Evocalcet成功治疗AP2S1基因突变(p.a g15leu)鉴定的家族性3型低钙高钙血症(FHH3)

IF 0.9 Q4 ENDOCRINOLOGY & METABOLISM
Case Reports in Endocrinology Pub Date : 2025-01-23 eCollection Date: 2025-01-01 DOI:10.1155/crie/9514578
Ai Chida, Yutaka Hasegawa, Toshie Segawa, Daisuke Yamabe, Hirotaka Yan, Yusuke Chiba, Hiraku Chiba, Hirofumi Kinno, Tomoyasu Oda, Yoshihiko Takahashi, Koji Nata, Yasushi Ishigaki
{"title":"Evocalcet成功治疗AP2S1基因突变(p.a g15leu)鉴定的家族性3型低钙高钙血症(FHH3)","authors":"Ai Chida, Yutaka Hasegawa, Toshie Segawa, Daisuke Yamabe, Hirotaka Yan, Yusuke Chiba, Hiraku Chiba, Hirofumi Kinno, Tomoyasu Oda, Yoshihiko Takahashi, Koji Nata, Yasushi Ishigaki","doi":"10.1155/crie/9514578","DOIUrl":null,"url":null,"abstract":"<p><p><b>Background:</b> Familial hypocalciuric hypercalcemia type 3 (FHH3) is a rare hereditary disorder caused by a heterozygous <i>AP2S1</i> gene mutation, characterized by hypocalciuria and hypercalcemia due to impaired intracellular signal transduction of calcium (Ca)-sensing receptors (CaSRs). All affected patients harbored a heterozygous missense mutation at the Arg15 residue of the encoded AP2σ1. <b>Case Presentation:</b> A 21-year-old female was referred to our hospital with hypercalcemia and reduced bone mineral density (BMD) detected during a preoperative examination for scoliosis surgery. She had a developmental disorder and exhibited hypocalciuria on urinalysis. Genetic testing revealed a heterozygous <i>AP2S1</i> gene mutation (p.Arg15Leu), and the patient was diagnosed with FHH3. In the present case, we investigated the effects of evocalcet, a newly approved CaSR agonist. Treatment with evocalcet gradually decreased and normalized the serum Ca level, and promoted improvements in bone metabolism, without serious adverse events. <b>Conclusion:</b> Evocalcet may be a promising therapeutic candidate for symptomatic FHH3.</p>","PeriodicalId":9621,"journal":{"name":"Case Reports in Endocrinology","volume":"2025 ","pages":"9514578"},"PeriodicalIF":0.9000,"publicationDate":"2025-01-23","publicationTypes":"Journal Article","fieldsOfStudy":null,"isOpenAccess":false,"openAccessPdf":"https://www.ncbi.nlm.nih.gov/pmc/articles/PMC11824715/pdf/","citationCount":"0","resultStr":"{\"title\":\"Successful Treatment With Evocalcet Against Familial Hypocalciuric Hypercalcemia Type 3 (FHH3) Identified by <i>AP2S1</i> Gene Mutation (p.Arg15Leu).\",\"authors\":\"Ai Chida, Yutaka Hasegawa, Toshie Segawa, Daisuke Yamabe, Hirotaka Yan, Yusuke Chiba, Hiraku Chiba, Hirofumi Kinno, Tomoyasu Oda, Yoshihiko Takahashi, Koji Nata, Yasushi Ishigaki\",\"doi\":\"10.1155/crie/9514578\",\"DOIUrl\":null,\"url\":null,\"abstract\":\"<p><p><b>Background:</b> Familial hypocalciuric hypercalcemia type 3 (FHH3) is a rare hereditary disorder caused by a heterozygous <i>AP2S1</i> gene mutation, characterized by hypocalciuria and hypercalcemia due to impaired intracellular signal transduction of calcium (Ca)-sensing receptors (CaSRs). All affected patients harbored a heterozygous missense mutation at the Arg15 residue of the encoded AP2σ1. <b>Case Presentation:</b> A 21-year-old female was referred to our hospital with hypercalcemia and reduced bone mineral density (BMD) detected during a preoperative examination for scoliosis surgery. She had a developmental disorder and exhibited hypocalciuria on urinalysis. Genetic testing revealed a heterozygous <i>AP2S1</i> gene mutation (p.Arg15Leu), and the patient was diagnosed with FHH3. In the present case, we investigated the effects of evocalcet, a newly approved CaSR agonist. Treatment with evocalcet gradually decreased and normalized the serum Ca level, and promoted improvements in bone metabolism, without serious adverse events. <b>Conclusion:</b> Evocalcet may be a promising therapeutic candidate for symptomatic FHH3.</p>\",\"PeriodicalId\":9621,\"journal\":{\"name\":\"Case Reports in Endocrinology\",\"volume\":\"2025 \",\"pages\":\"9514578\"},\"PeriodicalIF\":0.9000,\"publicationDate\":\"2025-01-23\",\"publicationTypes\":\"Journal Article\",\"fieldsOfStudy\":null,\"isOpenAccess\":false,\"openAccessPdf\":\"https://www.ncbi.nlm.nih.gov/pmc/articles/PMC11824715/pdf/\",\"citationCount\":\"0\",\"resultStr\":null,\"platform\":\"Semanticscholar\",\"paperid\":null,\"PeriodicalName\":\"Case Reports in Endocrinology\",\"FirstCategoryId\":\"1085\",\"ListUrlMain\":\"https://doi.org/10.1155/crie/9514578\",\"RegionNum\":0,\"RegionCategory\":null,\"ArticlePicture\":[],\"TitleCN\":null,\"AbstractTextCN\":null,\"PMCID\":null,\"EPubDate\":\"2025/1/1 0:00:00\",\"PubModel\":\"eCollection\",\"JCR\":\"Q4\",\"JCRName\":\"ENDOCRINOLOGY & METABOLISM\",\"Score\":null,\"Total\":0}","platform":"Semanticscholar","paperid":null,"PeriodicalName":"Case Reports in Endocrinology","FirstCategoryId":"1085","ListUrlMain":"https://doi.org/10.1155/crie/9514578","RegionNum":0,"RegionCategory":null,"ArticlePicture":[],"TitleCN":null,"AbstractTextCN":null,"PMCID":null,"EPubDate":"2025/1/1 0:00:00","PubModel":"eCollection","JCR":"Q4","JCRName":"ENDOCRINOLOGY & METABOLISM","Score":null,"Total":0}
引用次数: 0

