皮下肺气肿和严重间质性肺疾病在抗mda - 5阳性皮肌炎西班牙患者的设置。

Case Reports in Rheumatology Pub Date : 2025-01-23 eCollection Date: 2025-01-01 DOI:10.1155/crrh/2017703
Sweta Subhadarshani, Brad Woodie, Emerson Bookal, Justin Reed
{"title":"皮下肺气肿和严重间质性肺疾病在抗mda - 5阳性皮肌炎西班牙患者的设置。","authors":"Sweta Subhadarshani, Brad Woodie, Emerson Bookal, Justin Reed","doi":"10.1155/crrh/2017703","DOIUrl":null,"url":null,"abstract":"<p><p>Antimelanoma differentiation-associated gene 5 (MDA5) dermatomyositis (DM) is a subtype of DM associated with characteristic mucocutaneous features. These individuals have an increased risk of developing interstitial lung disease (ILD) that ultimately leads to a complicated clinical course. Certain clinical findings suggest anti-MDA5 positive DM over anti-MDA5 negative DM, including cutaneous ulcers, diffuse nonscarring alopecia, and panniculitis. ILD and pneumomediastinum are known to be two of the most important pulmonary complications of anti-MDA5 DM because of the possibility of a rapidly progressive course and poor survival. This case outlines the unique presentation of pneumomediastinum, subcutaneous emphysema, and ILD in a patient with anti-MDA5 positive DM.</p>","PeriodicalId":9622,"journal":{"name":"Case Reports in Rheumatology","volume":"2025 ","pages":"2017703"},"PeriodicalIF":0.0000,"publicationDate":"2025-01-23","publicationTypes":"Journal Article","fieldsOfStudy":null,"isOpenAccess":false,"openAccessPdf":"https://www.ncbi.nlm.nih.gov/pmc/articles/PMC11824495/pdf/","citationCount":"0","resultStr":"{\"title\":\"Subcutaneous Emphysema and Severe Interstitial Lung Disease in the Setting of Anti-MDA 5 Positive Dermatomyositis in a Hispanic Patient.\",\"authors\":\"Sweta Subhadarshani, Brad Woodie, Emerson Bookal, Justin Reed\",\"doi\":\"10.1155/crrh/2017703\",\"DOIUrl\":null,\"url\":null,\"abstract\":\"<p><p>Antimelanoma differentiation-associated gene 5 (MDA5) dermatomyositis (DM) is a subtype of DM associated with characteristic mucocutaneous features. These individuals have an increased risk of developing interstitial lung disease (ILD) that ultimately leads to a complicated clinical course. Certain clinical findings suggest anti-MDA5 positive DM over anti-MDA5 negative DM, including cutaneous ulcers, diffuse nonscarring alopecia, and panniculitis. ILD and pneumomediastinum are known to be two of the most important pulmonary complications of anti-MDA5 DM because of the possibility of a rapidly progressive course and poor survival. This case outlines the unique presentation of pneumomediastinum, subcutaneous emphysema, and ILD in a patient with anti-MDA5 positive DM.</p>\",\"PeriodicalId\":9622,\"journal\":{\"name\":\"Case Reports in Rheumatology\",\"volume\":\"2025 \",\"pages\":\"2017703\"},\"PeriodicalIF\":0.0000,\"publicationDate\":\"2025-01-23\",\"publicationTypes\":\"Journal Article\",\"fieldsOfStudy\":null,\"isOpenAccess\":false,\"openAccessPdf\":\"https://www.ncbi.nlm.nih.gov/pmc/articles/PMC11824495/pdf/\",\"citationCount\":\"0\",\"resultStr\":null,\"platform\":\"Semanticscholar\",\"paperid\":null,\"PeriodicalName\":\"Case Reports in Rheumatology\",\"FirstCategoryId\":\"1085\",\"ListUrlMain\":\"https://doi.org/10.1155/crrh/2017703\",\"RegionNum\":0,\"RegionCategory\":null,\"ArticlePicture\":[],\"TitleCN\":null,\"AbstractTextCN\":null,\"PMCID\":null,\"EPubDate\":\"2025/1/1 0:00:00\",\"PubModel\":\"eCollection\",\"JCR\":\"\",\"JCRName\":\"\",\"Score\":null,\"Total\":0}","platform":"Semanticscholar","paperid":null,"PeriodicalName":"Case Reports in Rheumatology","FirstCategoryId":"1085","ListUrlMain":"https://doi.org/10.1155/crrh/2017703","RegionNum":0,"RegionCategory":null,"ArticlePicture":[],"TitleCN":null,"AbstractTextCN":null,"PMCID":null,"EPubDate":"2025/1/1 0:00:00","PubModel":"eCollection","JCR":"","JCRName":"","Score":null,"Total":0}
引用次数: 0

