超越脑- vogt - koyanagi - harada综合征(VKH):一种罕见的脑眼耳(BEE)综合征,最初表现为无菌性脑膜炎-神经学家的观点。

IF 1.5 Q3 HEALTH CARE SCIENCES & SERVICES
Erum Shariff, Asma Khalaf Alzuabi
{"title":"超越脑- vogt - koyanagi - harada综合征(VKH):一种罕见的脑眼耳(BEE)综合征,最初表现为无菌性脑膜炎-神经学家的观点。","authors":"Erum Shariff, Asma Khalaf Alzuabi","doi":"10.4314/ejhs.v34i4.10","DOIUrl":null,"url":null,"abstract":"<p><strong>Background: </strong>The triad of central nervous system, hearing, and visual disturbances is an often encountered scenario. Vogt Koyanagi-Harada (VKH) is a rare syndrome affecting tissues with melanocytes and characterized by bilateral diffuse granulomatous uveitis, meningeal involvement, and hearing impairment. VKH is considered a rare cause of Brain Eye and Ear (BEE) syndrome.</p><p><strong>Case: </strong>We describe a case of a 32-year-old healthy lady who was admitted to neurology with the initial impression of aseptic meningitis. She had subacute onset of headache and fever, associated with blurring of vision and painful eye movements. Visual acuity 20/250 of the right eye and 20/80 of the left eye. Intra-ocular pressure measured 12 for the right eye and 14 for the left eye, and extraocular muscle movements were full Slit lamp examination showed a quite conjunctiva and clear cornea; however, there was an anterior chamber reaction of 2+ cells. The fundus exam showed mild vitritis with hyperemic disc swelling of both eyes and exudative retinal detachment bilaterally. Macular optical coherence tomography (OCT) demonstrated the presence of vitritis, pockets of subretinal fluids with bacillary layer detachment, and choroidal thickening. She was treated with steroids and mycophenolate mofetil with an excellent outcome.</p><p><strong>Conclusion: </strong>Early diagnosis has good outcomes and of crucial to prevent damage to the photoreceptors and subsequent poor visual outcomes. The presence of a distinctive expression in one BEE organ should prompt the appropriate investigations and multidisciplinary team involvement to avoid permanent vision loss.</p>","PeriodicalId":12003,"journal":{"name":"Ethiopian Journal of Health Sciences","volume":"34 4","pages":"345-349"},"PeriodicalIF":1.5000,"publicationDate":"2024-07-01","publicationTypes":"Journal Article","fieldsOfStudy":null,"isOpenAccess":false,"openAccessPdf":"https://www.ncbi.nlm.nih.gov/pmc/articles/PMC11837806/pdf/","citationCount":"0","resultStr":"{\"title\":\"Beyond the Brain-Vogt-Koyanagi-Harada Syndrome (VKH): A Rare Brain Eye and Ear (BEE) Syndrome Presenting initially as Aseptic Meningitis- a Neurologist Perspective.\",\"authors\":\"Erum Shariff, Asma Khalaf Alzuabi\",\"doi\":\"10.4314/ejhs.v34i4.10\",\"DOIUrl\":null,\"url\":null,\"abstract\":\"<p><strong>Background: </strong>The triad of central nervous system, hearing, and visual disturbances is an often encountered scenario. Vogt Koyanagi-Harada (VKH) is a rare syndrome affecting tissues with melanocytes and characterized by bilateral diffuse granulomatous uveitis, meningeal involvement, and hearing impairment. VKH is considered a rare cause of Brain Eye and Ear (BEE) syndrome.</p><p><strong>Case: </strong>We describe a case of a 32-year-old healthy lady who was admitted to neurology with the initial impression of aseptic meningitis. She had subacute onset of headache and fever, associated with blurring of vision and painful eye movements. Visual acuity 20/250 of the right eye and 20/80 of the left eye. Intra-ocular pressure measured 12 for the right eye and 14 for the left eye, and extraocular muscle movements were full Slit lamp examination showed a quite conjunctiva and clear cornea; however, there was an anterior chamber reaction of 2+ cells. The fundus exam showed mild vitritis with hyperemic disc swelling of both eyes and exudative retinal detachment bilaterally. Macular optical coherence tomography (OCT) demonstrated the presence of vitritis, pockets of subretinal fluids with bacillary layer detachment, and choroidal thickening. She was treated with steroids and mycophenolate mofetil with an excellent outcome.</p><p><strong>Conclusion: </strong>Early diagnosis has good outcomes and of crucial to prevent damage to the photoreceptors and subsequent poor visual outcomes. The presence of a distinctive expression in one BEE organ should prompt the appropriate investigations and multidisciplinary team involvement to avoid permanent vision loss.</p>\",\"PeriodicalId\":12003,\"journal\":{\"name\":\"Ethiopian Journal of Health Sciences\",\"volume\":\"34 4\",\"pages\":\"345-349\"},\"PeriodicalIF\":1.5000,\"publicationDate\":\"2024-07-01\",\"publicationTypes\":\"Journal Article\",\"fieldsOfStudy\":null,\"isOpenAccess\":false,\"openAccessPdf\":\"https://www.ncbi.nlm.nih.gov/pmc/articles/PMC11837806/pdf/\",\"citationCount\":\"0\",\"resultStr\":null,\"platform\":\"Semanticscholar\",\"paperid\":null,\"PeriodicalName\":\"Ethiopian Journal of Health Sciences\",\"FirstCategoryId\":\"1085\",\"ListUrlMain\":\"https://doi.org/10.4314/ejhs.v34i4.10\",\"RegionNum\":0,\"RegionCategory\":null,\"ArticlePicture\":[],\"TitleCN\":null,\"AbstractTextCN\":null,\"PMCID\":null,\"EPubDate\":\"\",\"PubModel\":\"\",\"JCR\":\"Q3\",\"JCRName\":\"HEALTH CARE SCIENCES & SERVICES\",\"Score\":null,\"Total\":0}","platform":"Semanticscholar","paperid":null,"PeriodicalName":"Ethiopian Journal of Health Sciences","FirstCategoryId":"1085","ListUrlMain":"https://doi.org/10.4314/ejhs.v34i4.10","RegionNum":0,"RegionCategory":null,"ArticlePicture":[],"TitleCN":null,"AbstractTextCN":null,"PMCID":null,"EPubDate":"","PubModel":"","JCR":"Q3","JCRName":"HEALTH CARE SCIENCES & SERVICES","Score":null,"Total":0}
引用次数: 0

