造影剂对定量计算机断层扫描测量腰椎骨密度的影响。

IF 1.5 Q3 HEALTH CARE SCIENCES & SERVICES
Lahari R Shetty, Kaushik Nayak, Priyanka
{"title":"造影剂对定量计算机断层扫描测量腰椎骨密度的影响。","authors":"Lahari R Shetty, Kaushik Nayak, Priyanka","doi":"10.4314/ejhs.v34i5.3","DOIUrl":null,"url":null,"abstract":"<p><strong>Background: </strong>Osteoporosis is a bone disease caused by decrease in bone mineral density (BMD). Quantitative computed tomography (QCT) has proven to be an effective tool to measure the BMD of the lumbar spine. Therefore, the objective of the study is to investigate the impact of intravenous contrast media (CM) on BMD of lumbar spine measured by QCT.</p><p><strong>Methods: </strong>This is a prospective study and included a total of 141 patients (females: 71, males: 70) referred for contrast enhanced computed tomography (CECT) abdomen. First, the plain scan of abdomen was done. Contrast media was injected intravenously followed by acquisition of arterial and portovenous phase (PV) of abdomen. Plain, arterial and PV phases axial CT images were loaded on Philips BMD analysis application. A circular region of interest (ROI) measuring 30-40 mm<sup>2</sup> was placed at all five lumbar vertebrae (L1-L5) and value of BMD was obtained in mg/cm<sup>3</sup>.</p><p><strong>Results: </strong>Paired t-test was used to compare BMD in plain, arterial and PV phase. There was significant difference (p <0.05) in BMD (L1-L5) between plain (110.86±36.61 mg/cm<sup>3</sup>), arterial (117.04±37.95 mg/cm<sup>3</sup>) and PV phase (127.52±40.9 mg/cm<sup>3</sup>). The study also noted significant difference between males and females in BMD of lumbar spine (L1-L5) for plain and CECT abdomen (p <0.05).</p><p><strong>Conclusion: </strong>The BMD was highest for PV phase of the CECT abdomen. Therefore, the study concludes that BMD values are highly influenced by intravenous contrast media injections.</p>","PeriodicalId":12003,"journal":{"name":"Ethiopian Journal of Health Sciences","volume":"34 5","pages":"359-364"},"PeriodicalIF":1.5000,"publicationDate":"2024-09-01","publicationTypes":"Journal Article","fieldsOfStudy":null,"isOpenAccess":false,"openAccessPdf":"https://www.ncbi.nlm.nih.gov/pmc/articles/PMC11811390/pdf/","citationCount":"0","resultStr":"{\"title\":\"The Impact of Contrast Media on Lumbar Spine Bone Mineral Density Measured by Quantitative Computed Tomography.\",\"authors\":\"Lahari R Shetty, Kaushik Nayak, Priyanka\",\"doi\":\"10.4314/ejhs.v34i5.3\",\"DOIUrl\":null,\"url\":null,\"abstract\":\"<p><strong>Background: </strong>Osteoporosis is a bone disease caused by decrease in bone mineral density (BMD). Quantitative computed tomography (QCT) has proven to be an effective tool to measure the BMD of the lumbar spine. Therefore, the objective of the study is to investigate the impact of intravenous contrast media (CM) on BMD of lumbar spine measured by QCT.</p><p><strong>Methods: </strong>This is a prospective study and included a total of 141 patients (females: 71, males: 70) referred for contrast enhanced computed tomography (CECT) abdomen. First, the plain scan of abdomen was done. Contrast media was injected intravenously followed by acquisition of arterial and portovenous phase (PV) of abdomen. Plain, arterial and PV phases axial CT images were loaded on Philips BMD analysis application. A circular region of interest (ROI) measuring 30-40 mm<sup>2</sup> was placed at all five lumbar vertebrae (L1-L5) and value of BMD was obtained in mg/cm<sup>3</sup>.</p><p><strong>Results: </strong>Paired t-test was used to compare BMD in plain, arterial and PV phase. There was significant difference (p <0.05) in BMD (L1-L5) between plain (110.86±36.61 mg/cm<sup>3</sup>), arterial (117.04±37.95 mg/cm<sup>3</sup>) and PV phase (127.52±40.9 mg/cm<sup>3</sup>). The study also noted significant difference between males and females in BMD of lumbar spine (L1-L5) for plain and CECT abdomen (p <0.05).</p><p><strong>Conclusion: </strong>The BMD was highest for PV phase of the CECT abdomen. Therefore, the study concludes that BMD values are highly influenced by intravenous contrast media injections.</p>\",\"PeriodicalId\":12003,\"journal\":{\"name\":\"Ethiopian Journal of Health Sciences\",\"volume\":\"34 5\",\"pages\":\"359-364\"},\"PeriodicalIF\":1.5000,\"publicationDate\":\"2024-09-01\",\"publicationTypes\":\"Journal Article\",\"fieldsOfStudy\":null,\"isOpenAccess\":false,\"openAccessPdf\":\"https://www.ncbi.nlm.nih.gov/pmc/articles/PMC11811390/pdf/\",\"citationCount\":\"0\",\"resultStr\":null,\"platform\":\"Semanticscholar\",\"paperid\":null,\"PeriodicalName\":\"Ethiopian Journal of Health Sciences\",\"FirstCategoryId\":\"1085\",\"ListUrlMain\":\"https://doi.org/10.4314/ejhs.v34i5.3\",\"RegionNum\":0,\"RegionCategory\":null,\"ArticlePicture\":[],\"TitleCN\":null,\"AbstractTextCN\":null,\"PMCID\":null,\"EPubDate\":\"\",\"PubModel\":\"\",\"JCR\":\"Q3\",\"JCRName\":\"HEALTH CARE SCIENCES & SERVICES\",\"Score\":null,\"Total\":0}","platform":"Semanticscholar","paperid":null,"PeriodicalName":"Ethiopian Journal of Health Sciences","FirstCategoryId":"1085","ListUrlMain":"https://doi.org/10.4314/ejhs.v34i5.3","RegionNum":0,"RegionCategory":null,"ArticlePicture":[],"TitleCN":null,"AbstractTextCN":null,"PMCID":null,"EPubDate":"","PubModel":"","JCR":"Q3","JCRName":"HEALTH CARE SCIENCES & SERVICES","Score":null,"Total":0}
引用次数: 0

