爬行型 "早期胃癌的临床特征和病理特征:八例病例的回顾性系列研究。

IF 2.6 4区 医学 Q3 ONCOLOGY
Kehan Li, Xiaofeng Zhuang, Bingyue Yao, Li Zhang, Qinwei Xu, Tao Chen, Jia Cao
{"title":"爬行型 \"早期胃癌的临床特征和病理特征:八例病例的回顾性系列研究。","authors":"Kehan Li, Xiaofeng Zhuang, Bingyue Yao, Li Zhang, Qinwei Xu, Tao Chen, Jia Cao","doi":"10.1177/10732748251319486","DOIUrl":null,"url":null,"abstract":"<p><strong>Background: </strong>\"Crawling-type\" early gastric carcinoma (EGC) is a rare subtype of gastric cancer (GC) that is challenging to diagnose at an early stage due to its low-grade nuclear heterogeneity and morphology that mimics intestinal metaplasia. This study aimed to explore the clinical characteristics and pathological features of patients with crawling-type EGC.</p><p><strong>Methods: </strong>This case series study retrospectively included patients with crawling-type EGC who underwent endoscopic submucosal dissection (ESD) or gastrectomy at the East Hospital Affiliated to Tongji University between January 2019 and March 2022.</p><p><strong>Results: </strong>8 patients (mean age 63.5 ± 7.8 years) were included: 4 underwent ESD, and 4 underwent partial gastrectomy. In 4 patients, the tumors were primarily located in the gastric cardia and the basal gland area of the upper stomach, while the other 4 patients had tumors in the antral region. Preoperative gastroscopy revealed atrophic gastritis and intestinal metaplasia in all patients. The lesions were generally flat in morphology. Submucosal infiltration was found in only one case. Signet ring cells were present in the tumors of 5 patients. The mucinous type was observed in 7 patients. Seven tumors were of the gastrointestinal mixed type. Curative resection was achieved in all patients. No recurrence events were observed in any patient at 1 year after surgery.</p><p><strong>Conclusions: </strong>The crawling-type EGC may exhibit distinct clinical characteristics and pathological features compared with classical GC. Curative resection was achieved in all patients. The short-term prognosis of surgical treatment may be favorable.</p>","PeriodicalId":49093,"journal":{"name":"Cancer Control","volume":"32 ","pages":"10732748251319486"},"PeriodicalIF":2.6000,"publicationDate":"2025-01-01","publicationTypes":"Journal Article","fieldsOfStudy":null,"isOpenAccess":false,"openAccessPdf":"https://www.ncbi.nlm.nih.gov/pmc/articles/PMC11826854/pdf/","citationCount":"0","resultStr":"{\"title\":\"Clinical Characteristics and Pathological Features of \\\"Crawling-type\\\" Early Gastric Carcinoma: A Retrospective Series of Eight Cases.\",\"authors\":\"Kehan Li, Xiaofeng Zhuang, Bingyue Yao, Li Zhang, Qinwei Xu, Tao Chen, Jia Cao\",\"doi\":\"10.1177/10732748251319486\",\"DOIUrl\":null,\"url\":null,\"abstract\":\"<p><strong>Background: </strong>\\\"Crawling-type\\\" early gastric carcinoma (EGC) is a rare subtype of gastric cancer (GC) that is challenging to diagnose at an early stage due to its low-grade nuclear heterogeneity and morphology that mimics intestinal metaplasia. This study aimed to explore the clinical characteristics and pathological features of patients with crawling-type EGC.</p><p><strong>Methods: </strong>This case series study retrospectively included patients with crawling-type EGC who underwent endoscopic submucosal dissection (ESD) or gastrectomy at the East Hospital Affiliated to Tongji University between January 2019 and March 2022.</p><p><strong>Results: </strong>8 patients (mean age 63.5 ± 7.8 years) were included: 4 underwent ESD, and 4 underwent partial gastrectomy. In 4 patients, the tumors were primarily located in the gastric cardia and the basal gland area of the upper stomach, while the other 4 patients had tumors in the antral region. Preoperative gastroscopy revealed atrophic gastritis and intestinal metaplasia in all patients. The lesions were generally flat in morphology. Submucosal infiltration was found in only one case. Signet ring cells were present in the tumors of 5 patients. The mucinous type was observed in 7 patients. Seven tumors were of the gastrointestinal mixed type. Curative resection was achieved in all patients. No recurrence events were observed in any patient at 1 year after surgery.</p><p><strong>Conclusions: </strong>The crawling-type EGC may exhibit distinct clinical characteristics and pathological features compared with classical GC. Curative resection was achieved in all patients. The short-term prognosis of surgical treatment may be favorable.</p>\",\"PeriodicalId\":49093,\"journal\":{\"name\":\"Cancer Control\",\"volume\":\"32 \",\"pages\":\"10732748251319486\"},\"PeriodicalIF\":2.6000,\"publicationDate\":\"2025-01-01\",\"publicationTypes\":\"Journal Article\",\"fieldsOfStudy\":null,\"isOpenAccess\":false,\"openAccessPdf\":\"https://www.ncbi.nlm.nih.gov/pmc/articles/PMC11826854/pdf/\",\"citationCount\":\"0\",\"resultStr\":null,\"platform\":\"Semanticscholar\",\"paperid\":null,\"PeriodicalName\":\"Cancer Control\",\"FirstCategoryId\":\"3\",\"ListUrlMain\":\"https://doi.org/10.1177/10732748251319486\",\"RegionNum\":4,\"RegionCategory\":\"医学\",\"ArticlePicture\":[],\"TitleCN\":null,\"AbstractTextCN\":null,\"PMCID\":null,\"EPubDate\":\"\",\"PubModel\":\"\",\"JCR\":\"Q3\",\"JCRName\":\"ONCOLOGY\",\"Score\":null,\"Total\":0}","platform":"Semanticscholar","paperid":null,"PeriodicalName":"Cancer Control","FirstCategoryId":"3","ListUrlMain":"https://doi.org/10.1177/10732748251319486","RegionNum":4,"RegionCategory":"医学","ArticlePicture":[],"TitleCN":null,"AbstractTextCN":null,"PMCID":null,"EPubDate":"","PubModel":"","JCR":"Q3","JCRName":"ONCOLOGY","Score":null,"Total":0}
引用次数: 0

