显微镜下多血管炎伴包免疫肾小球肾炎伴胃肠道结核。

Case Reports in Nephrology Pub Date : 2025-02-10 eCollection Date: 2025-01-01 DOI:10.1155/crin/6619761
Alexis Monroy-Portillo, Nancy Vargas-San José, Werner De León-Perez, Rodolfo Moreno-Alvarado
{"title":"显微镜下多血管炎伴包免疫肾小球肾炎伴胃肠道结核。","authors":"Alexis Monroy-Portillo, Nancy Vargas-San José, Werner De León-Perez, Rodolfo Moreno-Alvarado","doi":"10.1155/crin/6619761","DOIUrl":null,"url":null,"abstract":"<p><p><b>Introduction:</b> Tuberculosis (TB) is a prevalent disease in Guatemala, present in 20-25 cases per 100 thousand inhabitants. Extrapulmonary TB (EPTB) accounts for only 10%-17% of TB cases. The diagnosis of EPTB is challenging, especially in low-resource settings, because TB can present with clinical characteristics of rheumatological, oncological, or other infectious diseases. Occasionally, mycobacterial infection stimulates the immune system, inducing the generation of antibodies that may lead to autoimmune diseases secondary to primary TB infection, such as vasculitis. To the best of our knowledge, no data have been reported on the prevalence of vasculitis, although some studies worldwide have determined that small-vessel vasculitis is the most common. Here, we present a case report of a male patient with EPTB diagnosed with <i>Microscopic polyangiitis</i> (MPA). <b>Methods:</b> A 17-year-old boy with no past medical history visited the emergency room with a three-day history of gastrointestinal bleeding. During hospitalization, acute kidney injury (AKI), disseminated lymphadenopathy, imaging studies, renal biopsy, and immunological tests were performed to confirm the diagnosis. <b>Results:</b> Endoscopy revealed a duodenal lesion containing <i>Mycobacterium TB</i> DNA. Further investigation of AKI led to autoimmune serological tests and kidney biopsy, confirming the diagnosis of antineutrophil cytoplasmic antibodies (ANCA)-positive pauci-immune GN. The patient was treated with antituberculous agents, steroids, and plasmapheresis. However, he developed alveolar hemorrhage and respiratory failure leading to death. <b>Conclusion:</b> TB is a common disease in low-income countries, with the pulmonary form being the most common presentation; however, the bacteria can spread to any organ, known as EPTB. It is important to consider that the inflammatory reaction associated with any form of TB can generate other types of noninfectious inflammatory diseases, such as ANCA-positive pauci-immune GN.</p>","PeriodicalId":9604,"journal":{"name":"Case Reports in Nephrology","volume":"2025 ","pages":"6619761"},"PeriodicalIF":0.0000,"publicationDate":"2025-02-10","publicationTypes":"Journal Article","fieldsOfStudy":null,"isOpenAccess":false,"openAccessPdf":"https://www.ncbi.nlm.nih.gov/pmc/articles/PMC11832249/pdf/","citationCount":"0","resultStr":"{\"title\":\"<i>Microscopic polyangiitis</i> With Pauci-Immune Glomerulonephritis Associated With Gastrointestinal Tuberculosis.\",\"authors\":\"Alexis Monroy-Portillo, Nancy Vargas-San José, Werner De León-Perez, Rodolfo Moreno-Alvarado\",\"doi\":\"10.1155/crin/6619761\",\"DOIUrl\":null,\"url\":null,\"abstract\":\"<p><p><b>Introduction:</b> Tuberculosis (TB) is a prevalent disease in Guatemala, present in 20-25 cases per 100 thousand inhabitants. Extrapulmonary TB (EPTB) accounts for only 10%-17% of TB cases. The diagnosis of EPTB is challenging, especially in low-resource settings, because TB can present with clinical characteristics of rheumatological, oncological, or other infectious diseases. Occasionally, mycobacterial infection stimulates the immune system, inducing the generation of antibodies that may lead to autoimmune diseases secondary to primary TB infection, such as vasculitis. To the best of our knowledge, no data have been reported on the prevalence of vasculitis, although some studies worldwide have determined that small-vessel vasculitis is the most common. Here, we present a case report of a male patient with EPTB diagnosed with <i>Microscopic polyangiitis</i> (MPA). <b>Methods:</b> A 17-year-old boy with no past medical history visited the emergency room with a three-day history of gastrointestinal bleeding. During hospitalization, acute kidney injury (AKI), disseminated lymphadenopathy, imaging studies, renal biopsy, and immunological tests were performed to confirm the diagnosis. <b>Results:</b> Endoscopy revealed a duodenal lesion containing <i>Mycobacterium TB</i> DNA. Further investigation of AKI led to autoimmune serological tests and kidney biopsy, confirming the diagnosis of antineutrophil cytoplasmic antibodies (ANCA)-positive pauci-immune GN. The patient was treated with antituberculous agents, steroids, and plasmapheresis. However, he developed alveolar hemorrhage and respiratory failure leading to death. <b>Conclusion:</b> TB is a common disease in low-income countries, with the pulmonary form being the most common presentation; however, the bacteria can spread to any organ, known as EPTB. It is important to consider that the inflammatory reaction associated with any form of TB can generate other types of noninfectious inflammatory diseases, such as ANCA-positive pauci-immune GN.</p>\",\"PeriodicalId\":9604,\"journal\":{\"name\":\"Case Reports in Nephrology\",\"volume\":\"2025 \",\"pages\":\"6619761\"},\"PeriodicalIF\":0.0000,\"publicationDate\":\"2025-02-10\",\"publicationTypes\":\"Journal Article\",\"fieldsOfStudy\":null,\"isOpenAccess\":false,\"openAccessPdf\":\"https://www.ncbi.nlm.nih.gov/pmc/articles/PMC11832249/pdf/\",\"citationCount\":\"0\",\"resultStr\":null,\"platform\":\"Semanticscholar\",\"paperid\":null,\"PeriodicalName\":\"Case Reports in Nephrology\",\"FirstCategoryId\":\"1085\",\"ListUrlMain\":\"https://doi.org/10.1155/crin/6619761\",\"RegionNum\":0,\"RegionCategory\":null,\"ArticlePicture\":[],\"TitleCN\":null,\"AbstractTextCN\":null,\"PMCID\":null,\"EPubDate\":\"2025/1/1 0:00:00\",\"PubModel\":\"eCollection\",\"JCR\":\"\",\"JCRName\":\"\",\"Score\":null,\"Total\":0}","platform":"Semanticscholar","paperid":null,"PeriodicalName":"Case Reports in Nephrology","FirstCategoryId":"1085","ListUrlMain":"https://doi.org/10.1155/crin/6619761","RegionNum":0,"RegionCategory":null,"ArticlePicture":[],"TitleCN":null,"AbstractTextCN":null,"PMCID":null,"EPubDate":"2025/1/1 0:00:00","PubModel":"eCollection","JCR":"","JCRName":"","Score":null,"Total":0}
引用次数: 0

