罗马尼亚年轻患者复发性胆脂瘤的生物学-一例报告。

IF 1.5 4区 医学 Q4 DEVELOPMENTAL BIOLOGY
Ramona Andreea Bologa, Florin Anghelina, Mihaela Roxana Mitroi, Mircea Sorin Ciolofan, Carmen Aurelia Mogoantă, Alina Nicoleta Căpitănescu, Alexandru Florian Grecu, Liliana Anghelina, Mihai Marius Botezat, Alina Andreea Mogoş, Bogdan Marius Fănuţă, Ileana Marinescu, Dan Cristian Grecu
{"title":"罗马尼亚年轻患者复发性胆脂瘤的生物学-一例报告。","authors":"Ramona Andreea Bologa, Florin Anghelina, Mihaela Roxana Mitroi, Mircea Sorin Ciolofan, Carmen Aurelia Mogoantă, Alina Nicoleta Căpitănescu, Alexandru Florian Grecu, Liliana Anghelina, Mihai Marius Botezat, Alina Andreea Mogoş, Bogdan Marius Fănuţă, Ileana Marinescu, Dan Cristian Grecu","doi":"10.47162/RJME.65.4.24","DOIUrl":null,"url":null,"abstract":"<p><p>Cholesteatoma is an otologic pathology that can occur at any age and can lead to a variety of complications including facial palsy, intracranial abscess, hearing loss, venous thrombosis. Cholesteatoma, even if considered a benign condition, associates high risks of recurrency due to its invasiveness. We describe a case of recurrent cholesteatoma in a young boy who presented chronic ear discharge and hearing loss for which had undergone three surgical interventions between the ages of 16 and 19 years old, from 2019 to 2022. Pediatric cholesteatoma is more prone to recurrency. Considering surgical excision as the only treatment at the current moment, it is highly important to understand the biology of cholesteatoma lesional extension for further treatment management improvement. Good research of angiogenesis, chronic inflammation and immune infiltration correlated with surgical approach may be the future for preventing cholesteatoma recurrency.</p>","PeriodicalId":54447,"journal":{"name":"Romanian Journal of Morphology and Embryology","volume":"65 4","pages":"775-780"},"PeriodicalIF":1.5000,"publicationDate":"2024-10-01","publicationTypes":"Journal Article","fieldsOfStudy":null,"isOpenAccess":false,"openAccessPdf":"https://www.ncbi.nlm.nih.gov/pmc/articles/PMC11924919/pdf/","citationCount":"0","resultStr":"{\"title\":\"Biology of recurrent cholesteatoma in a Romanian young patient - a case report.\",\"authors\":\"Ramona Andreea Bologa, Florin Anghelina, Mihaela Roxana Mitroi, Mircea Sorin Ciolofan, Carmen Aurelia Mogoantă, Alina Nicoleta Căpitănescu, Alexandru Florian Grecu, Liliana Anghelina, Mihai Marius Botezat, Alina Andreea Mogoş, Bogdan Marius Fănuţă, Ileana Marinescu, Dan Cristian Grecu\",\"doi\":\"10.47162/RJME.65.4.24\",\"DOIUrl\":null,\"url\":null,\"abstract\":\"<p><p>Cholesteatoma is an otologic pathology that can occur at any age and can lead to a variety of complications including facial palsy, intracranial abscess, hearing loss, venous thrombosis. Cholesteatoma, even if considered a benign condition, associates high risks of recurrency due to its invasiveness. We describe a case of recurrent cholesteatoma in a young boy who presented chronic ear discharge and hearing loss for which had undergone three surgical interventions between the ages of 16 and 19 years old, from 2019 to 2022. Pediatric cholesteatoma is more prone to recurrency. Considering surgical excision as the only treatment at the current moment, it is highly important to understand the biology of cholesteatoma lesional extension for further treatment management improvement. Good research of angiogenesis, chronic inflammation and immune infiltration correlated with surgical approach may be the future for preventing cholesteatoma recurrency.</p>\",\"PeriodicalId\":54447,\"journal\":{\"name\":\"Romanian Journal of Morphology and Embryology\",\"volume\":\"65 4\",\"pages\":\"775-780\"},\"PeriodicalIF\":1.5000,\"publicationDate\":\"2024-10-01\",\"publicationTypes\":\"Journal Article\",\"fieldsOfStudy\":null,\"isOpenAccess\":false,\"openAccessPdf\":\"https://www.ncbi.nlm.nih.gov/pmc/articles/PMC11924919/pdf/\",\"citationCount\":\"0\",\"resultStr\":null,\"platform\":\"Semanticscholar\",\"paperid\":null,\"PeriodicalName\":\"Romanian Journal of Morphology and Embryology\",\"FirstCategoryId\":\"3\",\"ListUrlMain\":\"https://doi.org/10.47162/RJME.65.4.24\",\"RegionNum\":4,\"RegionCategory\":\"医学\",\"ArticlePicture\":[],\"TitleCN\":null,\"AbstractTextCN\":null,\"PMCID\":null,\"EPubDate\":\"\",\"PubModel\":\"\",\"JCR\":\"Q4\",\"JCRName\":\"DEVELOPMENTAL BIOLOGY\",\"Score\":null,\"Total\":0}","platform":"Semanticscholar","paperid":null,"PeriodicalName":"Romanian Journal of Morphology and Embryology","FirstCategoryId":"3","ListUrlMain":"https://doi.org/10.47162/RJME.65.4.24","RegionNum":4,"RegionCategory":"医学","ArticlePicture":[],"TitleCN":null,"AbstractTextCN":null,"PMCID":null,"EPubDate":"","PubModel":"","JCR":"Q4","JCRName":"DEVELOPMENTAL BIOLOGY","Score":null,"Total":0}
引用次数: 0

