系统性红斑狼疮所致左室假性动脉瘤的修复。

IF 1.2
Mehmet Işık, Niyazi Görmüş
{"title":"系统性红斑狼疮所致左室假性动脉瘤的修复。","authors":"Mehmet Işık, Niyazi Görmüş","doi":"10.21470/1678-9741-2024-0038","DOIUrl":null,"url":null,"abstract":"<p><p>Systemic lupus erythematosus is a clinically heterogeneous autoimmune disease that frequently affects young women. The risk of cardiovascular events is higher in patients with this disease than in the general population. In this study, we report a patient who developed a left ventricular pseudoaneurysm with no etiological factor other than systemic lupus erythematosus. Dor ventriculoplasty and mitral ring replacement were performed as surgical treatment. The case is shared because of the rarity of left ventricular pseudoaneurysm due to systemic lupus erythematosus and successful pseudoaneurysm repair.</p>","PeriodicalId":72457,"journal":{"name":"Brazilian journal of cardiovascular surgery","volume":"40 1","pages":"e20240038"},"PeriodicalIF":1.2000,"publicationDate":"2025-02-17","publicationTypes":"Journal Article","fieldsOfStudy":null,"isOpenAccess":false,"openAccessPdf":"https://www.ncbi.nlm.nih.gov/pmc/articles/PMC11828475/pdf/","citationCount":"0","resultStr":"{\"title\":\"Repair of Left Ventricular Pseudoaneurysm Due to Systemic Lupus Erythematosus.\",\"authors\":\"Mehmet Işık, Niyazi Görmüş\",\"doi\":\"10.21470/1678-9741-2024-0038\",\"DOIUrl\":null,\"url\":null,\"abstract\":\"<p><p>Systemic lupus erythematosus is a clinically heterogeneous autoimmune disease that frequently affects young women. The risk of cardiovascular events is higher in patients with this disease than in the general population. In this study, we report a patient who developed a left ventricular pseudoaneurysm with no etiological factor other than systemic lupus erythematosus. Dor ventriculoplasty and mitral ring replacement were performed as surgical treatment. The case is shared because of the rarity of left ventricular pseudoaneurysm due to systemic lupus erythematosus and successful pseudoaneurysm repair.</p>\",\"PeriodicalId\":72457,\"journal\":{\"name\":\"Brazilian journal of cardiovascular surgery\",\"volume\":\"40 1\",\"pages\":\"e20240038\"},\"PeriodicalIF\":1.2000,\"publicationDate\":\"2025-02-17\",\"publicationTypes\":\"Journal Article\",\"fieldsOfStudy\":null,\"isOpenAccess\":false,\"openAccessPdf\":\"https://www.ncbi.nlm.nih.gov/pmc/articles/PMC11828475/pdf/\",\"citationCount\":\"0\",\"resultStr\":null,\"platform\":\"Semanticscholar\",\"paperid\":null,\"PeriodicalName\":\"Brazilian journal of cardiovascular surgery\",\"FirstCategoryId\":\"1085\",\"ListUrlMain\":\"https://doi.org/10.21470/1678-9741-2024-0038\",\"RegionNum\":0,\"RegionCategory\":null,\"ArticlePicture\":[],\"TitleCN\":null,\"AbstractTextCN\":null,\"PMCID\":null,\"EPubDate\":\"\",\"PubModel\":\"\",\"JCR\":\"\",\"JCRName\":\"\",\"Score\":null,\"Total\":0}","platform":"Semanticscholar","paperid":null,"PeriodicalName":"Brazilian journal of cardiovascular surgery","FirstCategoryId":"1085","ListUrlMain":"https://doi.org/10.21470/1678-9741-2024-0038","RegionNum":0,"RegionCategory":null,"ArticlePicture":[],"TitleCN":null,"AbstractTextCN":null,"PMCID":null,"EPubDate":"","PubModel":"","JCR":"","JCRName":"","Score":null,"Total":0}
引用次数: 0

摘要

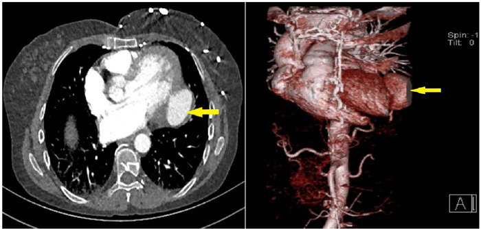
系统性红斑狼疮是一种临床异质性自身免疫性疾病,常见于年轻女性。该疾病患者发生心血管事件的风险高于一般人群。在这项研究中,我们报告了一个病人谁发展了左心室假性动脉瘤没有病因除了系统性红斑狼疮。脑室成形术和二尖瓣置换术作为手术治疗。这个病例是共享的,因为罕见的左心室假性动脉瘤由于系统性红斑狼疮和成功的假性动脉瘤修复。
本文章由计算机程序翻译,如有差异,请以英文原文为准。

Repair of Left Ventricular Pseudoaneurysm Due to Systemic Lupus Erythematosus.

Repair of Left Ventricular Pseudoaneurysm Due to Systemic Lupus Erythematosus.

Repair of Left Ventricular Pseudoaneurysm Due to Systemic Lupus Erythematosus.

Systemic lupus erythematosus is a clinically heterogeneous autoimmune disease that frequently affects young women. The risk of cardiovascular events is higher in patients with this disease than in the general population. In this study, we report a patient who developed a left ventricular pseudoaneurysm with no etiological factor other than systemic lupus erythematosus. Dor ventriculoplasty and mitral ring replacement were performed as surgical treatment. The case is shared because of the rarity of left ventricular pseudoaneurysm due to systemic lupus erythematosus and successful pseudoaneurysm repair.

求助全文
通过发布文献求助,成功后即可免费获取论文全文。 去求助
来源期刊
自引率
0.00%
发文量
0
×
引用
GB/T 7714-2015
复制
MLA
复制
APA
复制
导出至
BibTeX EndNote RefMan NoteFirst NoteExpress
×
提示
您的信息不完整,为了账户安全,请先补充。
现在去补充
×
提示
您因"违规操作"
具体请查看互助需知
我知道了
×
提示
确定
请完成安全验证×
copy
已复制链接
快去分享给好友吧!
我知道了
右上角分享
点击右上角分享
0
联系我们:info@booksci.cn Book学术提供免费学术资源搜索服务,方便国内外学者检索中英文文献。致力于提供最便捷和优质的服务体验。 Copyright © 2023 布克学术 All rights reserved.
京ICP备2023020795号-1
ghs 京公网安备 11010802042870号
Book学术文献互助
Book学术文献互助群
群 号:604180095
Book学术官方微信