脾肉瘤病引起的难治性严重高钙血症病例的诊断难题。

JCEM case reports Pub Date : 2025-02-04 eCollection Date: 2025-02-01 DOI:10.1210/jcemcr/luaf011
Jeremy A Knott, Andrea R Horvath, Thaw D Htet
{"title":"脾肉瘤病引起的难治性严重高钙血症病例的诊断难题。","authors":"Jeremy A Knott, Andrea R Horvath, Thaw D Htet","doi":"10.1210/jcemcr/luaf011","DOIUrl":null,"url":null,"abstract":"<p><p>Hypercalcemia is frequently encountered in clinical practice; however, sarcoidosis-induced hypercalcemia is relatively uncommon and requires careful evaluation, particularly when initial investigations are inconclusive or the hypercalcemia is refractory to standard treatment. We present a complex case of a 60-year-old female with chronic stage IV diabetic nephropathy who presented with acute severe asymptomatic hypercalcemia resulting from splenic sarcoidosis confirmed on splenic biopsy. Despite commencement of prednisone therapy, her hypercalcemia persisted. IV fluid therapy was complicated by fluid overload from chronic renal disease. Ketoconazole was trialed as second-line therapy with no initial improvement. Our case illustrates the diagnostic and therapeutic challenges associated with asymptomatic hypercalcemia attributed to systemic sarcoidosis on a background of chronic renal impairment. It underscores the importance of considering systemic sarcoidosis as a potential etiology in cases of acute PTH-independent hypercalcemia resistant to initial therapy.</p>","PeriodicalId":73540,"journal":{"name":"JCEM case reports","volume":"3 2","pages":"luaf011"},"PeriodicalIF":0.0000,"publicationDate":"2025-02-04","publicationTypes":"Journal Article","fieldsOfStudy":null,"isOpenAccess":false,"openAccessPdf":"https://www.ncbi.nlm.nih.gov/pmc/articles/PMC11791341/pdf/","citationCount":"0","resultStr":"{\"title\":\"Diagnostic Challenges in a Case of Refractory Severe Hypercalcemia Due to Splenic Sarcoidosis.\",\"authors\":\"Jeremy A Knott, Andrea R Horvath, Thaw D Htet\",\"doi\":\"10.1210/jcemcr/luaf011\",\"DOIUrl\":null,\"url\":null,\"abstract\":\"<p><p>Hypercalcemia is frequently encountered in clinical practice; however, sarcoidosis-induced hypercalcemia is relatively uncommon and requires careful evaluation, particularly when initial investigations are inconclusive or the hypercalcemia is refractory to standard treatment. We present a complex case of a 60-year-old female with chronic stage IV diabetic nephropathy who presented with acute severe asymptomatic hypercalcemia resulting from splenic sarcoidosis confirmed on splenic biopsy. Despite commencement of prednisone therapy, her hypercalcemia persisted. IV fluid therapy was complicated by fluid overload from chronic renal disease. Ketoconazole was trialed as second-line therapy with no initial improvement. Our case illustrates the diagnostic and therapeutic challenges associated with asymptomatic hypercalcemia attributed to systemic sarcoidosis on a background of chronic renal impairment. It underscores the importance of considering systemic sarcoidosis as a potential etiology in cases of acute PTH-independent hypercalcemia resistant to initial therapy.</p>\",\"PeriodicalId\":73540,\"journal\":{\"name\":\"JCEM case reports\",\"volume\":\"3 2\",\"pages\":\"luaf011\"},\"PeriodicalIF\":0.0000,\"publicationDate\":\"2025-02-04\",\"publicationTypes\":\"Journal Article\",\"fieldsOfStudy\":null,\"isOpenAccess\":false,\"openAccessPdf\":\"https://www.ncbi.nlm.nih.gov/pmc/articles/PMC11791341/pdf/\",\"citationCount\":\"0\",\"resultStr\":null,\"platform\":\"Semanticscholar\",\"paperid\":null,\"PeriodicalName\":\"JCEM case reports\",\"FirstCategoryId\":\"1085\",\"ListUrlMain\":\"https://doi.org/10.1210/jcemcr/luaf011\",\"RegionNum\":0,\"RegionCategory\":null,\"ArticlePicture\":[],\"TitleCN\":null,\"AbstractTextCN\":null,\"PMCID\":null,\"EPubDate\":\"2025/2/1 0:00:00\",\"PubModel\":\"eCollection\",\"JCR\":\"\",\"JCRName\":\"\",\"Score\":null,\"Total\":0}","platform":"Semanticscholar","paperid":null,"PeriodicalName":"JCEM case reports","FirstCategoryId":"1085","ListUrlMain":"https://doi.org/10.1210/jcemcr/luaf011","RegionNum":0,"RegionCategory":null,"ArticlePicture":[],"TitleCN":null,"AbstractTextCN":null,"PMCID":null,"EPubDate":"2025/2/1 0:00:00","PubModel":"eCollection","JCR":"","JCRName":"","Score":null,"Total":0}
引用次数: 0

