新的NOTCH3突变c.1564t>a (p.Cys522Ser)表现为早发性帕金森病和白质病变。

IF 1.8 Q3 CLINICAL NEUROLOGY
Nicola Rifino , Silvia Baratta , Esteban Zacarias , Isabella Canavero , Benedetta Storti , Mario Stanziano , Emanuela Maderna , Gianluca Marucci , Franco Taroni , Anna Bersano
{"title":"新的NOTCH3突变c.1564t>a (p.Cys522Ser)表现为早发性帕金森病和白质病变。","authors":"Nicola Rifino ,&nbsp;Silvia Baratta ,&nbsp;Esteban Zacarias ,&nbsp;Isabella Canavero ,&nbsp;Benedetta Storti ,&nbsp;Mario Stanziano ,&nbsp;Emanuela Maderna ,&nbsp;Gianluca Marucci ,&nbsp;Franco Taroni ,&nbsp;Anna Bersano","doi":"10.1016/j.prdoa.2025.100297","DOIUrl":null,"url":null,"abstract":"<div><div>CADASIL (Cerebral Autosomal Dominant Arteriopathy with Subcortical Infarcts and Leukoencephalopathy) is a hereditary small vessel disease caused by mutations in the NOTCH3 gene, characterized by recurrent strokes, cognitive decline, and psychiatric symptoms. This report presents a novel NOTCH3 c.1564 T &gt; A (p.Cys522Ser) mutation associated with early-onset parkinsonism and significant white matter lesions. We describe a patient who presented with early-onset parkinsonism, characterized by bradykinesia and rigidity, alongside extensive white matter lesions observed through neuroimaging. Genetic testing revealed a novel c.1564 T &gt; A (p.Cys522Ser) mutation in the NOTCH3 gene, contributing to the clinical diagnosis of CADASIL. This case underscores the phenotypic variability of CADASIL and the potential for atypical presentations, including parkinsonism. Early identification of genetic mutations can facilitate appropriate management and counseling for affected individuals and their families. Further research is warranted to explore the mechanisms underlying the association between NOTCH3 mutations and parkinsonism. Our findings contribute to the understanding of CADASIL, suggesting that clinicians should consider CADASIL in differential diagnoses of early-onset parkinsonism, especially in patients with concurrent white matter lesions.</div></div>","PeriodicalId":33691,"journal":{"name":"Clinical Parkinsonism Related Disorders","volume":"12 ","pages":"Article 100297"},"PeriodicalIF":1.8000,"publicationDate":"2025-01-01","publicationTypes":"Journal Article","fieldsOfStudy":null,"isOpenAccess":false,"openAccessPdf":"https://www.ncbi.nlm.nih.gov/pmc/articles/PMC11773460/pdf/","citationCount":"0","resultStr":"{\"title\":\"Novel NOTCH3 mutation c.1564 T > A (p.Cys522Ser) presenting with early-onset Parkinsonism and white matter lesions\",\"authors\":\"Nicola Rifino ,&nbsp;Silvia Baratta ,&nbsp;Esteban Zacarias ,&nbsp;Isabella Canavero ,&nbsp;Benedetta Storti ,&nbsp;Mario Stanziano ,&nbsp;Emanuela Maderna ,&nbsp;Gianluca Marucci ,&nbsp;Franco Taroni ,&nbsp;Anna Bersano\",\"doi\":\"10.1016/j.prdoa.2025.100297\",\"DOIUrl\":null,\"url\":null,\"abstract\":\"<div><div>CADASIL (Cerebral Autosomal Dominant Arteriopathy with Subcortical Infarcts and Leukoencephalopathy) is a hereditary small vessel disease caused by mutations in the NOTCH3 gene, characterized by recurrent strokes, cognitive decline, and psychiatric symptoms. This report presents a novel NOTCH3 c.1564 T &gt; A (p.Cys522Ser) mutation associated with early-onset parkinsonism and significant white matter lesions. We describe a patient who presented with early-onset parkinsonism, characterized by bradykinesia and rigidity, alongside extensive white matter lesions observed through neuroimaging. Genetic testing revealed a novel c.1564 T &gt; A (p.Cys522Ser) mutation in the NOTCH3 gene, contributing to the clinical diagnosis of CADASIL. This case underscores the phenotypic variability of CADASIL and the potential for atypical presentations, including parkinsonism. Early identification of genetic mutations can facilitate appropriate management and counseling for affected individuals and their families. Further research is warranted to explore the mechanisms underlying the association between NOTCH3 mutations and parkinsonism. Our findings contribute to the understanding of CADASIL, suggesting that clinicians should consider CADASIL in differential diagnoses of early-onset parkinsonism, especially in patients with concurrent white matter lesions.</div></div>\",\"PeriodicalId\":33691,\"journal\":{\"name\":\"Clinical Parkinsonism Related Disorders\",\"volume\":\"12 \",\"pages\":\"Article 100297\"},\"PeriodicalIF\":1.8000,\"publicationDate\":\"2025-01-01\",\"publicationTypes\":\"Journal Article\",\"fieldsOfStudy\":null,\"isOpenAccess\":false,\"openAccessPdf\":\"https://www.ncbi.nlm.nih.gov/pmc/articles/PMC11773460/pdf/\",\"citationCount\":\"0\",\"resultStr\":null,\"platform\":\"Semanticscholar\",\"paperid\":null,\"PeriodicalName\":\"Clinical Parkinsonism Related Disorders\",\"FirstCategoryId\":\"1085\",\"ListUrlMain\":\"https://www.sciencedirect.com/science/article/pii/S2590112525000015\",\"RegionNum\":0,\"RegionCategory\":null,\"ArticlePicture\":[],\"TitleCN\":null,\"AbstractTextCN\":null,\"PMCID\":null,\"EPubDate\":\"\",\"PubModel\":\"\",\"JCR\":\"Q3\",\"JCRName\":\"CLINICAL NEUROLOGY\",\"Score\":null,\"Total\":0}","platform":"Semanticscholar","paperid":null,"PeriodicalName":"Clinical Parkinsonism Related Disorders","FirstCategoryId":"1085","ListUrlMain":"https://www.sciencedirect.com/science/article/pii/S2590112525000015","RegionNum":0,"RegionCategory":null,"ArticlePicture":[],"TitleCN":null,"AbstractTextCN":null,"PMCID":null,"EPubDate":"","PubModel":"","JCR":"Q3","JCRName":"CLINICAL NEUROLOGY","Score":null,"Total":0}
引用次数: 0

