3.7岁女性产生雄激素的嗜瘤性肾上腺皮质瘤。

IF 0.7 Q4 ENDOCRINOLOGY & METABOLISM
Kelli D Mans, Ghada A Elmahmudi, Jiri B Bedrnicek, Monina S Cabrera
{"title":"3.7岁女性产生雄激素的嗜瘤性肾上腺皮质瘤。","authors":"Kelli D Mans, Ghada A Elmahmudi, Jiri B Bedrnicek, Monina S Cabrera","doi":"10.1530/EDM-24-0143","DOIUrl":null,"url":null,"abstract":"<p><strong>Summary: </strong>We report a 3.7-year-old female who presented with clinical features of premature adrenarche. Workup revealed significantly elevated androgen levels and advanced bone maturation, prompting abdominal imaging that identified a 6.0 cm adrenal mass. She underwent unilateral adrenalectomy, and subsequent histopathology revealed a benign oncocytic adrenocortical adenoma. Post-adrenalectomy, androgen levels returned to pre-pubertal levels. A review of the literature on pediatric oncocytic adrenocortical neoplasms (OANs) is presented, and we add our case to the growing data of this rare disease in the pediatric population.</p><p><strong>Learning points: </strong>A high index of suspicion is necessary when encountering a prepubertal child with clinical signs of hyperandrogenism and advanced bone age. Oncocytic adrenocortical neoplasms are rare in children and are often benign, although they can be malignant or of uncertain malignant potential. Adrenalectomy is necessary for histopathological diagnosis and definitive treatment. Pediatric oncocytic adrenocortical neoplasms are typically associated with elevated androgens; however, they can have a variety of other abnormal hormonal profiles at presentation. Return to normal hormonal levels is common post-adrenalectomy.</p>","PeriodicalId":37467,"journal":{"name":"Endocrinology, Diabetes and Metabolism Case Reports","volume":"2025 1","pages":""},"PeriodicalIF":0.7000,"publicationDate":"2025-02-17","publicationTypes":"Journal Article","fieldsOfStudy":null,"isOpenAccess":false,"openAccessPdf":"https://www.ncbi.nlm.nih.gov/pmc/articles/PMC11850039/pdf/","citationCount":"0","resultStr":"{\"title\":\"Androgen producing oncocytic adrenocortical tumor in a 3.7-year-old female.\",\"authors\":\"Kelli D Mans, Ghada A Elmahmudi, Jiri B Bedrnicek, Monina S Cabrera\",\"doi\":\"10.1530/EDM-24-0143\",\"DOIUrl\":null,\"url\":null,\"abstract\":\"<p><strong>Summary: </strong>We report a 3.7-year-old female who presented with clinical features of premature adrenarche. Workup revealed significantly elevated androgen levels and advanced bone maturation, prompting abdominal imaging that identified a 6.0 cm adrenal mass. She underwent unilateral adrenalectomy, and subsequent histopathology revealed a benign oncocytic adrenocortical adenoma. Post-adrenalectomy, androgen levels returned to pre-pubertal levels. A review of the literature on pediatric oncocytic adrenocortical neoplasms (OANs) is presented, and we add our case to the growing data of this rare disease in the pediatric population.</p><p><strong>Learning points: </strong>A high index of suspicion is necessary when encountering a prepubertal child with clinical signs of hyperandrogenism and advanced bone age. Oncocytic adrenocortical neoplasms are rare in children and are often benign, although they can be malignant or of uncertain malignant potential. Adrenalectomy is necessary for histopathological diagnosis and definitive treatment. Pediatric oncocytic adrenocortical neoplasms are typically associated with elevated androgens; however, they can have a variety of other abnormal hormonal profiles at presentation. Return to normal hormonal levels is common post-adrenalectomy.</p>\",\"PeriodicalId\":37467,\"journal\":{\"name\":\"Endocrinology, Diabetes and Metabolism Case Reports\",\"volume\":\"2025 1\",\"pages\":\"\"},\"PeriodicalIF\":0.7000,\"publicationDate\":\"2025-02-17\",\"publicationTypes\":\"Journal Article\",\"fieldsOfStudy\":null,\"isOpenAccess\":false,\"openAccessPdf\":\"https://www.ncbi.nlm.nih.gov/pmc/articles/PMC11850039/pdf/\",\"citationCount\":\"0\",\"resultStr\":null,\"platform\":\"Semanticscholar\",\"paperid\":null,\"PeriodicalName\":\"Endocrinology, Diabetes and Metabolism Case Reports\",\"FirstCategoryId\":\"1085\",\"ListUrlMain\":\"https://doi.org/10.1530/EDM-24-0143\",\"RegionNum\":0,\"RegionCategory\":null,\"ArticlePicture\":[],\"TitleCN\":null,\"AbstractTextCN\":null,\"PMCID\":null,\"EPubDate\":\"2025/1/1 0:00:00\",\"PubModel\":\"Print\",\"JCR\":\"Q4\",\"JCRName\":\"ENDOCRINOLOGY & METABOLISM\",\"Score\":null,\"Total\":0}","platform":"Semanticscholar","paperid":null,"PeriodicalName":"Endocrinology, Diabetes and Metabolism Case Reports","FirstCategoryId":"1085","ListUrlMain":"https://doi.org/10.1530/EDM-24-0143","RegionNum":0,"RegionCategory":null,"ArticlePicture":[],"TitleCN":null,"AbstractTextCN":null,"PMCID":null,"EPubDate":"2025/1/1 0:00:00","PubModel":"Print","JCR":"Q4","JCRName":"ENDOCRINOLOGY & METABOLISM","Score":null,"Total":0}
引用次数: 0

