粘多糖病I型和IIIA型:摩洛哥患者常见突变相关新多态性的诊断和鉴定

IF 1.9 4区 医学 Q3 GENETICS & HEREDITY
Houda El Fissi , Fadoua Bouzid , Mohammed Said Sebbar , Mohammed Amine Serghini , Fouad Msanda , Najat Alif
{"title":"粘多糖病I型和IIIA型:摩洛哥患者常见突变相关新多态性的诊断和鉴定","authors":"Houda El Fissi ,&nbsp;Fadoua Bouzid ,&nbsp;Mohammed Said Sebbar ,&nbsp;Mohammed Amine Serghini ,&nbsp;Fouad Msanda ,&nbsp;Najat Alif","doi":"10.1016/j.ymgmr.2025.101186","DOIUrl":null,"url":null,"abstract":"<div><h3>Background</h3><div>Mucopolysaccharidoses types I and IIIA are lysosomal storage diseases caused by mutations in the <em>IDUA</em> and <em>SGSH</em> genes, leading to deficiencies in α-L-iduronidase and heparan sulfamidase, respectively. These progressive, autosomal recessive disorders require early diagnosis.</div></div><div><h3>Purpose</h3><div>The study targeted and investigated the p.Pro533Arg mutation, known to cause mucopolysaccharidosis type I, and the p.Arg377Cys mutation, associated with mucopolysaccharidosis IIIA, in newly recruited Moroccan families. In parallel, variants/polymorphisms associated with these mutations were searched for.</div></div><div><h3>Methods</h3><div>Researchers employed RFLP assays for the p.Pro533Arg and p.Arg377Cys mutations and genomic PCR sequencing for variant detection. PolyPhen-2, MutPred2, SIFT, and MutationTaster were used to assess the pathogenicity of these variants, helping to evaluate their potential impact on disease.</div></div><div><h3>Results</h3><div>The p.Pro533Arg mutation was found in newly recruited families with Hurler syndrome, consistent with previous findings. Similarly, the p.Arg377Cys mutation was present in a newly recruited family with Sanfilippo A syndrome. DNA sequencing revealed five SNPs four in the <em>IDUA</em> gene and one in the <em>SGSH</em> gene with three <em>IDUA</em> SNPs and one <em>SGSH</em> SNP being novel.</div></div><div><h3>Conclusion</h3><div>The p.Pro533Arg and p.Arg377Cys mutations are common among Moroccan patients with MPS I and MPS IIIA, respectively. The ability to detect these mutations using restriction endonucleases allows for molecular diagnosis in affected families. Five polymorphisms were identified among them four are novel.</div></div>","PeriodicalId":18814,"journal":{"name":"Molecular Genetics and Metabolism Reports","volume":"42 ","pages":"Article 101186"},"PeriodicalIF":1.9000,"publicationDate":"2025-01-16","publicationTypes":"Journal Article","fieldsOfStudy":null,"isOpenAccess":false,"openAccessPdf":"https://www.ncbi.nlm.nih.gov/pmc/articles/PMC11787024/pdf/","citationCount":"0","resultStr":"{\"title\":\"Mucopolysaccharidoses types I and IIIA: Diagnosis and identification of novel polymorphisms associated with common mutations in Moroccan patients\",\"authors\":\"Houda El Fissi ,&nbsp;Fadoua Bouzid ,&nbsp;Mohammed Said Sebbar ,&nbsp;Mohammed Amine Serghini ,&nbsp;Fouad Msanda ,&nbsp;Najat Alif\",\"doi\":\"10.1016/j.ymgmr.2025.101186\",\"DOIUrl\":null,\"url\":null,\"abstract\":\"<div><h3>Background</h3><div>Mucopolysaccharidoses types I and IIIA are lysosomal storage diseases caused by mutations in the <em>IDUA</em> and <em>SGSH</em> genes, leading to deficiencies in α-L-iduronidase and heparan sulfamidase, respectively. These progressive, autosomal recessive disorders require early diagnosis.</div></div><div><h3>Purpose</h3><div>The study targeted and investigated the p.Pro533Arg mutation, known to cause mucopolysaccharidosis type I, and the p.Arg377Cys mutation, associated with mucopolysaccharidosis IIIA, in newly recruited Moroccan families. In parallel, variants/polymorphisms associated with these mutations were searched for.</div></div><div><h3>Methods</h3><div>Researchers employed RFLP assays for the p.Pro533Arg and p.Arg377Cys mutations and genomic PCR sequencing for variant detection. PolyPhen-2, MutPred2, SIFT, and MutationTaster were used to assess the pathogenicity of these variants, helping to evaluate their potential impact on disease.</div></div><div><h3>Results</h3><div>The p.Pro533Arg mutation was found in newly recruited families with Hurler syndrome, consistent with previous findings. Similarly, the p.Arg377Cys mutation was present in a newly recruited family with Sanfilippo A syndrome. DNA sequencing revealed five SNPs four in the <em>IDUA</em> gene and one in the <em>SGSH</em> gene with three <em>IDUA</em> SNPs and one <em>SGSH</em> SNP being novel.</div></div><div><h3>Conclusion</h3><div>The p.Pro533Arg and p.Arg377Cys mutations are common among Moroccan patients with MPS I and MPS IIIA, respectively. The ability to detect these mutations using restriction endonucleases allows for molecular diagnosis in affected families. Five polymorphisms were identified among them four are novel.</div></div>\",\"PeriodicalId\":18814,\"journal\":{\"name\":\"Molecular Genetics and Metabolism Reports\",\"volume\":\"42 \",\"pages\":\"Article 101186\"},\"PeriodicalIF\":1.9000,\"publicationDate\":\"2025-01-16\",\"publicationTypes\":\"Journal Article\",\"fieldsOfStudy\":null,\"isOpenAccess\":false,\"openAccessPdf\":\"https://www.ncbi.nlm.nih.gov/pmc/articles/PMC11787024/pdf/\",\"citationCount\":\"0\",\"resultStr\":null,\"platform\":\"Semanticscholar\",\"paperid\":null,\"PeriodicalName\":\"Molecular Genetics and Metabolism Reports\",\"FirstCategoryId\":\"3\",\"ListUrlMain\":\"https://www.sciencedirect.com/science/article/pii/S2214426925000011\",\"RegionNum\":4,\"RegionCategory\":\"医学\",\"ArticlePicture\":[],\"TitleCN\":null,\"AbstractTextCN\":null,\"PMCID\":null,\"EPubDate\":\"\",\"PubModel\":\"\",\"JCR\":\"Q3\",\"JCRName\":\"GENETICS & HEREDITY\",\"Score\":null,\"Total\":0}","platform":"Semanticscholar","paperid":null,"PeriodicalName":"Molecular Genetics and Metabolism Reports","FirstCategoryId":"3","ListUrlMain":"https://www.sciencedirect.com/science/article/pii/S2214426925000011","RegionNum":4,"RegionCategory":"医学","ArticlePicture":[],"TitleCN":null,"AbstractTextCN":null,"PMCID":null,"EPubDate":"","PubModel":"","JCR":"Q3","JCRName":"GENETICS & HEREDITY","Score":null,"Total":0}
引用次数: 0

