9p和18p并发第三系三体的表型和基因型分析。

IF 1.4 4区 生物学 Q4 GENETICS & HEREDITY
Carter A Wright, Angela E Scheuerle, Kathleen Wilson, Rolando García, Prasad Koduru
{"title":"9p和18p并发第三系三体的表型和基因型分析。","authors":"Carter A Wright, Angela E Scheuerle, Kathleen Wilson, Rolando García, Prasad Koduru","doi":"10.1186/s13039-025-00704-9","DOIUrl":null,"url":null,"abstract":"<p><strong>Background: </strong>Carriers of balanced reciprocal translocation are usually phenotypically normal; however, they have an increased risk of producing gametes with chromosomal imbalance through different types of meiotic segregation of the translocation quadrivalent. The genetically imbalanced gametes when they survive can result in embryos with chromosomal abnormalities. Here we report a family with two siblings inheriting partial trisomy for 9p and 18p concurrently resulting from a 3:1 meiotic segregation of a maternal balanced translocation involving chromosome 9q and 18p, and the associated phenotype.</p><p><strong>The family - case presentation: </strong>The family was ascertained because of severe congenital anomalies in a newborn male (sibling 1). The karyotype of this patient was 47,XY,+del(9)(q13q34). Cytogenetic analysis revealed that the phenotypically normal mother harbored a balanced translocation 46,XX,t(9;18)(q13;p11.21). Chromosomal microarray analysis (CMA) of the abnormal child detected segmental trisomy for 9p and 18p. In conjunction with conventional cytogenetic results of the mother and CMA results of the affected child, the final karyotype of sibling one was 47,XY,+der(9)t(9;18) (q13;p11.22)dmat. arr[GRCh36] 9p24.3q13(199254_70163189)× 3, 18p11.32p11.22(131491_9640590)× 3; this resulted in segmental duplication of 69.96 Mb on 9pter->q13 and 9.51 Mb on 18p. There was a subsequent birth of a female sibling (sibling two) with multiple anomalies, including dysmorphic facial features, kidney aberration, cardiac defects, and abnormal brain MRI. The G-banded karyotype of this sibling was 47,XX,+del(9)(q13q34). The final karyotype of this sibling after CMA results was 47,XX,+der(9)t(9;18)(q13;p11.22)dmat. arr[GRCh37] 9p24.3p13.1(209020_38763958)× 3; 18p11.32p11.22(146484_9640912)× 3. The apparent discrepancy between the array results of the two siblings is attributed to difference in the design of array chips and genome builds used for these patients (NimbleGen/Roche v2.0 3-plex and GRCh36 for sibling one, and GGXChip + SNP array and GRCh37 of Agilent Technologies for sibling two). There are 182 OMIM genes in the duplicated region of 9p and 33 OMIM genes in the duplicated region of 18p which may have contributed to the clinical features of the affected siblings.</p><p><strong>Conclusions: </strong>To our knowledge, we report the first two cases of concurrent partial trisomy 9p and 18p in the same family. This report adds more information about phenotypic effects of these chromosomal copy number gains and supports chromosomal microarray analysis as the standard for precise identification or demarking regions of duplications, particularly when the translocation involves at least one subterminal segment. In view of the recurring infants with congenital anomalies the couple may benefit from prenatal chromosome analysis of future pregnancies or opting to assisted reproductive methods and transferring normal embryos for implantation.</p>","PeriodicalId":19099,"journal":{"name":"Molecular Cytogenetics","volume":"18 1","pages":"1"},"PeriodicalIF":1.4000,"publicationDate":"2025-02-10","publicationTypes":"Journal Article","fieldsOfStudy":null,"isOpenAccess":false,"openAccessPdf":"https://www.ncbi.nlm.nih.gov/pmc/articles/PMC11808968/pdf/","citationCount":"0","resultStr":"{\"title\":\"Phenotypic and genotypic insights into concurrent tertiary trisomy for 9p and 18p.