摘要

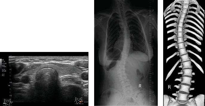
背景:家族性低钙性高钙血症3型(FHH3)是一种罕见的遗传性疾病,由AP2S1基因杂合突变引起,以钙(Ca)敏感受体(CaSRs)细胞内信号转导受损导致低钙尿和高钙血症为特征。所有受影响的患者在编码AP2σ1的Arg15残基上都存在杂合错义突变。病例介绍:一名21岁女性在脊柱侧凸手术术前检查中发现高钙血症和骨密度降低。她有发育障碍,尿液分析显示低钙尿。基因检测显示AP2S1基因杂合突变(p.a g15leu),诊断为FHH3。在本病例中,我们研究了新批准的CaSR激动剂evocalcet的作用。evocalcet治疗可使血清钙水平逐渐降低并恢复正常,促进骨代谢改善,无严重不良事件发生。结论:Evocalcet可能是治疗症状性FHH3的有希望的候选药物。
本文章由计算机程序翻译,如有差异,请以英文原文为准。

Successful Treatment With Evocalcet Against Familial Hypocalciuric Hypercalcemia Type 3 (FHH3) Identified by <i>AP2S1</i> Gene Mutation (p.Arg15Leu).

Successful Treatment With Evocalcet Against Familial Hypocalciuric Hypercalcemia Type 3 (FHH3) Identified by <i>AP2S1</i> Gene Mutation (p.Arg15Leu).

Successful Treatment With Evocalcet Against Familial Hypocalciuric Hypercalcemia Type 3 (FHH3) Identified by AP2S1 Gene Mutation (p.Arg15Leu).

Background: Familial hypocalciuric hypercalcemia type 3 (FHH3) is a rare hereditary disorder caused by a heterozygous AP2S1 gene mutation, characterized by hypocalciuria and hypercalcemia due to impaired intracellular signal transduction of calcium (Ca)-sensing receptors (CaSRs). All affected patients harbored a heterozygous missense mutation at the Arg15 residue of the encoded AP2σ1. Case Presentation: A 21-year-old female was referred to our hospital with hypercalcemia and reduced bone mineral density (BMD) detected during a preoperative examination for scoliosis surgery. She had a developmental disorder and exhibited hypocalciuria on urinalysis. Genetic testing revealed a heterozygous AP2S1 gene mutation (p.Arg15Leu), and the patient was diagnosed with FHH3. In the present case, we investigated the effects of evocalcet, a newly approved CaSR agonist. Treatment with evocalcet gradually decreased and normalized the serum Ca level, and promoted improvements in bone metabolism, without serious adverse events. Conclusion: Evocalcet may be a promising therapeutic candidate for symptomatic FHH3.

求助全文
通过发布文献求助,成功后即可免费获取论文全文。 去求助
来源期刊
Case Reports in Endocrinology
Case Reports in Endocrinology ENDOCRINOLOGY & METABOLISM-
CiteScore
2.10
自引率
0.00%
发文量
45
审稿时长
13 weeks
×
引用
GB/T 7714-2015
复制
MLA
复制
APA
复制
导出至
BibTeX EndNote RefMan NoteFirst NoteExpress
×
提示
您的信息不完整,为了账户安全,请先补充。
现在去补充
×
提示
您因"违规操作"
具体请查看互助需知
我知道了
×
提示
确定
请完成安全验证×
copy
已复制链接
快去分享给好友吧!
我知道了
右上角分享
点击右上角分享
0
联系我们:info@booksci.cn Book学术提供免费学术资源搜索服务,方便国内外学者检索中英文文献。致力于提供最便捷和优质的服务体验。 Copyright © 2023 布克学术 All rights reserved.
京ICP备2023020795号-1
ghs 京公网安备 11010802042870号
Book学术文献互助
Book学术文献互助群
群 号:604180095
Book学术官方微信