库欣综合征患者的缺血性坏死。

JCEM case reports Pub Date : 2025-02-05 eCollection Date: 2025-02-01 DOI:10.1210/jcemcr/luaf001
Noa Tal, Serguei Bannykh, Thomas Learch, Adam N Mamelak, Odelia Cooper
{"title":"库欣综合征患者的缺血性坏死。","authors":"Noa Tal, Serguei Bannykh, Thomas Learch, Adam N Mamelak, Odelia Cooper","doi":"10.1210/jcemcr/luaf001","DOIUrl":null,"url":null,"abstract":"<p><p>Cushing syndrome (CS) results from prolonged exposure to excess glucocorticoids, leading to a range of clinical manifestations including avascular necrosis (AVN), a rare complication of CS. Although AVN is often associated with exogenous glucocorticoid treatment, it can occur in endogenous CS but may be unrecognized because of its rarity and possibly from a subclinical presentation. We describe a case of a 71-year-old male with florid Cushing disease who initially presented with bilateral hip AVN and later developed bilateral shoulder AVN despite achieving biochemical remission following transsphenoidal surgery and adjuvant stereotactic photon radiosurgery. AVN in endogenous CS is underreported, and guidance on routine screening is lacking. Our case underscores the importance of considering AVN in patients with CS, especially in those with persistent or recurrent joint symptoms and markedly elevated cortisol levels. Early detection of AVN is crucial as it can lead to irreversible joint damage and disability if untreated. Screening strategies should be explored to identify high-risk patients who are diagnosed with CS for timely intervention, thereby preventing long-term morbidity associated with AVN.</p>","PeriodicalId":73540,"journal":{"name":"JCEM case reports","volume":"3 2","pages":"luaf001"},"PeriodicalIF":0.0000,"publicationDate":"2025-02-05","publicationTypes":"Journal Article","fieldsOfStudy":null,"isOpenAccess":false,"openAccessPdf":"https://www.ncbi.nlm.nih.gov/pmc/articles/PMC11795648/pdf/","citationCount":"0","resultStr":"{\"title\":\"Avascular Necrosis in Patients With Cushing Syndrome.\",\"authors\":\"Noa Tal, Serguei Bannykh, Thomas Learch, Adam N Mamelak, Odelia Cooper\",\"doi\":\"10.1210/jcemcr/luaf001\",\"DOIUrl\":null,\"url\":null,\"abstract\":\"<p><p>Cushing syndrome (CS) results from prolonged exposure to excess glucocorticoids, leading to a range of clinical manifestations including avascular necrosis (AVN), a rare complication of CS. Although AVN is often associated with exogenous glucocorticoid treatment, it can occur in endogenous CS but may be unrecognized because of its rarity and possibly from a subclinical presentation. We describe a case of a 71-year-old male with florid Cushing disease who initially presented with bilateral hip AVN and later developed bilateral shoulder AVN despite achieving biochemical remission following transsphenoidal surgery and adjuvant stereotactic photon radiosurgery. AVN in endogenous CS is underreported, and guidance on routine screening is lacking. Our case underscores the importance of considering AVN in patients with CS, especially in those with persistent or recurrent joint symptoms and markedly elevated cortisol levels. Early detection of AVN is crucial as it can lead to irreversible joint damage and disability if untreated. Screening strategies should be explored to identify high-risk patients who are diagnosed with CS for timely intervention, thereby preventing long-term morbidity associated with AVN.</p>\",\"PeriodicalId\":73540,\"journal\":{\"name\":\"JCEM case reports\",\"volume\":\"3 2\",\"pages\":\"luaf001\"},\"PeriodicalIF\":0.0000,\"publicationDate\":\"2025-02-05\",\"publicationTypes\":\"Journal Article\",\"fieldsOfStudy\":null,\"isOpenAccess\":false,\"openAccessPdf\":\"https://www.ncbi.nlm.nih.gov/pmc/articles/PMC11795648/pdf/\",\"citationCount\":\"0\",\"resultStr\":null,\"platform\":\"Semanticscholar\",\"paperid\":null,\"PeriodicalName\":\"JCEM case reports\",\"FirstCategoryId\":\"1085\",\"ListUrlMain\":\"https://doi.org/10.1210/jcemcr/luaf001\",\"RegionNum\":0,\"RegionCategory\":null,\"ArticlePicture\":[],\"TitleCN\":null,\"AbstractTextCN\":null,\"PMCID\":null,\"EPubDate\":\"2025/2/1 0:00:00\",\"PubModel\":\"eCollection\",\"JCR\":\"\",\"JCRName\":\"\",\"Score\":null,\"Total\":0}","platform":"Semanticscholar","paperid":null,"PeriodicalName":"JCEM case reports","FirstCategoryId":"1085","ListUrlMain":"https://doi.org/10.1210/jcemcr/luaf001","RegionNum":0,"RegionCategory":null,"ArticlePicture":[],"TitleCN":null,"AbstractTextCN":null,"PMCID":null,"EPubDate":"2025/2/1 0:00:00","PubModel":"eCollection","JCR":"","JCRName":"","Score":null,"Total":0}
引用次数: 0

