骨肉瘤的临床病理相关性和预后:回顾性分析。

IF 1.5 4区 医学 Q4 DEVELOPMENTAL BIOLOGY
Ştefan Adrian Niculescu, Alexandru Florian Grecu, Alex Emilian Stepan, Mădălina Iuliana Muşat, Aritina Elvira Moroşanu, Tudor Adrian Bălşeanu, Michael Hadjiargyrou, Dan Cristian Grecu
{"title":"骨肉瘤的临床病理相关性和预后:回顾性分析。","authors":"Ştefan Adrian Niculescu, Alexandru Florian Grecu, Alex Emilian Stepan, Mădălina Iuliana Muşat, Aritina Elvira Moroşanu, Tudor Adrian Bălşeanu, Michael Hadjiargyrou, Dan Cristian Grecu","doi":"10.47162/RJME.65.4.19","DOIUrl":null,"url":null,"abstract":"<p><p>Osteosarcoma (OS) is the most prevalent primary bone malignancy, predominantly affecting adolescents and young adults, and presents significant clinical challenges due to its aggressive nature and high potential for metastasis. This retrospective study analyzed 34 cases of primary OS, aged 10 to 65 years, to identify clinicopathological correlations that could inform future research and treatment strategies. The findings aim to guide larger cohort studies, essential for validating these correlations and developing tailored approaches that enhance patient outcomes. The analysis focused on demographic factors, sex, tumor grade, stage, size, and histological subtype, utilizing criteria established by the American Joint Committee on Cancer (AJCC) and the World Health Organization (WHO). The results revealed a predominance of the disease in males under 25 years of age, with the femur being the most common site of occurrence. Conventional osteoblastic OS emerged as the most frequent subtype, accounting for 50% of the cases, predominantly presenting as high-grade (G3) tumors. Over 70% of the tumors were T1 in extension (≤8 cm) and classified as stage IIA, indicating a locally advanced disease state. Correlations were observed between histological type, grade, and stage, underscoring the importance of detailed histopathological (HP) assessments in determining prognosis and guiding treatment. The findings highlight correlations between histological subtype, grade, and stage, reaffirming the critical role of detailed HP assessments in prognosis and treatment planning. While the limited sample size necessitates cautious interpretation, this study provides valuable regional and age-specific insights that could inform clinical decision-making. Future research should prioritize multi-center studies and delve into the genetic and molecular underpinnings of OS subtypes to enhance understanding and develop targeted therapies.</p>","PeriodicalId":54447,"journal":{"name":"Romanian Journal of Morphology and Embryology","volume":"65 4","pages":"723-736"},"PeriodicalIF":1.5000,"publicationDate":"2024-10-01","publicationTypes":"Journal Article","fieldsOfStudy":null,"isOpenAccess":false,"openAccessPdf":"https://www.ncbi.nlm.nih.gov/pmc/articles/PMC11924893/pdf/","citationCount":"0","resultStr":"{\"title\":\"Clinicopathological correlations and prognostic insights in osteosarcoma: a retrospective analysis.\",\"authors\":\"Ştefan Adrian Niculescu, Alexandru Florian Grecu, Alex Emilian Stepan, Mădălina Iuliana Muşat, Aritina Elvira Moroşanu, Tudor Adrian Bălşeanu, Michael Hadjiargyrou, Dan Cristian Grecu\",\"doi\":\"10.47162/RJME.65.4.19\",\"DOIUrl\":null,\"url\":null,\"abstract\":\"<p><p>Osteosarcoma (OS) is the most prevalent primary bone malignancy, predominantly affecting adolescents and young adults, and presents significant clinical challenges due to its aggressive nature and high potential for metastasis. This retrospective study analyzed 34 cases of primary OS, aged 10 to 65 years, to identify clinicopathological correlations that could inform future research and treatment strategies. The findings aim to guide larger cohort studies, essential for validating these correlations and developing tailored approaches that enhance patient outcomes. The analysis focused on demographic factors, sex, tumor grade, stage, size, and histological subtype, utilizing criteria established by the American Joint Committee on Cancer (AJCC) and the World Health Organization (WHO). The results revealed a predominance of the disease in males under 25 years of age, with the femur being the most common site of occurrence. Conventional osteoblastic OS emerged as the most frequent subtype, accounting for 50% of the cases, predominantly presenting as high-grade (G3) tumors. Over 70% of the tumors were T1 in extension (≤8 cm) and classified as stage IIA, indicating a locally advanced disease state. Correlations were observed between histological type, grade, and stage, underscoring the importance of detailed histopathological (HP) assessments in determining prognosis and guiding treatment. The findings highlight correlations between histological subtype, grade, and stage, reaffirming the critical role of detailed HP assessments in prognosis and treatment planning. While the limited sample size necessitates cautious interpretation, this study provides valuable regional and age-specific insights that could inform clinical decision-making. Future research should prioritize multi-center studies and delve into the genetic and molecular underpinnings of OS subtypes to enhance understanding and develop targeted therapies.</p>\",\"PeriodicalId\":54447,\"journal\":{\"name\":\"Romanian Journal of Morphology and Embryology\",\"volume\":\"65 4\",\"pages\":\"723-736\"},\"PeriodicalIF\":1.5000,\"publicationDate\":\"2024-10-01\",\"publicationTypes\":\"Journal Article\",\"fieldsOfStudy\":null,\"isOpenAccess\":false,\"openAccessPdf\":\"https://www.ncbi.nlm.nih.gov/pmc/articles/PMC11924893/pdf/\",\"citationCount\":\"0\",\"resultStr\":null,\"platform\":\"Semanticscholar\",\"paperid\":null,\"PeriodicalName\":\"Romanian Journal of Morphology and Embryology\",\"FirstCategoryId\":\"3\",\"ListUrlMain\":\"https://doi.org/10.47162/RJME.65.4.19\",\"RegionNum\":4,\"RegionCategory\":\"医学\",\"ArticlePicture\":[],\"TitleCN\":null,\"AbstractTextCN\":null,\"PMCID\":null,\"EPubDate\":\"\",\"PubModel\":\"\",\"JCR\":\"Q4\",\"JCRName\":\"DEVELOPMENTAL BIOLOGY\",\"Score\":null,\"Total\":0}","platform":"Semanticscholar","paperid":null,"PeriodicalName":"Romanian Journal of Morphology and Embryology","FirstCategoryId":"3","ListUrlMain":"https://doi.org/10.47162/RJME.65.4.19","RegionNum":4,"RegionCategory":"医学","ArticlePicture":[],"TitleCN":null,"AbstractTextCN":null,"PMCID":null,"EPubDate":"","PubModel":"","JCR":"Q4","JCRName":"DEVELOPMENTAL BIOLOGY","Score":null,"Total":0}
引用次数: 0

