急性白血病肥大细胞白血病伴阑尾骨骼成骨细胞病变1例。

IF 1.3 Q4 HEMATOLOGY
Journal of hematology Pub Date : 2025-02-01 Epub Date: 2025-01-17 DOI:10.14740/jh1383
Muralidhar Idamakanti, Ala Ebaid, Rani Indrani Bijjam, Alexei Bakhirev, Shiva Kumar Mukkamalla, Leslie Andritsos
{"title":"急性白血病肥大细胞白血病伴阑尾骨骼成骨细胞病变1例。","authors":"Muralidhar Idamakanti, Ala Ebaid, Rani Indrani Bijjam, Alexei Bakhirev, Shiva Kumar Mukkamalla, Leslie Andritsos","doi":"10.14740/jh1383","DOIUrl":null,"url":null,"abstract":"<p><p>Mast cell leukemia (MCL) is a rare and aggressive form of systemic mastocytosis (SM) that commonly involves the bone. This often presents as osteoporosis with focal osteolytic lesions and pathological fractures. Osteoblastic (sclerotic) lesions are rarely seen in MCL. The vertebral bodies are the most common site of bone involvement, with lesions outside of the axial skeleton being extremely rare. MCL presenting with osteoblastic lesions has been reported in the literature, however, there are no reported cases of osteoblastic lesions in the appendicular skeleton. Here we report a rare case of acute aleukemic MCL that presented with diffuse osteoblastic/sclerotic osseous lesions involving ribs, thoracic spine, lumbar spine and pelvis without pathological fractures.</p>","PeriodicalId":15964,"journal":{"name":"Journal of hematology","volume":"14 1","pages":"32-37"},"PeriodicalIF":1.3000,"publicationDate":"2025-02-01","publicationTypes":"Journal Article","fieldsOfStudy":null,"isOpenAccess":false,"openAccessPdf":"https://www.ncbi.nlm.nih.gov/pmc/articles/PMC11809598/pdf/","citationCount":"0","resultStr":"{\"title\":\"A Rare Case of Acute Aleukemic Mast Cell Leukemia With Osteoblastic Lesions in the Appendicular Skeleton.\",\"authors\":\"Muralidhar Idamakanti, Ala Ebaid, Rani Indrani Bijjam, Alexei Bakhirev, Shiva Kumar Mukkamalla, Leslie Andritsos\",\"doi\":\"10.14740/jh1383\",\"DOIUrl\":null,\"url\":null,\"abstract\":\"<p><p>Mast cell leukemia (MCL) is a rare and aggressive form of systemic mastocytosis (SM) that commonly involves the bone. This often presents as osteoporosis with focal osteolytic lesions and pathological fractures. Osteoblastic (sclerotic) lesions are rarely seen in MCL. The vertebral bodies are the most common site of bone involvement, with lesions outside of the axial skeleton being extremely rare. MCL presenting with osteoblastic lesions has been reported in the literature, however, there are no reported cases of osteoblastic lesions in the appendicular skeleton. Here we report a rare case of acute aleukemic MCL that presented with diffuse osteoblastic/sclerotic osseous lesions involving ribs, thoracic spine, lumbar spine and pelvis without pathological fractures.</p>\",\"PeriodicalId\":15964,\"journal\":{\"name\":\"Journal of hematology\",\"volume\":\"14 1\",\"pages\":\"32-37\"},\"PeriodicalIF\":1.3000,\"publicationDate\":\"2025-02-01\",\"publicationTypes\":\"Journal Article\",\"fieldsOfStudy\":null,\"isOpenAccess\":false,\"openAccessPdf\":\"https://www.ncbi.nlm.nih.gov/pmc/articles/PMC11809598/pdf/\",\"citationCount\":\"0\",\"resultStr\":null,\"platform\":\"Semanticscholar\",\"paperid\":null,\"PeriodicalName\":\"Journal of hematology\",\"FirstCategoryId\":\"1085\",\"ListUrlMain\":\"https://doi.org/10.14740/jh1383\",\"RegionNum\":0,\"RegionCategory\":null,\"ArticlePicture\":[],\"TitleCN\":null,\"AbstractTextCN\":null,\"PMCID\":null,\"EPubDate\":\"2025/1/17 0:00:00\",\"PubModel\":\"Epub\",\"JCR\":\"Q4\",\"JCRName\":\"HEMATOLOGY\",\"Score\":null,\"Total\":0}","platform":"Semanticscholar","paperid":null,"PeriodicalName":"Journal of hematology","FirstCategoryId":"1085","ListUrlMain":"https://doi.org/10.14740/jh1383","RegionNum":0,"RegionCategory":null,"ArticlePicture":[],"TitleCN":null,"AbstractTextCN":null,"PMCID":null,"EPubDate":"2025/1/17 0:00:00","PubModel":"Epub","JCR":"Q4","JCRName":"HEMATOLOGY","Score":null,"Total":0}
引用次数: 0