摘要

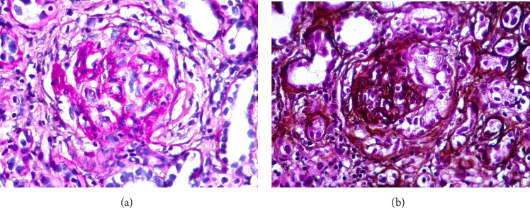
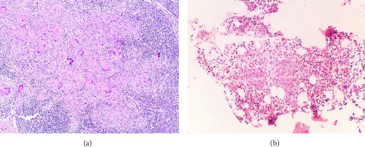
结核病(TB)是危地马拉的一种流行疾病,每10万居民中有20-25例。肺外结核(EPTB)仅占结核病病例的10%-17%。EPTB的诊断具有挑战性,特别是在资源匮乏的环境中,因为结核病可表现为风湿病、肿瘤或其他传染病的临床特征。偶尔,分枝杆菌感染刺激免疫系统,诱导抗体的产生,可能导致原发性结核感染继发的自身免疫性疾病,如血管炎。据我们所知,尽管世界范围内的一些研究已经确定小血管血管炎是最常见的,但没有关于血管炎患病率的数据报道。在此,我们报告一例男性EPTB患者诊断为显微镜下多血管炎(MPA)。方法:一名17岁无既往病史的男孩以3天的胃肠道出血史就诊于急诊室。住院期间,进行急性肾损伤(AKI)、弥散性淋巴结病、影像学检查、肾活检和免疫学检查以确认诊断。结果:内镜检查显示十二指肠病变含有结核分枝杆菌DNA。AKI的进一步调查导致自身免疫血清学检查和肾活检,确认了抗中性粒细胞胞浆抗体(ANCA)阳性的pauci-immune GN的诊断。患者接受抗结核药物、类固醇和血浆置换治疗。然而,他因肺泡出血和呼吸衰竭而死亡。结论:结核病是低收入国家的一种常见病,肺部形式是最常见的表现;然而,这种细菌可以传播到任何器官,被称为EPTB。重要的是要考虑到,与任何形式的结核病相关的炎症反应都可能产生其他类型的非感染性炎症性疾病,如anca阳性的少免疫GN。
本文章由计算机程序翻译,如有差异,请以英文原文为准。