摘要

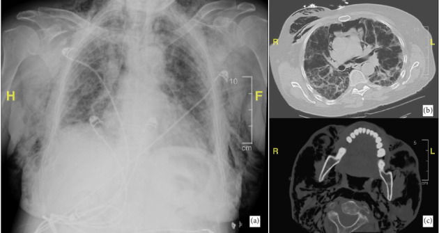
抗黑色素瘤分化相关基因5 (MDA5)皮肌炎(DM)是一种与特征性粘膜皮肤特征相关的DM亚型。这些个体发展为间质性肺疾病(ILD)的风险增加,最终导致复杂的临床病程。某些临床表现提示抗mda5阳性糖尿病优于抗mda5阴性糖尿病,包括皮肤溃疡、弥漫性非瘢痕性脱发和泛膜炎。ILD和纵隔气被认为是抗mda5型糖尿病最重要的两种肺部并发症,因为病程可能进展迅速,生存期较差。本病例概述了一位抗mda5阳性DM患者的独特表现:纵隔气肿、皮下肺气肿和ILD。
本文章由计算机程序翻译,如有差异,请以英文原文为准。

Subcutaneous Emphysema and Severe Interstitial Lung Disease in the Setting of Anti-MDA 5 Positive Dermatomyositis in a Hispanic Patient.

Subcutaneous Emphysema and Severe Interstitial Lung Disease in the Setting of Anti-MDA 5 Positive Dermatomyositis in a Hispanic Patient.

Subcutaneous Emphysema and Severe Interstitial Lung Disease in the Setting of Anti-MDA 5 Positive Dermatomyositis in a Hispanic Patient.

Antimelanoma differentiation-associated gene 5 (MDA5) dermatomyositis (DM) is a subtype of DM associated with characteristic mucocutaneous features. These individuals have an increased risk of developing interstitial lung disease (ILD) that ultimately leads to a complicated clinical course. Certain clinical findings suggest anti-MDA5 positive DM over anti-MDA5 negative DM, including cutaneous ulcers, diffuse nonscarring alopecia, and panniculitis. ILD and pneumomediastinum are known to be two of the most important pulmonary complications of anti-MDA5 DM because of the possibility of a rapidly progressive course and poor survival. This case outlines the unique presentation of pneumomediastinum, subcutaneous emphysema, and ILD in a patient with anti-MDA5 positive DM.

求助全文
通过发布文献求助,成功后即可免费获取论文全文。 去求助
来源期刊
自引率
0.00%
发文量
35
审稿时长
12 weeks
×
引用
GB/T 7714-2015
复制
MLA
复制
APA
复制
导出至
BibTeX EndNote RefMan NoteFirst NoteExpress
×
提示
您的信息不完整,为了账户安全,请先补充。
现在去补充
×
提示
您因"违规操作"
具体请查看互助需知
我知道了
×
提示
确定
请完成安全验证×
copy
已复制链接
快去分享给好友吧!
我知道了
右上角分享
点击右上角分享
0
联系我们:info@booksci.cn Book学术提供免费学术资源搜索服务,方便国内外学者检索中英文文献。致力于提供最便捷和优质的服务体验。 Copyright © 2023 布克学术 All rights reserved.
京ICP备2023020795号-1
ghs 京公网安备 11010802042870号
Book学术文献互助
Book学术文献互助群
群 号:604180095
Book学术官方微信