摘要

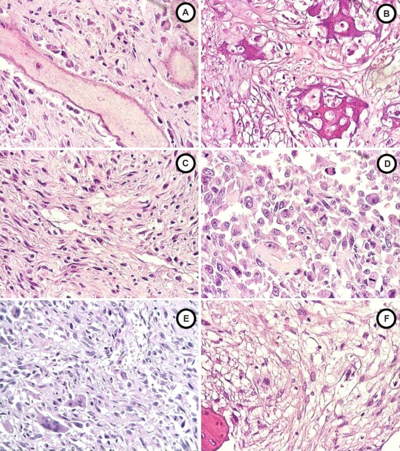
骨肉瘤(Osteosarcoma,OS)是最常见的原发性骨恶性肿瘤,主要影响青少年和年轻成年人,由于其侵袭性和高转移潜力,给临床带来了巨大挑战。这项回顾性研究分析了34例年龄在10至65岁之间的原发性OS病例,以确定临床病理相关性,为今后的研究和治疗策略提供参考。研究结果旨在为更大规模的队列研究提供指导,而队列研究对于验证这些相关性和开发可改善患者预后的定制方法至关重要。根据美国癌症联合委员会(AJCC)和世界卫生组织(WHO)制定的标准,重点分析了人口统计学因素、性别、肿瘤分级、分期、大小和组织学亚型。结果显示,该疾病主要发生在25岁以下的男性身上,股骨是最常见的发病部位。传统的成骨细胞性 OS 是最常见的亚型,占 50%,主要表现为高级别(G3)肿瘤。超过70%的肿瘤为T1扩展型(≤8厘米),并被归类为IIA期,表明疾病处于局部晚期状态。组织学类型、分级和分期之间存在相关性,强调了详细的组织病理学(HP)评估在确定预后和指导治疗方面的重要性。研究结果强调了组织学亚型、分级和分期之间的相关性,重申了详细的组织病理学评估在预后和治疗计划中的关键作用。虽然样本量有限,需要谨慎解释,但这项研究提供了宝贵的地区和年龄特异性见解,可为临床决策提供参考。未来的研究应优先考虑多中心研究,并深入探讨OS亚型的遗传和分子基础,以加深理解并开发靶向疗法。
本文章由计算机程序翻译,如有差异,请以英文原文为准。