摘要

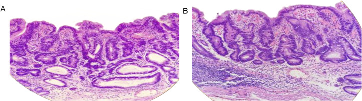
背景:“爬行型”早期胃癌(EGC)是一种罕见的胃癌(GC)亚型,由于其低级别的核异质性和类似肠化生的形态,早期诊断具有挑战性。本研究旨在探讨爬行型EGC患者的临床特点和病理特征。方法:本病例系列回顾性研究纳入2019年1月至2022年3月在同济大学附属东方医院行内镜粘膜下剥离(ESD)或胃切除术的爬行型EGC患者。结果:8例患者(平均年龄63.5±7.8岁),其中4例行ESD, 4例行部分胃切除术。4例患者肿瘤主要位于贲门及胃上基底腺区,另外4例患者肿瘤位于胃窦区。术前胃镜检查均发现萎缩性胃炎及肠化生。病变形态大体平坦。粘膜下浸润仅1例。5例患者肿瘤中存在印戒细胞。粘液型7例。7例为胃肠道混合型。所有患者均获得根治性切除。术后1年无复发事件发生。结论:与经典胃癌相比,爬行型胃癌具有明显的临床和病理特征。所有患者均获得根治性切除。手术治疗的短期预后良好。
本文章由计算机程序翻译,如有差异,请以英文原文为准。

Clinical Characteristics and Pathological Features of "Crawling-type" Early Gastric Carcinoma: A Retrospective Series of Eight Cases.

Clinical Characteristics and Pathological Features of "Crawling-type" Early Gastric Carcinoma: A Retrospective Series of Eight Cases.

Clinical Characteristics and Pathological Features of "Crawling-type" Early Gastric Carcinoma: A Retrospective Series of Eight Cases.

Clinical Characteristics and Pathological Features of "Crawling-type" Early Gastric Carcinoma: A Retrospective Series of Eight Cases.

Background: "Crawling-type" early gastric carcinoma (EGC) is a rare subtype of gastric cancer (GC) that is challenging to diagnose at an early stage due to its low-grade nuclear heterogeneity and morphology that mimics intestinal metaplasia. This study aimed to explore the clinical characteristics and pathological features of patients with crawling-type EGC.

Methods: This case series study retrospectively included patients with crawling-type EGC who underwent endoscopic submucosal dissection (ESD) or gastrectomy at the East Hospital Affiliated to Tongji University between January 2019 and March 2022.

Results: 8 patients (mean age 63.5 ± 7.8 years) were included: 4 underwent ESD, and 4 underwent partial gastrectomy. In 4 patients, the tumors were primarily located in the gastric cardia and the basal gland area of the upper stomach, while the other 4 patients had tumors in the antral region. Preoperative gastroscopy revealed atrophic gastritis and intestinal metaplasia in all patients. The lesions were generally flat in morphology. Submucosal infiltration was found in only one case. Signet ring cells were present in the tumors of 5 patients. The mucinous type was observed in 7 patients. Seven tumors were of the gastrointestinal mixed type. Curative resection was achieved in all patients. No recurrence events were observed in any patient at 1 year after surgery.

Conclusions: The crawling-type EGC may exhibit distinct clinical characteristics and pathological features compared with classical GC. Curative resection was achieved in all patients. The short-term prognosis of surgical treatment may be favorable.

求助全文
通过发布文献求助,成功后即可免费获取论文全文。 去求助
来源期刊
Cancer Control
Cancer Control ONCOLOGY-
CiteScore
3.80
自引率
0.00%
发文量
148
审稿时长
>12 weeks
期刊介绍: Cancer Control is a JCR-ranked, peer-reviewed open access journal whose mission is to advance the prevention, detection, diagnosis, treatment, and palliative care of cancer by enabling researchers, doctors, policymakers, and other healthcare professionals to freely share research along the cancer control continuum. Our vision is a world where gold-standard cancer care is the norm, not the exception.
×
引用
GB/T 7714-2015
复制
MLA
复制
APA
复制
导出至
BibTeX EndNote RefMan NoteFirst NoteExpress
×
提示
您的信息不完整,为了账户安全,请先补充。
现在去补充
×
提示
您因"违规操作"
具体请查看互助需知
我知道了
×
提示
确定
请完成安全验证×
copy
已复制链接
快去分享给好友吧!
我知道了
右上角分享
点击右上角分享
0
联系我们:info@booksci.cn Book学术提供免费学术资源搜索服务,方便国内外学者检索中英文文献。致力于提供最便捷和优质的服务体验。 Copyright © 2023 布克学术 All rights reserved.
京ICP备2023020795号-1
ghs 京公网安备 11010802042870号
Book学术文献互助
Book学术文献互助群
群 号:604180095
Book学术官方微信