摘要

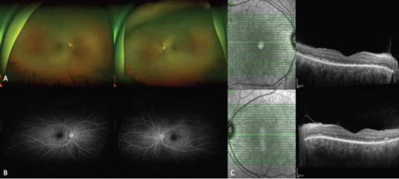
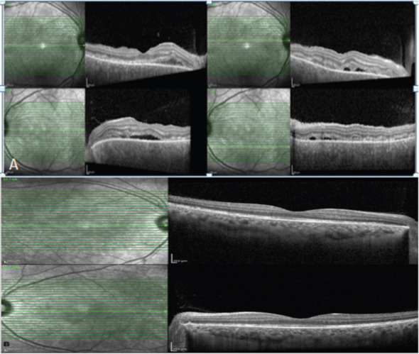
背景:中枢神经系统、听觉和视觉障碍是一种经常遇到的情况。Vogt Koyanagi-Harada (VKH)是一种罕见的影响黑素细胞组织的综合征,以双侧弥漫性肉芽肿性葡萄膜炎、脑膜受累和听力障碍为特征。VKH被认为是脑眼耳(BEE)综合征的罕见病因。病例:我们描述了一个32岁的健康女性谁是入院神经病与无菌性脑膜炎的初步印象。她有亚急性头痛和发热,伴有视力模糊和眼动疼痛。右眼视力20/250,左眼20/80。右眼眼内压12,左眼眼内压14,眼外肌运动完全,裂隙灯检查结膜完好,角膜清晰;然而,有2+细胞前房反应。眼底检查显示轻度玻璃体炎伴双眼充血性椎间盘肿胀及双侧渗出性视网膜脱离。黄斑光学相干断层扫描(OCT)显示存在玻璃体炎,视网膜下液体袋伴细菌层脱离,脉络膜增厚。她接受类固醇和霉酚酸酯治疗,结果良好。结论:早期诊断具有良好的预后,对防止光感受器损伤和随后的视力不良至关重要。在一个BEE器官中出现一种独特的表达应该促使适当的调查和多学科团队的参与,以避免永久性视力丧失。
本文章由计算机程序翻译,如有差异,请以英文原文为准。