摘要

背景:粘多糖病I型和IIIA型是由IDUA和SGSH基因突变引起的溶酶体贮积性疾病,分别导致α- l -伊杜糖醛酸酶和肝素磺胺酶缺乏。这些进行性常染色体隐性遗传病需要早期诊断。目的:在新招募的摩洛哥家庭中,研究了已知引起粘多糖病I型的p.Pro533Arg突变和与粘多糖病IIIA相关的p.Arg377Cys突变。同时,搜索与这些突变相关的变体/多态性。方法:采用RFLP法检测p.Pro533Arg和p.Arg377Cys突变,并进行基因组PCR测序进行变异检测。polyphen2、MutPred2、SIFT和MutationTaster被用来评估这些变异的致病性,帮助评估它们对疾病的潜在影响。结果:在新招募的Hurler综合征家族中发现p.p pro533arg突变,与先前的研究结果一致。同样,p.a g377cys突变也出现在一个新招募的三filippo a综合征家族中。DNA测序发现5个SNP, 4个在IDUA基因,1个在SGSH基因,其中3个IDUA SNP和1个SGSH SNP是新发现的。结论:p.Pro533Arg和p.Arg377Cys突变分别在摩洛哥MPS I和MPS IIIA患者中普遍存在。利用限制性内切酶检测这些突变的能力允许在受影响的家庭中进行分子诊断。鉴定出5个多态性,其中4个是新发现的。
本文章由计算机程序翻译,如有差异,请以英文原文为准。

