下颌第三磨牙冠切除术伴牙病理:121颗磨牙的前瞻性队列研究。

IF 1.8 Q3 DENTISTRY, ORAL SURGERY & MEDICINE
Arjan van Bodegraven, Rashida N Simons, Jacco G Tuk, Jan de Lange, Jerome A H Lindeboom
{"title":"下颌第三磨牙冠切除术伴牙病理:121颗磨牙的前瞻性队列研究。","authors":"Arjan van Bodegraven, Rashida N Simons, Jacco G Tuk, Jan de Lange, Jerome A H Lindeboom","doi":"10.1007/s10006-025-01340-8","DOIUrl":null,"url":null,"abstract":"<p><strong>Purpose: </strong>Coronectomy is a valuable treatment proven safe for non-pathological mandibular third molars with an increased risk of inferior alveolar nerve injury. Coronectomy may also be useful for mandibular third molars with dentigerous cysts and caries, but this is not commonly performed due to the lack of well-designed, evidence-based studies. Here, we aim to investigate the safety of coronectomy for mandibular third molars with caries and dentigerous cysts.</p><p><strong>Methods: </strong>One hundred fifteen patients with an impacted mandibular third molar with a dentigerous cyst or caries underwent coronectomy or complete removal and received follow-up with clinical and radiographical examinations. We statistically compared the presence of postoperative complications after coronectomy versus complete removal.</p><p><strong>Results: </strong>Data from 121 molars were available for analysis. The results revealed no significant difference in the occurrence of postoperative complications (including persistent pain, inferior alveolar nerve injury, infection, alveolar osteitis, excessive bleeding, and the need for retreatment) between coronectomy and complete removal. Additionally, the incidence of postoperative complications was not related to any analyzed patient- or molar-related factors, including age, gender, health status, smoking, caries, dentigerous cyst extent, and impaction degree.</p><p><strong>Conclusion: </strong>For pathological impacted mandibular third molars with dentigerous cysts and caries, coronectomy exhibited both short-term and long-term safety, showing no significant difference in postoperative complications compared to total removal. Our results suggest that coronectomy can be indicated for pathological mandibular third molars with proximity to the inferior alveolar nerve.</p><p><strong>Trial registration number: </strong>Not applicable.</p>","PeriodicalId":47251,"journal":{"name":"Oral and Maxillofacial Surgery-Heidelberg","volume":"29 1","pages":"44"},"PeriodicalIF":1.8000,"publicationDate":"2025-01-24","publicationTypes":"Journal Article","fieldsOfStudy":null,"isOpenAccess":false,"openAccessPdf":"https://www.ncbi.nlm.nih.gov/pmc/articles/PMC11762202/pdf/","citationCount":"0","resultStr":"{\"title\":\"Coronectomy of mandibular third molars with dental pathology: a prospective cohort study of 121 molars.\",\"authors\":\"Arjan van Bodegraven, Rashida N Simons, Jacco G Tuk, Jan de Lange, Jerome A H Lindeboom\",\"doi\":\"10.1007/s10006-025-01340-8\",\"DOIUrl\":null,\"url\":null,\"abstract\":\"<p><strong>Purpose: </strong>Coronectomy is a valuable treatment proven safe for non-pathological mandibular third molars with an increased risk of inferior alveolar nerve injury. Coronectomy may also be useful for mandibular third molars with dentigerous cysts and caries, but this is not commonly performed due to the lack of well-designed, evidence-based studies. Here, we aim to investigate the safety of coronectomy for mandibular third molars with caries and dentigerous cysts.</p><p><strong>Methods: </strong>One hundred fifteen patients with an impacted mandibular third molar with a dentigerous cyst or caries underwent coronectomy or complete removal and received follow-up with clinical and radiographical examinations. We statistically compared the presence of postoperative complications after coronectomy versus complete removal.</p><p><strong>Results: </strong>Data from 121 molars were available for analysis. The results revealed no significant difference in the occurrence of postoperative complications (including persistent pain, inferior alveolar nerve injury, infection, alveolar osteitis, excessive bleeding, and the need for retreatment) between coronectomy and complete removal. Additionally, the incidence of postoperative complications was not related to any analyzed patient- or molar-related factors, including age, gender, health status, smoking, caries, dentigerous cyst extent, and impaction degree.</p><p><strong>Conclusion: </strong>For pathological impacted mandibular third molars with dentigerous cysts and caries, coronectomy exhibited both short-term and long-term safety, showing no significant difference in postoperative complications compared to total removal. Our results suggest that coronectomy can be indicated for pathological mandibular third molars with proximity to the inferior alveolar nerve.</p><p><strong>Trial registration number: </strong>Not applicable.</p>\",\"PeriodicalId\":47251,\"journal\":{\"name\":\"Oral and Maxillofacial Surgery-Heidelberg\",\"volume\":\"29 1\",\"pages\":\"44\"},\"PeriodicalIF\":1.8000,\"publicationDate\":\"2025-01-24\",\"publicationTypes\":\"Journal Article\",\"fieldsOfStudy\":null,\"isOpenAccess\":false,\"openAccessPdf\":\"https://www.ncbi.nlm.nih.gov/pmc/articles/PMC11762202/pdf/\",\"citationCount\":\"0\",\"resultStr\":null,\"platform\":\"Semanticscholar\",\"paperid\":null,\"PeriodicalName\":\"Oral and Maxillofacial Surgery-Heidelberg\",\"FirstCategoryId\":\"1085\",\"ListUrlMain\":\"https://doi.org/10.1007/s10006-025-01340-8\",\"RegionNum\":0,\"RegionCategory\":null,\"ArticlePicture\":[],\"TitleCN\":null,\"AbstractTextCN\":null,\"PMCID\":null,\"EPubDate\":\"\",\"PubModel\":\"\",\"JCR\":\"Q3\",\"JCRName\":\"DENTISTRY, ORAL SURGERY & MEDICINE\",\"Score\":null,\"Total\":0}","platform":"Semanticscholar","paperid":null,"PeriodicalName":"Oral and Maxillofacial Surgery-Heidelberg","FirstCategoryId":"1085","ListUrlMain":"https://doi.org/10.1007/s10006-025-01340-8","RegionNum":0,"RegionCategory":null,"ArticlePicture":[],"TitleCN":null,"AbstractTextCN":null,"PMCID":null,"EPubDate":"","PubModel":"","JCR":"Q3","JCRName":"DENTISTRY, ORAL SURGERY & MEDICINE","Score":null,"Total":0}
引用次数: 0

