累及神经系统的血管内大b细胞淋巴瘤患者的临床表现和预后:强调纵向广泛的脊髓病是一个明显的特征。

IF 2.4 Q3 CLINICAL NEUROLOGY
BMJ Neurology Open Pub Date : 2025-01-04 eCollection Date: 2025-01-01 DOI:10.1136/bmjno-2024-000915
Ekdanai Uawithya, Palakorn Lertsakworakul, Weerapat Owatthanapanich, Jiraporn Jitprapaikulsan
{"title":"累及神经系统的血管内大b细胞淋巴瘤患者的临床表现和预后:强调纵向广泛的脊髓病是一个明显的特征。","authors":"Ekdanai Uawithya, Palakorn Lertsakworakul, Weerapat Owatthanapanich, Jiraporn Jitprapaikulsan","doi":"10.1136/bmjno-2024-000915","DOIUrl":null,"url":null,"abstract":"<p><strong>Objective: </strong>This study aimed to elucidate the clinical manifestations, laboratory findings and outcomes of patients with intravascular large B cell lymphoma (IVLBCL) with neurological involvement and to differentiate IVLBCL with and without neurological involvement.</p><p><strong>Methods: </strong>A cohort study was conducted at Siriraj Hospital, Mahidol University, Thailand, between January 2005 and September 2024. Clinical data, laboratory values and central nervous system imaging results were analysed. Categorical variables were compared using the χ² or Fisher's exact test, while continuous variables were analysed with the Mann-Whitney U test, as appropriate.</p><p><strong>Results: </strong>Of the 30 patients with IVLBCL, 10 had neurological involvement and 20 without neurological symptoms, including myelopathy (5 patients, 50%); cognitive impairment (3 patients, 30%); seizures (2 patients, 20%); optic neuropathy, hemiparesis, homonymous hemianopia, vertigo and global aphasia (each affecting 1 patient, 10%). 60% of IVLBCL with neurological involvement had systemic symptoms, including prolonged fever, anaemia, anorexia and weight loss. MRI showed hyperintense lesions in the supratentorial, infratentorial and spinal cord with the prominent findings being longitudinally extensive cord lesions (four patients, 40.0%). The median survival time of the IVLBCL with neurological involvement was 4.1 months (95% CI: 0.0 to 17.1 months), with a 1-year survival rate of 37.5% and a 2-year survival rate of 25.0%.</p><p><strong>Interpretation: </strong>This study highlights the distinct clinical, laboratory features and imaging of IVLBCL with neurological involvement and compares it to IVLBCL without neurological involvement. Early recognition of these findings is crucial for accurate diagnosis and improved patient outcomes despite the aggressive nature of IVLBCL.</p>","PeriodicalId":52754,"journal":{"name":"BMJ Neurology Open","volume":"7 1","pages":"e000915"},"PeriodicalIF":2.4000,"publicationDate":"2025-01-04","publicationTypes":"Journal Article","fieldsOfStudy":null,"isOpenAccess":false,"openAccessPdf":"https://www.ncbi.nlm.nih.gov/pmc/articles/PMC11751980/pdf/","citationCount":"0","resultStr":"{\"title\":\"Clinical manifestations and outcomes of patients with intravascular large B-cell lymphoma with neurological involvement: highlighting longitudinally extensive myelopathy as a distinct feature.\",\"authors\":\"Ekdanai Uawithya, Palakorn Lertsakworakul, Weerapat Owatthanapanich, Jiraporn Jitprapaikulsan\",\"doi\":\"10.1136/bmjno-2024-000915\",\"DOIUrl\":null,\"url\":null,\"abstract\":\"<p><strong>Objective: </strong>This study aimed to elucidate the clinical manifestations, laboratory findings and outcomes of patients with intravascular large B cell lymphoma (IVLBCL) with neurological involvement and to differentiate IVLBCL with and without neurological involvement.</p><p><strong>Methods: </strong>A cohort study was conducted at Siriraj Hospital, Mahidol University, Thailand, between January 2005 and September 2024. Clinical data, laboratory values and central nervous system imaging results were analysed. Categorical variables were compared using the χ² or Fisher's exact test, while continuous variables were analysed with the Mann-Whitney U test, as appropriate.</p><p><strong>Results: </strong>Of the 30 patients with IVLBCL, 10 had neurological involvement and 20 without neurological symptoms, including myelopathy (5 patients, 50%); cognitive impairment (3 patients, 30%); seizures (2 patients, 20%); optic neuropathy, hemiparesis, homonymous hemianopia, vertigo and global aphasia (each affecting 1 patient, 10%). 60% of IVLBCL with neurological involvement had systemic symptoms, including prolonged fever, anaemia, anorexia and weight loss. MRI showed hyperintense lesions in the supratentorial, infratentorial and spinal cord with the prominent findings being longitudinally extensive cord lesions (four patients, 40.0%). The median survival time of the IVLBCL with neurological involvement was 4.1 months (95% CI: 0.0 to 17.1 months), with a 1-year survival rate of 37.5% and a 2-year survival rate of 25.0%.</p><p><strong>Interpretation: </strong>This study highlights the distinct clinical, laboratory features and imaging of IVLBCL with neurological involvement and compares it to IVLBCL without neurological involvement. Early recognition of these findings is crucial for accurate diagnosis and improved patient outcomes despite the aggressive nature of IVLBCL.</p>\",\"PeriodicalId\":52754,\"journal\":{\"name\":\"BMJ Neurology Open\",\"volume\":\"7 1\",\"pages\":\"e000915\"},\"PeriodicalIF\":2.4000,\"publicationDate\":\"2025-01-04\",\"publicationTypes\":\"Journal Article\",\"fieldsOfStudy\":null,\"isOpenAccess\":false,\"openAccessPdf\":\"https://www.ncbi.nlm.nih.gov/pmc/articles/PMC11751980/pdf/\",\"citationCount\":\"0\",\"resultStr\":null,\"platform\":\"Semanticscholar\",\"paperid\":null,\"PeriodicalName\":\"BMJ Neurology Open\",\"FirstCategoryId\":\"1085\",\"ListUrlMain\":\"https://doi.org/10.1136/bmjno-2024-000915\",\"RegionNum\":0,\"RegionCategory\":null,\"ArticlePicture\":[],\"TitleCN\":null,\"AbstractTextCN\":null,\"PMCID\":null,\"EPubDate\":\"2025/1/1 0:00:00\",\"PubModel\":\"eCollection\",\"JCR\":\"Q3\",\"JCRName\":\"CLINICAL NEUROLOGY\",\"Score\":null,\"Total\":0}","platform":"Semanticscholar","paperid":null,"PeriodicalName":"BMJ Neurology Open","FirstCategoryId":"1085","ListUrlMain":"https://doi.org/10.1136/bmjno-2024-000915","RegionNum":0,"RegionCategory":null,"ArticlePicture":[],"TitleCN":null,"AbstractTextCN":null,"PMCID":null,"EPubDate":"2025/1/1 0:00:00","PubModel":"eCollection","JCR":"Q3","JCRName":"CLINICAL NEUROLOGY","Score":null,"Total":0}
引用次数: 0