摘要

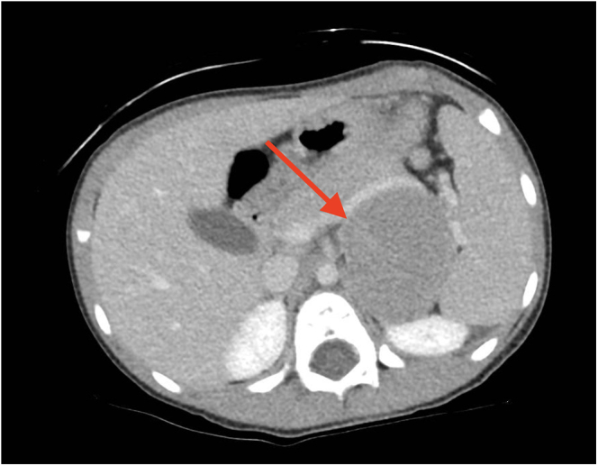
摘要:我们报告了一位3.7岁的女性,她表现为肾上腺早衰的临床特征。检查结果显示雄激素水平明显升高,骨成熟程度加快,腹部影像学显示一个6.0厘米的肾上腺肿块。她接受了单侧肾上腺切除术,随后的组织病理学显示为良性嗜瘤性肾上腺皮质腺瘤。肾上腺切除术后,雄激素水平恢复到青春期前的水平。回顾了儿科嗜瘤性肾上腺皮质肿瘤(OANs)的文献,并将我们的病例添加到儿科人群中这种罕见疾病的增长数据中。学习要点:当遇到有高雄激素和骨质老化临床症状的青春期前儿童时,高度怀疑是必要的。嗜瘤细胞性肾上腺皮质肿瘤在儿童中很少见,通常是良性的,尽管它们也可能是恶性的或有不确定的恶性潜能。肾上腺切除术是组织病理学诊断和明确治疗的必要条件。儿童嗜瘤性肾上腺皮质肿瘤通常与雄激素升高有关;然而,他们在表现时可能有各种其他异常的激素谱。肾上腺切除术后恢复正常的激素水平是很常见的。
本文章由计算机程序翻译,如有差异,请以英文原文为准。

Androgen producing oncocytic adrenocortical tumor in a 3.7-year-old female.

Androgen producing oncocytic adrenocortical tumor in a 3.7-year-old female.

Androgen producing oncocytic adrenocortical tumor in a 3.7-year-old female.

Androgen producing oncocytic adrenocortical tumor in a 3.7-year-old female.

Summary: We report a 3.7-year-old female who presented with clinical features of premature adrenarche. Workup revealed significantly elevated androgen levels and advanced bone maturation, prompting abdominal imaging that identified a 6.0 cm adrenal mass. She underwent unilateral adrenalectomy, and subsequent histopathology revealed a benign oncocytic adrenocortical adenoma. Post-adrenalectomy, androgen levels returned to pre-pubertal levels. A review of the literature on pediatric oncocytic adrenocortical neoplasms (OANs) is presented, and we add our case to the growing data of this rare disease in the pediatric population.

Learning points: A high index of suspicion is necessary when encountering a prepubertal child with clinical signs of hyperandrogenism and advanced bone age. Oncocytic adrenocortical neoplasms are rare in children and are often benign, although they can be malignant or of uncertain malignant potential. Adrenalectomy is necessary for histopathological diagnosis and definitive treatment. Pediatric oncocytic adrenocortical neoplasms are typically associated with elevated androgens; however, they can have a variety of other abnormal hormonal profiles at presentation. Return to normal hormonal levels is common post-adrenalectomy.

求助全文
通过发布文献求助,成功后即可免费获取论文全文。 去求助
来源期刊
CiteScore
1.50
自引率
0.00%
发文量
142
审稿时长
9 weeks
期刊介绍: Endocrinology, Diabetes & Metabolism Case Reports publishes case reports on common and rare conditions in all areas of clinical endocrinology, diabetes and metabolism. Articles should include clear learning points which readers can use to inform medical education or clinical practice. The types of cases of interest to Endocrinology, Diabetes & Metabolism Case Reports include: -Insight into disease pathogenesis or mechanism of therapy - Novel diagnostic procedure - Novel treatment - Unique/unexpected symptoms or presentations of a disease - New disease or syndrome: presentations/diagnosis/management - Unusual effects of medical treatment - Error in diagnosis/pitfalls and caveats
×
引用
GB/T 7714-2015
复制
MLA
复制
APA
复制
导出至
BibTeX EndNote RefMan NoteFirst NoteExpress
×
提示
您的信息不完整,为了账户安全,请先补充。
现在去补充
×
提示
您因"违规操作"
具体请查看互助需知
我知道了
×
提示
确定
请完成安全验证×
copy
已复制链接
快去分享给好友吧!
我知道了
右上角分享
点击右上角分享
0
联系我们:info@booksci.cn Book学术提供免费学术资源搜索服务,方便国内外学者检索中英文文献。致力于提供最便捷和优质的服务体验。 Copyright © 2023 布克学术 All rights reserved.
京ICP备2023020795号-1
ghs 京公网安备 11010802042870号
Book学术文献互助
Book学术文献互助群
群 号:604180095
Book学术官方微信