持续性偏头痛合并鼻窦炎1例。

IF 2.6 Q4 PRIMARY HEALTH CARE
Korean Journal of Family Medicine Pub Date : 2025-01-01 Epub Date: 2025-01-20 DOI:10.4082/kjfm.24.0178
Dae Hyun Kim, Yoonseo Lee
{"title":"持续性偏头痛合并鼻窦炎1例。","authors":"Dae Hyun Kim, Yoonseo Lee","doi":"10.4082/kjfm.24.0178","DOIUrl":null,"url":null,"abstract":"<p><p>Hemicrania continua (HC) is an indomethacin-responsive headache, characterized by unilateral and continuous headaches with cranial autonomic symptoms. Various pathologies, including sinus-related conditions, are associated with HC. Here, we report the case of a 62-year-old man with HC and rhinosinusitis. The patient complained of a unilateral continuous headache with ipsilateral cranial autonomic symptoms, conjunctival injection, and eyelid edema for 20 months. HC was identified as a potential diagnosis based on the symptom criteria, and a response to indomethacin confirmed the diagnosis. Trigeminal autonomic cephalalgia should be considered in patients with unilateral headaches and cranial autonomic symptoms.</p>","PeriodicalId":17893,"journal":{"name":"Korean Journal of Family Medicine","volume":"46 1","pages":"48-51"},"PeriodicalIF":2.6000,"publicationDate":"2025-01-01","publicationTypes":"Journal Article","fieldsOfStudy":null,"isOpenAccess":false,"openAccessPdf":"https://www.ncbi.nlm.nih.gov/pmc/articles/PMC11824416/pdf/","citationCount":"0","resultStr":"{\"title\":\"Hemicrania continua with rhinosinusitis: a case report.\",\"authors\":\"Dae Hyun Kim, Yoonseo Lee\",\"doi\":\"10.4082/kjfm.24.0178\",\"DOIUrl\":null,\"url\":null,\"abstract\":\"<p><p>Hemicrania continua (HC) is an indomethacin-responsive headache, characterized by unilateral and continuous headaches with cranial autonomic symptoms. Various pathologies, including sinus-related conditions, are associated with HC. Here, we report the case of a 62-year-old man with HC and rhinosinusitis. The patient complained of a unilateral continuous headache with ipsilateral cranial autonomic symptoms, conjunctival injection, and eyelid edema for 20 months. HC was identified as a potential diagnosis based on the symptom criteria, and a response to indomethacin confirmed the diagnosis. Trigeminal autonomic cephalalgia should be considered in patients with unilateral headaches and cranial autonomic symptoms.</p>\",\"PeriodicalId\":17893,\"journal\":{\"name\":\"Korean Journal of Family Medicine\",\"volume\":\"46 1\",\"pages\":\"48-51\"},\"PeriodicalIF\":2.6000,\"publicationDate\":\"2025-01-01\",\"publicationTypes\":\"Journal Article\",\"fieldsOfStudy\":null,\"isOpenAccess\":false,\"openAccessPdf\":\"https://www.ncbi.nlm.nih.gov/pmc/articles/PMC11824416/pdf/\",\"citationCount\":\"0\",\"resultStr\":null,\"platform\":\"Semanticscholar\",\"paperid\":null,\"PeriodicalName\":\"Korean Journal of Family Medicine\",\"FirstCategoryId\":\"1085\",\"ListUrlMain\":\"https://doi.org/10.4082/kjfm.24.0178\",\"RegionNum\":0,\"RegionCategory\":null,\"ArticlePicture\":[],\"TitleCN\":null,\"AbstractTextCN\":null,\"PMCID\":null,\"EPubDate\":\"2025/1/20 0:00:00\",\"PubModel\":\"Epub\",\"JCR\":\"Q4\",\"JCRName\":\"PRIMARY HEALTH CARE\",\"Score\":null,\"Total\":0}","platform":"Semanticscholar","paperid":null,"PeriodicalName":"Korean Journal of Family Medicine","FirstCategoryId":"1085","ListUrlMain":"https://doi.org/10.4082/kjfm.24.0178","RegionNum":0,"RegionCategory":null,"ArticlePicture":[],"TitleCN":null,"AbstractTextCN":null,"PMCID":null,"EPubDate":"2025/1/20 0:00:00","PubModel":"Epub","JCR":"Q4","JCRName":"PRIMARY HEALTH CARE","Score":null,"Total":0}
引用次数: 0

摘要

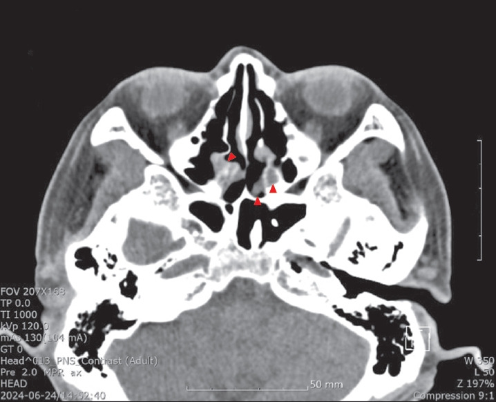
连续性偏头痛(HC)是一种吲哚美辛反应性头痛,以单侧和持续头痛为特征,伴有颅自主神经症状。各种病理,包括鼻窦相关疾病,都与HC有关。在这里,我们报告一个62岁男性丙型肝炎和鼻窦炎的病例。患者主诉单侧持续头痛伴同侧颅自主神经症状,结膜注射和眼睑水肿20个月。根据症状标准,HC被确定为潜在的诊断,对吲哚美辛的反应证实了诊断。伴有单侧头痛和颅自主神经症状的患者应考虑三叉神经自主神经性头痛。
本文章由计算机程序翻译,如有差异,请以英文原文为准。

Hemicrania continua with rhinosinusitis: a case report.

Hemicrania continua with rhinosinusitis: a case report.

Hemicrania continua (HC) is an indomethacin-responsive headache, characterized by unilateral and continuous headaches with cranial autonomic symptoms. Various pathologies, including sinus-related conditions, are associated with HC. Here, we report the case of a 62-year-old man with HC and rhinosinusitis. The patient complained of a unilateral continuous headache with ipsilateral cranial autonomic symptoms, conjunctival injection, and eyelid edema for 20 months. HC was identified as a potential diagnosis based on the symptom criteria, and a response to indomethacin confirmed the diagnosis. Trigeminal autonomic cephalalgia should be considered in patients with unilateral headaches and cranial autonomic symptoms.

求助全文
通过发布文献求助,成功后即可免费获取论文全文。 去求助
来源期刊
Korean Journal of Family Medicine
Korean Journal of Family Medicine PRIMARY HEALTH CARE-
CiteScore
4.00
自引率
4.30%
发文量
51
审稿时长
53 weeks
×
引用
GB/T 7714-2015
复制
MLA
复制
APA
复制
导出至
BibTeX EndNote RefMan NoteFirst NoteExpress
×
提示
您的信息不完整,为了账户安全,请先补充。
现在去补充
×
提示
您因"违规操作"
具体请查看互助需知
我知道了
×
提示
确定
请完成安全验证×
copy
已复制链接
快去分享给好友吧!
我知道了
右上角分享
点击右上角分享
0
联系我们:info@booksci.cn Book学术提供免费学术资源搜索服务,方便国内外学者检索中英文文献。致力于提供最便捷和优质的服务体验。 Copyright © 2023 布克学术 All rights reserved.
京ICP备2023020795号-1
ghs 京公网安备 11010802042870号
Book学术文献互助
Book学术文献互助群
群 号:604180095
Book学术官方微信