自发性获得性膈疝:病例系列及文献回顾。

IF 0.7 Q3 EMERGENCY MEDICINE
Journal of Emergencies, Trauma, and Shock Pub Date : 2024-10-01 Epub Date: 2024-09-11 DOI:10.4103/jets.jets_3_24
Yeshwant Lamture, Siddharth P Dubhashi, Deepali Shetty
{"title":"自发性获得性膈疝:病例系列及文献回顾。","authors":"Yeshwant Lamture, Siddharth P Dubhashi, Deepali Shetty","doi":"10.4103/jets.jets_3_24","DOIUrl":null,"url":null,"abstract":"<p><p>Congenital diaphragmatic hernia (CDH) and acquired diaphragmatic hernia (ADH) are secondary to a weakness or opening in the diaphragm. Both are types of internal hernia. The abnormality can range from a minor defect in the posterior edge of the diaphragm to the entire loss of it. CDH usually leads to lung hypoplasia associated with pulmonary hypertension and immaturity, as well as cardiac dysfunction. In ADH, pathophysiology is secondary to herniation and its pressure effects. We report a series of two cases of spontaneous ADH (SADH). Spontaneous acquired rupture of the diaphragm can occur after exercise, coughing, labor (delivery), or even without any significant preceding event. It is uncertain if SADH is caused by a preexisting weak region in the diaphragm, a loss of muscle coordination during vigorous exertion, or both. It is a potentially fatal surgical emergency requiring a high index of clinical judgment in the appropriate clinical setting. SADH acts mechanically by compressing the lung. It is an infrequent entity. This case series and review concisely illustrate the genesis, diagnosis, and treatment of spontaneous diaphragmatic hernia.</p>","PeriodicalId":15692,"journal":{"name":"Journal of Emergencies, Trauma, and Shock","volume":"17 4","pages":"241-244"},"PeriodicalIF":0.7000,"publicationDate":"2024-10-01","publicationTypes":"Journal Article","fieldsOfStudy":null,"isOpenAccess":false,"openAccessPdf":"https://www.ncbi.nlm.nih.gov/pmc/articles/PMC11792754/pdf/","citationCount":"0","resultStr":"{\"title\":\"Spontaneous Acquired Diaphragmatic Hernia: Case Series and Review of Literature.\",\"authors\":\"Yeshwant Lamture, Siddharth P Dubhashi, Deepali Shetty\",\"doi\":\"10.4103/jets.jets_3_24\",\"DOIUrl\":null,\"url\":null,\"abstract\":\"<p><p>Congenital diaphragmatic hernia (CDH) and acquired diaphragmatic hernia (ADH) are secondary to a weakness or opening in the diaphragm. Both are types of internal hernia. The abnormality can range from a minor defect in the posterior edge of the diaphragm to the entire loss of it. CDH usually leads to lung hypoplasia associated with pulmonary hypertension and immaturity, as well as cardiac dysfunction. In ADH, pathophysiology is secondary to herniation and its pressure effects. We report a series of two cases of spontaneous ADH (SADH). Spontaneous acquired rupture of the diaphragm can occur after exercise, coughing, labor (delivery), or even without any significant preceding event. It is uncertain if SADH is caused by a preexisting weak region in the diaphragm, a loss of muscle coordination during vigorous exertion, or both. It is a potentially fatal surgical emergency requiring a high index of clinical judgment in the appropriate clinical setting. SADH acts mechanically by compressing the lung. It is an infrequent entity. This case series and review concisely illustrate the genesis, diagnosis, and treatment of spontaneous diaphragmatic hernia.</p>\",\"PeriodicalId\":15692,\"journal\":{\"name\":\"Journal of Emergencies, Trauma, and Shock\",\"volume\":\"17 4\",\"pages\":\"241-244\"},\"PeriodicalIF\":0.7000,\"publicationDate\":\"2024-10-01\",\"publicationTypes\":\"Journal Article\",\"fieldsOfStudy\":null,\"isOpenAccess\":false,\"openAccessPdf\":\"https://www.ncbi.nlm.nih.gov/pmc/articles/PMC11792754/pdf/\",\"citationCount\":\"0\",\"resultStr\":null,\"platform\":\"Semanticscholar\",\"paperid\":null,\"PeriodicalName\":\"Journal of Emergencies, Trauma, and Shock\",\"FirstCategoryId\":\"1085\",\"ListUrlMain\":\"https://doi.org/10.4103/jets.jets_3_24\",\"RegionNum\":0,\"RegionCategory\":null,\"ArticlePicture\":[],\"TitleCN\":null,\"AbstractTextCN\":null,\"PMCID\":null,\"EPubDate\":\"2024/9/11 0:00:00\",\"PubModel\":\"Epub\",\"JCR\":\"Q3\",\"JCRName\":\"EMERGENCY MEDICINE\",\"Score\":null,\"Total\":0}","platform":"Semanticscholar","paperid":null,"PeriodicalName":"Journal of Emergencies, Trauma, and Shock","FirstCategoryId":"1085","ListUrlMain":"https://doi.org/10.4103/jets.jets_3_24","RegionNum":0,"RegionCategory":null,"ArticlePicture":[],"TitleCN":null,"AbstractTextCN":null,"PMCID":null,"EPubDate":"2024/9/11 0:00:00","PubModel":"Epub","JCR":"Q3","JCRName":"EMERGENCY MEDICINE","Score":null,"Total":0}
引用次数: 0

