伴有FGFR1突变的成釉纤维齿瘤:1例报告。

IF 4.1 Q2 PATHOLOGY
Oumaima Aouam, Nard G Janssen, Wendy W J de Leng, Gerben E Breimer
{"title":"伴有FGFR1突变的成釉纤维齿瘤:1例报告。","authors":"Oumaima Aouam, Nard G Janssen, Wendy W J de Leng, Gerben E Breimer","doi":"10.1007/s12105-025-01758-2","DOIUrl":null,"url":null,"abstract":"<p><strong>Purpose: </strong>Ameloblastic fibro-odontoma (AFO) is a rare benign mixed odontogenic tumor that, after being classified for years as a distinct entity, was redefined as a \"developing odontoma\" in the 2017 World Health Organization classification. This article presents a unique case of an AFO with an FGFR1 mutation.</p><p><strong>Methods: </strong>We present a case of an 8-year-old child with a slowly progressive swelling in the lower left mandible. Next-generation sequencing (TSO500 panel) was performed.</p><p><strong>Results: </strong>Panoramic radiography revealed an odontogenic tumor; therefore, a transoral enucleation was performed. Pathological microscopic examination confirmed the diagnosis of AFO, and next-generation sequencing detected an FGFR1 mutation.</p><p><strong>Conclusion: </strong>The presence of an FGFR1 mutation in an AFO may suggest a closer biological relationship between ameloblastic fibroma and AFO, potentially distinguishing it from odontomas. Further research, including genetic studies, is needed to enhance our understanding and refine the classification of these tumors.</p>","PeriodicalId":47972,"journal":{"name":"Head & Neck Pathology","volume":"19 1","pages":"19"},"PeriodicalIF":4.1000,"publicationDate":"2025-02-05","publicationTypes":"Journal Article","fieldsOfStudy":null,"isOpenAccess":false,"openAccessPdf":"https://www.ncbi.nlm.nih.gov/pmc/articles/PMC11799477/pdf/","citationCount":"0","resultStr":"{\"title\":\"Ameloblastic Fibro-Odontoma with an FGFR1 Mutation: A Case Report.\",\"authors\":\"Oumaima Aouam, Nard G Janssen, Wendy W J de Leng, Gerben E Breimer\",\"doi\":\"10.1007/s12105-025-01758-2\",\"DOIUrl\":null,\"url\":null,\"abstract\":\"<p><strong>Purpose: </strong>Ameloblastic fibro-odontoma (AFO) is a rare benign mixed odontogenic tumor that, after being classified for years as a distinct entity, was redefined as a \\\"developing odontoma\\\" in the 2017 World Health Organization classification. This article presents a unique case of an AFO with an FGFR1 mutation.</p><p><strong>Methods: </strong>We present a case of an 8-year-old child with a slowly progressive swelling in the lower left mandible. Next-generation sequencing (TSO500 panel) was performed.</p><p><strong>Results: </strong>Panoramic radiography revealed an odontogenic tumor; therefore, a transoral enucleation was performed. Pathological microscopic examination confirmed the diagnosis of AFO, and next-generation sequencing detected an FGFR1 mutation.</p><p><strong>Conclusion: </strong>The presence of an FGFR1 mutation in an AFO may suggest a closer biological relationship between ameloblastic fibroma and AFO, potentially distinguishing it from odontomas. Further research, including genetic studies, is needed to enhance our understanding and refine the classification of these tumors.</p>\",\"PeriodicalId\":47972,\"journal\":{\"name\":\"Head & Neck Pathology\",\"volume\":\"19 1\",\"pages\":\"19\"},\"PeriodicalIF\":4.1000,\"publicationDate\":\"2025-02-05\",\"publicationTypes\":\"Journal Article\",\"fieldsOfStudy\":null,\"isOpenAccess\":false,\"openAccessPdf\":\"https://www.ncbi.nlm.nih.gov/pmc/articles/PMC11799477/pdf/\",\"citationCount\":\"0\",\"resultStr\":null,\"platform\":\"Semanticscholar\",\"paperid\":null,\"PeriodicalName\":\"Head & Neck Pathology\",\"FirstCategoryId\":\"1085\",\"ListUrlMain\":\"https://doi.org/10.1007/s12105-025-01758-2\",\"RegionNum\":0,\"RegionCategory\":null,\"ArticlePicture\":[],\"TitleCN\":null,\"AbstractTextCN\":null,\"PMCID\":null,\"EPubDate\":\"\",\"PubModel\":\"\",\"JCR\":\"Q2\",\"JCRName\":\"PATHOLOGY\",\"Score\":null,\"Total\":0}","platform":"Semanticscholar","paperid":null,"PeriodicalName":"Head & Neck Pathology","FirstCategoryId":"1085","ListUrlMain":"https://doi.org/10.1007/s12105-025-01758-2","RegionNum":0,"RegionCategory":null,"ArticlePicture":[],"TitleCN":null,"AbstractTextCN":null,"PMCID":null,"EPubDate":"","PubModel":"","JCR":"Q2","JCRName":"PATHOLOGY","Score":null,"Total":0}
引用次数: 0

