罕见实体导致的大量血胸:ICD插入的困境!!一个病例报告。

IF 1.3 Q3 ANESTHESIOLOGY
Annals of Cardiac Anaesthesia Pub Date : 2025-01-01 Epub Date: 2025-01-24 DOI:10.4103/aca.aca_135_24
Prabhav Chhaperwal, Masti Nagendra Rao Vijai, Gurbinder Singh Suri, Uma Shankar Garg, Kiran Kumar Parate, Suraj Kapoor
{"title":"罕见实体导致的大量血胸:ICD插入的困境!!一个病例报告。","authors":"Prabhav Chhaperwal, Masti Nagendra Rao Vijai, Gurbinder Singh Suri, Uma Shankar Garg, Kiran Kumar Parate, Suraj Kapoor","doi":"10.4103/aca.aca_135_24","DOIUrl":null,"url":null,"abstract":"<p><strong>Abstract: </strong>Intercostal artery aneurysms are a type of vascular abnormality that poses a potential risk of rupture, which could lead to life-threatening hemothorax. This case report presents a young male who experienced a rupture of an intercostal artery aneurysm and subsequently suffered from a massive hemothorax after engaging in strenuous physical activity. The current case study sheds light on the difficulties and lessons learned in managing such cases in peripheral settings, including the dilemma of whether to insert an intercostal chest drain (ICD). The patient was ultimately diagnosed with a rare clinical entity known as rupture of right posterior intercostal artery aneurysm with massive hemothorax.</p>","PeriodicalId":7997,"journal":{"name":"Annals of Cardiac Anaesthesia","volume":"28 1","pages":"76-79"},"PeriodicalIF":1.3000,"publicationDate":"2025-01-01","publicationTypes":"Journal Article","fieldsOfStudy":null,"isOpenAccess":false,"openAccessPdf":"https://www.ncbi.nlm.nih.gov/pmc/articles/PMC11902361/pdf/","citationCount":"0","resultStr":"{\"title\":\"Massive Hemothorax due to a Rare Entity: Dilemma of ICD Insertion!! A Case Report.\",\"authors\":\"Prabhav Chhaperwal, Masti Nagendra Rao Vijai, Gurbinder Singh Suri, Uma Shankar Garg, Kiran Kumar Parate, Suraj Kapoor\",\"doi\":\"10.4103/aca.aca_135_24\",\"DOIUrl\":null,\"url\":null,\"abstract\":\"<p><strong>Abstract: </strong>Intercostal artery aneurysms are a type of vascular abnormality that poses a potential risk of rupture, which could lead to life-threatening hemothorax. This case report presents a young male who experienced a rupture of an intercostal artery aneurysm and subsequently suffered from a massive hemothorax after engaging in strenuous physical activity. The current case study sheds light on the difficulties and lessons learned in managing such cases in peripheral settings, including the dilemma of whether to insert an intercostal chest drain (ICD). The patient was ultimately diagnosed with a rare clinical entity known as rupture of right posterior intercostal artery aneurysm with massive hemothorax.</p>\",\"PeriodicalId\":7997,\"journal\":{\"name\":\"Annals of Cardiac Anaesthesia\",\"volume\":\"28 1\",\"pages\":\"76-79\"},\"PeriodicalIF\":1.3000,\"publicationDate\":\"2025-01-01\",\"publicationTypes\":\"Journal Article\",\"fieldsOfStudy\":null,\"isOpenAccess\":false,\"openAccessPdf\":\"https://www.ncbi.nlm.nih.gov/pmc/articles/PMC11902361/pdf/\",\"citationCount\":\"0\",\"resultStr\":null,\"platform\":\"Semanticscholar\",\"paperid\":null,\"PeriodicalName\":\"Annals of Cardiac Anaesthesia\",\"FirstCategoryId\":\"1085\",\"ListUrlMain\":\"https://doi.org/10.4103/aca.aca_135_24\",\"RegionNum\":0,\"RegionCategory\":null,\"ArticlePicture\":[],\"TitleCN\":null,\"AbstractTextCN\":null,\"PMCID\":null,\"EPubDate\":\"2025/1/24 0:00:00\",\"PubModel\":\"Epub\",\"JCR\":\"Q3\",\"JCRName\":\"ANESTHESIOLOGY\",\"Score\":null,\"Total\":0}","platform":"Semanticscholar","paperid":null,"PeriodicalName":"Annals of Cardiac Anaesthesia","FirstCategoryId":"1085","ListUrlMain":"https://doi.org/10.4103/aca.aca_135_24","RegionNum":0,"RegionCategory":null,"ArticlePicture":[],"TitleCN":null,"AbstractTextCN":null,"PMCID":null,"EPubDate":"2025/1/24 0:00:00","PubModel":"Epub","JCR":"Q3","JCRName":"ANESTHESIOLOGY","Score":null,"Total":0}
引用次数: 0

