HRAMS蛋白质组学研究:在植物化学药物靶向和设计中的应用。

IF 3.6 Q2 BIOCHEMISTRY & MOLECULAR BIOLOGY
Ayushi Mishra, Vipin Kumar, Sunil Kumar, HariOm Singh, Anchal Singh
{"title":"HRAMS蛋白质组学研究:在植物化学药物靶向和设计中的应用。","authors":"Ayushi Mishra, Vipin Kumar, Sunil Kumar, HariOm Singh, Anchal Singh","doi":"10.3390/proteomes13010002","DOIUrl":null,"url":null,"abstract":"<p><p>Lymphatic filariasis (LF) continues to impact 657 million individuals worldwide, resulting in lifelong and chronic impairment. The prevalent anti-filarial medications-DEC, albendazole, and ivermectin-exhibit limited adulticidal efficacy. Despite ongoing LF eradication programs, novel therapeutic strategies are essential for effective control. This study examines the mechanism of action of <i>Ocimum sanctum</i> on the filarial parasites <i>Setaria cervi</i> via a synergistic biochemical and proteomics methodology. The ethanolic extract of <i>Ocimum sanctum</i> (EOS) demonstrated potential anti-filarial action in the MTT reduction experiment, with an LC<sub>50</sub> value of 197.24 µg/mL. After EOS treatment, an elevation in lipid peroxidation (51.92%), protein carbonylation (48.99%), and NADPH oxidase (88.88%) activity, along with a reduction in glutathione (GSH) (-39.23%), glutathione reductase (GR) (-60.17%), and glutathione S transferase (GST) (-50.48%) activity, was observed. The 2D gel electrophoresis identified 20 decreased and 11 increased protein spots in the EOS-treated parasites relative to the control group. Additionally, in drug docking analysis, the EOS bioactive substances ursolic acid, rutin, and rosmarinic acid show a significant binding affinity with the principal differentially expressed proteins. This paper demonstrates, for the first time, that the anti-filarial efficacy of EOS is primarily facilitated by its impact on energy metabolism, antioxidant mechanisms, and stress response systems of the parasites.</p>","PeriodicalId":20877,"journal":{"name":"Proteomes","volume":"13 1","pages":""},"PeriodicalIF":3.6000,"publicationDate":"2024-12-27","publicationTypes":"Journal Article","fieldsOfStudy":null,"isOpenAccess":false,"openAccessPdf":"https://www.ncbi.nlm.nih.gov/pmc/articles/PMC11755628/pdf/","citationCount":"0","resultStr":"{\"title\":\"HRAMS Proteomics Insights on the Anti-Filarial Effect of <i>Ocimum sanctum</i>: Implications in Phytochemical-Based Drug-Targeting and Designing.\",\"authors\":\"Ayushi Mishra, Vipin Kumar, Sunil Kumar, HariOm Singh, Anchal Singh\",\"doi\":\"10.3390/proteomes13010002\",\"DOIUrl\":null,\"url\":null,\"abstract\":\"<p><p>Lymphatic filariasis (LF) continues to impact 657 million individuals worldwide, resulting in lifelong and chronic impairment. The prevalent anti-filarial medications-DEC, albendazole, and ivermectin-exhibit limited adulticidal efficacy. Despite ongoing LF eradication programs, novel therapeutic strategies are essential for effective control. This study examines the mechanism of action of <i>Ocimum sanctum</i> on the filarial parasites <i>Setaria cervi</i> via a synergistic biochemical and proteomics methodology. The ethanolic extract of <i>Ocimum sanctum</i> (EOS) demonstrated potential anti-filarial action in the MTT reduction experiment, with an LC<sub>50</sub> value of 197.24 µg/mL. After EOS treatment, an elevation in lipid peroxidation (51.92%), protein carbonylation (48.99%), and NADPH oxidase (88.88%) activity, along with a reduction in glutathione (GSH) (-39.23%), glutathione reductase (GR) (-60.17%), and glutathione S transferase (GST) (-50.48%) activity, was observed. The 2D gel electrophoresis identified 20 decreased and 11 increased protein spots in the EOS-treated parasites relative to the control group. Additionally, in drug docking analysis, the EOS bioactive substances ursolic acid, rutin, and rosmarinic acid show a significant binding affinity with the principal differentially expressed proteins. This paper demonstrates, for the first time, that the anti-filarial efficacy of EOS is primarily facilitated by its impact on energy metabolism, antioxidant mechanisms, and stress response systems of the parasites.</p>\",\"PeriodicalId\":20877,\"journal\":{\"name\":\"Proteomes\",\"volume\":\"13 1\",\"pages\":\"\"},\"PeriodicalIF\":3.6000,\"publicationDate\":\"2024-12-27\",\"publicationTypes\":\"Journal Article\",\"fieldsOfStudy\":null,\"isOpenAccess\":false,\"openAccessPdf\":\"https://www.ncbi.nlm.nih.gov/pmc/articles/PMC11755628/pdf/\",\"citationCount\":\"0\",\"resultStr\":null,\"platform\":\"Semanticscholar\",\"paperid\":null,\"PeriodicalName\":\"Proteomes\",\"FirstCategoryId\":\"1085\",\"ListUrlMain\":\"https://doi.org/10.3390/proteomes13010002\",\"RegionNum\":0,\"RegionCategory\":null,\"ArticlePicture\":[],\"TitleCN\":null,\"AbstractTextCN\":null,\"PMCID\":null,\"EPubDate\":\"\",\"PubModel\":\"\",\"JCR\":\"Q2\",\"JCRName\":\"BIOCHEMISTRY & MOLECULAR BIOLOGY\",\"Score\":null,\"Total\":0}","platform":"Semanticscholar","paperid":null,"PeriodicalName":"Proteomes","FirstCategoryId":"1085","ListUrlMain":"https://doi.org/10.3390/proteomes13010002","RegionNum":0,"RegionCategory":null,"ArticlePicture":[],"TitleCN":null,"AbstractTextCN":null,"PMCID":null,"EPubDate":"","PubModel":"","JCR":"Q2","JCRName":"BIOCHEMISTRY & MOLECULAR BIOLOGY","Score":null,"Total":0}
引用次数: 0

