igg4相关性自身免疫性肝炎和igg4肝病的临床病理研究

IF 5.5 2区 医学 Q1 GASTROENTEROLOGY & HEPATOLOGY
Journal of Gastroenterology Pub Date : 2025-05-01 Epub Date: 2025-02-08 DOI:10.1007/s00535-025-02221-3
Atsushi Tanaka, Kenji Notohara, Maki Tobari, Masanori Abe, Takeji Umemura, Atsushi Takahashi, Akemi Tsutsui, Takanori Ito, Kohichi Tsuneyama, Atsushi Masamune, Ken-Ichi Harada, Hiromasa Ohira, Mitsuhiro Kawano
{"title":"igg4相关性自身免疫性肝炎和igg4肝病的临床病理研究","authors":"Atsushi Tanaka, Kenji Notohara, Maki Tobari, Masanori Abe, Takeji Umemura, Atsushi Takahashi, Akemi Tsutsui, Takanori Ito, Kohichi Tsuneyama, Atsushi Masamune, Ken-Ichi Harada, Hiromasa Ohira, Mitsuhiro Kawano","doi":"10.1007/s00535-025-02221-3","DOIUrl":null,"url":null,"abstract":"<p><strong>Background and aim: </strong>Although IgG4-related autoimmune hepatitis (IgG4-AIH) and IgG4-hepatopathy have been proposed as hepatic phenotypes of IgG4-related disease (IgG4-RD), their definitions and concepts remain insufficiently established. This study aims to conduct a clinicopathological investigation of cases reported as potential IgG4-AIH or IgG4-hepatopathy.</p><p><strong>Methods: </strong>In previous nationwide epidemiological studies conducted in 2015 and 2018, we registered 1096 cases of IgG4-sclerosing cholangitis (IgG4-SC). Among these, 19 cases were identified as potential IgG4-AIH by the attending physicians, and other 20 cases as potential IgG4-hepatopathy with available liver histology were further evaluated using immunohistochemistry to assess the possibility of IgG4-AIH or IgG4-hepatopathy. For this purpose, we provisionally established diagnostic criteria for IgG4-AIH and IgG4-hepatopathy, primarily based on the comprehensive diagnostic criteria for IgG4-RD, which include IgG4 + cell count > 10/HPF and an IgG4 + /IgG ratio > 40%.</p><p><strong>Results: </strong>Of the 19 cases, 2 were diagnosed as IgG4-AIH, with IgG4 + cell counts/HPF of 25.3 and 18.7, and IgG4 + /IgG ratios of 310.2% and 53.4%, respectively. Neither storiform fibrosis nor obliterative phlebitis was observed in the liver of these cases, and both responded excellently to corticosteroid treatment. In addition, from other 20 cases, we diagnosed 8 cases as IgG4-hepatopathy, with IgG4-SC and autoimmune pancreatitis being present in 7 and 2 cases, respectively.</p><p><strong>Conclusion: </strong>This study identified two cases of IgG4-AIH and eight cases of IgG4-hepatopathy. Further studies are necessary to explore the occurrence of IgG4-AIH using these diagnostic criteria in the AIH cohort. The presence of IgG4-hepatopathy may facilitate the diagnosis of IgG4-SC.</p>","PeriodicalId":16059,"journal":{"name":"Journal of Gastroenterology","volume":" ","pages":"632-640"},"PeriodicalIF":5.5000,"publicationDate":"2025-05-01","publicationTypes":"Journal Article","fieldsOfStudy":null,"isOpenAccess":false,"openAccessPdf":"https://www.ncbi.nlm.nih.gov/pmc/articles/PMC12014833/pdf/","citationCount":"0","resultStr":"{\"title\":\"A clinicopathological study of IgG4-related autoimmune hepatitis and IgG4-hepatopathy.\",\"authors\":\"Atsushi Tanaka, Kenji Notohara, Maki Tobari, Masanori Abe, Takeji Umemura, Atsushi Takahashi, Akemi Tsutsui, Takanori Ito, Kohichi Tsuneyama, Atsushi Masamune, Ken-Ichi Harada, Hiromasa Ohira, Mitsuhiro Kawano\",\"doi\":\"10.1007/s00535-025-02221-3\",\"DOIUrl\":null,\"url\":null,\"abstract\":\"<p><strong>Background and aim: </strong>Although IgG4-related autoimmune hepatitis (IgG4-AIH) and IgG4-hepatopathy have been proposed as hepatic phenotypes of IgG4-related disease (IgG4-RD), their definitions and concepts remain insufficiently established. This study aims to conduct a clinicopathological investigation of cases reported as potential IgG4-AIH or IgG4-hepatopathy.</p><p><strong>Methods: </strong>In previous nationwide epidemiological studies conducted in 2015 and 2018, we registered 1096 cases of IgG4-sclerosing cholangitis (IgG4-SC). Among these, 19 cases were identified as potential IgG4-AIH by the attending physicians, and other 20 cases as potential IgG4-hepatopathy with available liver histology were further evaluated using immunohistochemistry to assess the possibility of IgG4-AIH or IgG4-hepatopathy. For this purpose, we provisionally established diagnostic criteria for IgG4-AIH and IgG4-hepatopathy, primarily based on the comprehensive diagnostic criteria for IgG4-RD, which include IgG4 + cell count > 10/HPF and an IgG4 + /IgG ratio > 40%.</p><p><strong>Results: </strong>Of the 19 cases, 2 were diagnosed as IgG4-AIH, with IgG4 + cell counts/HPF of 25.3 and 18.7, and IgG4 + /IgG ratios of 310.2% and 53.4%, respectively. Neither storiform fibrosis nor obliterative phlebitis was observed in the liver of these cases, and both responded excellently to corticosteroid treatment. In addition, from other 20 cases, we diagnosed 8 cases as IgG4-hepatopathy, with IgG4-SC and autoimmune pancreatitis being present in 7 and 2 cases, respectively.</p><p><strong>Conclusion: </strong>This study identified two cases of IgG4-AIH and eight cases of IgG4-hepatopathy. Further studies are necessary to explore the occurrence of IgG4-AIH using these diagnostic criteria in the AIH cohort. The presence of IgG4-hepatopathy may facilitate the diagnosis of IgG4-SC.</p>\",\"PeriodicalId\":16059,\"journal\":{\"name\":\"Journal of Gastroenterology\",\"volume\":\" \",\"pages\":\"632-640\"},\"PeriodicalIF\":5.5000,\"publicationDate\":\"2025-05-01\",\"publicationTypes\":\"Journal Article\",\"fieldsOfStudy\":null,\"isOpenAccess\":false,\"openAccessPdf\":\"https://www.ncbi.nlm.nih.gov/pmc/articles/PMC12014833/pdf/\",\"citationCount\":\"0\",\"resultStr\":null,\"platform\":\"Semanticscholar\",\"paperid\":null,\"PeriodicalName\":\"Journal of Gastroenterology\",\"FirstCategoryId\":\"3\",\"ListUrlMain\":\"https://doi.org/10.1007/s00535-025-02221-3\",\"RegionNum\":2,\"RegionCategory\":\"医学\",\"ArticlePicture\":[],\"TitleCN\":null,\"AbstractTextCN\":null,\"PMCID\":null,\"EPubDate\":\"2025/2/8 0:00:00\",\"PubModel\":\"Epub\",\"JCR\":\"Q1\",\"JCRName\":\"GASTROENTEROLOGY & HEPATOLOGY\",\"Score\":null,\"Total\":0}","platform":"Semanticscholar","paperid":null,"PeriodicalName":"Journal of Gastroenterology","FirstCategoryId":"3","ListUrlMain":"https://doi.org/10.1007/s00535-025-02221-3","RegionNum":2,"RegionCategory":"医学","ArticlePicture":[],"TitleCN":null,"AbstractTextCN":null,"PMCID":null,"EPubDate":"2025/2/8 0:00:00","PubModel":"Epub","JCR":"Q1","JCRName":"GASTROENTEROLOGY & HEPATOLOGY","Score":null,"Total":0}
引用次数: 0