摘要

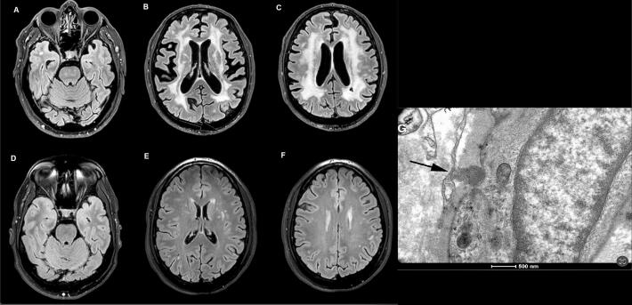
CADASIL(大脑常染色体显性动脉病变伴皮质下梗死和脑白质病)是一种由NOTCH3基因突变引起的遗传性小血管疾病,以复发性中风、认知能力下降和精神症状为特征。本报告提出了一种新颖的NOTCH3 c.1564t>a (p.Cys522Ser)突变与早发性帕金森病和显著白质病变相关。我们描述了一位表现为早发性帕金森病的患者,其特征是运动迟缓和僵硬,同时通过神经影像学观察到广泛的白质病变。基因检测发现了一种新的c.1564NOTCH3基因中的T > A (p.Cys522Ser)突变,有助于CADASIL的临床诊断。该病例强调了CADASIL的表型变异性和非典型表现的可能性,包括帕金森病。基因突变的早期识别有助于对受影响的个人及其家庭进行适当的管理和咨询。NOTCH3突变与帕金森病之间的关联机制有待进一步研究。我们的研究结果有助于理解CADASIL,建议临床医生在早发性帕金森病的鉴别诊断中考虑CADASIL,特别是在并发白质病变的患者中。
本文章由计算机程序翻译,如有差异,请以英文原文为准。

Novel NOTCH3 mutation c.1564 T > A (p.Cys522Ser) presenting with early-onset Parkinsonism and white matter lesions

Novel NOTCH3 mutation c.1564 T > A (p.Cys522Ser) presenting with early-onset Parkinsonism and white matter lesions
CADASIL (Cerebral Autosomal Dominant Arteriopathy with Subcortical Infarcts and Leukoencephalopathy) is a hereditary small vessel disease caused by mutations in the NOTCH3 gene, characterized by recurrent strokes, cognitive decline, and psychiatric symptoms. This report presents a novel NOTCH3 c.1564 T > A (p.Cys522Ser) mutation associated with early-onset parkinsonism and significant white matter lesions. We describe a patient who presented with early-onset parkinsonism, characterized by bradykinesia and rigidity, alongside extensive white matter lesions observed through neuroimaging. Genetic testing revealed a novel c.1564 T > A (p.Cys522Ser) mutation in the NOTCH3 gene, contributing to the clinical diagnosis of CADASIL. This case underscores the phenotypic variability of CADASIL and the potential for atypical presentations, including parkinsonism. Early identification of genetic mutations can facilitate appropriate management and counseling for affected individuals and their families. Further research is warranted to explore the mechanisms underlying the association between NOTCH3 mutations and parkinsonism. Our findings contribute to the understanding of CADASIL, suggesting that clinicians should consider CADASIL in differential diagnoses of early-onset parkinsonism, especially in patients with concurrent white matter lesions.
求助全文
通过发布文献求助,成功后即可免费获取论文全文。 去求助
来源期刊
Clinical Parkinsonism  Related Disorders
Clinical Parkinsonism Related Disorders Medicine-Neurology (clinical)
CiteScore
2.70
自引率
0.00%
发文量
50
审稿时长
98 days
×
引用
GB/T 7714-2015
复制
MLA
复制
APA
复制
导出至
BibTeX EndNote RefMan NoteFirst NoteExpress
×
提示
您的信息不完整,为了账户安全,请先补充。
现在去补充
×
提示
您因"违规操作"
具体请查看互助需知
我知道了
×
提示
确定
请完成安全验证×
copy
已复制链接
快去分享给好友吧!
我知道了
右上角分享
点击右上角分享
0
联系我们:info@booksci.cn Book学术提供免费学术资源搜索服务,方便国内外学者检索中英文文献。致力于提供最便捷和优质的服务体验。 Copyright © 2023 布克学术 All rights reserved.
京ICP备2023020795号-1
ghs 京公网安备 11010802042870号
Book学术文献互助
Book学术文献互助群
群 号:604180095
Book学术官方微信