SARS-CoV-2感染后Graves眼病和双血清阴性重症肌无力合并加重

JCEM case reports Pub Date : 2025-01-29 eCollection Date: 2025-02-01 DOI:10.1210/jcemcr/luaf019
Yuto Nakano, Ken Takeshima, Yasushi Furukawa, Shuhei Morita, Mayumi Sakata, Taka-Aki Matsuoka
{"title":"SARS-CoV-2感染后Graves眼病和双血清阴性重症肌无力合并加重","authors":"Yuto Nakano, Ken Takeshima, Yasushi Furukawa, Shuhei Morita, Mayumi Sakata, Taka-Aki Matsuoka","doi":"10.1210/jcemcr/luaf019","DOIUrl":null,"url":null,"abstract":"<p><p>SARS-CoV-2 infection could trigger autoimmune disease. We report a case of concomitant exacerbation of Graves orbitopathy (GO) and myasthenia gravis (MG) after SARS-CoV-2 infection. A 43-year-old woman had diplopia, proptosis, and swollen eyelids. Blood tests showed thyrotoxicosis and positive thyroid-stimulating hormone receptor antibodies, and orbital magnetic resonance imaging (MRI) showed enlarged extraocular muscles. She was therefore referred to our hospital with diagnosis of GO. Methylprednisolone pulse therapy (MPT) in combination with orbital radiotherapy were performed for 3 weeks, and ocular symptoms improved. At 41 weeks, the patient was infected with SARS-CoV-2 and felt sudden worsening of diplopia and ptosis. MRI showed an enlarged right inferior rectus muscle. MPT and orbital radiotherapy were performed again for 3 weeks for the suspected GO, but there was insufficient improvement of the ptosis. Serum antiacetylcholine receptor and anti-muscle-specific tyrosine kinase antibodies were negative, but the patient was further evaluated with repetitive nerve stimulation test and ice pack test, and diagnosis was double-seronegative MG. Pyridostigmine treatment led to dramatic improvement of the ptosis. SARS-CoV-2 infection could exacerbate MG as well as GO. Careful diagnosis is required for ocular symptoms after SARS-CoV-2 infection, especially when there is double-seronegative MG.</p>","PeriodicalId":73540,"journal":{"name":"JCEM case reports","volume":"3 2","pages":"luaf019"},"PeriodicalIF":0.0000,"publicationDate":"2025-01-29","publicationTypes":"Journal Article","fieldsOfStudy":null,"isOpenAccess":false,"openAccessPdf":"https://www.ncbi.nlm.nih.gov/pmc/articles/PMC11775584/pdf/","citationCount":"0","resultStr":"{\"title\":\"Concomitant Exacerbation of Graves Orbitopathy and Double-Seronegative Myasthenia Gravis after SARS-CoV-2 Infection.\",\"authors\":\"Yuto Nakano, Ken Takeshima, Yasushi Furukawa, Shuhei Morita, Mayumi Sakata, Taka-Aki Matsuoka\",\"doi\":\"10.1210/jcemcr/luaf019\",\"DOIUrl\":null,\"url\":null,\"abstract\":\"<p><p>SARS-CoV-2 infection could trigger autoimmune disease. We report a case of concomitant exacerbation of Graves orbitopathy (GO) and myasthenia gravis (MG) after SARS-CoV-2 infection. A 43-year-old woman had diplopia, proptosis, and swollen eyelids. Blood tests showed thyrotoxicosis and positive thyroid-stimulating hormone receptor antibodies, and orbital magnetic resonance imaging (MRI) showed enlarged extraocular muscles. She was therefore referred to our hospital with diagnosis of GO. Methylprednisolone pulse therapy (MPT) in combination with orbital radiotherapy were performed for 3 weeks, and ocular symptoms improved. At 41 weeks, the patient was infected with SARS-CoV-2 and felt sudden worsening of diplopia and ptosis. MRI showed an enlarged right inferior rectus muscle. MPT and orbital radiotherapy were performed again for 3 weeks for the suspected GO, but there was insufficient improvement of the ptosis. Serum antiacetylcholine receptor and anti-muscle-specific tyrosine kinase antibodies were negative, but the patient was further evaluated with repetitive nerve stimulation test and ice pack test, and diagnosis was double-seronegative MG. Pyridostigmine treatment led to dramatic improvement of the ptosis. SARS-CoV-2 infection could exacerbate MG as well as GO. Careful diagnosis is required for ocular symptoms after SARS-CoV-2 infection, especially when there is double-seronegative MG.</p>\",\"PeriodicalId\":73540,\"journal\":{\"name\":\"JCEM case reports\",\"volume\":\"3 2\",\"pages\":\"luaf019\"},\"PeriodicalIF\":0.0000,\"publicationDate\":\"2025-01-29\",\"publicationTypes\":\"Journal Article\",\"fieldsOfStudy\":null,\"isOpenAccess\":false,\"openAccessPdf\":\"https://www.ncbi.nlm.nih.gov/pmc/articles/PMC11775584/pdf/\",\"citationCount\":\"0\",\"resultStr\":null,\"platform\":\"Semanticscholar\",\"paperid\":null,\"PeriodicalName\":\"JCEM case reports\",\"FirstCategoryId\":\"1085\",\"ListUrlMain\":\"https://doi.org/10.1210/jcemcr/luaf019\",\"RegionNum\":0,\"RegionCategory\":null,\"ArticlePicture\":[],\"TitleCN\":null,\"AbstractTextCN\":null,\"PMCID\":null,\"EPubDate\":\"2025/2/1 0:00:00\",\"PubModel\":\"eCollection\",\"JCR\":\"\",\"JCRName\":\"\",\"Score\":null,\"Total\":0}","platform":"Semanticscholar","paperid":null,"PeriodicalName":"JCEM case reports","FirstCategoryId":"1085","ListUrlMain":"https://doi.org/10.1210/jcemcr/luaf019","RegionNum":0,"RegionCategory":null,"ArticlePicture":[],"TitleCN":null,"AbstractTextCN":null,"PMCID":null,"EPubDate":"2025/2/1 0:00:00","PubModel":"eCollection","JCR":"","JCRName":"","Score":null,"Total":0}
引用次数: 0