摘要

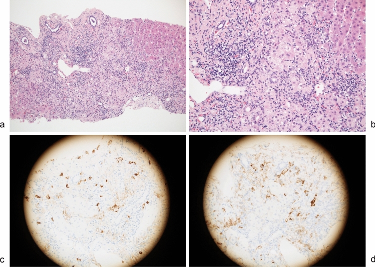
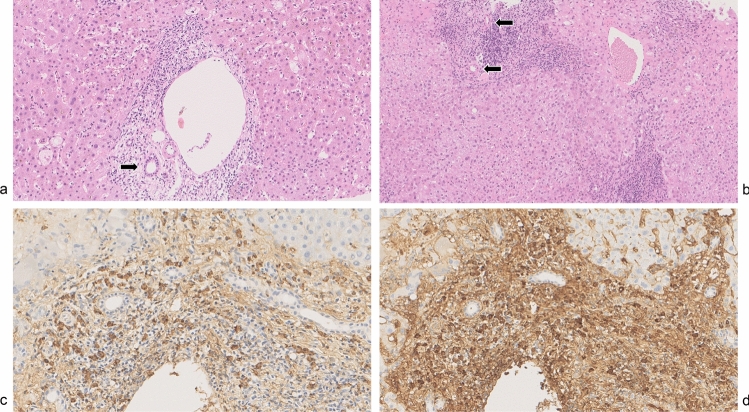
背景和目的:虽然igg4相关自身免疫性肝炎(IgG4-AIH)和igg4肝病已被提出作为igg4相关疾病(IgG4-RD)的肝脏表型,但它们的定义和概念仍不充分确立。本研究旨在对报告为潜在IgG4-AIH或igg4 -肝病的病例进行临床病理调查。方法:在2015年和2018年开展的全国流行病学研究中,我们登记了1096例igg4 -硬化性胆管炎(IgG4-SC)病例。其中19例经主治医师鉴定为潜在的IgG4-AIH,另外20例经肝脏组织学检查为潜在的igg4 -肝病,采用免疫组织化学进一步评估IgG4-AIH或igg4 -肝病的可能性。为此,我们暂时建立了IgG4- aih和IgG4-肝病的诊断标准,主要基于IgG4- rd的综合诊断标准,包括IgG4 +细胞计数>0 /HPF和IgG4 + /IgG比值> 40%。结果:19例患者中,2例诊断为IgG4- aih, IgG4 +细胞计数/HPF分别为25.3和18.7,IgG4 + /IgG比值分别为310.2%和53.4%。在这些病例中,没有观察到肝纤维化或闭塞性静脉炎,并且对皮质类固醇治疗都有很好的反应。此外,在其他20例病例中,我们诊断出8例为igg4肝病,其中7例为IgG4-SC, 2例为自身免疫性胰腺炎。结论:本研究发现IgG4-AIH 2例,igg4 -肝病8例。使用这些诊断标准,进一步研究IgG4-AIH在AIH队列中的发生率是必要的。igg4肝病的存在可能有助于IgG4-SC的诊断。
本文章由计算机程序翻译,如有差异,请以英文原文为准。