摘要

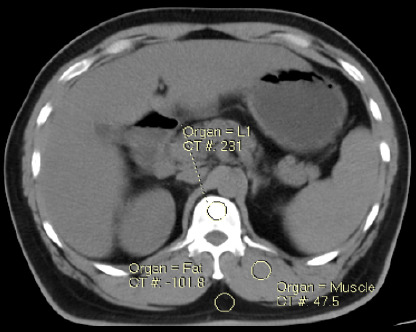
背景:骨质疏松症是由骨密度(BMD)降低引起的一种骨病。定量计算机断层扫描(QCT)已被证明是测量腰椎骨密度的有效工具。因此,本研究的目的是探讨静脉注射造影剂(CM)对QCT测量腰椎BMD的影响。方法:这是一项前瞻性研究,共纳入141例患者(女性71例,男性70例)进行腹部对比增强计算机断层扫描(CECT)。首先进行腹部平扫。静脉注射造影剂,获取腹部动脉和门静脉相(PV)。在Philips BMD分析软件上加载平面、动脉和PV期轴向CT图像。在所有5个腰椎(L1-L5)放置30-40 mm2的圆形感兴趣区域(ROI),并以mg/cm3计算BMD值。结果:采用配对t检验比较平直期、动脉期和PV期的骨密度。动脉期(117.04±37.95 mg/cm3)和PV期(127.52±40.9 mg/cm3)差异有统计学意义(p < 0.05)。该研究还发现,男性和女性在普通和CECT腹部腰椎(L1-L5)的骨密度有显著差异(p结论:CECT腹部PV期骨密度最高。因此,本研究得出结论,静脉注射造影剂对骨密度值的影响很大。
本文章由计算机程序翻译,如有差异,请以英文原文为准。

The Impact of Contrast Media on Lumbar Spine Bone Mineral Density Measured by Quantitative Computed Tomography.

The Impact of Contrast Media on Lumbar Spine Bone Mineral Density Measured by Quantitative Computed Tomography.

The Impact of Contrast Media on Lumbar Spine Bone Mineral Density Measured by Quantitative Computed Tomography.

Background: Osteoporosis is a bone disease caused by decrease in bone mineral density (BMD). Quantitative computed tomography (QCT) has proven to be an effective tool to measure the BMD of the lumbar spine. Therefore, the objective of the study is to investigate the impact of intravenous contrast media (CM) on BMD of lumbar spine measured by QCT.

Methods: This is a prospective study and included a total of 141 patients (females: 71, males: 70) referred for contrast enhanced computed tomography (CECT) abdomen. First, the plain scan of abdomen was done. Contrast media was injected intravenously followed by acquisition of arterial and portovenous phase (PV) of abdomen. Plain, arterial and PV phases axial CT images were loaded on Philips BMD analysis application. A circular region of interest (ROI) measuring 30-40 mm2 was placed at all five lumbar vertebrae (L1-L5) and value of BMD was obtained in mg/cm3.

Results: Paired t-test was used to compare BMD in plain, arterial and PV phase. There was significant difference (p <0.05) in BMD (L1-L5) between plain (110.86±36.61 mg/cm3), arterial (117.04±37.95 mg/cm3) and PV phase (127.52±40.9 mg/cm3). The study also noted significant difference between males and females in BMD of lumbar spine (L1-L5) for plain and CECT abdomen (p <0.05).

Conclusion: The BMD was highest for PV phase of the CECT abdomen. Therefore, the study concludes that BMD values are highly influenced by intravenous contrast media injections.

求助全文
通过发布文献求助,成功后即可免费获取论文全文。 去求助
来源期刊
Ethiopian Journal of Health Sciences
Ethiopian Journal of Health Sciences HEALTH CARE SCIENCES & SERVICES-
CiteScore
2.10
自引率
8.30%
发文量
137
审稿时长
12 weeks
期刊介绍: Ethiopian Journal of Health Sciences is a general health science journal addressing clinical medicine, public health and biomedical sciences. Rarely, it covers veterinary medicine
×
引用
GB/T 7714-2015
复制
MLA
复制
APA
复制
导出至
BibTeX EndNote RefMan NoteFirst NoteExpress
×
提示
您的信息不完整,为了账户安全,请先补充。
现在去补充
×
提示
您因"违规操作"
具体请查看互助需知
我知道了
×
提示
确定
请完成安全验证×
copy
已复制链接
快去分享给好友吧!
我知道了
右上角分享
点击右上角分享
0
联系我们:info@booksci.cn Book学术提供免费学术资源搜索服务,方便国内外学者检索中英文文献。致力于提供最便捷和优质的服务体验。 Copyright © 2023 布克学术 All rights reserved.
京ICP备2023020795号-1
ghs 京公网安备 11010802042870号
Book学术文献互助
Book学术文献互助群
群 号:604180095
Book学术官方微信