如何利用解剖-血流动力学标志在经导管动脉导管未闭闭合中避免动脉通路。

IF 1.3 Q4 CARDIAC & CARDIOVASCULAR SYSTEMS
Journal of the Saudi Heart Association Pub Date : 2025-01-26 eCollection Date: 2025-01-01 DOI:10.37616/2212-5043.1415
Mohit Sachan, Kumar Himanshu, Mukesh J Jha, Santosh K Sinha, Mahmodullah Razi, Awadhesh K Sharma, Puneet Aggarwal, Praveen Shukla, Umeshwar Pandey, Rakesh Verma
{"title":"如何利用解剖-血流动力学标志在经导管动脉导管未闭闭合中避免动脉通路。","authors":"Mohit Sachan, Kumar Himanshu, Mukesh J Jha, Santosh K Sinha, Mahmodullah Razi, Awadhesh K Sharma, Puneet Aggarwal, Praveen Shukla, Umeshwar Pandey, Rakesh Verma","doi":"10.37616/2212-5043.1415","DOIUrl":null,"url":null,"abstract":"<p><strong>Objective: </strong>To evaluate the feasibility, safety, and efficacy of transcatheter closure (TCC) of patent ductus arteriosus (PDA) using anatomo-haemodynamic landmark without any arteriography.</p><p><strong>Method: </strong>In this prospective, non-randomized study, all consecutive patients with PDA undergoing transcatheter closure at LPS Institute of Cardiology, Kanpur, India between January 2019 and June 2024 were evaluated. TCC was performed using anatomical and haemodynamicl landmark without aortogram, and device was deployed through antegrade route only. Transthoracic echocardiography with colour-Doppler imaging was used to confirm position of the device before final deployment. Primary outcome was procedural and fluoroscopy time, and major complications (access site complications, device embolization, residual shunt ≥ grade 3, haemolysis, flow acceleration in left pulmonary artery and descending thoracic aorta, and death). Success was defined as complete closure of shunt without any major complications.</p><p><strong>Result: </strong>TCC was successfully performed through antegrade route in 250 patients (age: 2.3 ± 1.2 years; weight: 10.3 ± 9.8 kg) while 16 patients were excluded for various reasons. Mean diameter of duct was 6.7 ± 4.5 mm. Male and female comprised 176 (70.4%) and 74 (29.6%) respectively. PDA were type A (n = 195; 78%), B (n = 27; 10.8%), C (n = 20; 8%), and (n = 8; 3.2%). TCC was successful in all patients although dislodgement was noted in 1 (0.04%). Lifetech duct occluder and Konar MFO were most commonly used devices in 156 (62.4%) and 33 (13.2%) patients respectively. Immediate closure was achieved in 233 (93.2%) patients while remaining 17 (7.8%) with grade I or II shunt on echocardiogram had complete closure in 2 days. Device embolization was observed in 1 (0.4%) patient while flow acceleration in DTA were observed in 5 (2%) patients. Procedure was successful in 99.6% using antegrade while TCC using isolated venous route was successful in 94%.</p><p><strong>Conclusion: </strong>TCC of PDA using anatomo-haemodynamic landmark and avoiding arterial access is feasible, safe, and effective, with excellent results on short and medium-term follow-up.</p>","PeriodicalId":17319,"journal":{"name":"Journal of the Saudi Heart Association","volume":"37 1","pages":"5"},"PeriodicalIF":1.3000,"publicationDate":"2025-01-26","publicationTypes":"Journal Article","fieldsOfStudy":null,"isOpenAccess":false,"openAccessPdf":"https://www.ncbi.nlm.nih.gov/pmc/articles/PMC11839175/pdf/","citationCount":"0","resultStr":"{\"title\":\"How to Avoid Arterial Access During Transcatheter Closure of Patent Ductus Arteriosus Using Anatomo-haemodynamic Landmark.\",\"authors\":\"Mohit Sachan, Kumar Himanshu, Mukesh J Jha, Santosh K Sinha, Mahmodullah Razi, Awadhesh K Sharma, Puneet Aggarwal, Praveen Shukla, Umeshwar Pandey, Rakesh Verma\",\"doi\":\"10.37616/2212-5043.1415\",\"DOIUrl\":null,\"url\":null,\"abstract\":\"<p><strong>Objective: </strong>To evaluate the feasibility, safety, and efficacy of transcatheter closure (TCC) of patent ductus arteriosus (PDA) using anatomo-haemodynamic landmark without any arteriography.</p><p><strong>Method: </strong>In this prospective, non-randomized study, all consecutive patients with PDA undergoing transcatheter closure at LPS Institute of Cardiology, Kanpur, India between January 2019 and June 2024 were evaluated. TCC was performed using anatomical and haemodynamicl landmark without aortogram, and device was deployed through antegrade route only. Transthoracic echocardiography with colour-Doppler imaging was used to confirm position of the device before final deployment. Primary outcome was procedural and fluoroscopy time, and major complications (access site complications, device embolization, residual shunt ≥ grade 3, haemolysis, flow acceleration in left pulmonary artery and descending thoracic aorta, and death). Success was defined as complete closure of shunt without any major complications.</p><p><strong>Result: </strong>TCC was successfully performed through antegrade route in 250 patients (age: 2.3 ± 1.2 years; weight: 10.3 ± 9.8 kg) while 16 patients were excluded for various reasons. Mean diameter of duct was 6.7 ± 4.5 mm. Male and female comprised 176 (70.4%) and 74 (29.6%) respectively. PDA were type A (n = 195; 78%), B (n = 27; 10.8%), C (n = 20; 8%), and (n = 8; 3.2%). TCC was successful in all patients although dislodgement was noted in 1 (0.04%). Lifetech duct occluder and Konar MFO were most commonly used devices in 156 (62.4%) and 33 (13.2%) patients respectively. Immediate closure was achieved in 233 (93.2%) patients while remaining 17 (7.8%) with grade I or II shunt on echocardiogram had complete closure in 2 days. Device embolization was observed in 1 (0.4%) patient while flow acceleration in DTA were observed in 5 (2%) patients. Procedure was successful in 99.6% using antegrade while TCC using isolated venous route was successful in 94%.</p><p><strong>Conclusion: </strong>TCC of PDA using anatomo-haemodynamic landmark and avoiding arterial access is feasible, safe, and effective, with excellent results on short and medium-term follow-up.</p>\",\"PeriodicalId\":17319,\"journal\":{\"name\":\"Journal of the Saudi Heart Association\",\"volume\":\"37 1\",\"pages\":\"5\"},\"PeriodicalIF\":1.3000,\"publicationDate\":\"2025-01-26\",\"publicationTypes\":\"Journal Article\",\"fieldsOfStudy\":null,\"isOpenAccess\":false,\"openAccessPdf\":\"https://www.ncbi.nlm.nih.gov/pmc/articles/PMC11839175/pdf/\",\"citationCount\":\"0\",\"resultStr\":null,\"platform\":\"Semanticscholar\",\"paperid\":null,\"PeriodicalName\":\"Journal of the Saudi Heart Association\",\"FirstCategoryId\":\"1085\",\"ListUrlMain\":\"https://doi.org/10.37616/2212-5043.1415\",\"RegionNum\":0,\"RegionCategory\":null,\"ArticlePicture\":[],\"TitleCN\":null,\"AbstractTextCN\":null,\"PMCID\":null,\"EPubDate\":\"2025/1/1 0:00:00\",\"PubModel\":\"eCollection\",\"JCR\":\"Q4\",\"JCRName\":\"CARDIAC & CARDIOVASCULAR SYSTEMS\",\"Score\":null,\"Total\":0}","platform":"Semanticscholar","paperid":null,"PeriodicalName":"Journal of the Saudi Heart Association","FirstCategoryId":"1085","ListUrlMain":"https://doi.org/10.37616/2212-5043.1415","RegionNum":0,"RegionCategory":null,"ArticlePicture":[],"TitleCN":null,"AbstractTextCN":null,"PMCID":null,"EPubDate":"2025/1/1 0:00:00","PubModel":"eCollection","JCR":"Q4","JCRName":"CARDIAC & CARDIOVASCULAR SYSTEMS","Score":null,"Total":0}
引用次数: 0

