代谢功能障碍相关脂肪变性肝病的癌症负担

IF 1.5 4区 医学 Q4 DEVELOPMENTAL BIOLOGY
Bianca Florentina Pîrvu, Diana Clenciu, Luiza Andreea Beldie, Cristina Camelia Dica, Marilena Alexandra Burticală, Tiberiu Ştefăniţă Ţenea-Cojan, Adina Mitrea, Anca Maria Amzolini, Ion Cristian Efrem, Gabriel Florin Răzvan Mogoş, Ionela Mihaela Vladu
{"title":"代谢功能障碍相关脂肪变性肝病的癌症负担","authors":"Bianca Florentina Pîrvu, Diana Clenciu, Luiza Andreea Beldie, Cristina Camelia Dica, Marilena Alexandra Burticală, Tiberiu Ştefăniţă Ţenea-Cojan, Adina Mitrea, Anca Maria Amzolini, Ion Cristian Efrem, Gabriel Florin Răzvan Mogoş, Ionela Mihaela Vladu","doi":"10.47162/RJME.65.4.09","DOIUrl":null,"url":null,"abstract":"<p><p>Metabolic dysfunction-associated steatotic liver disease (MASLD) is the most prevalent chronic liver disease worldwide and has become a major public health problem. MASLD frequently progresses to cirrhosis and hepatocellular carcinoma, but recent studies also show a frequent association with extrahepatic cancers. One of the mechanisms involved in both locations is insulin resistance and hyperinsulinemia. The aim of this narrative review was to present the main etiopathogenic mechanisms involved in cancer development in patients with MASLD.</p>","PeriodicalId":54447,"journal":{"name":"Romanian Journal of Morphology and Embryology","volume":"65 4","pages":"627-635"},"PeriodicalIF":1.5000,"publicationDate":"2024-10-01","publicationTypes":"Journal Article","fieldsOfStudy":null,"isOpenAccess":false,"openAccessPdf":"https://www.ncbi.nlm.nih.gov/pmc/articles/PMC11924906/pdf/","citationCount":"0","resultStr":"{\"title\":\"The burden of cancer in metabolic dysfunction-associated steatotic liver disease.\",\"authors\":\"Bianca Florentina Pîrvu, Diana Clenciu, Luiza Andreea Beldie, Cristina Camelia Dica, Marilena Alexandra Burticală, Tiberiu Ştefăniţă Ţenea-Cojan, Adina Mitrea, Anca Maria Amzolini, Ion Cristian Efrem, Gabriel Florin Răzvan Mogoş, Ionela Mihaela Vladu\",\"doi\":\"10.47162/RJME.65.4.09\",\"DOIUrl\":null,\"url\":null,\"abstract\":\"<p><p>Metabolic dysfunction-associated steatotic liver disease (MASLD) is the most prevalent chronic liver disease worldwide and has become a major public health problem. MASLD frequently progresses to cirrhosis and hepatocellular carcinoma, but recent studies also show a frequent association with extrahepatic cancers. One of the mechanisms involved in both locations is insulin resistance and hyperinsulinemia. The aim of this narrative review was to present the main etiopathogenic mechanisms involved in cancer development in patients with MASLD.</p>\",\"PeriodicalId\":54447,\"journal\":{\"name\":\"Romanian Journal of Morphology and Embryology\",\"volume\":\"65 4\",\"pages\":\"627-635\"},\"PeriodicalIF\":1.5000,\"publicationDate\":\"2024-10-01\",\"publicationTypes\":\"Journal Article\",\"fieldsOfStudy\":null,\"isOpenAccess\":false,\"openAccessPdf\":\"https://www.ncbi.nlm.nih.gov/pmc/articles/PMC11924906/pdf/\",\"citationCount\":\"0\",\"resultStr\":null,\"platform\":\"Semanticscholar\",\"paperid\":null,\"PeriodicalName\":\"Romanian Journal of Morphology and Embryology\",\"FirstCategoryId\":\"3\",\"ListUrlMain\":\"https://doi.org/10.47162/RJME.65.4.09\",\"RegionNum\":4,\"RegionCategory\":\"医学\",\"ArticlePicture\":[],\"TitleCN\":null,\"AbstractTextCN\":null,\"PMCID\":null,\"EPubDate\":\"\",\"PubModel\":\"\",\"JCR\":\"Q4\",\"JCRName\":\"DEVELOPMENTAL BIOLOGY\",\"Score\":null,\"Total\":0}","platform":"Semanticscholar","paperid":null,"PeriodicalName":"Romanian Journal of Morphology and Embryology","FirstCategoryId":"3","ListUrlMain":"https://doi.org/10.47162/RJME.65.4.09","RegionNum":4,"RegionCategory":"医学","ArticlePicture":[],"TitleCN":null,"AbstractTextCN":null,"PMCID":null,"EPubDate":"","PubModel":"","JCR":"Q4","JCRName":"DEVELOPMENTAL BIOLOGY","Score":null,"Total":0}
引用次数: 0