摘要

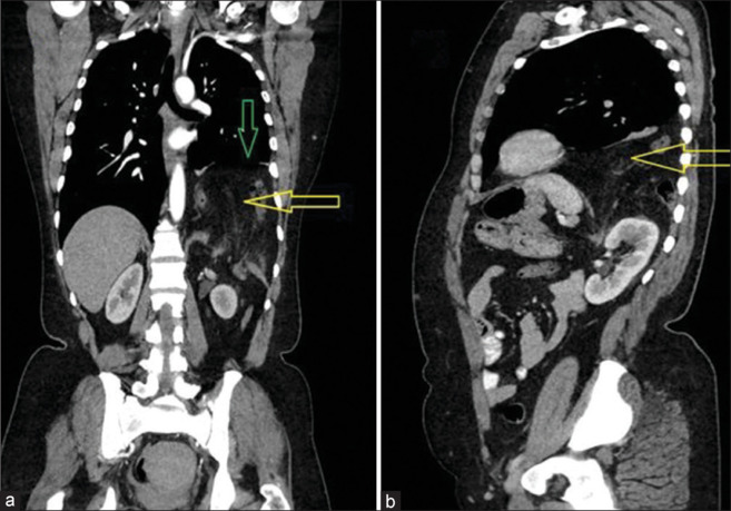
先天性膈疝(CDH)和获得性膈疝(ADH)继发于膈肌无力或开口。两者都是内疝的类型。这种异常的范围可以从膈肌后缘的一个小缺陷到整个膈肌的丧失。CDH通常导致肺发育不全,伴有肺动脉高压和不成熟,以及心功能障碍。在ADH中,病理生理是继发于疝出及其压力效应。我们报告了两例自发性ADH (SADH)。自发性获得性膈肌破裂可发生在运动、咳嗽、分娩后,甚至在没有任何明显的前期事件的情况下。尚不确定SADH是由膈肌先前存在的薄弱区域引起的,还是由于剧烈运动时肌肉协调性的丧失,或两者兼而有之。这是一种潜在致命的外科急诊,需要在适当的临床环境中进行高指标的临床判断。SADH通过压迫肺来机械地起作用。这是一个罕见的实体。本病例系列和回顾简要说明自发性膈疝的发生、诊断和治疗。
本文章由计算机程序翻译,如有差异,请以英文原文为准。

Spontaneous Acquired Diaphragmatic Hernia: Case Series and Review of Literature.

Spontaneous Acquired Diaphragmatic Hernia: Case Series and Review of Literature.

Spontaneous Acquired Diaphragmatic Hernia: Case Series and Review of Literature.

Spontaneous Acquired Diaphragmatic Hernia: Case Series and Review of Literature.

Congenital diaphragmatic hernia (CDH) and acquired diaphragmatic hernia (ADH) are secondary to a weakness or opening in the diaphragm. Both are types of internal hernia. The abnormality can range from a minor defect in the posterior edge of the diaphragm to the entire loss of it. CDH usually leads to lung hypoplasia associated with pulmonary hypertension and immaturity, as well as cardiac dysfunction. In ADH, pathophysiology is secondary to herniation and its pressure effects. We report a series of two cases of spontaneous ADH (SADH). Spontaneous acquired rupture of the diaphragm can occur after exercise, coughing, labor (delivery), or even without any significant preceding event. It is uncertain if SADH is caused by a preexisting weak region in the diaphragm, a loss of muscle coordination during vigorous exertion, or both. It is a potentially fatal surgical emergency requiring a high index of clinical judgment in the appropriate clinical setting. SADH acts mechanically by compressing the lung. It is an infrequent entity. This case series and review concisely illustrate the genesis, diagnosis, and treatment of spontaneous diaphragmatic hernia.

求助全文
通过发布文献求助,成功后即可免费获取论文全文。 去求助
来源期刊
CiteScore
2.90
自引率
7.10%
发文量
52
审稿时长
39 weeks
×
引用
GB/T 7714-2015
复制
MLA
复制
APA
复制
导出至
BibTeX EndNote RefMan NoteFirst NoteExpress
×
提示
您的信息不完整,为了账户安全,请先补充。
现在去补充
×
提示
您因"违规操作"
具体请查看互助需知
我知道了
×
提示
确定
请完成安全验证×
copy
已复制链接
快去分享给好友吧!
我知道了
右上角分享
点击右上角分享
0
联系我们:info@booksci.cn Book学术提供免费学术资源搜索服务,方便国内外学者检索中英文文献。致力于提供最便捷和优质的服务体验。 Copyright © 2023 布克学术 All rights reserved.
京ICP备2023020795号-1
ghs 京公网安备 11010802042870号
Book学术文献互助
Book学术文献互助群
群 号:604180095
Book学术官方微信