血管内主动脉修复术治疗原发性冷凝素病腹主动脉瘤。

IF 0.6 Q4 PERIPHERAL VASCULAR DISEASE
Shinichi Tanaka, Takahiro Ohmine, Ryota Imanaka, Takashi Maeda
{"title":"血管内主动脉修复术治疗原发性冷凝素病腹主动脉瘤。","authors":"Shinichi Tanaka, Takahiro Ohmine, Ryota Imanaka, Takashi Maeda","doi":"10.3400/avd.cr.24-00107","DOIUrl":null,"url":null,"abstract":"<p><p>Cold agglutinin disease (CAD) is a rare and autoimmune hemolytic disorder caused by the presence of cold-reacting autoantibodies against red blood cells. An abdominal aortic aneurysm (AAA) is a potentially life-threatening condition. This report describes an 83-year-old man with AAA who was diagnosed with primary CAD 9 years before undergoing AAA surgery. The patient underwent successful endovascular aortic repair. Temporary hemolytic anemia and exacerbation of jaundice were observed postoperatively despite strict temperature control. Red blood cell and haptoglobin transfusions may prevent fatal hemolytic anemia, renal disorders, embolism, and systemic complications.</p>","PeriodicalId":7995,"journal":{"name":"Annals of vascular diseases","volume":"18 1","pages":""},"PeriodicalIF":0.6000,"publicationDate":"2025-01-01","publicationTypes":"Journal Article","fieldsOfStudy":null,"isOpenAccess":false,"openAccessPdf":"https://www.ncbi.nlm.nih.gov/pmc/articles/PMC11771148/pdf/","citationCount":"0","resultStr":"{\"title\":\"Abdominal Aortic Aneurysm with Primary Cold Agglutinin Disease Treated with Endovascular Aortic Repair.\",\"authors\":\"Shinichi Tanaka, Takahiro Ohmine, Ryota Imanaka, Takashi Maeda\",\"doi\":\"10.3400/avd.cr.24-00107\",\"DOIUrl\":null,\"url\":null,\"abstract\":\"<p><p>Cold agglutinin disease (CAD) is a rare and autoimmune hemolytic disorder caused by the presence of cold-reacting autoantibodies against red blood cells. An abdominal aortic aneurysm (AAA) is a potentially life-threatening condition. This report describes an 83-year-old man with AAA who was diagnosed with primary CAD 9 years before undergoing AAA surgery. The patient underwent successful endovascular aortic repair. Temporary hemolytic anemia and exacerbation of jaundice were observed postoperatively despite strict temperature control. Red blood cell and haptoglobin transfusions may prevent fatal hemolytic anemia, renal disorders, embolism, and systemic complications.</p>\",\"PeriodicalId\":7995,\"journal\":{\"name\":\"Annals of vascular diseases\",\"volume\":\"18 1\",\"pages\":\"\"},\"PeriodicalIF\":0.6000,\"publicationDate\":\"2025-01-01\",\"publicationTypes\":\"Journal Article\",\"fieldsOfStudy\":null,\"isOpenAccess\":false,\"openAccessPdf\":\"https://www.ncbi.nlm.nih.gov/pmc/articles/PMC11771148/pdf/\",\"citationCount\":\"0\",\"resultStr\":null,\"platform\":\"Semanticscholar\",\"paperid\":null,\"PeriodicalName\":\"Annals of vascular diseases\",\"FirstCategoryId\":\"1085\",\"ListUrlMain\":\"https://doi.org/10.3400/avd.cr.24-00107\",\"RegionNum\":0,\"RegionCategory\":null,\"ArticlePicture\":[],\"TitleCN\":null,\"AbstractTextCN\":null,\"PMCID\":null,\"EPubDate\":\"\",\"PubModel\":\"\",\"JCR\":\"Q4\",\"JCRName\":\"PERIPHERAL VASCULAR DISEASE\",\"Score\":null,\"Total\":0}","platform":"Semanticscholar","paperid":null,"PeriodicalName":"Annals of vascular diseases","FirstCategoryId":"1085","ListUrlMain":"https://doi.org/10.3400/avd.cr.24-00107","RegionNum":0,"RegionCategory":null,"ArticlePicture":[],"TitleCN":null,"AbstractTextCN":null,"PMCID":null,"EPubDate":"","PubModel":"","JCR":"Q4","JCRName":"PERIPHERAL VASCULAR DISEASE","Score":null,"Total":0}
引用次数: 0

摘要

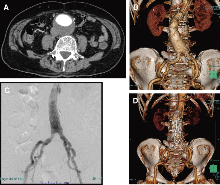
冷凝集素病(CAD)是一种罕见的自身免疫性溶血性疾病,由对红细胞产生冷反应的自身抗体引起。腹主动脉瘤(AAA)是一种潜在的危及生命的疾病。本文报告一位83岁男性AAA患者在接受AAA手术前9年被诊断为原发性CAD。患者接受了成功的血管内主动脉修复。术后虽有严格的体温控制,但仍出现暂时性溶血性贫血和黄疸加重。红血球和触珠蛋白输注可预防致命性溶血性贫血、肾脏疾病、栓塞和全身并发症。
本文章由计算机程序翻译,如有差异,请以英文原文为准。

Abdominal Aortic Aneurysm with Primary Cold Agglutinin Disease Treated with Endovascular Aortic Repair.

Abdominal Aortic Aneurysm with Primary Cold Agglutinin Disease Treated with Endovascular Aortic Repair.

Abdominal Aortic Aneurysm with Primary Cold Agglutinin Disease Treated with Endovascular Aortic Repair.

Abdominal Aortic Aneurysm with Primary Cold Agglutinin Disease Treated with Endovascular Aortic Repair.

Cold agglutinin disease (CAD) is a rare and autoimmune hemolytic disorder caused by the presence of cold-reacting autoantibodies against red blood cells. An abdominal aortic aneurysm (AAA) is a potentially life-threatening condition. This report describes an 83-year-old man with AAA who was diagnosed with primary CAD 9 years before undergoing AAA surgery. The patient underwent successful endovascular aortic repair. Temporary hemolytic anemia and exacerbation of jaundice were observed postoperatively despite strict temperature control. Red blood cell and haptoglobin transfusions may prevent fatal hemolytic anemia, renal disorders, embolism, and systemic complications.

求助全文
通过发布文献求助,成功后即可免费获取论文全文。 去求助
来源期刊
Annals of vascular diseases
Annals of vascular diseases PERIPHERAL VASCULAR DISEASE-
自引率
0.00%
发文量
41
×
引用
GB/T 7714-2015
复制
MLA
复制
APA
复制
导出至
BibTeX EndNote RefMan NoteFirst NoteExpress
×
提示
您的信息不完整,为了账户安全,请先补充。
现在去补充
×
提示
您因"违规操作"
具体请查看互助需知
我知道了
×
提示
确定
请完成安全验证×
copy
已复制链接
快去分享给好友吧!
我知道了
右上角分享
点击右上角分享
0
联系我们:info@booksci.cn Book学术提供免费学术资源搜索服务,方便国内外学者检索中英文文献。致力于提供最便捷和优质的服务体验。 Copyright © 2023 布克学术 All rights reserved.
京ICP备2023020795号-1
ghs 京公网安备 11010802042870号
Book学术文献互助
Book学术文献互助群
群 号:604180095
Book学术官方微信