摘要

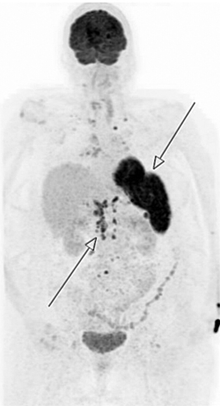
高钙血症在临床实践中经常遇到;然而,结节病引起的高钙血症相对不常见,需要仔细评估,特别是当初步调查不确定或高钙血症难以标准治疗时。我们报告一个复杂的病例,一位60岁的女性患有慢性IV期糖尿病肾病,她表现为脾结节病引起的急性严重无症状高钙血症,脾活检证实。尽管开始了强的松治疗,她的高钙血症仍然存在。静脉输液治疗并发慢性肾脏疾病引起的体液超载。酮康唑作为二线治疗进行试验,没有初步改善。本病例说明了慢性肾损害背景下系统性结节病引起的无症状高钙血症的诊断和治疗挑战。它强调了考虑系统性结节病作为一个潜在病因的重要性,急性甲状旁腺激素非依赖性高钙血症对初始治疗有耐药性。
本文章由计算机程序翻译,如有差异,请以英文原文为准。

Diagnostic Challenges in a Case of Refractory Severe Hypercalcemia Due to Splenic Sarcoidosis.

Diagnostic Challenges in a Case of Refractory Severe Hypercalcemia Due to Splenic Sarcoidosis.

Diagnostic Challenges in a Case of Refractory Severe Hypercalcemia Due to Splenic Sarcoidosis.

Hypercalcemia is frequently encountered in clinical practice; however, sarcoidosis-induced hypercalcemia is relatively uncommon and requires careful evaluation, particularly when initial investigations are inconclusive or the hypercalcemia is refractory to standard treatment. We present a complex case of a 60-year-old female with chronic stage IV diabetic nephropathy who presented with acute severe asymptomatic hypercalcemia resulting from splenic sarcoidosis confirmed on splenic biopsy. Despite commencement of prednisone therapy, her hypercalcemia persisted. IV fluid therapy was complicated by fluid overload from chronic renal disease. Ketoconazole was trialed as second-line therapy with no initial improvement. Our case illustrates the diagnostic and therapeutic challenges associated with asymptomatic hypercalcemia attributed to systemic sarcoidosis on a background of chronic renal impairment. It underscores the importance of considering systemic sarcoidosis as a potential etiology in cases of acute PTH-independent hypercalcemia resistant to initial therapy.

求助全文
通过发布文献求助,成功后即可免费获取论文全文。 去求助
来源期刊
自引率
0.00%
发文量
0
×
引用
GB/T 7714-2015
复制
MLA
复制
APA
复制
导出至
BibTeX EndNote RefMan NoteFirst NoteExpress
×
提示
您的信息不完整,为了账户安全,请先补充。
现在去补充
×
提示
您因"违规操作"
具体请查看互助需知
我知道了
×
提示
确定
请完成安全验证×
copy
已复制链接
快去分享给好友吧!
我知道了
右上角分享
点击右上角分享
0
联系我们:info@booksci.cn Book学术提供免费学术资源搜索服务,方便国内外学者检索中英文文献。致力于提供最便捷和优质的服务体验。 Copyright © 2023 布克学术 All rights reserved.
京ICP备2023020795号-1
ghs 京公网安备 11010802042870号
Book学术文献互助
Book学术文献互助群
群 号:604180095
Book学术官方微信