Clinicopathological correlations and prognostic insights in osteosarcoma: a retrospective analysis.

Clinicopathological correlations and prognostic insights in osteosarcoma: a retrospective analysis.

Clinicopathological correlations and prognostic insights in osteosarcoma: a retrospective analysis.

Clinicopathological correlations and prognostic insights in osteosarcoma: a retrospective analysis.

Osteosarcoma (OS) is the most prevalent primary bone malignancy, predominantly affecting adolescents and young adults, and presents significant clinical challenges due to its aggressive nature and high potential for metastasis. This retrospective study analyzed 34 cases of primary OS, aged 10 to 65 years, to identify clinicopathological correlations that could inform future research and treatment strategies. The findings aim to guide larger cohort studies, essential for validating these correlations and developing tailored approaches that enhance patient outcomes. The analysis focused on demographic factors, sex, tumor grade, stage, size, and histological subtype, utilizing criteria established by the American Joint Committee on Cancer (AJCC) and the World Health Organization (WHO). The results revealed a predominance of the disease in males under 25 years of age, with the femur being the most common site of occurrence. Conventional osteoblastic OS emerged as the most frequent subtype, accounting for 50% of the cases, predominantly presenting as high-grade (G3) tumors. Over 70% of the tumors were T1 in extension (≤8 cm) and classified as stage IIA, indicating a locally advanced disease state. Correlations were observed between histological type, grade, and stage, underscoring the importance of detailed histopathological (HP) assessments in determining prognosis and guiding treatment. The findings highlight correlations between histological subtype, grade, and stage, reaffirming the critical role of detailed HP assessments in prognosis and treatment planning. While the limited sample size necessitates cautious interpretation, this study provides valuable regional and age-specific insights that could inform clinical decision-making. Future research should prioritize multi-center studies and delve into the genetic and molecular underpinnings of OS subtypes to enhance understanding and develop targeted therapies.

求助全文
通过发布文献求助,成功后即可免费获取论文全文。 去求助
来源期刊
CiteScore
1.70
自引率
20.00%
发文量
221
审稿时长
3-8 weeks
期刊介绍: Romanian Journal of Morphology and Embryology (Rom J Morphol Embryol) publishes studies on all aspects of normal morphology and human comparative and experimental pathology. The Journal accepts only researches that utilize modern investigation methods (studies of anatomy, pathology, cytopathology, immunohistochemistry, histochemistry, immunology, morphometry, molecular and cellular biology, electronic microscopy, etc.).
×
引用
GB/T 7714-2015
复制
MLA
复制
APA
复制
导出至
BibTeX EndNote RefMan NoteFirst NoteExpress
×
提示
您的信息不完整,为了账户安全,请先补充。
现在去补充
×
提示
您因"违规操作"
具体请查看互助需知
我知道了
×
提示
确定
请完成安全验证×
copy
已复制链接
快去分享给好友吧!
我知道了
右上角分享
点击右上角分享
0
联系我们:info@booksci.cn Book学术提供免费学术资源搜索服务,方便国内外学者检索中英文文献。致力于提供最便捷和优质的服务体验。 Copyright © 2023 布克学术 All rights reserved.
京ICP备2023020795号-1
ghs 京公网安备 11010802042870号
Book学术文献互助
Book学术文献互助群
群 号:604180095
Book学术官方微信