摘要

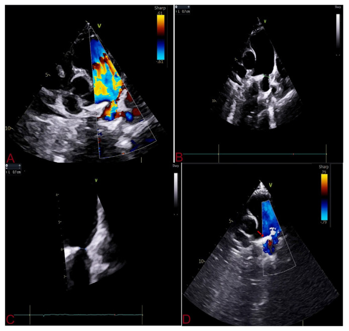
目的:评价不经动脉造影、解剖血流动力学标记经导管闭合术(TCC)治疗动脉导管未闭的可行性、安全性和有效性。方法:在这项前瞻性、非随机研究中,对2019年1月至2024年6月在印度坎普尔LPS心脏病研究所连续接受经导管闭合术的所有PDA患者进行评估。TCC采用解剖和血流动力学标记,无主动脉造影,设备仅通过顺行路径部署。经胸超声心动图和彩色多普勒成像在最终部署前确认装置的位置。主要转归是手术和透视时间、主要并发症(通路部位并发症、器械栓塞、残留分流≥3级、溶血、左肺动脉和胸降主动脉血流加速和死亡)。成功被定义为完全关闭分流没有任何主要并发症。结果:250例患者经顺行行TCC手术成功(年龄:2.3±1.2岁;体重:10.3±9.8 kg), 16例因各种原因被排除。导管平均直径6.7±4.5 mm。男性和女性分别为176人(70.4%)和74人(29.6%)。PDA为A型(n = 195;78%), B (n = 27;10.8%), C (n = 20;8%), (n = 8;3.2%)。TCC在所有患者中都是成功的,尽管有1例患者出现脱位(0.04%)。Lifetech导管闭塞器和Konar MFO分别是156例(62.4%)和33例(13.2%)患者最常用的器械。233例(93.2%)患者立即闭合,其余17例(7.8%)超声心动图显示为I级或II级分流的患者在2天内完全闭合。器械栓塞1例(0.4%),DTA血流加速5例(2%)。顺行治疗的成功率为99.6%,而单独静脉途径治疗的成功率为94%。结论:采用解剖血流动力学标志,避开动脉通道行PDA TCC是可行、安全、有效的,中短期随访效果良好。
本文章由计算机程序翻译,如有差异,请以英文原文为准。

