一名患有结核病免疫重建炎症综合征的晚期艾滋病患者因皮质类固醇而诱发卡波西肉瘤。

IF 0.7 Q4 INFECTIOUS DISEASES
Harshith B Kadnur, Haripriya Challa Reddy, Balasaheb Wanve, Rumapriya Sonowal, Hardik Rughwani, Anuradha Sekaran
{"title":"一名患有结核病免疫重建炎症综合征的晚期艾滋病患者因皮质类固醇而诱发卡波西肉瘤。","authors":"Harshith B Kadnur, Haripriya Challa Reddy, Balasaheb Wanve, Rumapriya Sonowal, Hardik Rughwani, Anuradha Sekaran","doi":"10.4103/ijstd.ijstd_8_24","DOIUrl":null,"url":null,"abstract":"<p><p>In this case report, we present a 35-year-old homosexual man with advanced HIV disease and disseminated tuberculosis (TB) who developed paradoxical TB immune reconstitution inflammatory syndrome (IRIS). Corticosteroids, vital in life-threatening IRIS, were initiated, resulting in symptom resolution but unmasking AIDS-associated Kaposi's sarcoma (KS). Diagnostic confirmation revealed disseminated KS, necessitating a comprehensive therapeutic strategy involving chemotherapy and thalidomide as a steroid-sparing agent. This case underscores the complexity of managing advanced HIV disease with IRIS, emphasizing the cautious use of corticosteroids due to the potential risk of KS unmasking. The report contributes to the limited documentation of indigenous HIV-associated KS cases in India and highlights the need for vigilant monitoring and careful therapeutic decisions in this population.</p>","PeriodicalId":44880,"journal":{"name":"Indian Journal of Sexually Transmitted Diseases and AIDS","volume":"45 2","pages":"141-143"},"PeriodicalIF":0.7000,"publicationDate":"2024-07-01","publicationTypes":"Journal Article","fieldsOfStudy":null,"isOpenAccess":false,"openAccessPdf":"https://www.ncbi.nlm.nih.gov/pmc/articles/PMC11776919/pdf/","citationCount":"0","resultStr":"{\"title\":\"Kaposi's sarcoma unmasked by corticosteroids in an advanced HIV patient with tuberculosis immune reconstitution inflammatory syndrome.\",\"authors\":\"Harshith B Kadnur, Haripriya Challa Reddy, Balasaheb Wanve, Rumapriya Sonowal, Hardik Rughwani, Anuradha Sekaran\",\"doi\":\"10.4103/ijstd.ijstd_8_24\",\"DOIUrl\":null,\"url\":null,\"abstract\":\"<p><p>In this case report, we present a 35-year-old homosexual man with advanced HIV disease and disseminated tuberculosis (TB) who developed paradoxical TB immune reconstitution inflammatory syndrome (IRIS). Corticosteroids, vital in life-threatening IRIS, were initiated, resulting in symptom resolution but unmasking AIDS-associated Kaposi's sarcoma (KS). Diagnostic confirmation revealed disseminated KS, necessitating a comprehensive therapeutic strategy involving chemotherapy and thalidomide as a steroid-sparing agent. This case underscores the complexity of managing advanced HIV disease with IRIS, emphasizing the cautious use of corticosteroids due to the potential risk of KS unmasking. The report contributes to the limited documentation of indigenous HIV-associated KS cases in India and highlights the need for vigilant monitoring and careful therapeutic decisions in this population.</p>\",\"PeriodicalId\":44880,\"journal\":{\"name\":\"Indian Journal of Sexually Transmitted Diseases and AIDS\",\"volume\":\"45 2\",\"pages\":\"141-143\"},\"PeriodicalIF\":0.7000,\"publicationDate\":\"2024-07-01\",\"publicationTypes\":\"Journal Article\",\"fieldsOfStudy\":null,\"isOpenAccess\":false,\"openAccessPdf\":\"https://www.ncbi.nlm.nih.gov/pmc/articles/PMC11776919/pdf/\",\"citationCount\":\"0\",\"resultStr\":null,\"platform\":\"Semanticscholar\",\"paperid\":null,\"PeriodicalName\":\"Indian Journal of Sexually Transmitted Diseases and AIDS\",\"FirstCategoryId\":\"1085\",\"ListUrlMain\":\"https://doi.org/10.4103/ijstd.ijstd_8_24\",\"RegionNum\":0,\"RegionCategory\":null,\"ArticlePicture\":[],\"TitleCN\":null,\"AbstractTextCN\":null,\"PMCID\":null,\"EPubDate\":\"2024/12/13 0:00:00\",\"PubModel\":\"Epub\",\"JCR\":\"Q4\",\"JCRName\":\"INFECTIOUS DISEASES\",\"Score\":null,\"Total\":0}","platform":"Semanticscholar","paperid":null,"PeriodicalName":"Indian Journal of Sexually Transmitted Diseases and AIDS","FirstCategoryId":"1085","ListUrlMain":"https://doi.org/10.4103/ijstd.ijstd_8_24","RegionNum":0,"RegionCategory":null,"ArticlePicture":[],"TitleCN":null,"AbstractTextCN":null,"PMCID":null,"EPubDate":"2024/12/13 0:00:00","PubModel":"Epub","JCR":"Q4","JCRName":"INFECTIOUS DISEASES","Score":null,"Total":0}
引用次数: 0

