冠状动脉搭桥术后早期急性主动脉夹层。

IF 1.2
Živojin S Jonjev, Adam Adam, Novica Kalinić, Tamaš Vaštag, Ilija Bjeljac
{"title":"冠状动脉搭桥术后早期急性主动脉夹层。","authors":"Živojin S Jonjev, Adam Adam, Novica Kalinić, Tamaš Vaštag, Ilija Bjeljac","doi":"10.21470/1678-9741-2023-0342","DOIUrl":null,"url":null,"abstract":"<p><p>Patients having Stanford type A acute dissection soon after cardiac surgery have a high risk of rupture and death. The presentation, management, and outcome of primary dissection of the ascending aorta (Stanford type A or De Bakey type I or II) are well described. However, patients with Stanford type A acute aortic dissection soon (3-4 weeks) after primary cardiac surgery have distinctly different presentation, management, and postoperative outcome. In this report, we describe the clinical and surgical findings of a patient with early Stanford type A acute aortic dissection four weeks after primary coronary artery bypass grafting.</p>","PeriodicalId":72457,"journal":{"name":"Brazilian journal of cardiovascular surgery","volume":"40 1","pages":"e20230342"},"PeriodicalIF":1.2000,"publicationDate":"2025-02-12","publicationTypes":"Journal Article","fieldsOfStudy":null,"isOpenAccess":false,"openAccessPdf":"https://www.ncbi.nlm.nih.gov/pmc/articles/PMC11813076/pdf/","citationCount":"0","resultStr":"{\"title\":\"Early Acute Aortic Dissection After Coronary Artery Bypass Grafting.\",\"authors\":\"Živojin S Jonjev, Adam Adam, Novica Kalinić, Tamaš Vaštag, Ilija Bjeljac\",\"doi\":\"10.21470/1678-9741-2023-0342\",\"DOIUrl\":null,\"url\":null,\"abstract\":\"<p><p>Patients having Stanford type A acute dissection soon after cardiac surgery have a high risk of rupture and death. The presentation, management, and outcome of primary dissection of the ascending aorta (Stanford type A or De Bakey type I or II) are well described. However, patients with Stanford type A acute aortic dissection soon (3-4 weeks) after primary cardiac surgery have distinctly different presentation, management, and postoperative outcome. In this report, we describe the clinical and surgical findings of a patient with early Stanford type A acute aortic dissection four weeks after primary coronary artery bypass grafting.</p>\",\"PeriodicalId\":72457,\"journal\":{\"name\":\"Brazilian journal of cardiovascular surgery\",\"volume\":\"40 1\",\"pages\":\"e20230342\"},\"PeriodicalIF\":1.2000,\"publicationDate\":\"2025-02-12\",\"publicationTypes\":\"Journal Article\",\"fieldsOfStudy\":null,\"isOpenAccess\":false,\"openAccessPdf\":\"https://www.ncbi.nlm.nih.gov/pmc/articles/PMC11813076/pdf/\",\"citationCount\":\"0\",\"resultStr\":null,\"platform\":\"Semanticscholar\",\"paperid\":null,\"PeriodicalName\":\"Brazilian journal of cardiovascular surgery\",\"FirstCategoryId\":\"1085\",\"ListUrlMain\":\"https://doi.org/10.21470/1678-9741-2023-0342\",\"RegionNum\":0,\"RegionCategory\":null,\"ArticlePicture\":[],\"TitleCN\":null,\"AbstractTextCN\":null,\"PMCID\":null,\"EPubDate\":\"\",\"PubModel\":\"\",\"JCR\":\"\",\"JCRName\":\"\",\"Score\":null,\"Total\":0}","platform":"Semanticscholar","paperid":null,"PeriodicalName":"Brazilian journal of cardiovascular surgery","FirstCategoryId":"1085","ListUrlMain":"https://doi.org/10.21470/1678-9741-2023-0342","RegionNum":0,"RegionCategory":null,"ArticlePicture":[],"TitleCN":null,"AbstractTextCN":null,"PMCID":null,"EPubDate":"","PubModel":"","JCR":"","JCRName":"","Score":null,"Total":0}
引用次数: 0

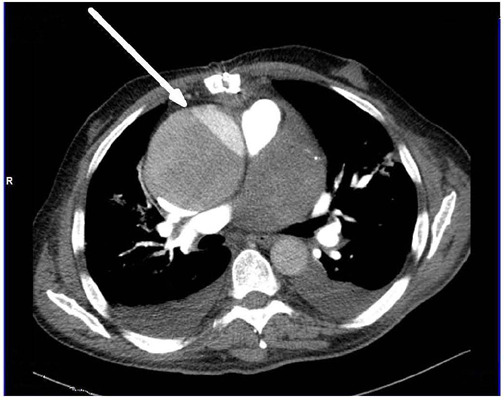
摘要

心脏手术后不久发生Stanford A型急性夹层的患者有很高的破裂和死亡风险。原发性升主动脉夹层(Stanford A型或De Bakey I型或II型)的表现、处理和结果都有很好的描述。然而,在心脏手术后不久(3-4周)发生Stanford A型急性主动脉夹层的患者有明显不同的表现、处理和术后结果。在本报告中,我们描述了一例早期Stanford a型急性主动脉夹层患者在初级冠状动脉搭桥术后四周的临床和手术表现。
本文章由计算机程序翻译,如有差异,请以英文原文为准。

Early Acute Aortic Dissection After Coronary Artery Bypass Grafting.

Early Acute Aortic Dissection After Coronary Artery Bypass Grafting.

Early Acute Aortic Dissection After Coronary Artery Bypass Grafting.

Early Acute Aortic Dissection After Coronary Artery Bypass Grafting.

Patients having Stanford type A acute dissection soon after cardiac surgery have a high risk of rupture and death. The presentation, management, and outcome of primary dissection of the ascending aorta (Stanford type A or De Bakey type I or II) are well described. However, patients with Stanford type A acute aortic dissection soon (3-4 weeks) after primary cardiac surgery have distinctly different presentation, management, and postoperative outcome. In this report, we describe the clinical and surgical findings of a patient with early Stanford type A acute aortic dissection four weeks after primary coronary artery bypass grafting.

求助全文
通过发布文献求助,成功后即可免费获取论文全文。 去求助
来源期刊
自引率
0.00%
发文量
0
×
引用
GB/T 7714-2015
复制
MLA
复制
APA
复制
导出至
BibTeX EndNote RefMan NoteFirst NoteExpress
×
提示
您的信息不完整,为了账户安全,请先补充。
现在去补充
×
提示
您因"违规操作"
具体请查看互助需知
我知道了
×
提示
确定
请完成安全验证×
copy
已复制链接
快去分享给好友吧!
我知道了
右上角分享
点击右上角分享
0
联系我们:info@booksci.cn Book学术提供免费学术资源搜索服务,方便国内外学者检索中英文文献。致力于提供最便捷和优质的服务体验。 Copyright © 2023 布克学术 All rights reserved.
京ICP备2023020795号-1
ghs 京公网安备 11010802042870号
Book学术文献互助
Book学术文献互助群
群 号:604180095
Book学术官方微信