摘要

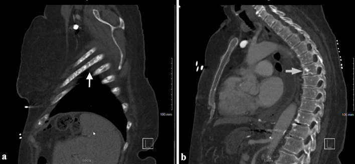
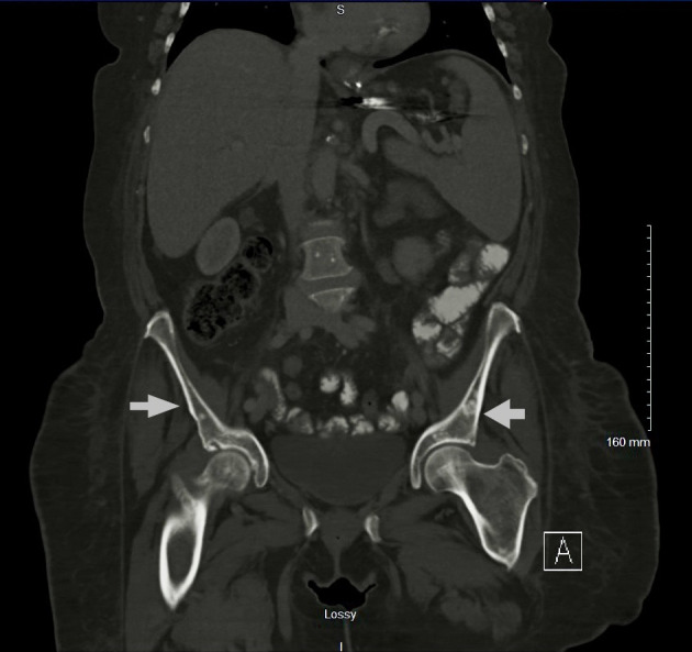
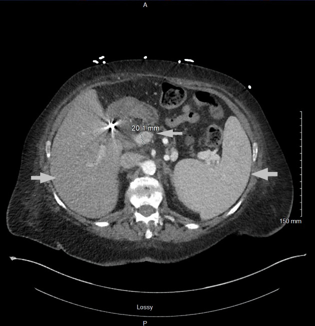
肥大细胞白血病(MCL)是一种罕见的侵袭性系统性肥大细胞增多症(SM),通常累及骨骼。这通常表现为骨质疏松伴局灶性溶骨病变和病理性骨折。成骨细胞(硬化)病变在MCL中很少见。椎体是最常见的骨受累部位,轴骨以外的病变极为罕见。以成骨细胞病变为表现的MCL在文献中已有报道,然而,在阑尾骨骼中没有成骨细胞病变的报道。在此,我们报告一例罕见的急性白血病MCL,表现为弥漫性成骨细胞/硬化性骨病变,累及肋骨、胸椎、腰椎和骨盆,无病理性骨折。
本文章由计算机程序翻译,如有差异,请以英文原文为准。

A Rare Case of Acute Aleukemic Mast Cell Leukemia With Osteoblastic Lesions in the Appendicular Skeleton.

A Rare Case of Acute Aleukemic Mast Cell Leukemia With Osteoblastic Lesions in the Appendicular Skeleton.

A Rare Case of Acute Aleukemic Mast Cell Leukemia With Osteoblastic Lesions in the Appendicular Skeleton.

A Rare Case of Acute Aleukemic Mast Cell Leukemia With Osteoblastic Lesions in the Appendicular Skeleton.

Mast cell leukemia (MCL) is a rare and aggressive form of systemic mastocytosis (SM) that commonly involves the bone. This often presents as osteoporosis with focal osteolytic lesions and pathological fractures. Osteoblastic (sclerotic) lesions are rarely seen in MCL. The vertebral bodies are the most common site of bone involvement, with lesions outside of the axial skeleton being extremely rare. MCL presenting with osteoblastic lesions has been reported in the literature, however, there are no reported cases of osteoblastic lesions in the appendicular skeleton. Here we report a rare case of acute aleukemic MCL that presented with diffuse osteoblastic/sclerotic osseous lesions involving ribs, thoracic spine, lumbar spine and pelvis without pathological fractures.

求助全文
通过发布文献求助,成功后即可免费获取论文全文。 去求助
来源期刊
Journal of hematology
Journal of hematology HEMATOLOGY-
自引率
0.00%
发文量
29
×
引用
GB/T 7714-2015
复制
MLA
复制
APA
复制
导出至
BibTeX EndNote RefMan NoteFirst NoteExpress
×
提示
您的信息不完整,为了账户安全,请先补充。
现在去补充
×
提示
您因"违规操作"
具体请查看互助需知
我知道了
×
提示
确定
请完成安全验证×
copy
已复制链接
快去分享给好友吧!
我知道了
右上角分享
点击右上角分享
0
联系我们:info@booksci.cn Book学术提供免费学术资源搜索服务,方便国内外学者检索中英文文献。致力于提供最便捷和优质的服务体验。 Copyright © 2023 布克学术 All rights reserved.
京ICP备2023020795号-1
ghs 京公网安备 11010802042870号
Book学术文献互助
Book学术文献互助群
群 号:604180095
Book学术官方微信