摘要

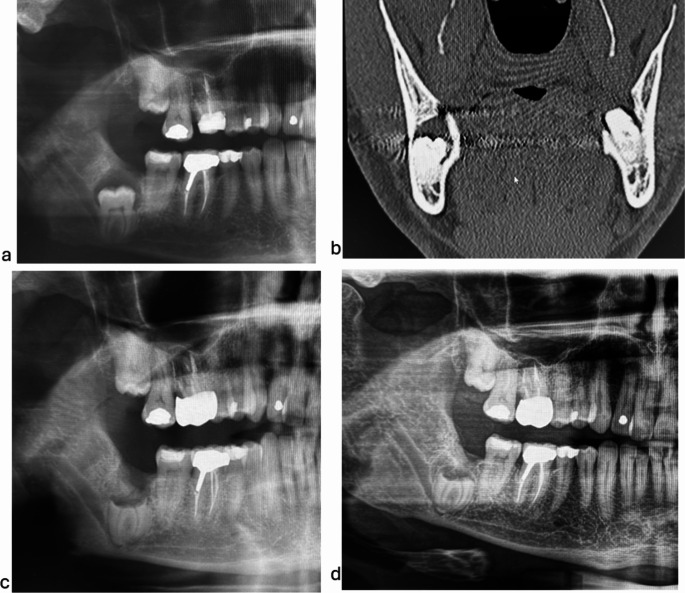
目的:对于下牙槽神经损伤风险增加的非病理性下颌第三磨牙,冠切除术是一种经证实安全的重要治疗方法。冠状切除术也可用于患有牙源性囊肿和龋病的下颌第三磨牙,但由于缺乏设计良好的循证研究,冠状切除术并不常用。在此,我们旨在研究冠状切除术治疗下颌第三磨牙龋齿和齿颊囊肿的安全性:方法:115 名下颌第三磨牙伴有牙釉质囊肿或龋齿的患者接受了冠状切除术或完全切除术,并接受了临床和放射学检查的随访。我们对冠状切除术与完全切除术后并发症的发生情况进行了统计比较:共有 121 颗磨牙的数据可供分析。结果显示,冠状切除术和完全拔除术在术后并发症(包括持续疼痛、下牙槽神经损伤、感染、牙槽骨炎、出血过多和需要再次治疗)的发生率上没有明显差异。此外,术后并发症的发生率与患者或磨牙相关因素(包括年龄、性别、健康状况、吸烟、龋齿、齿槽囊肿范围和嵌塞程度)的分析无关:对于伴有牙本质囊肿和龋病的病理性下颌第三磨牙,冠状切除术具有短期和长期的安全性,其术后并发症与全口切除术相比没有显著差异。我们的研究结果表明,冠状切除术适用于下牙槽神经附近的病理性下颌第三磨牙:不适用。
本文章由计算机程序翻译,如有差异,请以英文原文为准。

Coronectomy of mandibular third molars with dental pathology: a prospective cohort study of 121 molars.