\",\"authors\":\"Carter A Wright, Angela E Scheuerle, Kathleen Wilson, Rolando García, Prasad Koduru\",\"doi\":\"10.1186/s13039-025-00704-9\",\"DOIUrl\":null,\"url\":null,\"abstract\":\"<p><strong>Background: </strong>Carriers of balanced reciprocal translocation are usually phenotypically normal; however, they have an increased risk of producing gametes with chromosomal imbalance through different types of meiotic segregation of the translocation quadrivalent. The genetically imbalanced gametes when they survive can result in embryos with chromosomal abnormalities. Here we report a family with two siblings inheriting partial trisomy for 9p and 18p concurrently resulting from a 3:1 meiotic segregation of a maternal balanced translocation involving chromosome 9q and 18p, and the associated phenotype.</p><p><strong>The family - case presentation: </strong>The family was ascertained because of severe congenital anomalies in a newborn male (sibling 1). The karyotype of this patient was 47,XY,+del(9)(q13q34). Cytogenetic analysis revealed that the phenotypically normal mother harbored a balanced translocation 46,XX,t(9;18)(q13;p11.21). Chromosomal microarray analysis (CMA) of the abnormal child detected segmental trisomy for 9p and 18p. In conjunction with conventional cytogenetic results of the mother and CMA results of the affected child, the final karyotype of sibling one was 47,XY,+der(9)t(9;18) (q13;p11.22)dmat. arr[GRCh36] 9p24.3q13(199254_70163189)× 3, 18p11.32p11.22(131491_9640590)× 3; this resulted in segmental duplication of 69.96 Mb on 9pter->q13 and 9.51 Mb on 18p. There was a subsequent birth of a female sibling (sibling two) with multiple anomalies, including dysmorphic facial features, kidney aberration, cardiac defects, and abnormal brain MRI. The G-banded karyotype of this sibling was 47,XX,+del(9)(q13q34). The final karyotype of this sibling after CMA results was 47,XX,+der(9)t(9;18)(q13;p11.22)dmat. arr[GRCh37] 9p24.3p13.1(209020_38763958)× 3; 18p11.32p11.22(146484_9640912)× 3. The apparent discrepancy between the array results of the two siblings is attributed to difference in the design of array chips and genome builds used for these patients (NimbleGen/Roche v2.0 3-plex and GRCh36 for sibling one, and GGXChip + SNP array and GRCh37 of Agilent Technologies for sibling two). There are 182 OMIM genes in the duplicated region of 9p and 33 OMIM genes in the duplicated region of 18p which may have contributed to the clinical features of the affected siblings.</p><p><strong>Conclusions: </strong>To our knowledge, we report the first two cases of concurrent partial trisomy 9p and 18p in the same family. This report adds more information about phenotypic effects of these chromosomal copy number gains and supports chromosomal microarray analysis as the standard for precise identification or demarking regions of duplications, particularly when the translocation involves at least one subterminal segment. In view of the recurring infants with congenital anomalies the couple may benefit from prenatal chromosome analysis of future pregnancies or opting to assisted reproductive methods and transferring normal embryos for implantation.</p>\",\"PeriodicalId\":19099,\"journal\":{\"name\":\"Molecular Cytogenetics\",\"volume\":\"18 1\",\"pages\":\"1\"},\"PeriodicalIF\":1.4000,\"publicationDate\":\"2025-02-10\",\"publicationTypes\":\"Journal Article\",\"fieldsOfStudy\":null,\"isOpenAccess\":false,\"openAccessPdf\":\"https://www.ncbi.nlm.nih.gov/pmc/articles/PMC11808968/pdf/\",\"citationCount\":\"0\",\"resultStr\":null,\"platform\":\"Semanticscholar\",\"paperid\":null,\"PeriodicalName\":\"Molecular Cytogenetics\",\"FirstCategoryId\":\"99\",\"ListUrlMain\":\"https://doi.org/10.1186/s13039-025-00704-9\",\"RegionNum\":4,\"RegionCategory\":\"生物学\",\"ArticlePicture\":[],\"TitleCN\":null,\"AbstractTextCN\":null,\"PMCID\":null,\"EPubDate\":\"\",\"PubModel\":\"\",\"JCR\":\"Q4\",\"JCRName\":\"GENETICS & HEREDITY\",\"Score\":null,\"Total\":0}","platform":"Semanticscholar","paperid":null,"PeriodicalName":"Molecular Cytogenetics","FirstCategoryId":"99","ListUrlMain":"https://doi.org/10.1186/s13039-025-00704-9","RegionNum":4,"RegionCategory":"生物学","ArticlePicture":[],"TitleCN":null,"AbstractTextCN":null,"PMCID":null,"EPubDate":"","PubModel":"","JCR":"Q4","JCRName":"GENETICS & HEREDITY","Score":null,"Total":0}
引用次数: 0

