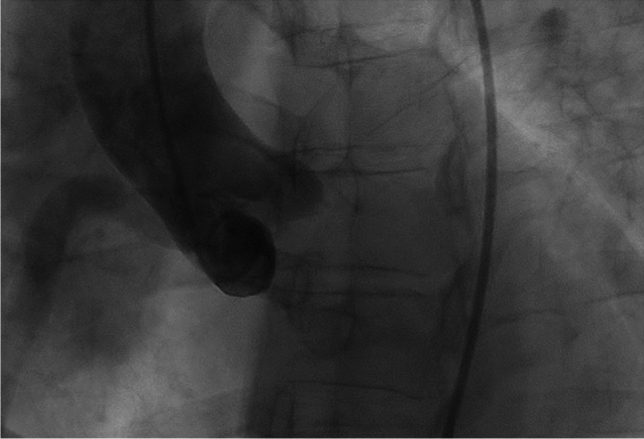
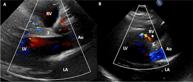
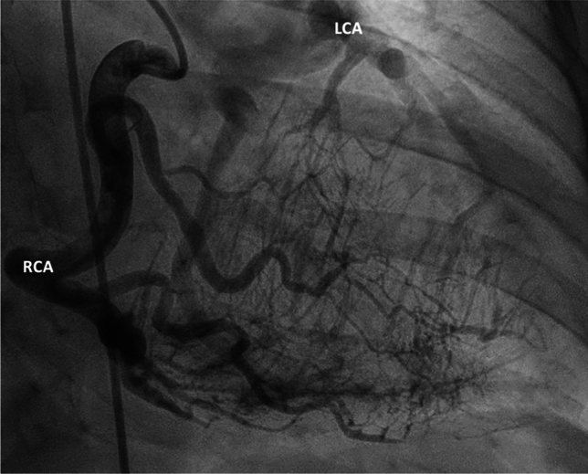
39岁女性妊娠期新诊断ALCAPA综合征。

IF 3.7 2区 医学 Q1 CARDIAC & CARDIOVASCULAR SYSTEMS
Clinical Research in Cardiology Pub Date : 2025-09-01 Epub Date: 2025-01-29 DOI:10.1007/s00392-025-02597-5
Lukas Stolz, Juliane J Schneider, Magda Haum, Heidi Estner, Jörg Hausleiter, Steffen Massberg, Manuela Thienel
{"title":"39岁女性妊娠期新诊断ALCAPA综合征。","authors":"Lukas Stolz, Juliane J Schneider, Magda Haum, Heidi Estner, Jörg Hausleiter, Steffen Massberg, Manuela Thienel","doi":"10.1007/s00392-025-02597-5","DOIUrl":null,"url":null,"abstract":"","PeriodicalId":10474,"journal":{"name":"Clinical Research in Cardiology","volume":" ","pages":"1232-1235"},"PeriodicalIF":3.7000,"publicationDate":"2025-09-01","publicationTypes":"Journal Article","fieldsOfStudy":null,"isOpenAccess":false,"openAccessPdf":"https://www.ncbi.nlm.nih.gov/pmc/articles/PMC12408646/pdf/","citationCount":"0","resultStr":"{\"title\":\"A 39-year-old women with newly diagnosed ALCAPA syndrome during pregnancy.\",\"authors\":\"Lukas Stolz, Juliane J Schneider, Magda Haum, Heidi Estner, Jörg Hausleiter, Steffen Massberg, Manuela Thienel\",\"doi\":\"10.1007/s00392-025-02597-5\",\"DOIUrl\":null,\"url\":null,\"abstract\":\"\",\"PeriodicalId\":10474,\"journal\":{\"name\":\"Clinical Research in Cardiology\",\"volume\":\" \",\"pages\":\"1232-1235\"},\"PeriodicalIF\":3.7000,\"publicationDate\":\"2025-09-01\",\"publicationTypes\":\"Journal Article\",\"fieldsOfStudy\":null,\"isOpenAccess\":false,\"openAccessPdf\":\"https://www.ncbi.nlm.nih.gov/pmc/articles/PMC12408646/pdf/\",\"citationCount\":\"0\",\"resultStr\":null,\"platform\":\"Semanticscholar\",\"paperid\":null,\"PeriodicalName\":\"Clinical Research in Cardiology\",\"FirstCategoryId\":\"3\",\"ListUrlMain\":\"https://doi.org/10.1007/s00392-025-02597-5\",\"RegionNum\":2,\"RegionCategory\":\"医学\",\"ArticlePicture\":[],\"TitleCN\":null,\"AbstractTextCN\":null,\"PMCID\":null,\"EPubDate\":\"2025/1/29 0:00:00\",\"PubModel\":\"Epub\",\"JCR\":\"Q1\",\"JCRName\":\"CARDIAC & CARDIOVASCULAR SYSTEMS\",\"Score\":null,\"Total\":0}","platform":"Semanticscholar","paperid":null,"PeriodicalName":"Clinical Research in Cardiology","FirstCategoryId":"3","ListUrlMain":"https://doi.org/10.1007/s00392-025-02597-5","RegionNum":2,"RegionCategory":"医学","ArticlePicture":[],"TitleCN":null,"AbstractTextCN":null,"PMCID":null,"EPubDate":"2025/1/29 0:00:00","PubModel":"Epub","JCR":"Q1","JCRName":"CARDIAC & CARDIOVASCULAR SYSTEMS","Score":null,"Total":0}
引用次数: 0

摘要

本文章由计算机程序翻译,如有差异,请以英文原文为准。

A 39-year-old women with newly diagnosed ALCAPA syndrome during pregnancy.

A 39-year-old women with newly diagnosed ALCAPA syndrome during pregnancy.

A 39-year-old women with newly diagnosed ALCAPA syndrome during pregnancy.

A 39-year-old women with newly diagnosed ALCAPA syndrome during pregnancy.
求助全文
通过发布文献求助,成功后即可免费获取论文全文。 去求助
来源期刊
Clinical Research in Cardiology
Clinical Research in Cardiology 医学-心血管系统
CiteScore
11.40
自引率
4.00%
发文量
140
审稿时长
4-8 weeks
期刊介绍: Clinical Research in Cardiology is an international journal for clinical cardiovascular research. It provides a forum for original and review articles as well as critical perspective articles. Articles are only accepted if they meet stringent scientific standards and have undergone peer review. The journal regularly receives articles from the field of clinical cardiology, angiology, as well as heart and vascular surgery. As the official journal of the German Cardiac Society, it gives a current and competent survey on the diagnosis and therapy of heart and vascular diseases.
×
引用
GB/T 7714-2015
复制
MLA
复制
APA
复制
导出至
BibTeX EndNote RefMan NoteFirst NoteExpress
×
提示
您的信息不完整,为了账户安全,请先补充。
现在去补充
×
提示
您因"违规操作"
具体请查看互助需知
我知道了
×
提示
确定
请完成安全验证×
copy
已复制链接
快去分享给好友吧!
我知道了
右上角分享
点击右上角分享
0
联系我们:info@booksci.cn Book学术提供免费学术资源搜索服务,方便国内外学者检索中英文文献。致力于提供最便捷和优质的服务体验。 Copyright © 2023 布克学术 All rights reserved.
京ICP备2023020795号-1
ghs 京公网安备 11010802042870号
Book学术文献互助
Book学术文献互助群
群 号:604180095
Book学术官方微信