摘要

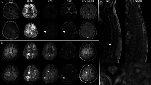
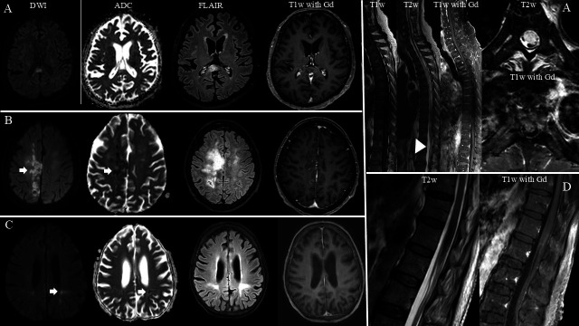
目的:本研究旨在阐明伴有神经系统受累的血管内大B细胞淋巴瘤(IVLBCL)患者的临床表现、实验室检查结果和转归,并对伴有和不伴有神经系统受累的IVLBCL进行鉴别。方法:2005年1月至2024年9月在泰国玛希隆大学Siriraj医院进行队列研究。分析临床资料、实验室值及中枢神经系统影像学结果。分类变量使用χ 2或Fisher精确检验进行比较,而连续变量则酌情使用Mann-Whitney U检验进行分析。结果:30例IVLBCL患者中,10例有神经系统受累,20例无神经系统症状,包括脊髓病(5例,50%);认知障碍(3例,30%);癫痫发作(2例,20%);视神经病变、偏瘫、同义性偏视、眩晕、全身性失语(各1例,占10%)。60%伴有神经系统受累的IVLBCL有全身性症状,包括持续发热、贫血、厌食和体重减轻。MRI表现为幕上、幕下及脊髓高强度病变,突出表现为纵向广泛的脊髓病变(4例,40.0%)。伴有神经系统受累的IVLBCL的中位生存时间为4.1个月(95% CI: 0.0 ~ 17.1个月),1年生存率为37.5%,2年生存率为25.0%。解释:本研究强调了伴有神经受累的IVLBCL的独特临床、实验室特征和影像学特征,并将其与无神经受累的IVLBCL进行了比较。尽管IVLBCL具有侵袭性,但早期识别这些发现对于准确诊断和改善患者预后至关重要。
本文章由计算机程序翻译,如有差异,请以英文原文为准。