<i>Microscopic polyangiitis</i> With Pauci-Immune Glomerulonephritis Associated With Gastrointestinal Tuberculosis.

<i>Microscopic polyangiitis</i> With Pauci-Immune Glomerulonephritis Associated With Gastrointestinal Tuberculosis.

Microscopic polyangiitis With Pauci-Immune Glomerulonephritis Associated With Gastrointestinal Tuberculosis.

Introduction: Tuberculosis (TB) is a prevalent disease in Guatemala, present in 20-25 cases per 100 thousand inhabitants. Extrapulmonary TB (EPTB) accounts for only 10%-17% of TB cases. The diagnosis of EPTB is challenging, especially in low-resource settings, because TB can present with clinical characteristics of rheumatological, oncological, or other infectious diseases. Occasionally, mycobacterial infection stimulates the immune system, inducing the generation of antibodies that may lead to autoimmune diseases secondary to primary TB infection, such as vasculitis. To the best of our knowledge, no data have been reported on the prevalence of vasculitis, although some studies worldwide have determined that small-vessel vasculitis is the most common. Here, we present a case report of a male patient with EPTB diagnosed with Microscopic polyangiitis (MPA). Methods: A 17-year-old boy with no past medical history visited the emergency room with a three-day history of gastrointestinal bleeding. During hospitalization, acute kidney injury (AKI), disseminated lymphadenopathy, imaging studies, renal biopsy, and immunological tests were performed to confirm the diagnosis. Results: Endoscopy revealed a duodenal lesion containing Mycobacterium TB DNA. Further investigation of AKI led to autoimmune serological tests and kidney biopsy, confirming the diagnosis of antineutrophil cytoplasmic antibodies (ANCA)-positive pauci-immune GN. The patient was treated with antituberculous agents, steroids, and plasmapheresis. However, he developed alveolar hemorrhage and respiratory failure leading to death. Conclusion: TB is a common disease in low-income countries, with the pulmonary form being the most common presentation; however, the bacteria can spread to any organ, known as EPTB. It is important to consider that the inflammatory reaction associated with any form of TB can generate other types of noninfectious inflammatory diseases, such as ANCA-positive pauci-immune GN.

求助全文
通过发布文献求助,成功后即可免费获取论文全文。 去求助
来源期刊
Case Reports in Nephrology
Case Reports in Nephrology Medicine-Nephrology
CiteScore
1.70
自引率
0.00%
发文量
32
×
引用
GB/T 7714-2015
复制
MLA
复制
APA
复制
导出至
BibTeX EndNote RefMan NoteFirst NoteExpress
×
提示
您的信息不完整,为了账户安全,请先补充。
现在去补充
×
提示
您因"违规操作"
具体请查看互助需知
我知道了
×
提示
确定
请完成安全验证×
copy
已复制链接
快去分享给好友吧!
我知道了
右上角分享
点击右上角分享
0
联系我们:info@booksci.cn Book学术提供免费学术资源搜索服务,方便国内外学者检索中英文文献。致力于提供最便捷和优质的服务体验。 Copyright © 2023 布克学术 All rights reserved.
京ICP备2023020795号-1
ghs 京公网安备 11010802042870号
Book学术文献互助
Book学术文献互助群
群 号:604180095
Book学术官方微信