双侧腰椎显微减压后腰椎滑脱和脊柱侧凸进展及相关翻修率。

IF 1.2 Q3 SURGERY
Spine Surgery and Related Research Pub Date : 2024-08-22 eCollection Date: 2025-01-27 DOI:10.22603/ssrr.2024-0137
Walter-Soon-Yaw Wong, Ashton Kai Shun Tan, Kenneth Zhi Kuan Loi, Dhivakaran Gengatharan, Craigven Hao Sheng Sim, Hao Bin Chen, Yilun Huang
{"title":"双侧腰椎显微减压后腰椎滑脱和脊柱侧凸进展及相关翻修率。","authors":"Walter-Soon-Yaw Wong, Ashton Kai Shun Tan, Kenneth Zhi Kuan Loi, Dhivakaran Gengatharan, Craigven Hao Sheng Sim, Hao Bin Chen, Yilun Huang","doi":"10.22603/ssrr.2024-0137","DOIUrl":null,"url":null,"abstract":"<p><p>Lumbar spine microscopic decompression (LSMD) is a common surgical procedure for decompressing neural elements. Although the optimal extent of decompression remains a critical consideration, limited evidence-based guidelines define the threshold for instrumented fusion to maintain biomechanical stability. Existing studies suggest that unilateral LSMD generally does not result in iatrogenic instability. However, the potential instability associated with bilateral segmental decompression (BLSMD) is less well-defined, particularly in patients with pre-existing degenerative lumbar scoliosis (SC) or spondylolisthesis (SL). This retrospective study included patients undergoing BLSMD without instrumented fusion. Pre-existing SC was defined as Cobb's angle ≥10° and SL as any anterior-posterior slip of operated level adjacent vertebral bodies. The primary outcome was new or progressive SC/SL measured on pre and postoperative radiographs. Secondary outcomes were revision rates, changes in Visual Analog Scores (bVAS/lVAS), and Oswestry Disability Index (ODI) scores, collected preoperatively and 1-2 years postoperatively. Baseline characteristics such as age, BMI, sex, and number of levels operated were also collected. A total of 31 patients were reviewed comprising 15 female and 16 male patients with a mean age of 61.4 years (21-78) and BMI of 26.5 (18-41). There were 14 one-level, 12 two-level, and 4 three-level BLSMD performed. Patients with pre-existing SC and SL had a 66% and 23% incidence of radiological progression, respectively, compared to 0% in patients without pre-existing deformity. Progression cases were associated with high reoperation rates (up to 75%) and seemed to have inferior clinical outcomes than those without progression. In patients undergoing BLSMD, pre-existing SC/SL is linked to a higher incidence of radiological progression and higher reoperation rates. For patients with SC/SL, careful consideration should be given to limiting decompression, potentially exploring fusion options, and implementing close postoperative radiographic monitoring.</p>","PeriodicalId":22253,"journal":{"name":"Spine Surgery and Related Research","volume":"9 1","pages":"30-35"},"PeriodicalIF":1.2000,"publicationDate":"2024-08-22","publicationTypes":"Journal Article","fieldsOfStudy":null,"isOpenAccess":false,"openAccessPdf":"https://www.ncbi.nlm.nih.gov/pmc/articles/PMC11808231/pdf/","citationCount":"0","resultStr":"{\"title\":\"Spondylolisthesis and Scoliosis Progression and Associated Revision Rates Following Bilateral Lumbar Spine Microscopic Decompression.