Coronectomy of mandibular third molars with dental pathology: a prospective cohort study of 121 molars.

Coronectomy of mandibular third molars with dental pathology: a prospective cohort study of 121 molars.

Purpose: Coronectomy is a valuable treatment proven safe for non-pathological mandibular third molars with an increased risk of inferior alveolar nerve injury. Coronectomy may also be useful for mandibular third molars with dentigerous cysts and caries, but this is not commonly performed due to the lack of well-designed, evidence-based studies. Here, we aim to investigate the safety of coronectomy for mandibular third molars with caries and dentigerous cysts.

Methods: One hundred fifteen patients with an impacted mandibular third molar with a dentigerous cyst or caries underwent coronectomy or complete removal and received follow-up with clinical and radiographical examinations. We statistically compared the presence of postoperative complications after coronectomy versus complete removal.

Results: Data from 121 molars were available for analysis. The results revealed no significant difference in the occurrence of postoperative complications (including persistent pain, inferior alveolar nerve injury, infection, alveolar osteitis, excessive bleeding, and the need for retreatment) between coronectomy and complete removal. Additionally, the incidence of postoperative complications was not related to any analyzed patient- or molar-related factors, including age, gender, health status, smoking, caries, dentigerous cyst extent, and impaction degree.

Conclusion: For pathological impacted mandibular third molars with dentigerous cysts and caries, coronectomy exhibited both short-term and long-term safety, showing no significant difference in postoperative complications compared to total removal. Our results suggest that coronectomy can be indicated for pathological mandibular third molars with proximity to the inferior alveolar nerve.

Trial registration number: Not applicable.

求助全文
通过发布文献求助,成功后即可免费获取论文全文。 去求助
来源期刊
Oral and Maxillofacial Surgery-Heidelberg
Oral and Maxillofacial Surgery-Heidelberg DENTISTRY, ORAL SURGERY & MEDICINE-
CiteScore
3.20
自引率
5.60%
发文量
118
期刊介绍: Oral & Maxillofacial Surgery founded as Mund-, Kiefer- und Gesichtschirurgie is a peer-reviewed online journal. It is designed for clinicians as well as researchers.The quarterly journal offers comprehensive coverage of new techniques, important developments and innovative ideas in oral and maxillofacial surgery and interdisciplinary aspects of cranial, facial and oral diseases and their management. The journal publishes papers of the highest scientific merit and widest possible scope on work in oral and maxillofacial surgery as well as supporting specialties. Practice-oriented articles help improve the methods used in oral and maxillofacial surgery.Every aspect of oral and maxillofacial surgery is fully covered through a range of invited review articles, clinical and research articles, technical notes, abstracts, and case reports. Specific topics are: aesthetic facial surgery, clinical pathology, computer-assisted surgery, congenital and craniofacial deformities, dentoalveolar surgery, head and neck oncology, implant dentistry, oral medicine, orthognathic surgery, reconstructive surgery, skull base surgery, TMJ and trauma.Time-limited reviewing and electronic processing allow to publish articles as fast as possible. Accepted articles are rapidly accessible online.Clinical studies submitted for publication have to include a declaration that they have been approved by an ethical committee according to the World Medical Association Declaration of Helsinki 1964 (last amendment during the 52nd World Medical Association General Assembly, Edinburgh, Scotland, October 2000). Experimental animal studies have to be carried out according to the principles of laboratory animal care (NIH publication No 86-23, revised 1985).
×
引用
GB/T 7714-2015
复制
MLA
复制
APA
复制
导出至
BibTeX EndNote RefMan NoteFirst NoteExpress
×
提示
您的信息不完整,为了账户安全,请先补充。
现在去补充
×
提示
您因"违规操作"
具体请查看互助需知
我知道了
×
提示
确定
请完成安全验证×
copy
已复制链接
快去分享给好友吧!
我知道了
右上角分享
点击右上角分享
0
联系我们:info@booksci.cn Book学术提供免费学术资源搜索服务,方便国内外学者检索中英文文献。致力于提供最便捷和优质的服务体验。 Copyright © 2023 布克学术 All rights reserved.
京ICP备2023020795号-1
ghs 京公网安备 11010802042870号
Book学术文献互助
Book学术文献互助群
群 号:604180095
Book学术官方微信