摘要

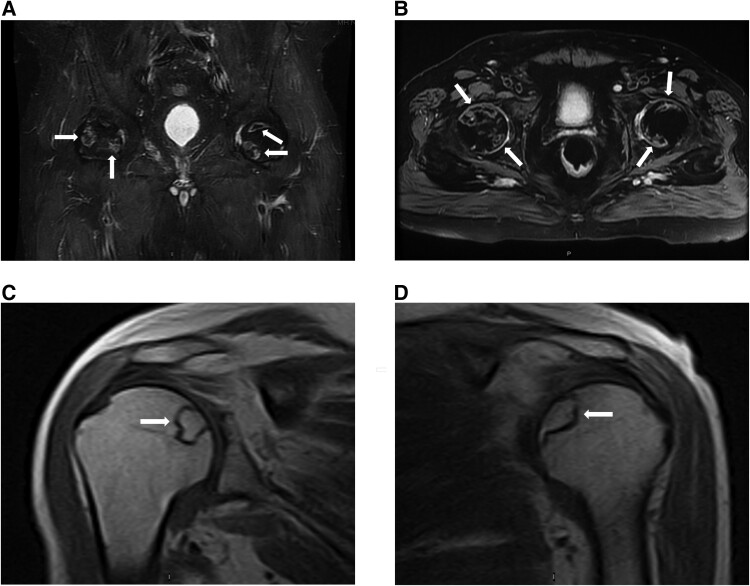
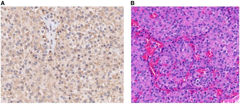
库欣综合征(CS)是由于长期暴露于过量的糖皮质激素,导致一系列临床表现,包括无血管坏死(AVN),一种罕见的CS并发症。虽然AVN通常与外源性糖皮质激素治疗有关,但它也可能发生在内源性CS中,但由于其罕见性和可能的亚临床表现而未被识别。我们描述了一例71岁的男性库欣病患者,他最初表现为双侧髋关节AVN,后来发展为双侧肩部AVN,尽管经蝶窦手术和辅助立体定向光子放射治疗后生化缓解。内源性CS中AVN的报道不足,缺乏常规筛查的指导。我们的病例强调了在CS患者中考虑AVN的重要性,特别是那些持续或反复出现关节症状且皮质醇水平明显升高的患者。早期发现AVN是至关重要的,因为如果不治疗,它可能导致不可逆转的关节损伤和残疾。应探索筛查策略,识别诊断为CS的高危患者,及时干预,从而预防AVN相关的长期发病。
本文章由计算机程序翻译,如有差异,请以英文原文为准。

Avascular Necrosis in Patients With Cushing Syndrome.

Avascular Necrosis in Patients With Cushing Syndrome.

Avascular Necrosis in Patients With Cushing Syndrome.

Avascular Necrosis in Patients With Cushing Syndrome.

Cushing syndrome (CS) results from prolonged exposure to excess glucocorticoids, leading to a range of clinical manifestations including avascular necrosis (AVN), a rare complication of CS. Although AVN is often associated with exogenous glucocorticoid treatment, it can occur in endogenous CS but may be unrecognized because of its rarity and possibly from a subclinical presentation. We describe a case of a 71-year-old male with florid Cushing disease who initially presented with bilateral hip AVN and later developed bilateral shoulder AVN despite achieving biochemical remission following transsphenoidal surgery and adjuvant stereotactic photon radiosurgery. AVN in endogenous CS is underreported, and guidance on routine screening is lacking. Our case underscores the importance of considering AVN in patients with CS, especially in those with persistent or recurrent joint symptoms and markedly elevated cortisol levels. Early detection of AVN is crucial as it can lead to irreversible joint damage and disability if untreated. Screening strategies should be explored to identify high-risk patients who are diagnosed with CS for timely intervention, thereby preventing long-term morbidity associated with AVN.

求助全文
通过发布文献求助,成功后即可免费获取论文全文。 去求助
来源期刊
自引率
0.00%
发文量
0
×
引用
GB/T 7714-2015
复制
MLA
复制
APA
复制
导出至
BibTeX EndNote RefMan NoteFirst NoteExpress
×
提示
您的信息不完整,为了账户安全,请先补充。
现在去补充
×
提示
您因"违规操作"
具体请查看互助需知
我知道了
×
提示
确定
请完成安全验证×
copy
已复制链接
快去分享给好友吧!
我知道了
右上角分享
点击右上角分享
0
联系我们:info@booksci.cn Book学术提供免费学术资源搜索服务,方便国内外学者检索中英文文献。致力于提供最便捷和优质的服务体验。 Copyright © 2023 布克学术 All rights reserved.
京ICP备2023020795号-1
ghs 京公网安备 11010802042870号
Book学术文献互助
Book学术文献互助群
群 号:604180095
Book学术官方微信