摘要

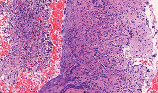
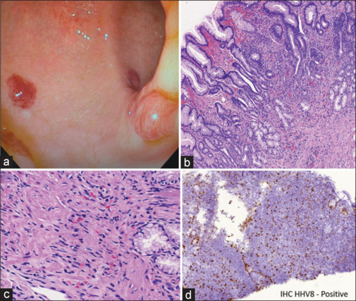
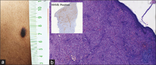
在这个病例报告中,我们提出了一个35岁的同性恋男性,患有晚期艾滋病和播散性结核病(TB),他发展为矛盾的结核病免疫重建炎症综合征(IRIS)。对危及生命的IRIS至关重要的皮质类固醇开始治疗,导致症状缓解,但暴露了艾滋病相关的卡波西氏肉瘤(KS)。诊断证实显示弥散性KS,需要综合治疗策略,包括化疗和沙利度胺作为类固醇节约剂。该病例强调了IRIS治疗晚期HIV疾病的复杂性,强调了由于KS暴露的潜在风险而谨慎使用皮质类固醇。该报告补充了印度本土艾滋病毒相关KS病例的有限记录,并强调了对这一人群进行警惕监测和谨慎治疗决策的必要性。
本文章由计算机程序翻译,如有差异,请以英文原文为准。

Kaposi's sarcoma unmasked by corticosteroids in an advanced HIV patient with tuberculosis immune reconstitution inflammatory syndrome.

Kaposi's sarcoma unmasked by corticosteroids in an advanced HIV patient with tuberculosis immune reconstitution inflammatory syndrome.

Kaposi's sarcoma unmasked by corticosteroids in an advanced HIV patient with tuberculosis immune reconstitution inflammatory syndrome.

Kaposi's sarcoma unmasked by corticosteroids in an advanced HIV patient with tuberculosis immune reconstitution inflammatory syndrome.

In this case report, we present a 35-year-old homosexual man with advanced HIV disease and disseminated tuberculosis (TB) who developed paradoxical TB immune reconstitution inflammatory syndrome (IRIS). Corticosteroids, vital in life-threatening IRIS, were initiated, resulting in symptom resolution but unmasking AIDS-associated Kaposi's sarcoma (KS). Diagnostic confirmation revealed disseminated KS, necessitating a comprehensive therapeutic strategy involving chemotherapy and thalidomide as a steroid-sparing agent. This case underscores the complexity of managing advanced HIV disease with IRIS, emphasizing the cautious use of corticosteroids due to the potential risk of KS unmasking. The report contributes to the limited documentation of indigenous HIV-associated KS cases in India and highlights the need for vigilant monitoring and careful therapeutic decisions in this population.

求助全文
通过发布文献求助,成功后即可免费获取论文全文。 去求助
来源期刊
CiteScore
0.60
自引率
25.00%
发文量
34
×
引用
GB/T 7714-2015
复制
MLA
复制
APA
复制
导出至
BibTeX EndNote RefMan NoteFirst NoteExpress
×
提示
您的信息不完整,为了账户安全,请先补充。
现在去补充
×
提示
您因"违规操作"
具体请查看互助需知
我知道了
×
提示
确定
请完成安全验证×
copy
已复制链接
快去分享给好友吧!
我知道了
右上角分享
点击右上角分享
0
联系我们:info@booksci.cn Book学术提供免费学术资源搜索服务,方便国内外学者检索中英文文献。致力于提供最便捷和优质的服务体验。 Copyright © 2023 布克学术 All rights reserved.
京ICP备2023020795号-1
ghs 京公网安备 11010802042870号
Book学术文献互助
Book学术文献互助群
群 号:604180095
Book学术官方微信