\",\"authors\":\"Walter-Soon-Yaw Wong, Ashton Kai Shun Tan, Kenneth Zhi Kuan Loi, Dhivakaran Gengatharan, Craigven Hao Sheng Sim, Hao Bin Chen, Yilun Huang\",\"doi\":\"10.22603/ssrr.2024-0137\",\"DOIUrl\":null,\"url\":null,\"abstract\":\"<p><p>Lumbar spine microscopic decompression (LSMD) is a common surgical procedure for decompressing neural elements. Although the optimal extent of decompression remains a critical consideration, limited evidence-based guidelines define the threshold for instrumented fusion to maintain biomechanical stability. Existing studies suggest that unilateral LSMD generally does not result in iatrogenic instability. However, the potential instability associated with bilateral segmental decompression (BLSMD) is less well-defined, particularly in patients with pre-existing degenerative lumbar scoliosis (SC) or spondylolisthesis (SL). This retrospective study included patients undergoing BLSMD without instrumented fusion. Pre-existing SC was defined as Cobb's angle ≥10° and SL as any anterior-posterior slip of operated level adjacent vertebral bodies. The primary outcome was new or progressive SC/SL measured on pre and postoperative radiographs. Secondary outcomes were revision rates, changes in Visual Analog Scores (bVAS/lVAS), and Oswestry Disability Index (ODI) scores, collected preoperatively and 1-2 years postoperatively. Baseline characteristics such as age, BMI, sex, and number of levels operated were also collected. A total of 31 patients were reviewed comprising 15 female and 16 male patients with a mean age of 61.4 years (21-78) and BMI of 26.5 (18-41). There were 14 one-level, 12 two-level, and 4 three-level BLSMD performed. Patients with pre-existing SC and SL had a 66% and 23% incidence of radiological progression, respectively, compared to 0% in patients without pre-existing deformity. Progression cases were associated with high reoperation rates (up to 75%) and seemed to have inferior clinical outcomes than those without progression. In patients undergoing BLSMD, pre-existing SC/SL is linked to a higher incidence of radiological progression and higher reoperation rates. For patients with SC/SL, careful consideration should be given to limiting decompression, potentially exploring fusion options, and implementing close postoperative radiographic monitoring.</p>\",\"PeriodicalId\":22253,\"journal\":{\"name\":\"Spine Surgery and Related Research\",\"volume\":\"9 1\",\"pages\":\"30-35\"},\"PeriodicalIF\":1.2000,\"publicationDate\":\"2024-08-22\",\"publicationTypes\":\"Journal Article\",\"fieldsOfStudy\":null,\"isOpenAccess\":false,\"openAccessPdf\":\"https://www.ncbi.nlm.nih.gov/pmc/articles/PMC11808231/pdf/\",\"citationCount\":\"0\",\"resultStr\":null,\"platform\":\"Semanticscholar\",\"paperid\":null,\"PeriodicalName\":\"Spine Surgery and Related Research\",\"FirstCategoryId\":\"1085\",\"ListUrlMain\":\"https://doi.org/10.22603/ssrr.2024-0137\",\"RegionNum\":0,\"RegionCategory\":null,\"ArticlePicture\":[],\"TitleCN\":null,\"AbstractTextCN\":null,\"PMCID\":null,\"EPubDate\":\"2025/1/27 0:00:00\",\"PubModel\":\"eCollection\",\"JCR\":\"Q3\",\"JCRName\":\"SURGERY\",\"Score\":null,\"Total\":0}","platform":"Semanticscholar","paperid":null,"PeriodicalName":"Spine Surgery and Related Research","FirstCategoryId":"1085","ListUrlMain":"https://doi.org/10.22603/ssrr.2024-0137","RegionNum":0,"RegionCategory":null,"ArticlePicture":[],"TitleCN":null,"AbstractTextCN":null,"PMCID":null,"EPubDate":"2025/1/27 0:00:00","PubModel":"eCollection","JCR":"Q3","JCRName":"SURGERY","Score":null,"Total":0}
引用次数: 0