Beyond the Brain-Vogt-Koyanagi-Harada Syndrome (VKH): A Rare Brain Eye and Ear (BEE) Syndrome Presenting initially as Aseptic Meningitis- a Neurologist Perspective.

Beyond the Brain-Vogt-Koyanagi-Harada Syndrome (VKH): A Rare Brain Eye and Ear (BEE) Syndrome Presenting initially as Aseptic Meningitis- a Neurologist Perspective.

Beyond the Brain-Vogt-Koyanagi-Harada Syndrome (VKH): A Rare Brain Eye and Ear (BEE) Syndrome Presenting initially as Aseptic Meningitis- a Neurologist Perspective.

Background: The triad of central nervous system, hearing, and visual disturbances is an often encountered scenario. Vogt Koyanagi-Harada (VKH) is a rare syndrome affecting tissues with melanocytes and characterized by bilateral diffuse granulomatous uveitis, meningeal involvement, and hearing impairment. VKH is considered a rare cause of Brain Eye and Ear (BEE) syndrome.

Case: We describe a case of a 32-year-old healthy lady who was admitted to neurology with the initial impression of aseptic meningitis. She had subacute onset of headache and fever, associated with blurring of vision and painful eye movements. Visual acuity 20/250 of the right eye and 20/80 of the left eye. Intra-ocular pressure measured 12 for the right eye and 14 for the left eye, and extraocular muscle movements were full Slit lamp examination showed a quite conjunctiva and clear cornea; however, there was an anterior chamber reaction of 2+ cells. The fundus exam showed mild vitritis with hyperemic disc swelling of both eyes and exudative retinal detachment bilaterally. Macular optical coherence tomography (OCT) demonstrated the presence of vitritis, pockets of subretinal fluids with bacillary layer detachment, and choroidal thickening. She was treated with steroids and mycophenolate mofetil with an excellent outcome.

Conclusion: Early diagnosis has good outcomes and of crucial to prevent damage to the photoreceptors and subsequent poor visual outcomes. The presence of a distinctive expression in one BEE organ should prompt the appropriate investigations and multidisciplinary team involvement to avoid permanent vision loss.

求助全文
通过发布文献求助,成功后即可免费获取论文全文。 去求助
来源期刊
Ethiopian Journal of Health Sciences
Ethiopian Journal of Health Sciences HEALTH CARE SCIENCES & SERVICES-
CiteScore
2.10
自引率
8.30%
发文量
137
审稿时长
12 weeks
期刊介绍: Ethiopian Journal of Health Sciences is a general health science journal addressing clinical medicine, public health and biomedical sciences. Rarely, it covers veterinary medicine
×
引用
GB/T 7714-2015
复制
MLA
复制
APA
复制
导出至
BibTeX EndNote RefMan NoteFirst NoteExpress
×
提示
您的信息不完整,为了账户安全,请先补充。
现在去补充
×
提示
您因"违规操作"
具体请查看互助需知
我知道了
×
提示
确定
请完成安全验证×
copy
已复制链接
快去分享给好友吧!
我知道了
右上角分享
点击右上角分享
0
联系我们:info@booksci.cn Book学术提供免费学术资源搜索服务,方便国内外学者检索中英文文献。致力于提供最便捷和优质的服务体验。 Copyright © 2023 布克学术 All rights reserved.
京ICP备2023020795号-1
ghs 京公网安备 11010802042870号
Book学术文献互助
Book学术文献互助群
群 号:604180095
Book学术官方微信