摘要

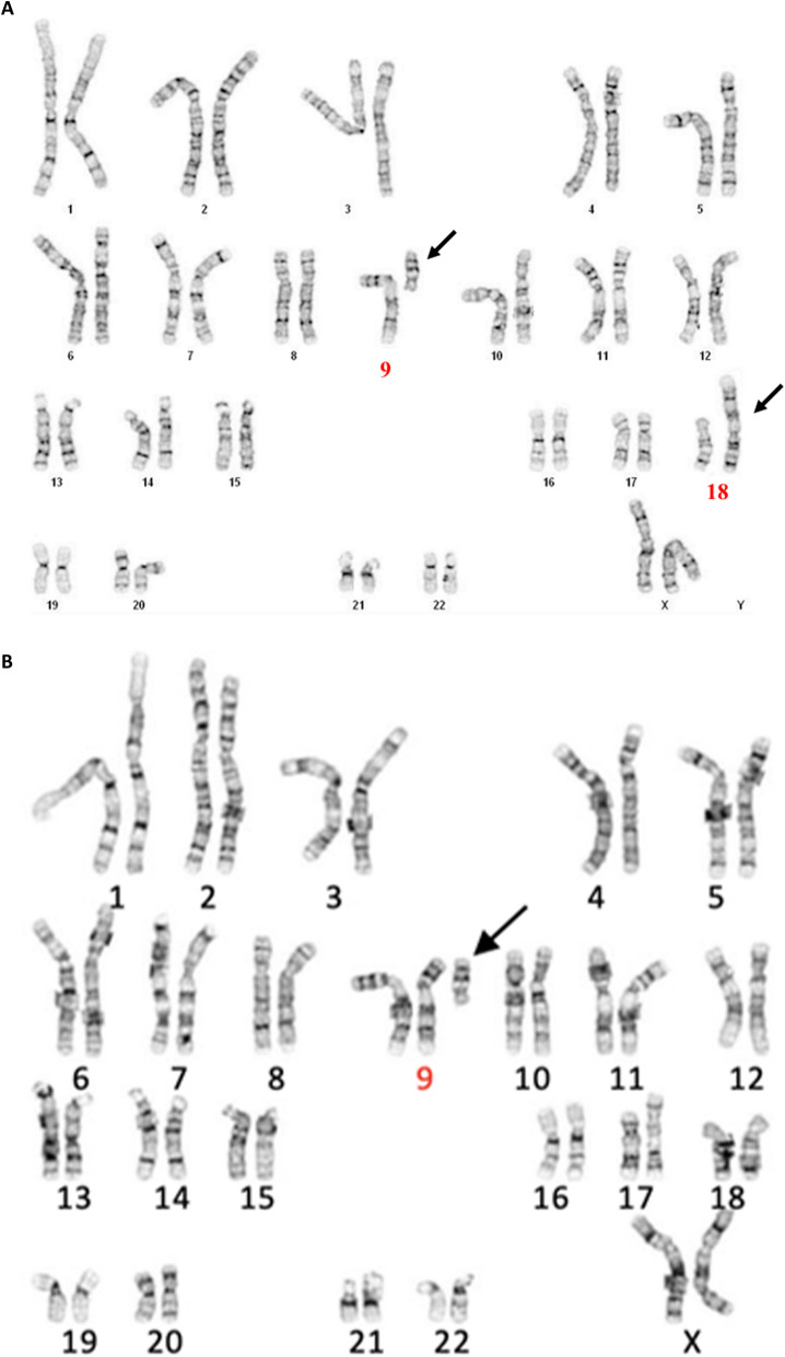
背景:平衡易位的携带者通常在表型上是正常的;然而,通过不同类型的减数分裂分离易位四价,它们产生染色体不平衡配子的风险增加。当配子存活时,基因失衡会导致胚胎染色体异常。在这里,我们报告了一个家庭,有两个兄弟姐妹同时遗传9p和18p部分三体,这是由于涉及染色体9q和18p的母亲平衡易位的3:1减数分裂分离以及相关的表型。家族病例介绍:由于新生儿(兄弟姐妹1)的严重先天性异常,确定了该家族。该患者的核型为47,XY,+del(9)(q13q34)。细胞遗传学分析显示,表型正常的母亲有一个平衡的易位46,XX,t(9;18)(q13;p11.21)。染色体微阵列分析(CMA)检测异常儿童的9p和18p片段三体。结合母亲的常规细胞遗传学结果和患病儿童的CMA结果,兄弟姐妹1的最终核型为47,XY,+der(9)t(9;18) (q13;p11.22)dmat。arr[GRCh36] 9p24.3q13(199254_70163189)× 3, 18p11.32p11.22(131491_9640590)× 3;这导致9pter->q13和18p上的片段重复分别为69.96 Mb和9.51 Mb。后来又生了一个女性兄弟姐妹(兄弟二),患有多种异常,包括面部畸形、肾脏畸形、心脏缺陷和大脑MRI异常。