Mucopolysaccharidoses types I and IIIA: Diagnosis and identification of novel polymorphisms associated with common mutations in Moroccan patients

Mucopolysaccharidoses types I and IIIA: Diagnosis and identification of novel polymorphisms associated with common mutations in Moroccan patients

Mucopolysaccharidoses types I and IIIA: Diagnosis and identification of novel polymorphisms associated with common mutations in Moroccan patients

Mucopolysaccharidoses types I and IIIA: Diagnosis and identification of novel polymorphisms associated with common mutations in Moroccan patients

Background

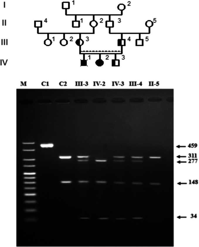
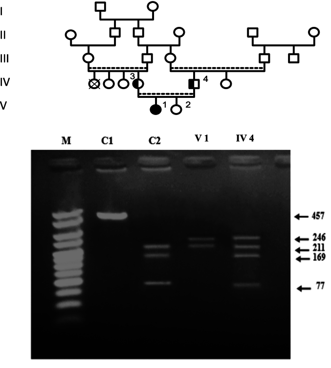
Mucopolysaccharidoses types I and IIIA are lysosomal storage diseases caused by mutations in the IDUA and SGSH genes, leading to deficiencies in α-L-iduronidase and heparan sulfamidase, respectively. These progressive, autosomal recessive disorders require early diagnosis.

Purpose

The study targeted and investigated the p.Pro533Arg mutation, known to cause mucopolysaccharidosis type I, and the p.Arg377Cys mutation, associated with mucopolysaccharidosis IIIA, in newly recruited Moroccan families. In parallel, variants/polymorphisms associated with these mutations were searched for.

Methods

Researchers employed RFLP assays for the p.Pro533Arg and p.Arg377Cys mutations and genomic PCR sequencing for variant detection. PolyPhen-2, MutPred2, SIFT, and MutationTaster were used to assess the pathogenicity of these variants, helping to evaluate their potential impact on disease.

Results

The p.Pro533Arg mutation was found in newly recruited families with Hurler syndrome, consistent with previous findings. Similarly, the p.Arg377Cys mutation was present in a newly recruited family with Sanfilippo A syndrome. DNA sequencing revealed five SNPs four in the IDUA gene and one in the SGSH gene with three IDUA SNPs and one SGSH SNP being novel.

Conclusion

The p.Pro533Arg and p.Arg377Cys mutations are common among Moroccan patients with MPS I and MPS IIIA, respectively. The ability to detect these mutations using restriction endonucleases allows for molecular diagnosis in affected families. Five polymorphisms were identified among them four are novel.
求助全文
通过发布文献求助,成功后即可免费获取论文全文。 去求助
来源期刊
Molecular Genetics and Metabolism Reports
Molecular Genetics and Metabolism Reports Biochemistry, Genetics and Molecular Biology-Endocrinology
CiteScore
4.00
自引率
5.30%
发文量
105
审稿时长
33 days
期刊介绍: Molecular Genetics and Metabolism Reports is an open access journal that publishes molecular and metabolic reports describing investigations that use the tools of biochemistry and molecular biology for studies of normal and diseased states. In addition to original research articles, sequence reports, brief communication reports and letters to the editor are considered.
×
引用
GB/T 7714-2015
复制
MLA
复制
APA
复制
导出至
BibTeX EndNote RefMan NoteFirst NoteExpress
×
提示
您的信息不完整,为了账户安全,请先补充。
现在去补充
×
提示
您因"违规操作"
具体请查看互助需知
我知道了
×
提示
确定
请完成安全验证×
copy
已复制链接
快去分享给好友吧!
我知道了
右上角分享
点击右上角分享
0
联系我们:info@booksci.cn Book学术提供免费学术资源搜索服务,方便国内外学者检索中英文文献。致力于提供最便捷和优质的服务体验。 Copyright © 2023 布克学术 All rights reserved.
京ICP备2023020795号-1
ghs 京公网安备 11010802042870号
Book学术文献互助
Book学术文献互助群
群 号:604180095
Book学术官方微信