ercp的罕见并发症-胰腺炎、睫状体炎、多发性关节炎综合征和多灶性骨髓炎。

IF 0.5 Q4 RADIOLOGY, NUCLEAR MEDICINE & MEDICAL IMAGING
BJR Case Reports Pub Date : 2025-01-17 eCollection Date: 2025-01-01 DOI:10.1093/bjrcr/uaaf002
Ratna Koyyalamudi, Dominic Ku, Kirk Brown, Morgan Schulze
{"title":"ercp的罕见并发症-胰腺炎、睫状体炎、多发性关节炎综合征和多灶性骨髓炎。","authors":"Ratna Koyyalamudi, Dominic Ku, Kirk Brown, Morgan Schulze","doi":"10.1093/bjrcr/uaaf002","DOIUrl":null,"url":null,"abstract":"<p><p>Severe pancreatitis following retrograde cholangiopancreatography (ERCP) is an infrequent occurrence. Even rarer are the additional non-pancreatic symptoms that can emerge after ERCP-induced pancreatitis, such as panniculitis and polyarthritis. This combination of symptoms is recognized as the pancreatitis, panniculitis, and polyarthritis syndrome (PPPS). PPPS typically manifests as reddish subcutaneous nodules, primarily in the lower extremities. In some cases, the condition may progress into the bones, causing intramedullary fat necrosis/bone infarcts. Joint complications involve polyarthritis and affect both small and large joints. PPPS tends to develop 3-6 weeks after the peak of clinical pancreatitis. In this report, we present a case of PPPS that occurred as a complication following ERCP. This particular case became further complicated by the presence of bacteraemia and fungaemia, leading to the subsequent development of multi-focal osteomyelitis. The medical imaging included in this report provides a comprehensive overview of the entire clinical course, starting from the initial post-procedural complication and pancreatitis, followed by multi-modal imaging depicting panniculitis using ultrasound and MRI, and finally illustrating the development of multi-focal osteomyelitis. This case serves as an opportunity to explore and understand 2 rare complications associated with pancreatitis: PPPS and multi-focal osteomyelitis.</p>","PeriodicalId":45216,"journal":{"name":"BJR Case Reports","volume":"11 1","pages":"uaaf002"},"PeriodicalIF":0.5000,"publicationDate":"2025-01-17","publicationTypes":"Journal Article","fieldsOfStudy":null,"isOpenAccess":false,"openAccessPdf":"https://www.ncbi.nlm.nih.gov/pmc/articles/PMC11785366/pdf/","citationCount":"0","resultStr":"{\"title\":\"Rare complications of ERCP-pancreatitis, panniculitis, and polyarthritis syndromeand multifocal osteomyelitis.\",\"authors\":\"Ratna Koyyalamudi, Dominic Ku, Kirk Brown, Morgan Schulze\",\"doi\":\"10.1093/bjrcr/uaaf002\",\"DOIUrl\":null,\"url\":null,\"abstract\":\"<p><p>Severe pancreatitis following retrograde cholangiopancreatography (ERCP) is an infrequent occurrence. Even rarer are the additional non-pancreatic symptoms that can emerge after ERCP-induced pancreatitis, such as panniculitis and polyarthritis. This combination of symptoms is recognized as the pancreatitis, panniculitis, and polyarthritis syndrome (PPPS). PPPS typically manifests as reddish subcutaneous nodules, primarily in the lower extremities. In some cases, the condition may progress into the bones, causing intramedullary fat necrosis/bone infarcts. Joint complications involve polyarthritis and affect both small and large joints. PPPS tends to develop 3-6 weeks after the peak of clinical pancreatitis. In this report, we present a case of PPPS that occurred as a complication following ERCP. This particular case became further complicated by the presence of bacteraemia and fungaemia, leading to the subsequent development of multi-focal osteomyelitis. The medical imaging included in this report provides a comprehensive overview of the entire clinical course, starting from the initial post-procedural complication and pancreatitis, followed by multi-modal imaging depicting panniculitis using ultrasound and MRI, and finally illustrating the development of multi-focal osteomyelitis. This case serves as an opportunity to explore and understand 2 rare complications associated with pancreatitis: PPPS and multi-focal osteomyelitis.</p>\",\"PeriodicalId\":45216,\"journal\":{\"name\":\"BJR Case Reports\",\"volume\":\"11 1\",\"pages\":\"uaaf002\"},\"PeriodicalIF\":0.5000,\"publicationDate\":\"2025-01-17\",\"publicationTypes\":\"Journal Article\",\"fieldsOfStudy\":null,\"isOpenAccess\":false,\"openAccessPdf\":\"https://www.ncbi.nlm.nih.gov/pmc/articles/PMC11785366/pdf/\",\"citationCount\":\"0\",\"resultStr\":null,\"platform\":\"Semanticscholar\",\"paperid\":null,\"PeriodicalName\":\"BJR Case Reports\",\"FirstCategoryId\":\"1085\",\"ListUrlMain\":\"https://doi.org/10.1093/bjrcr/uaaf002\",\"RegionNum\":0,\"RegionCategory\":null,\"ArticlePicture\":[],\"TitleCN\":null,\"AbstractTextCN\":null,\"PMCID\":null,\"EPubDate\":\"2025/1/1 0:00:00\",\"PubModel\":\"eCollection\",\"JCR\":\"Q4\",\"JCRName\":\"RADIOLOGY, NUCLEAR MEDICINE & MEDICAL IMAGING\",\"Score\":null,\"Total\":0}","platform":"Semanticscholar","paperid":null,"PeriodicalName":"BJR Case Reports","FirstCategoryId":"1085","ListUrlMain":"https://doi.org/10.1093/bjrcr/uaaf002","RegionNum":0,"RegionCategory":null,"ArticlePicture":[],"TitleCN":null,"AbstractTextCN":null,"PMCID":null,"EPubDate":"2025/1/1 0:00:00","PubModel":"eCollection","JCR":"Q4","JCRName":"RADIOLOGY, NUCLEAR MEDICINE & MEDICAL IMAGING","Score":null,"Total":0}
引用次数: 0

