股骨外侧髁后侧骨软骨骨折可能是由胫骨上推股骨所致- 1例报告。

IF 0.6 Q4 ORTHOPEDICS
Case Reports in Orthopedics Pub Date : 2025-02-07 eCollection Date: 2025-01-01 DOI:10.1155/cro/3610324
Saki Inanaga, Masaki Shimizu, Shinya Yanagisawa, Keiichi Hagiwara, Masashi Kimura
{"title":"股骨外侧髁后侧骨软骨骨折可能是由胫骨上推股骨所致- 1例报告。","authors":"Saki Inanaga, Masaki Shimizu, Shinya Yanagisawa, Keiichi Hagiwara, Masashi Kimura","doi":"10.1155/cro/3610324","DOIUrl":null,"url":null,"abstract":"<p><p>A healthy 16-year-old girl presented with an osteochondral fracture of the posterior aspect of the lateral femoral condyle (LFC) following patellar dislocation. Satisfactory results were obtained with osteochondral fragment fixation and medial patellofemoral ligament (MPFL) reconstruction. To the best of our knowledge, this is only the third reported case of an osteochondral fracture of the posterior LFC. However, we believe that the mechanism of injury differed from that in the two previous cases.</p>","PeriodicalId":30287,"journal":{"name":"Case Reports in Orthopedics","volume":"2025 ","pages":"3610324"},"PeriodicalIF":0.6000,"publicationDate":"2025-02-07","publicationTypes":"Journal Article","fieldsOfStudy":null,"isOpenAccess":false,"openAccessPdf":"https://www.ncbi.nlm.nih.gov/pmc/articles/PMC11828649/pdf/","citationCount":"0","resultStr":"{\"title\":\"Osteochondral Fracture of the Posterior Aspect of Lateral Femoral Condyle Presumably Caused by Tibia Pushing Up Against the Femur-A Case Report.\",\"authors\":\"Saki Inanaga, Masaki Shimizu, Shinya Yanagisawa, Keiichi Hagiwara, Masashi Kimura\",\"doi\":\"10.1155/cro/3610324\",\"DOIUrl\":null,\"url\":null,\"abstract\":\"<p><p>A healthy 16-year-old girl presented with an osteochondral fracture of the posterior aspect of the lateral femoral condyle (LFC) following patellar dislocation. Satisfactory results were obtained with osteochondral fragment fixation and medial patellofemoral ligament (MPFL) reconstruction. To the best of our knowledge, this is only the third reported case of an osteochondral fracture of the posterior LFC. However, we believe that the mechanism of injury differed from that in the two previous cases.</p>\",\"PeriodicalId\":30287,\"journal\":{\"name\":\"Case Reports in Orthopedics\",\"volume\":\"2025 \",\"pages\":\"3610324\"},\"PeriodicalIF\":0.6000,\"publicationDate\":\"2025-02-07\",\"publicationTypes\":\"Journal Article\",\"fieldsOfStudy\":null,\"isOpenAccess\":false,\"openAccessPdf\":\"https://www.ncbi.nlm.nih.gov/pmc/articles/PMC11828649/pdf/\",\"citationCount\":\"0\",\"resultStr\":null,\"platform\":\"Semanticscholar\",\"paperid\":null,\"PeriodicalName\":\"Case Reports in Orthopedics\",\"FirstCategoryId\":\"1085\",\"ListUrlMain\":\"https://doi.org/10.1155/cro/3610324\",\"RegionNum\":0,\"RegionCategory\":null,\"ArticlePicture\":[],\"TitleCN\":null,\"AbstractTextCN\":null,\"PMCID\":null,\"EPubDate\":\"2025/1/1 0:00:00\",\"PubModel\":\"eCollection\",\"JCR\":\"Q4\",\"JCRName\":\"ORTHOPEDICS\",\"Score\":null,\"Total\":0}","platform":"Semanticscholar","paperid":null,"PeriodicalName":"Case Reports in Orthopedics","FirstCategoryId":"1085","ListUrlMain":"https://doi.org/10.1155/cro/3610324","RegionNum":0,"RegionCategory":null,"ArticlePicture":[],"TitleCN":null,"AbstractTextCN":null,"PMCID":null,"EPubDate":"2025/1/1 0:00:00","PubModel":"eCollection","JCR":"Q4","JCRName":"ORTHOPEDICS","Score":null,"Total":0}
引用次数: 0