该兄弟姐妹的g带核型为47,XX,+del(9)(q13q34)。CMA结果显示,该兄弟姐妹的最终核型为47,XX,+der(9)t(9;18)(q13;p11.22)dmat。arr[GRCh37] 9p24.3p13.1(209020_38763958)× 3;18 p11.32p11.22(146484 _9640912)×3。这两名兄弟姐妹的测序结果存在明显差异,这是由于这两名患者使用的测序芯片设计和基因组构建不同所致(其中一名患者使用NimbleGen/Roche v2.0 3-plex和GRCh36,另一名患者使用Agilent Technologies的GGXChip + SNP阵列和GRCh37)。在9p的重复区有182个OMIM基因,在18p的重复区有33个OMIM基因,这可能与患病兄弟姐妹的临床特征有关。结论:据我们所知,我们报告了同一家族中并发9p和18p部分三体的头两例病例。该报告增加了关于这些染色体拷贝数增加的表型效应的更多信息,并支持染色体微阵列分析作为精确识别或划分重复区域的标准,特别是当易位涉及至少一个亚末端片段时。鉴于反复出现的婴儿先天性异常,夫妇可能受益于产前染色体分析,未来怀孕或选择辅助生殖方法和移植正常胚胎着床。
本文章由计算机程序翻译,如有差异,请以英文原文为准。