摘要

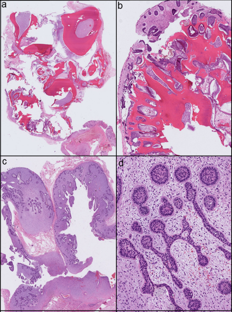
目的:成釉纤维-牙瘤(AFO)是一种罕见的良性混合牙源性肿瘤,在被分类为一个独立的实体多年后,在2017年世界卫生组织分类中被重新定义为“发展中的牙瘤”。这篇文章提出了一个独特的AFO与FGFR1突变的情况。方法:我们提出一个病例8岁的儿童与缓慢进行性肿胀在左下下颌骨。进行下一代测序(TSO500面板)。结果:全景x线片显示牙源性肿瘤;因此,我们进行了经口去核手术。病理显微镜检查证实了AFO的诊断,下一代测序检测到FGFR1突变。结论:AFO中FGFR1突变的存在可能表明成釉纤维瘤和AFO之间存在更密切的生物学关系,可能将其与牙瘤区分开来。需要进一步的研究,包括遗传学研究,来提高我们对这些肿瘤的理解和完善分类。
本文章由计算机程序翻译,如有差异,请以英文原文为准。

Ameloblastic Fibro-Odontoma with an FGFR1 Mutation: A Case Report.

Ameloblastic Fibro-Odontoma with an FGFR1 Mutation: A Case Report.

Ameloblastic Fibro-Odontoma with an FGFR1 Mutation: A Case Report.

Purpose: Ameloblastic fibro-odontoma (AFO) is a rare benign mixed odontogenic tumor that, after being classified for years as a distinct entity, was redefined as a "developing odontoma" in the 2017 World Health Organization classification. This article presents a unique case of an AFO with an FGFR1 mutation.

Methods: We present a case of an 8-year-old child with a slowly progressive swelling in the lower left mandible. Next-generation sequencing (TSO500 panel) was performed.

Results: Panoramic radiography revealed an odontogenic tumor; therefore, a transoral enucleation was performed. Pathological microscopic examination confirmed the diagnosis of AFO, and next-generation sequencing detected an FGFR1 mutation.

Conclusion: The presence of an FGFR1 mutation in an AFO may suggest a closer biological relationship between ameloblastic fibroma and AFO, potentially distinguishing it from odontomas. Further research, including genetic studies, is needed to enhance our understanding and refine the classification of these tumors.

求助全文
通过发布文献求助,成功后即可免费获取论文全文。 去求助
来源期刊
CiteScore
5.70
自引率
9.50%
发文量
99
期刊介绍: Head & Neck Pathology presents scholarly papers, reviews and symposia that cover the spectrum of human surgical pathology within the anatomic zones of the oral cavity, sinonasal tract, larynx, hypopharynx, salivary gland, ear and temporal bone, and neck. The journal publishes rapid developments in new diagnostic criteria, intraoperative consultation, immunohistochemical studies, molecular techniques, genetic analyses, diagnostic aids, experimental pathology, cytology, radiographic imaging, and application of uniform terminology to allow practitioners to continue to maintain and expand their knowledge in the subspecialty of head and neck pathology. Coverage of practical application to daily clinical practice is supported with proceedings and symposia from international societies and academies devoted to this field. Single-blind peer review The journal follows a single-blind review procedure, where the reviewers are aware of the names and affiliations of the authors, but the reviewer reports provided to authors are anonymous. Single-blind peer review is the traditional model of peer review that many reviewers are comfortable with, and it facilitates a dispassionate critique of a manuscript.
×
引用
GB/T 7714-2015
复制
MLA
复制
APA
复制
导出至
BibTeX EndNote RefMan NoteFirst NoteExpress
×
提示
您的信息不完整,为了账户安全,请先补充。
现在去补充
×
提示
您因"违规操作"
具体请查看互助需知
我知道了
×
提示
确定
请完成安全验证×
copy
已复制链接
快去分享给好友吧!
我知道了
右上角分享
点击右上角分享
0
联系我们:info@booksci.cn Book学术提供免费学术资源搜索服务,方便国内外学者检索中英文文献。致力于提供最便捷和优质的服务体验。 Copyright © 2023 布克学术 All rights reserved.
京ICP备2023020795号-1
ghs 京公网安备 11010802042870号
Book学术文献互助
Book学术文献互助群
群 号:604180095
Book学术官方微信