摘要

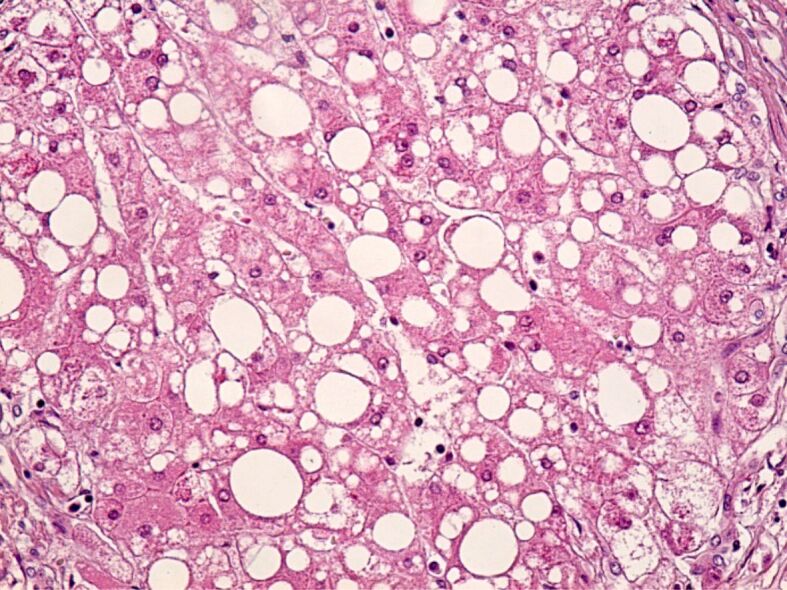
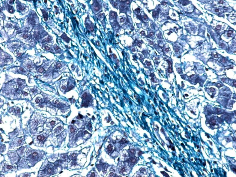
代谢功能障碍相关脂肪变性肝病(MASLD)是世界范围内最常见的慢性肝病,已成为一个重大的公共卫生问题。MASLD经常发展为肝硬化和肝细胞癌,但最近的研究也表明它与肝外癌有密切的联系。这两个部位的机制之一是胰岛素抵抗和高胰岛素血症。这篇叙述性综述的目的是介绍MASLD患者癌症发展的主要发病机制。
本文章由计算机程序翻译,如有差异,请以英文原文为准。

The burden of cancer in metabolic dysfunction-associated steatotic liver disease.

The burden of cancer in metabolic dysfunction-associated steatotic liver disease.

The burden of cancer in metabolic dysfunction-associated steatotic liver disease.

The burden of cancer in metabolic dysfunction-associated steatotic liver disease.

Metabolic dysfunction-associated steatotic liver disease (MASLD) is the most prevalent chronic liver disease worldwide and has become a major public health problem. MASLD frequently progresses to cirrhosis and hepatocellular carcinoma, but recent studies also show a frequent association with extrahepatic cancers. One of the mechanisms involved in both locations is insulin resistance and hyperinsulinemia. The aim of this narrative review was to present the main etiopathogenic mechanisms involved in cancer development in patients with MASLD.

求助全文
通过发布文献求助,成功后即可免费获取论文全文。 去求助
来源期刊
CiteScore
1.70
自引率
20.00%
发文量
221
审稿时长
3-8 weeks
期刊介绍: Romanian Journal of Morphology and Embryology (Rom J Morphol Embryol) publishes studies on all aspects of normal morphology and human comparative and experimental pathology. The Journal accepts only researches that utilize modern investigation methods (studies of anatomy, pathology, cytopathology, immunohistochemistry, histochemistry, immunology, morphometry, molecular and cellular biology, electronic microscopy, etc.).
×
引用
GB/T 7714-2015
复制
MLA
复制
APA
复制
导出至
BibTeX EndNote RefMan NoteFirst NoteExpress
×
提示
您的信息不完整,为了账户安全,请先补充。
现在去补充
×
提示
您因"违规操作"
具体请查看互助需知
我知道了
×
提示
确定
请完成安全验证×
copy
已复制链接
快去分享给好友吧!
我知道了
右上角分享
点击右上角分享
0
联系我们:info@booksci.cn Book学术提供免费学术资源搜索服务,方便国内外学者检索中英文文献。致力于提供最便捷和优质的服务体验。 Copyright © 2023 布克学术 All rights reserved.
京ICP备2023020795号-1
ghs 京公网安备 11010802042870号
Book学术文献互助
Book学术文献互助群
群 号:604180095
Book学术官方微信