Phenotypic and genotypic insights into concurrent tertiary trisomy for 9p and 18p.

Phenotypic and genotypic insights into concurrent tertiary trisomy for 9p and 18p.

Phenotypic and genotypic insights into concurrent tertiary trisomy for 9p and 18p.

Background: Carriers of balanced reciprocal translocation are usually phenotypically normal; however, they have an increased risk of producing gametes with chromosomal imbalance through different types of meiotic segregation of the translocation quadrivalent. The genetically imbalanced gametes when they survive can result in embryos with chromosomal abnormalities. Here we report a family with two siblings inheriting partial trisomy for 9p and 18p concurrently resulting from a 3:1 meiotic segregation of a maternal balanced translocation involving chromosome 9q and 18p, and the associated phenotype.

The family - case presentation: The family was ascertained because of severe congenital anomalies in a newborn male (sibling 1). The karyotype of this patient was 47,XY,+del(9)(q13q34). Cytogenetic analysis revealed that the phenotypically normal mother harbored a balanced translocation 46,XX,t(9;18)(q13;p11.21). Chromosomal microarray analysis (CMA) of the abnormal child detected segmental trisomy for 9p and 18p. In conjunction with conventional cytogenetic results of the mother and CMA results of the affected child, the final karyotype of sibling one was 47,XY,+der(9)t(9;18) (q13;p11.22)dmat. arr[GRCh36] 9p24.3q13(199254_70163189)× 3, 18p11.32p11.22(131491_9640590)× 3; this resulted in segmental duplication of 69.96 Mb on 9pter->q13 and 9.51 Mb on 18p. There was a subsequent birth of a female sibling (sibling two) with multiple anomalies, including dysmorphic facial features, kidney aberration, cardiac defects, and abnormal brain MRI. The G-banded karyotype of this sibling was 47,XX,+del(9)(q13q34). The final karyotype of this sibling after CMA results was 47,XX,+der(9)t(9;18)(q13;p11.22)dmat. arr[GRCh37] 9p24.3p13.1(209020_38763958)× 3; 18p11.32p11.22(146484_9640912)× 3. The apparent discrepancy between the array results of the two siblings is attributed to difference in the design of array chips and genome builds used for these patients (NimbleGen/Roche v2.0 3-plex and GRCh36 for sibling one, and GGXChip + SNP array and GRCh37 of Agilent Technologies for sibling two). There are 182 OMIM genes in the duplicated region of 9p and 33 OMIM genes in the duplicated region of 18p which may have contributed to the clinical features of the affected siblings.

Conclusions: To our knowledge, we report the first two cases of concurrent partial trisomy 9p and 18p in the same family. This report adds more information about phenotypic effects of these chromosomal copy number gains and supports chromosomal microarray analysis as the standard for precise identification or demarking regions of duplications, particularly when the translocation involves at least one subterminal segment. In view of the recurring infants with congenital anomalies the couple may benefit from prenatal chromosome analysis of future pregnancies or opting to assisted reproductive methods and transferring normal embryos for implantation.

求助全文
通过发布文献求助,成功后即可免费获取论文全文。 去求助
来源期刊
Molecular Cytogenetics
Molecular Cytogenetics GENETICS & HEREDITY-
CiteScore
2.60
自引率
7.70%
发文量
49
审稿时长
>12 weeks
期刊介绍: Molecular Cytogenetics encompasses all aspects of chromosome biology and the application of molecular cytogenetic techniques in all areas of biology and medicine, including structural and functional organization of the chromosome and nucleus, genome variation, expression and evolution, chromosome abnormalities and genomic variations in medical genetics and tumor genetics. Molecular Cytogenetics primarily defines a large set of the techniques that operate either with the entire genome or with specific targeted DNA sequences. Topical areas include, but are not limited to: -Structural and functional organization of chromosome and nucleus- Genome variation, expression and evolution- Animal and plant molecular cytogenetics and genomics- Chromosome abnormalities and genomic variations in clinical genetics- Applications in preimplantation, pre- and post-natal diagnosis- Applications in the central nervous system, cancer and haematology research- Previously unreported applications of molecular cytogenetic techniques- Development of new techniques or significant enhancements to established techniques. This journal is a source for numerous scientists all over the world, who wish to improve or introduce molecular cytogenetic techniques into their practice.
×
引用
GB/T 7714-2015
复制
MLA
复制
APA
复制
导出至
BibTeX EndNote RefMan NoteFirst NoteExpress
×
提示
您的信息不完整,为了账户安全,请先补充。
现在去补充
×
提示
您因"违规操作"
具体请查看互助需知
我知道了
×
提示
确定
请完成安全验证×
copy
已复制链接
快去分享给好友吧!
我知道了
右上角分享
点击右上角分享
0
联系我们:info@booksci.cn Book学术提供免费学术资源搜索服务,方便国内外学者检索中英文文献。致力于提供最便捷和优质的服务体验。 Copyright © 2023 布克学术 All rights reserved.
京ICP备2023020795号-1
ghs 京公网安备 11010802042870号
Book学术文献互助
Book学术文献互助群
群 号:604180095
Book学术官方微信