摘要

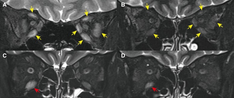
SARS-CoV-2感染可能引发自身免疫性疾病。我们报告一例SARS-CoV-2感染后Graves眼病(GO)和重症肌无力(MG)的合并加重。43岁女性,复视、眼球突出、眼睑肿胀。血液检查显示甲状腺毒症和促甲状腺激素受体抗体阳性,眼眶磁共振(MRI)显示眼外肌肿大。因此,她被诊断为GO转介到我们医院。甲泼尼龙脉冲治疗(MPT)联合眼眶放射治疗3周,眼部症状得到改善。41周时,患者感染了SARS-CoV-2,并感到复视和上睑下垂突然恶化。MRI显示右下直肌肿大。疑似GO再次行MPT和眼眶放疗3周,但上睑下垂改善不足。血清抗乙酰胆碱受体和抗肌肉特异性酪氨酸激酶抗体均为阴性,但通过反复神经刺激试验和冰袋试验进一步评估患者,诊断为双血清阴性MG。吡哆斯的明治疗可显著改善上睑下垂。SARS-CoV-2感染可加重MG和GO。SARS-CoV-2感染后的眼部症状需要仔细诊断,特别是双血清MG阴性时。
本文章由计算机程序翻译,如有差异,请以英文原文为准。

Concomitant Exacerbation of Graves Orbitopathy and Double-Seronegative Myasthenia Gravis after SARS-CoV-2 Infection.

Concomitant Exacerbation of Graves Orbitopathy and Double-Seronegative Myasthenia Gravis after SARS-CoV-2 Infection.

Concomitant Exacerbation of Graves Orbitopathy and Double-Seronegative Myasthenia Gravis after SARS-CoV-2 Infection.

Concomitant Exacerbation of Graves Orbitopathy and Double-Seronegative Myasthenia Gravis after SARS-CoV-2 Infection.

SARS-CoV-2 infection could trigger autoimmune disease. We report a case of concomitant exacerbation of Graves orbitopathy (GO) and myasthenia gravis (MG) after SARS-CoV-2 infection. A 43-year-old woman had diplopia, proptosis, and swollen eyelids. Blood tests showed thyrotoxicosis and positive thyroid-stimulating hormone receptor antibodies, and orbital magnetic resonance imaging (MRI) showed enlarged extraocular muscles. She was therefore referred to our hospital with diagnosis of GO. Methylprednisolone pulse therapy (MPT) in combination with orbital radiotherapy were performed for 3 weeks, and ocular symptoms improved. At 41 weeks, the patient was infected with SARS-CoV-2 and felt sudden worsening of diplopia and ptosis. MRI showed an enlarged right inferior rectus muscle. MPT and orbital radiotherapy were performed again for 3 weeks for the suspected GO, but there was insufficient improvement of the ptosis. Serum antiacetylcholine receptor and anti-muscle-specific tyrosine kinase antibodies were negative, but the patient was further evaluated with repetitive nerve stimulation test and ice pack test, and diagnosis was double-seronegative MG. Pyridostigmine treatment led to dramatic improvement of the ptosis. SARS-CoV-2 infection could exacerbate MG as well as GO. Careful diagnosis is required for ocular symptoms after SARS-CoV-2 infection, especially when there is double-seronegative MG.

求助全文
通过发布文献求助,成功后即可免费获取论文全文。 去求助
来源期刊
自引率
0.00%
发文量
0
×
引用
GB/T 7714-2015
复制
MLA
复制
APA
复制
导出至
BibTeX EndNote RefMan NoteFirst NoteExpress
×
提示
您的信息不完整,为了账户安全,请先补充。
现在去补充
×
提示
您因"违规操作"
具体请查看互助需知
我知道了
×
提示
确定
请完成安全验证×
copy
已复制链接
快去分享给好友吧!
我知道了
右上角分享
点击右上角分享
0
联系我们:info@booksci.cn Book学术提供免费学术资源搜索服务,方便国内外学者检索中英文文献。致力于提供最便捷和优质的服务体验。 Copyright © 2023 布克学术 All rights reserved.
京ICP备2023020795号-1
ghs 京公网安备 11010802042870号
Book学术文献互助
Book学术文献互助群
群 号:604180095
Book学术官方微信