摘要

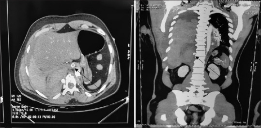
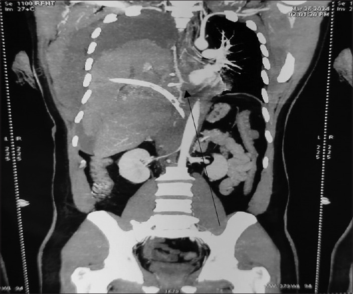
肋间动脉瘤是一种血管异常,具有潜在的破裂风险,可能导致危及生命的血胸。本病例报告介绍一位年轻男性,他经历了肋间动脉瘤破裂,随后在剧烈运动后出现大量血胸。目前的病例研究揭示了在周边环境下处理此类病例的困难和经验教训,包括是否插入肋间胸引流管(ICD)的困境。患者最终被诊断为一种罕见的临床症状,即右侧后肋间动脉瘤破裂伴大量血胸。
本文章由计算机程序翻译,如有差异,请以英文原文为准。

Massive Hemothorax due to a Rare Entity: Dilemma of ICD Insertion!! A Case Report.

Massive Hemothorax due to a Rare Entity: Dilemma of ICD Insertion!! A Case Report.

Massive Hemothorax due to a Rare Entity: Dilemma of ICD Insertion!! A Case Report.

Massive Hemothorax due to a Rare Entity: Dilemma of ICD Insertion!! A Case Report.

Abstract: Intercostal artery aneurysms are a type of vascular abnormality that poses a potential risk of rupture, which could lead to life-threatening hemothorax. This case report presents a young male who experienced a rupture of an intercostal artery aneurysm and subsequently suffered from a massive hemothorax after engaging in strenuous physical activity. The current case study sheds light on the difficulties and lessons learned in managing such cases in peripheral settings, including the dilemma of whether to insert an intercostal chest drain (ICD). The patient was ultimately diagnosed with a rare clinical entity known as rupture of right posterior intercostal artery aneurysm with massive hemothorax.

求助全文
通过发布文献求助,成功后即可免费获取论文全文。 去求助
来源期刊
CiteScore
1.60
自引率
0.00%
发文量
147
审稿时长
26 weeks
期刊介绍: Annals of Cardiac Anaesthesia (ACA) is the official journal of the Indian Association of Cardiovascular Thoracic Anaesthesiologists. The journal is indexed with PubMed/MEDLINE, Excerpta Medica/EMBASE, IndMed and MedInd. The journal’s full text is online at www.annals.in. With the aim of faster and better dissemination of knowledge, we will be publishing articles ‘Ahead of Print’ immediately on acceptance. In addition, the journal would allow free access (Open Access) to its contents, which is likely to attract more readers and citations to articles published in ACA. Authors do not have to pay for submission, processing or publication of articles in ACA.
×
引用
GB/T 7714-2015
复制
MLA
复制
APA
复制
导出至
BibTeX EndNote RefMan NoteFirst NoteExpress
×
提示
您的信息不完整,为了账户安全,请先补充。
现在去补充
×
提示
您因"违规操作"
具体请查看互助需知
我知道了
×
提示
确定
请完成安全验证×
copy
已复制链接
快去分享给好友吧!
我知道了
右上角分享
点击右上角分享
0
联系我们:info@booksci.cn Book学术提供免费学术资源搜索服务,方便国内外学者检索中英文文献。致力于提供最便捷和优质的服务体验。 Copyright © 2023 布克学术 All rights reserved.
京ICP备2023020795号-1
ghs 京公网安备 11010802042870号
Book学术文献互助
Book学术文献互助群
群 号:604180095
Book学术官方微信