摘要

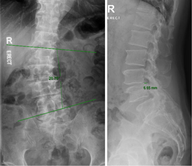
腰椎显微减压术(LSMD)是一种常见的减压神经元件的外科手术。尽管最佳减压程度仍然是一个重要的考虑因素,但有限的循证指南定义了内固定融合以保持生物力学稳定性的阈值。现有研究表明,单侧LSMD一般不会导致医源性不稳定。然而,与双侧节段性减压(BLSMD)相关的潜在不稳定性尚不明确,特别是在已有退行性腰椎侧凸(SC)或脊柱滑脱(SL)的患者中。这项回顾性研究纳入了接受BLSMD而没有内固定融合的患者。预先存在的SC定义为Cobb角≥10°,SL定义为手术后水平邻近椎体的任何前后滑移。主要结果是术前和术后x线片测量的新发或进展性SC/SL。次要结果是术前和术后1-2年收集的修订率、视觉模拟评分(bVAS/lVAS)的变化和Oswestry残疾指数(ODI)评分。基线特征,如年龄、BMI、性别和手术水平也被收集。共纳入31例患者,其中女性15例,男性16例,平均年龄61.4岁(21-78岁),BMI为26.5(18-41岁)。一级14例,二级12例,三级4例。先前存在SC和SL的患者放射学进展的发生率分别为66%和23%,而没有先前存在畸形的患者为0%。进展病例的再手术率较高(高达75%),其临床结果似乎不如无进展病例。在接受BLSMD的患者中,先前存在的SC/SL与更高的放射学进展发生率和更高的再手术率有关。对于SC/SL患者,应仔细考虑限制减压,潜在地探索融合选择,并实施密切的术后放射学监测。
本文章由计算机程序翻译,如有差异,请以英文原文为准。

Spondylolisthesis and Scoliosis Progression and Associated Revision Rates Following Bilateral Lumbar Spine Microscopic Decompression.

Spondylolisthesis and Scoliosis Progression and Associated Revision Rates Following Bilateral Lumbar Spine Microscopic Decompression.

Spondylolisthesis and Scoliosis Progression and Associated Revision Rates Following Bilateral Lumbar Spine Microscopic Decompression.

Lumbar spine microscopic decompression (LSMD) is a common surgical procedure for decompressing neural elements. Although the optimal extent of decompression remains a critical consideration, limited evidence-based guidelines define the threshold for instrumented fusion to maintain biomechanical stability. Existing studies suggest that unilateral LSMD generally does not result in iatrogenic instability. However, the potential instability associated with bilateral segmental decompression (BLSMD) is less well-defined, particularly in patients with pre-existing degenerative lumbar scoliosis (SC) or spondylolisthesis (SL). This retrospective study included patients undergoing BLSMD without instrumented fusion. Pre-existing SC was defined as Cobb's angle ≥10° and SL as any anterior-posterior slip of operated level adjacent vertebral bodies. The primary outcome was new or progressive SC/SL measured on pre and postoperative radiographs. Secondary outcomes were revision rates, changes in Visual Analog Scores (bVAS/lVAS), and Oswestry Disability Index (ODI) scores, collected preoperatively and 1-2 years postoperatively. Baseline characteristics such as age, BMI, sex, and number of levels operated were also collected. A total of 31 patients were reviewed comprising 15 female and 16 male patients with a mean age of 61.4 years (21-78) and BMI of 26.5 (18-41). There were 14 one-level, 12 two-level, and 4 three-level BLSMD performed. Patients with pre-existing SC and SL had a 66% and 23% incidence of radiological progression, respectively, compared to 0% in patients without pre-existing deformity. Progression cases were associated with high reoperation rates (up to 75%) and seemed to have inferior clinical outcomes than those without progression. In patients undergoing BLSMD, pre-existing SC/SL is linked to a higher incidence of radiological progression and higher reoperation rates. For patients with SC/SL, careful consideration should be given to limiting decompression, potentially exploring fusion options, and implementing close postoperative radiographic monitoring.

求助全文
通过发布文献求助,成功后即可免费获取论文全文。 去求助
来源期刊
CiteScore
1.80
自引率
0.00%
发文量
71
审稿时长
15 weeks
×
引用
GB/T 7714-2015
复制
MLA
复制
APA
复制
导出至
BibTeX EndNote RefMan NoteFirst NoteExpress
×
提示
您的信息不完整,为了账户安全,请先补充。
现在去补充
×
提示
您因"违规操作"
具体请查看互助需知
我知道了
×
提示
确定
请完成安全验证×
copy
已复制链接
快去分享给好友吧!
我知道了
右上角分享
点击右上角分享
0
联系我们:info@booksci.cn Book学术提供免费学术资源搜索服务,方便国内外学者检索中英文文献。致力于提供最便捷和优质的服务体验。 Copyright © 2023 布克学术 All rights reserved.
京ICP备2023020795号-1
ghs 京公网安备 11010802042870号
Book学术文献互助
Book学术文献互助群
群 号:604180095
Book学术官方微信