静脉内子宫平滑肌瘤病延伸至右心房1例报告。

IF 0.6 Q4 PERIPHERAL VASCULAR DISEASE
Annals of vascular diseases Pub Date : 2025-01-01 Epub Date: 2025-01-21 DOI:10.3400/avd.cr.24-00084
Kaori Katsumata, Yasunori Iida, Kento Kuroo, Yu Inaba, Takahisa Miki, Takashi Hachiya, Hideyuki Shimizu
{"title":"静脉内子宫平滑肌瘤病延伸至右心房1例报告。","authors":"Kaori Katsumata, Yasunori Iida, Kento Kuroo, Yu Inaba, Takahisa Miki, Takashi Hachiya, Hideyuki Shimizu","doi":"10.3400/avd.cr.24-00084","DOIUrl":null,"url":null,"abstract":"<p><p>Intravenous leiomyomatosis (IVL) remains scarcely reported, and complete tumor resection is the recommended treatment. Herein, we present a comprehensive review of the case of a 52-year-old woman who suffered from recurrent syncope episodes due to IVL with intracardiac extension to the right atrium. Partial tumor resection and postoperative hormone therapy were conducted first. However, the 6-month postoperative follow-up computed tomography scan revealed a tendency for the IVL to increase in size, and complete resection was conducted. In this article, we would like to emphasize that partial resection followed by hormone therapy is insufficient for IVL, and complete resection should be chosen.</p>","PeriodicalId":7995,"journal":{"name":"Annals of vascular diseases","volume":"18 1","pages":""},"PeriodicalIF":0.6000,"publicationDate":"2025-01-01","publicationTypes":"Journal Article","fieldsOfStudy":null,"isOpenAccess":false,"openAccessPdf":"https://www.ncbi.nlm.nih.gov/pmc/articles/PMC11774521/pdf/","citationCount":"0","resultStr":"{\"title\":\"Intravenous Leiomyomatosis of the Uterus Extending to the Right Atrium: A Case Report.\",\"authors\":\"Kaori Katsumata, Yasunori Iida, Kento Kuroo, Yu Inaba, Takahisa Miki, Takashi Hachiya, Hideyuki Shimizu\",\"doi\":\"10.3400/avd.cr.24-00084\",\"DOIUrl\":null,\"url\":null,\"abstract\":\"<p><p>Intravenous leiomyomatosis (IVL) remains scarcely reported, and complete tumor resection is the recommended treatment. Herein, we present a comprehensive review of the case of a 52-year-old woman who suffered from recurrent syncope episodes due to IVL with intracardiac extension to the right atrium. Partial tumor resection and postoperative hormone therapy were conducted first. However, the 6-month postoperative follow-up computed tomography scan revealed a tendency for the IVL to increase in size, and complete resection was conducted. In this article, we would like to emphasize that partial resection followed by hormone therapy is insufficient for IVL, and complete resection should be chosen.</p>\",\"PeriodicalId\":7995,\"journal\":{\"name\":\"Annals of vascular diseases\",\"volume\":\"18 1\",\"pages\":\"\"},\"PeriodicalIF\":0.6000,\"publicationDate\":\"2025-01-01\",\"publicationTypes\":\"Journal Article\",\"fieldsOfStudy\":null,\"isOpenAccess\":false,\"openAccessPdf\":\"https://www.ncbi.nlm.nih.gov/pmc/articles/PMC11774521/pdf/\",\"citationCount\":\"0\",\"resultStr\":null,\"platform\":\"Semanticscholar\",\"paperid\":null,\"PeriodicalName\":\"Annals of vascular diseases\",\"FirstCategoryId\":\"1085\",\"ListUrlMain\":\"https://doi.org/10.3400/avd.cr.24-00084\",\"RegionNum\":0,\"RegionCategory\":null,\"ArticlePicture\":[],\"TitleCN\":null,\"AbstractTextCN\":null,\"PMCID\":null,\"EPubDate\":\"2025/1/21 0:00:00\",\"PubModel\":\"Epub\",\"JCR\":\"Q4\",\"JCRName\":\"PERIPHERAL VASCULAR DISEASE\",\"Score\":null,\"Total\":0}","platform":"Semanticscholar","paperid":null,"PeriodicalName":"Annals of vascular diseases","FirstCategoryId":"1085","ListUrlMain":"https://doi.org/10.3400/avd.cr.24-00084","RegionNum":0,"RegionCategory":null,"ArticlePicture":[],"TitleCN":null,"AbstractTextCN":null,"PMCID":null,"EPubDate":"2025/1/21 0:00:00","PubModel":"Epub","JCR":"Q4","JCRName":"PERIPHERAL VASCULAR DISEASE","Score":null,"Total":0}
引用次数: 0

