morphological variants of traditional serrated adenoma (TSA). This study aimed to characterize the endoscopic and clinicopathological characteristics of MR-TSAs.

Methods: Lesions pathologically diagnosed as TSAs at our hospital between 2011 and 2023 were reviewed. We analyzed the endoscopic and clinicopathological features of 49 MR-TSAs and 236 conventional TSAs (C-TSAs). Furthermore, immunohistochemical and genetic analyses were performed to ensure that there were no discrepancies with our previous study.

Results: MR-TSAs, like C-TSAs, were often located in the sigmoid colon and rectum, with no significant difference in lesion size. Macroscopically, MR-TSAs frequently appeared as type 0-Is with a weak reddish color and had a mucous cap, less often exhibiting a pinecone-like or coral-shaped appearance compared to C-TSAs (p < 0.001). Magnifying endoscopy showed expanded crypt openings in 80% of MR-TSAs (p < 0.001). Both groups had similar IIIH and IVH pit patterns. Immunohistochemical analysis revealed that MUC5AC was expressed more frequently in MR-TSAs than in C-TSAs. Additionally, genetic analysis showed that MR-TSAs more frequently harbored the BRAF mutation than C-TSAs (p < 0.001), whereas MR-TSAs less frequently harbored the KRAS mutation than C-TSAs (p = 0.047).

Conclusion: MR-TSAs, frequently harboring the BRAF but not KRAS mutation, exhibited several distinct endoscopic findings, including a sessile morphology, lack of pinecone-like or coral-like appearance, weak reddish color, and mucous cap.

求助全文
通过发布文献求助,成功后即可免费获取论文全文。 去求助
来源期刊
Digestion
Digestion 医学-胃肠肝病学
CiteScore
7.90
自引率
0.00%
发文量
39
审稿时长
6-12 weeks
期刊介绍: ''Digestion'' concentrates on clinical research reports: in addition to editorials and reviews, the journal features sections on Stomach/Esophagus, Bowel, Neuro-Gastroenterology, Liver/Bile, Pancreas, Metabolism/Nutrition and Gastrointestinal Oncology. Papers cover physiology in humans, metabolic studies and clinical work on the etiology, diagnosis, and therapy of human diseases. It is thus especially cut out for gastroenterologists employed in hospitals and outpatient units. Moreover, the journal''s coverage of studies on the metabolism and effects of therapeutic drugs carries considerable value for clinicians and investigators beyond the immediate field of gastroenterology.
×
引用
GB/T 7714-2015
复制
MLA
复制
APA
复制
导出至
BibTeX EndNote RefMan NoteFirst NoteExpress
×
提示
您的信息不完整,为了账户安全,请先补充。
现在去补充
×
提示
您因"违规操作"
具体请查看互助需知
我知道了
×
提示
确定
请完成安全验证×
copy
已复制链接
快去分享给好友吧!
我知道了
右上角分享
点击右上角分享
0
联系我们:info@booksci.cn Book学术提供免费学术资源搜索服务,方便国内外学者检索中英文文献。致力于提供最便捷和优质的服务体验。 Copyright © 2023 布克学术 All rights reserved.
京ICP备2023020795号-1
ghs 京公网安备 11010802042870号
Book学术文献互助
Book学术文献互助群
群 号:604180095
Book学术官方微信