摘要

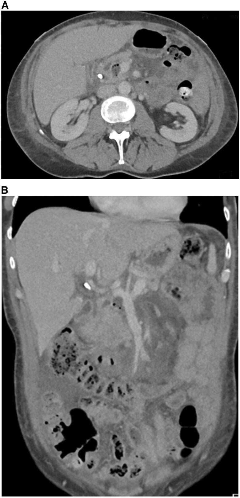
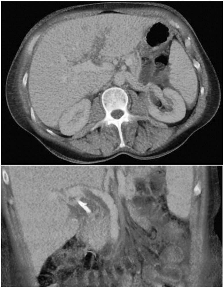
严重胰腺炎后逆行胆管造影(ERCP)是罕见的发生。更罕见的是,在ercp诱导的胰腺炎后可能出现的其他非胰腺症状,如胰腺炎和多发性关节炎。这种症状的组合被认为是胰腺炎、胰膜炎和多关节炎综合征(PPPS)。PPPS典型表现为红色皮下结节,主要发生在下肢。在某些情况下,病情可能进展到骨骼,引起髓内脂肪坏死/骨梗死。关节并发症包括多关节炎,影响大小关节。PPPS往往发生在临床胰腺炎高峰后3-6周。在本报告中,我们提出了一例PPPS作为ERCP后并发症发生的病例。由于菌血症和真菌血症的存在,这一特殊病例进一步复杂化,导致随后发展为多灶性骨髓炎。本报告中包含的医学影像提供了整个临床过程的全面概述,从最初的术后并发症和胰腺炎开始,随后使用超声和MRI进行多模态成像,描绘了睫状体炎,最后说明了多灶性骨髓炎的发展。本病例为探讨和了解胰腺炎相关的两种罕见并发症:PPPS和多灶性骨髓炎提供了机会。
本文章由计算机程序翻译,如有差异,请以英文原文为准。

Rare complications of ERCP-pancreatitis, panniculitis, and polyarthritis syndromeand multifocal osteomyelitis.

Rare complications of ERCP-pancreatitis, panniculitis, and polyarthritis syndromeand multifocal osteomyelitis.

Rare complications of ERCP-pancreatitis, panniculitis, and polyarthritis syndromeand multifocal osteomyelitis.

Rare complications of ERCP-pancreatitis, panniculitis, and polyarthritis syndromeand multifocal osteomyelitis.

Severe pancreatitis following retrograde cholangiopancreatography (ERCP) is an infrequent occurrence. Even rarer are the additional non-pancreatic symptoms that can emerge after ERCP-induced pancreatitis, such as panniculitis and polyarthritis. This combination of symptoms is recognized as the pancreatitis, panniculitis, and polyarthritis syndrome (PPPS). PPPS typically manifests as reddish subcutaneous nodules, primarily in the lower extremities. In some cases, the condition may progress into the bones, causing intramedullary fat necrosis/bone infarcts. Joint complications involve polyarthritis and affect both small and large joints. PPPS tends to develop 3-6 weeks after the peak of clinical pancreatitis. In this report, we present a case of PPPS that occurred as a complication following ERCP. This particular case became further complicated by the presence of bacteraemia and fungaemia, leading to the subsequent development of multi-focal osteomyelitis. The medical imaging included in this report provides a comprehensive overview of the entire clinical course, starting from the initial post-procedural complication and pancreatitis, followed by multi-modal imaging depicting panniculitis using ultrasound and MRI, and finally illustrating the development of multi-focal osteomyelitis. This case serves as an opportunity to explore and understand 2 rare complications associated with pancreatitis: PPPS and multi-focal osteomyelitis.

求助全文
通过发布文献求助,成功后即可免费获取论文全文。 去求助
来源期刊
BJR Case Reports
BJR Case Reports RADIOLOGY, NUCLEAR MEDICINE & MEDICAL IMAGING-
自引率
0.00%
发文量
77
审稿时长
11 weeks
×
引用
GB/T 7714-2015
复制
MLA
复制
APA
复制
导出至
BibTeX EndNote RefMan NoteFirst NoteExpress
×
提示
您的信息不完整,为了账户安全,请先补充。
现在去补充
×
提示
您因"违规操作"
具体请查看互助需知
我知道了
×
提示
确定
请完成安全验证×
copy
已复制链接
快去分享给好友吧!
我知道了
右上角分享
点击右上角分享
0
联系我们:info@booksci.cn Book学术提供免费学术资源搜索服务,方便国内外学者检索中英文文献。致力于提供最便捷和优质的服务体验。 Copyright © 2023 布克学术 All rights reserved.
京ICP备2023020795号-1
ghs 京公网安备 11010802042870号
Book学术文献互助
Book学术文献互助群
群 号:604180095
Book学术官方微信