上腔静脉再通期间的间歇超声心动图监测:心包积血的早期识别和处理方案。

IF 1.5 Q3 CARDIAC & CARDIOVASCULAR SYSTEMS
Kara M Fitzgerald, David S Shin, Eric J Monroe, Matthew Abad Santos, Ethan Hua, Jeffrey Forris Beecham Chick
{"title":"上腔静脉再通期间的间歇超声心动图监测:心包积血的早期识别和处理方案。","authors":"Kara M Fitzgerald, David S Shin, Eric J Monroe, Matthew Abad Santos, Ethan Hua, Jeffrey Forris Beecham Chick","doi":"10.1186/s42155-025-00524-3","DOIUrl":null,"url":null,"abstract":"<p><strong>Purpose: </strong>Endovascular recanalization and stent reconstruction constitute an effective and safe treatment option for symptomatic thoracic central venous obstruction (TCVO). Rare life-threatening adverse events are possible during or immediately following the procedure, with the most feared one being hemopericardium with cardiac tamponade. A technique to improve efficiency in detection and treatment of cardiac tamponade is described.</p><p><strong>Materials and methods: </strong>An institutional protocol was established for intraprocedural transthoracic echocardiographic monitoring during the TCVO recanalization procedures. The lower chest and upper abdomen were prepared within the sterile field. A separate stand was set up with unopened supplies needed for pericardial drain placement. Intermittent echocardiographic monitoring was performed throughout the TCVO procedure using a dedicated curvilinear probe prepared on the field. If indicated, an image guided pericardial drain was placed expeditiously.</p><p><strong>Results: </strong>Four cases of cardiac tamponade were encountered during or immediately post-procedure. All cases demonstrated technically successful and prompt pericardial drain placement with immediate reversal of the tamponade physiology.</p><p><strong>Conclusion: </strong>Echocardiographic monitoring during TCVO reconstruction by interventional radiologists is a useful technique which may aid in early diagnosis and management of cardiac tamponade.</p>","PeriodicalId":52351,"journal":{"name":"CVIR Endovascular","volume":"8 1","pages":"14"},"PeriodicalIF":1.5000,"publicationDate":"2025-02-20","publicationTypes":"Journal Article","fieldsOfStudy":null,"isOpenAccess":false,"openAccessPdf":"https://www.ncbi.nlm.nih.gov/pmc/articles/PMC11842650/pdf/","citationCount":"0","resultStr":"{\"title\":\"Intermittent Echocardiographic Monitoring During Superior Vena Cava Recanalization: A Protocol for Early Recognition and Management of Hemopericardium.\",\"authors\":\"Kara M Fitzgerald, David S Shin, Eric J Monroe, Matthew Abad Santos, Ethan Hua, Jeffrey Forris Beecham Chick\",\"doi\":\"10.1186/s42155-025-00524-3\",\"DOIUrl\":null,\"url\":null,\"abstract\":\"<p><strong>Purpose: </strong>Endovascular recanalization and stent reconstruction constitute an effective and safe treatment option for symptomatic thoracic central venous obstruction (TCVO). Rare life-threatening adverse events are possible during or immediately following the procedure, with the most feared one being hemopericardium with cardiac tamponade. A technique to improve efficiency in detection and treatment of cardiac tamponade is described.</p><p><strong>Materials and methods: </strong>An institutional protocol was established for intraprocedural transthoracic echocardiographic monitoring during the TCVO recanalization procedures. The lower chest and upper abdomen were prepared within the sterile field. A separate stand was set up with unopened supplies needed for pericardial drain placement. Intermittent echocardiographic monitoring was performed throughout the TCVO procedure using a dedicated curvilinear probe prepared on the field. If indicated, an image guided pericardial drain was placed expeditiously.</p><p><strong>Results: </strong>Four cases of cardiac tamponade were encountered during or immediately post-procedure. All cases demonstrated technically successful and prompt pericardial drain placement with immediate reversal of the tamponade physiology.</p><p><strong>Conclusion: </strong>Echocardiographic monitoring during TCVO reconstruction by interventional radiologists is a useful technique which may aid in early diagnosis and management of cardiac tamponade.</p>\",\"PeriodicalId\":52351,\"journal\":{\"name\":\"CVIR Endovascular\",\"volume\":\"8 1\",\"pages\":\"14\"},\"PeriodicalIF\":1.5000,\"publicationDate\":\"2025-02-20\",\"publicationTypes\":\"Journal Article\",\"fieldsOfStudy\":null,\"isOpenAccess\":false,\"openAccessPdf\":\"https://www.ncbi.nlm.nih.gov/pmc/articles/PMC11842650/pdf/\",\"citationCount\":\"0\",\"resultStr\":null,\"platform\":\"Semanticscholar\",\"paperid\":null,\"PeriodicalName\":\"CVIR Endovascular\",\"FirstCategoryId\":\"1085\",\"ListUrlMain\":\"https://doi.org/10.1186/s42155-025-00524-3\",\"RegionNum\":0,\"RegionCategory\":null,\"ArticlePicture\":[],\"TitleCN\":null,\"AbstractTextCN\":null,\"PMCID\":null,\"EPubDate\":\"\",\"PubModel\":\"\",\"JCR\":\"Q3\",\"JCRName\":\"CARDIAC & CARDIOVASCULAR SYSTEMS\",\"Score\":null,\"Total\":0}","platform":"Semanticscholar","paperid":null,"PeriodicalName":"CVIR Endovascular","FirstCategoryId":"1085","ListUrlMain":"https://doi.org/10.1186/s42155-025-00524-3","RegionNum":0,"RegionCategory":null,"ArticlePicture":[],"TitleCN":null,"AbstractTextCN":null,"PMCID":null,"EPubDate":"","PubModel":"","JCR":"Q3","JCRName":"CARDIAC & CARDIOVASCULAR SYSTEMS","Score":null,"Total":0}
引用次数: 0