摘要

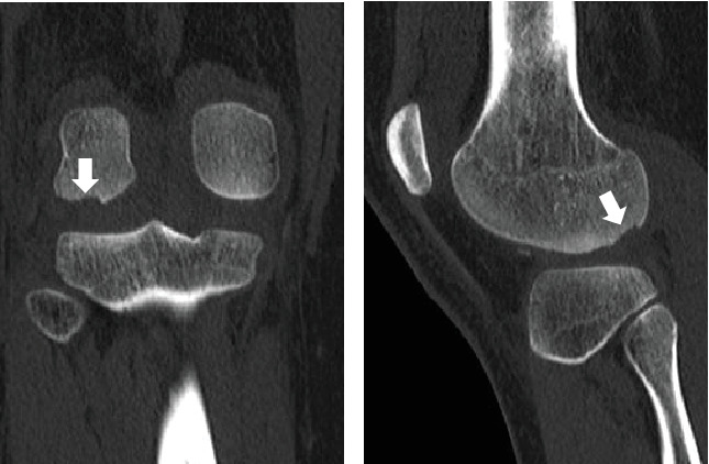
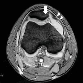
一个健康的16岁女孩在髌骨脱位后出现股骨外侧髁(LFC)后侧骨软骨骨折。骨软骨碎片固定及髌股内侧韧带重建均取得满意效果。据我们所知,这只是第三例报道的后LFC骨软骨骨折病例。然而,我们认为损伤机制与前两个病例不同。
本文章由计算机程序翻译,如有差异,请以英文原文为准。

Osteochondral Fracture of the Posterior Aspect of Lateral Femoral Condyle Presumably Caused by Tibia Pushing Up Against the Femur-A Case Report.

Osteochondral Fracture of the Posterior Aspect of Lateral Femoral Condyle Presumably Caused by Tibia Pushing Up Against the Femur-A Case Report.

Osteochondral Fracture of the Posterior Aspect of Lateral Femoral Condyle Presumably Caused by Tibia Pushing Up Against the Femur-A Case Report.

Osteochondral Fracture of the Posterior Aspect of Lateral Femoral Condyle Presumably Caused by Tibia Pushing Up Against the Femur-A Case Report.

A healthy 16-year-old girl presented with an osteochondral fracture of the posterior aspect of the lateral femoral condyle (LFC) following patellar dislocation. Satisfactory results were obtained with osteochondral fragment fixation and medial patellofemoral ligament (MPFL) reconstruction. To the best of our knowledge, this is only the third reported case of an osteochondral fracture of the posterior LFC. However, we believe that the mechanism of injury differed from that in the two previous cases.

求助全文
通过发布文献求助,成功后即可免费获取论文全文。 去求助
来源期刊
自引率
0.00%
发文量
55
审稿时长
14 weeks
×
引用
GB/T 7714-2015
复制
MLA
复制
APA
复制
导出至
BibTeX EndNote RefMan NoteFirst NoteExpress
×
提示
您的信息不完整,为了账户安全,请先补充。
现在去补充
×
提示
您因"违规操作"
具体请查看互助需知
我知道了
×
提示
确定
请完成安全验证×
copy
已复制链接
快去分享给好友吧!
我知道了
右上角分享
点击右上角分享
0
联系我们:info@booksci.cn Book学术提供免费学术资源搜索服务,方便国内外学者检索中英文文献。致力于提供最便捷和优质的服务体验。 Copyright © 2023 布克学术 All rights reserved.
京ICP备2023020795号-1
ghs 京公网安备 11010802042870号
Book学术文献互助
Book学术文献互助群
群 号:604180095
Book学术官方微信