摘要

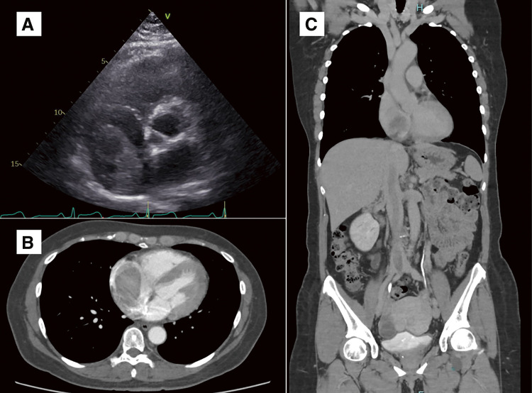
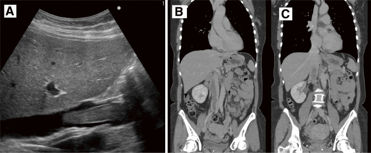
静脉平滑肌瘤病(IVL)仍然很少报道,完全切除肿瘤是推荐的治疗方法。在此,我们提出了一个全面的审查的情况下,52岁的妇女谁遭受复发性晕厥发作由于IVL心内延伸到右心房。先行肿瘤部分切除及术后激素治疗。然而,术后6个月随访的计算机断层扫描显示IVL有增大的趋势,因此进行了完全切除。在本文中,我们想强调的是,部分切除后激素治疗是不够的IVL,应选择完全切除。
本文章由计算机程序翻译,如有差异,请以英文原文为准。

Intravenous Leiomyomatosis of the Uterus Extending to the Right Atrium: A Case Report.

Intravenous Leiomyomatosis of the Uterus Extending to the Right Atrium: A Case Report.

Intravenous Leiomyomatosis of the Uterus Extending to the Right Atrium: A Case Report.

Intravenous Leiomyomatosis of the Uterus Extending to the Right Atrium: A Case Report.

Intravenous leiomyomatosis (IVL) remains scarcely reported, and complete tumor resection is the recommended treatment. Herein, we present a comprehensive review of the case of a 52-year-old woman who suffered from recurrent syncope episodes due to IVL with intracardiac extension to the right atrium. Partial tumor resection and postoperative hormone therapy were conducted first. However, the 6-month postoperative follow-up computed tomography scan revealed a tendency for the IVL to increase in size, and complete resection was conducted. In this article, we would like to emphasize that partial resection followed by hormone therapy is insufficient for IVL, and complete resection should be chosen.

求助全文
通过发布文献求助,成功后即可免费获取论文全文。 去求助
来源期刊
Annals of vascular diseases
Annals of vascular diseases PERIPHERAL VASCULAR DISEASE-
自引率
0.00%
发文量
41
×
引用
GB/T 7714-2015
复制
MLA
复制
APA
复制
导出至
BibTeX EndNote RefMan NoteFirst NoteExpress
×
提示
您的信息不完整,为了账户安全,请先补充。
现在去补充
×
提示
您因"违规操作"
具体请查看互助需知
我知道了
×
提示
确定
请完成安全验证×
copy
已复制链接
快去分享给好友吧!
我知道了
右上角分享
点击右上角分享
0
联系我们:info@booksci.cn Book学术提供免费学术资源搜索服务,方便国内外学者检索中英文文献。致力于提供最便捷和优质的服务体验。 Copyright © 2023 布克学术 All rights reserved.
京ICP备2023020795号-1
ghs 京公网安备 11010802042870号
Book学术文献互助
Book学术文献互助群
群 号:604180095
Book学术官方微信