摘要

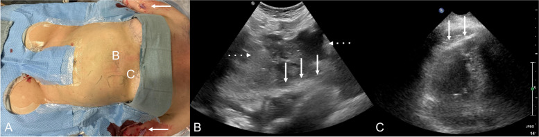
目的:血管内再通和支架重建是治疗症状性胸椎中心静脉阻塞(TCVO)的一种安全有效的治疗方法。在手术过程中或手术后可能发生罕见的危及生命的不良事件,最可怕的是心包积血合并心包填塞。本文介绍了一种提高心包填塞检测和治疗效率的技术。材料和方法:建立了TCVO再通术中经胸超声心动图监测的制度方案。在无菌场内制备下胸部和上腹部。在一个单独的支架上放置心包引流所需的未开封的补给品。在整个TCVO过程中,使用现场准备的专用曲线探头进行间歇性超声心动图监测。如有指示,立即在图像引导下放置心包引流管。结果:4例心包填塞在手术中或手术后立即发生。所有病例均表现出技术上的成功和及时的心包引流,并立即扭转了心包填塞生理。结论:介入放射科医师在TCVO重建过程中进行超声心动图监测是一种有用的技术,有助于心脏填塞的早期诊断和治疗。
本文章由计算机程序翻译,如有差异,请以英文原文为准。

Intermittent Echocardiographic Monitoring During Superior Vena Cava Recanalization: A Protocol for Early Recognition and Management of Hemopericardium.

Intermittent Echocardiographic Monitoring During Superior Vena Cava Recanalization: A Protocol for Early Recognition and Management of Hemopericardium.

Intermittent Echocardiographic Monitoring During Superior Vena Cava Recanalization: A Protocol for Early Recognition and Management of Hemopericardium.

Intermittent Echocardiographic Monitoring During Superior Vena Cava Recanalization: A Protocol for Early Recognition and Management of Hemopericardium.

Purpose: Endovascular recanalization and stent reconstruction constitute an effective and safe treatment option for symptomatic thoracic central venous obstruction (TCVO). Rare life-threatening adverse events are possible during or immediately following the procedure, with the most feared one being hemopericardium with cardiac tamponade. A technique to improve efficiency in detection and treatment of cardiac tamponade is described.

Materials and methods: An institutional protocol was established for intraprocedural transthoracic echocardiographic monitoring during the TCVO recanalization procedures. The lower chest and upper abdomen were prepared within the sterile field. A separate stand was set up with unopened supplies needed for pericardial drain placement. Intermittent echocardiographic monitoring was performed throughout the TCVO procedure using a dedicated curvilinear probe prepared on the field. If indicated, an image guided pericardial drain was placed expeditiously.

Results: Four cases of cardiac tamponade were encountered during or immediately post-procedure. All cases demonstrated technically successful and prompt pericardial drain placement with immediate reversal of the tamponade physiology.

Conclusion: Echocardiographic monitoring during TCVO reconstruction by interventional radiologists is a useful technique which may aid in early diagnosis and management of cardiac tamponade.

求助全文
通过发布文献求助,成功后即可免费获取论文全文。 去求助
来源期刊
CVIR Endovascular
CVIR Endovascular Medicine-Radiology, Nuclear Medicine and Imaging
CiteScore
2.30
自引率
0.00%
发文量
59
×
引用
GB/T 7714-2015
复制
MLA
复制
APA
复制
导出至
BibTeX EndNote RefMan NoteFirst NoteExpress
×
提示
您的信息不完整,为了账户安全,请先补充。
现在去补充
×
提示
您因"违规操作"
具体请查看互助需知
我知道了
×
提示
确定
请完成安全验证×
copy
已复制链接
快去分享给好友吧!
我知道了
右上角分享
点击右上角分享
0
联系我们:info@booksci.cn Book学术提供免费学术资源搜索服务,方便国内外学者检索中英文文献。致力于提供最便捷和优质的服务体验。 Copyright © 2023 布克学术 All rights reserved.
京ICP备2023020795号-1
ghs 京公网安备 11010802042870号
Book学术文献互助
Book学术文献互助群
群 号:604180095
Book学术官方微信