A clinicopathological study of IgG4-related autoimmune hepatitis and IgG4-hepatopathy.

A clinicopathological study of IgG4-related autoimmune hepatitis and IgG4-hepatopathy.

A clinicopathological study of IgG4-related autoimmune hepatitis and IgG4-hepatopathy.

A clinicopathological study of IgG4-related autoimmune hepatitis and IgG4-hepatopathy.

Background and aim: Although IgG4-related autoimmune hepatitis (IgG4-AIH) and IgG4-hepatopathy have been proposed as hepatic phenotypes of IgG4-related disease (IgG4-RD), their definitions and concepts remain insufficiently established. This study aims to conduct a clinicopathological investigation of cases reported as potential IgG4-AIH or IgG4-hepatopathy.

Methods: In previous nationwide epidemiological studies conducted in 2015 and 2018, we registered 1096 cases of IgG4-sclerosing cholangitis (IgG4-SC). Among these, 19 cases were identified as potential IgG4-AIH by the attending physicians, and other 20 cases as potential IgG4-hepatopathy with available liver histology were further evaluated using immunohistochemistry to assess the possibility of IgG4-AIH or IgG4-hepatopathy. For this purpose, we provisionally established diagnostic criteria for IgG4-AIH and IgG4-hepatopathy, primarily based on the comprehensive diagnostic criteria for IgG4-RD, which include IgG4 + cell count > 10/HPF and an IgG4 + /IgG ratio > 40%.

Results: Of the 19 cases, 2 were diagnosed as IgG4-AIH, with IgG4 + cell counts/HPF of 25.3 and 18.7, and IgG4 + /IgG ratios of 310.2% and 53.4%, respectively. Neither storiform fibrosis nor obliterative phlebitis was observed in the liver of these cases, and both responded excellently to corticosteroid treatment. In addition, from other 20 cases, we diagnosed 8 cases as IgG4-hepatopathy, with IgG4-SC and autoimmune pancreatitis being present in 7 and 2 cases, respectively.

Conclusion: This study identified two cases of IgG4-AIH and eight cases of IgG4-hepatopathy. Further studies are necessary to explore the occurrence of IgG4-AIH using these diagnostic criteria in the AIH cohort. The presence of IgG4-hepatopathy may facilitate the diagnosis of IgG4-SC.

求助全文
通过发布文献求助,成功后即可免费获取论文全文。 去求助
来源期刊
Journal of Gastroenterology
Journal of Gastroenterology 医学-胃肠肝病学
CiteScore
12.20
自引率
1.60%
发文量
99
审稿时长
4-8 weeks
期刊介绍: The Journal of Gastroenterology, which is the official publication of the Japanese Society of Gastroenterology, publishes Original Articles (Alimentary Tract/Liver, Pancreas, and Biliary Tract), Review Articles, Letters to the Editors and other articles on all aspects of the field of gastroenterology. Significant contributions relating to basic research, theory, and practice are welcomed. These publications are designed to disseminate knowledge in this field to a worldwide audience, and accordingly, its editorial board has an international membership.
×
引用
GB/T 7714-2015
复制
MLA
复制
APA
复制
导出至
BibTeX EndNote RefMan NoteFirst NoteExpress
×
提示
您的信息不完整,为了账户安全,请先补充。
现在去补充
×
提示
您因"违规操作"
具体请查看互助需知
我知道了
×
提示
确定
请完成安全验证×
copy
已复制链接
快去分享给好友吧!
我知道了
右上角分享
点击右上角分享
0
联系我们:info@booksci.cn Book学术提供免费学术资源搜索服务,方便国内外学者检索中英文文献。致力于提供最便捷和优质的服务体验。 Copyright © 2023 布克学术 All rights reserved.
京ICP备2023020795号-1
ghs 京公网安备 11010802042870号
Book学术文献互助
Book学术文献互助群
群 号:604180095
Book学术官方微信