摘要

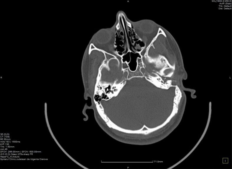
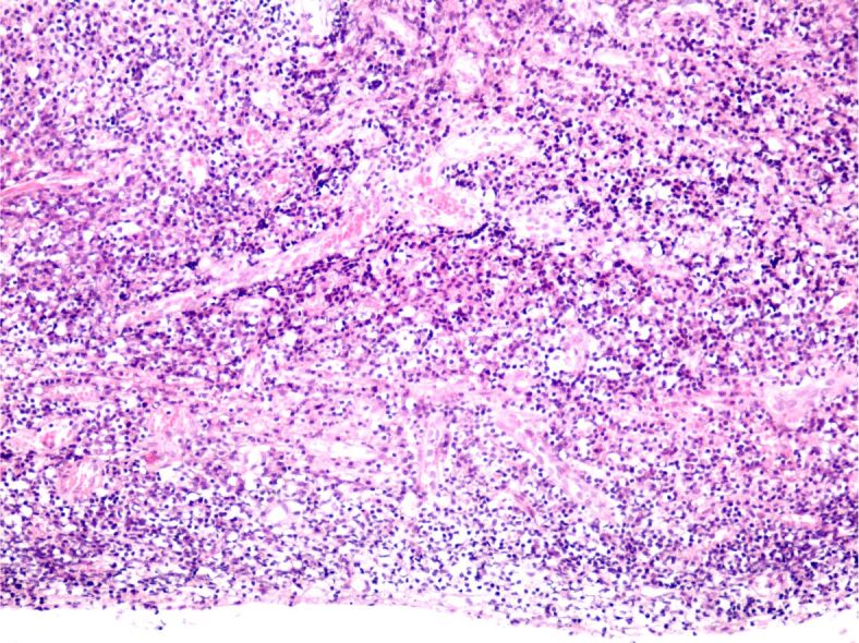
胆脂瘤是一种耳科病变,可发生于任何年龄,并可导致各种并发症,包括面瘫、颅内脓肿、听力损失、静脉血栓形成等。胆脂瘤即使被认为是一种良性疾病,但由于其侵袭性,复发的风险也很高。我们描述了一例复发性胆脂瘤病例,患者为一名年轻男孩,在 16 岁至 19 岁(2019 年至 2022 年)期间,曾因慢性耳流脓和听力下降接受过三次手术治疗。小儿胆脂瘤更容易复发。考虑到手术切除是目前唯一的治疗方法,了解胆脂瘤病变扩展的生物学特性对于进一步改善治疗管理非常重要。对与手术方法相关的血管生成、慢性炎症和免疫浸润进行深入研究可能是预防胆脂瘤复发的未来方向。
本文章由计算机程序翻译,如有差异,请以英文原文为准。

Biology of recurrent cholesteatoma in a Romanian young patient - a case report.

Biology of recurrent cholesteatoma in a Romanian young patient - a case report.

Biology of recurrent cholesteatoma in a Romanian young patient - a case report.

Biology of recurrent cholesteatoma in a Romanian young patient - a case report.

Cholesteatoma is an otologic pathology that can occur at any age and can lead to a variety of complications including facial palsy, intracranial abscess, hearing loss, venous thrombosis. Cholesteatoma, even if considered a benign condition, associates high risks of recurrency due to its invasiveness. We describe a case of recurrent cholesteatoma in a young boy who presented chronic ear discharge and hearing loss for which had undergone three surgical interventions between the ages of 16 and 19 years old, from 2019 to 2022. Pediatric cholesteatoma is more prone to recurrency. Considering surgical excision as the only treatment at the current moment, it is highly important to understand the biology of cholesteatoma lesional extension for further treatment management improvement. Good research of angiogenesis, chronic inflammation and immune infiltration correlated with surgical approach may be the future for preventing cholesteatoma recurrency.

求助全文
通过发布文献求助,成功后即可免费获取论文全文。 去求助
来源期刊
CiteScore
1.70
自引率
20.00%
发文量
221
审稿时长
3-8 weeks
期刊介绍: Romanian Journal of Morphology and Embryology (Rom J Morphol Embryol) publishes studies on all aspects of normal morphology and human comparative and experimental pathology. The Journal accepts only researches that utilize modern investigation methods (studies of anatomy, pathology, cytopathology, immunohistochemistry, histochemistry, immunology, morphometry, molecular and cellular biology, electronic microscopy, etc.).
×
引用
GB/T 7714-2015
复制
MLA
复制
APA
复制
导出至
BibTeX EndNote RefMan NoteFirst NoteExpress
×
提示
您的信息不完整,为了账户安全,请先补充。
现在去补充
×
提示
您因"违规操作"
具体请查看互助需知
我知道了
×
提示
确定
请完成安全验证×
copy
已复制链接
快去分享给好友吧!
我知道了
右上角分享
点击右上角分享
0
联系我们:info@booksci.cn Book学术提供免费学术资源搜索服务,方便国内外学者检索中英文文献。致力于提供最便捷和优质的服务体验。 Copyright © 2023 布克学术 All rights reserved.
京ICP备2023020795号-1
ghs 京公网安备 11010802042870号
Book学术文献互助
Book学术文献互助群
群 号:604180095
Book学术官方微信