Clinical manifestations and outcomes of patients with intravascular large B-cell lymphoma with neurological involvement: highlighting longitudinally extensive myelopathy as a distinct feature.

Clinical manifestations and outcomes of patients with intravascular large B-cell lymphoma with neurological involvement: highlighting longitudinally extensive myelopathy as a distinct feature.

Clinical manifestations and outcomes of patients with intravascular large B-cell lymphoma with neurological involvement: highlighting longitudinally extensive myelopathy as a distinct feature.

Clinical manifestations and outcomes of patients with intravascular large B-cell lymphoma with neurological involvement: highlighting longitudinally extensive myelopathy as a distinct feature.

Objective: This study aimed to elucidate the clinical manifestations, laboratory findings and outcomes of patients with intravascular large B cell lymphoma (IVLBCL) with neurological involvement and to differentiate IVLBCL with and without neurological involvement.

Methods: A cohort study was conducted at Siriraj Hospital, Mahidol University, Thailand, between January 2005 and September 2024. Clinical data, laboratory values and central nervous system imaging results were analysed. Categorical variables were compared using the χ² or Fisher's exact test, while continuous variables were analysed with the Mann-Whitney U test, as appropriate.

Results: Of the 30 patients with IVLBCL, 10 had neurological involvement and 20 without neurological symptoms, including myelopathy (5 patients, 50%); cognitive impairment (3 patients, 30%); seizures (2 patients, 20%); optic neuropathy, hemiparesis, homonymous hemianopia, vertigo and global aphasia (each affecting 1 patient, 10%). 60% of IVLBCL with neurological involvement had systemic symptoms, including prolonged fever, anaemia, anorexia and weight loss. MRI showed hyperintense lesions in the supratentorial, infratentorial and spinal cord with the prominent findings being longitudinally extensive cord lesions (four patients, 40.0%). The median survival time of the IVLBCL with neurological involvement was 4.1 months (95% CI: 0.0 to 17.1 months), with a 1-year survival rate of 37.5% and a 2-year survival rate of 25.0%.

Interpretation: This study highlights the distinct clinical, laboratory features and imaging of IVLBCL with neurological involvement and compares it to IVLBCL without neurological involvement. Early recognition of these findings is crucial for accurate diagnosis and improved patient outcomes despite the aggressive nature of IVLBCL.

求助全文
通过发布文献求助,成功后即可免费获取论文全文。 去求助
来源期刊
BMJ Neurology Open
BMJ Neurology Open Medicine-Neurology (clinical)
CiteScore
3.20
自引率
3.70%
发文量
46
审稿时长
13 weeks
×
引用
GB/T 7714-2015
复制
MLA
复制
APA
复制
导出至
BibTeX EndNote RefMan NoteFirst NoteExpress
×
提示
您的信息不完整,为了账户安全,请先补充。
现在去补充
×
提示
您因"违规操作"
具体请查看互助需知
我知道了
×
提示
确定
请完成安全验证×
copy
已复制链接
快去分享给好友吧!
我知道了
右上角分享
点击右上角分享
0
联系我们:info@booksci.cn Book学术提供免费学术资源搜索服务,方便国内外学者检索中英文文献。致力于提供最便捷和优质的服务体验。 Copyright © 2023 布克学术 All rights reserved.
京ICP备2023020795号-1
ghs 京公网安备 11010802042870号
Book学术文献互助
Book学术文献互助群
群 号:604180095
Book学术官方微信