How to Avoid Arterial Access During Transcatheter Closure of Patent Ductus Arteriosus Using Anatomo-haemodynamic Landmark.

How to Avoid Arterial Access During Transcatheter Closure of Patent Ductus Arteriosus Using Anatomo-haemodynamic Landmark.

How to Avoid Arterial Access During Transcatheter Closure of Patent Ductus Arteriosus Using Anatomo-haemodynamic Landmark.

How to Avoid Arterial Access During Transcatheter Closure of Patent Ductus Arteriosus Using Anatomo-haemodynamic Landmark.

Objective: To evaluate the feasibility, safety, and efficacy of transcatheter closure (TCC) of patent ductus arteriosus (PDA) using anatomo-haemodynamic landmark without any arteriography.

Method: In this prospective, non-randomized study, all consecutive patients with PDA undergoing transcatheter closure at LPS Institute of Cardiology, Kanpur, India between January 2019 and June 2024 were evaluated. TCC was performed using anatomical and haemodynamicl landmark without aortogram, and device was deployed through antegrade route only. Transthoracic echocardiography with colour-Doppler imaging was used to confirm position of the device before final deployment. Primary outcome was procedural and fluoroscopy time, and major complications (access site complications, device embolization, residual shunt ≥ grade 3, haemolysis, flow acceleration in left pulmonary artery and descending thoracic aorta, and death). Success was defined as complete closure of shunt without any major complications.

Result: TCC was successfully performed through antegrade route in 250 patients (age: 2.3 ± 1.2 years; weight: 10.3 ± 9.8 kg) while 16 patients were excluded for various reasons. Mean diameter of duct was 6.7 ± 4.5 mm. Male and female comprised 176 (70.4%) and 74 (29.6%) respectively. PDA were type A (n = 195; 78%), B (n = 27; 10.8%), C (n = 20; 8%), and (n = 8; 3.2%). TCC was successful in all patients although dislodgement was noted in 1 (0.04%). Lifetech duct occluder and Konar MFO were most commonly used devices in 156 (62.4%) and 33 (13.2%) patients respectively. Immediate closure was achieved in 233 (93.2%) patients while remaining 17 (7.8%) with grade I or II shunt on echocardiogram had complete closure in 2 days. Device embolization was observed in 1 (0.4%) patient while flow acceleration in DTA were observed in 5 (2%) patients. Procedure was successful in 99.6% using antegrade while TCC using isolated venous route was successful in 94%.

Conclusion: TCC of PDA using anatomo-haemodynamic landmark and avoiding arterial access is feasible, safe, and effective, with excellent results on short and medium-term follow-up.

求助全文
通过发布文献求助,成功后即可免费获取论文全文。 去求助
来源期刊
Journal of the Saudi Heart Association
Journal of the Saudi Heart Association CARDIAC & CARDIOVASCULAR SYSTEMS-
CiteScore
1.40
自引率
0.00%
发文量
30
审稿时长
15 weeks
×
引用
GB/T 7714-2015
复制
MLA
复制
APA
复制
导出至
BibTeX EndNote RefMan NoteFirst NoteExpress
×
提示
您的信息不完整,为了账户安全,请先补充。
现在去补充
×
提示
您因"违规操作"
具体请查看互助需知
我知道了
×
提示
确定
请完成安全验证×
copy
已复制链接
快去分享给好友吧!
我知道了
右上角分享
点击右上角分享
0
联系我们:info@booksci.cn Book学术提供免费学术资源搜索服务,方便国内外学者检索中英文文献。致力于提供最便捷和优质的服务体验。 Copyright © 2023 布克学术 All rights reserved.
京ICP备2023020795号-1
ghs 京公网安备 11010802042870号
Book学术文献互助
Book学术文献互助群
群 号:604180095
Book学术官方微信