摘要

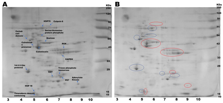
淋巴丝虫病(LF)继续影响全世界6.57亿人,导致终身和慢性损害。流行的抗丝虫药物- dec,阿苯达唑和伊维菌素-表现出有限的杀虫效果。尽管目前正在进行LF根除计划,但新的治疗策略对于有效控制是必不可少的。本研究通过协同生物化学和蛋白质组学方法研究了茜草对丝虫病寄生虫宫颈蛇尾虫的作用机制。在MTT降低实验中,赤竹醇提物(EOS)显示出潜在的抗丝虫作用,LC50值为197.24µg/mL。EOS处理后,脂质过氧化(51.92%)、蛋白质羰基化(48.99%)和NADPH氧化酶(88.88%)活性升高,谷胱甘肽(GSH)(-39.23%)、谷胱甘肽还原酶(GR)(-60.17%)和谷胱甘肽S转移酶(GST)(-50.48%)活性降低。2D凝胶电泳结果显示,与对照组相比,eos处理后的寄生虫蛋白斑点减少了20个,增加了11个。此外,在药物对接分析中,EOS生物活性物质熊果酸、芦丁和迷迭香酸与主要差异表达蛋白表现出显著的结合亲和力。本文首次证明了EOS的抗丝虫作用主要是通过影响寄生虫的能量代谢、抗氧化机制和应激反应系统来实现的。
本文章由计算机程序翻译,如有差异,请以英文原文为准。

HRAMS Proteomics Insights on the Anti-Filarial Effect of <i>Ocimum sanctum</i>: Implications in Phytochemical-Based Drug-Targeting and Designing.

HRAMS Proteomics Insights on the Anti-Filarial Effect of <i>Ocimum sanctum</i>: Implications in Phytochemical-Based Drug-Targeting and Designing.

HRAMS Proteomics Insights on the Anti-Filarial Effect of <i>Ocimum sanctum</i>: Implications in Phytochemical-Based Drug-Targeting and Designing.

HRAMS Proteomics Insights on the Anti-Filarial Effect of Ocimum sanctum: Implications in Phytochemical-Based Drug-Targeting and Designing.

Lymphatic filariasis (LF) continues to impact 657 million individuals worldwide, resulting in lifelong and chronic impairment. The prevalent anti-filarial medications-DEC, albendazole, and ivermectin-exhibit limited adulticidal efficacy. Despite ongoing LF eradication programs, novel therapeutic strategies are essential for effective control. This study examines the mechanism of action of Ocimum sanctum on the filarial parasites Setaria cervi via a synergistic biochemical and proteomics methodology. The ethanolic extract of Ocimum sanctum (EOS) demonstrated potential anti-filarial action in the MTT reduction experiment, with an LC50 value of 197.24 µg/mL. After EOS treatment, an elevation in lipid peroxidation (51.92%), protein carbonylation (48.99%), and NADPH oxidase (88.88%) activity, along with a reduction in glutathione (GSH) (-39.23%), glutathione reductase (GR) (-60.17%), and glutathione S transferase (GST) (-50.48%) activity, was observed. The 2D gel electrophoresis identified 20 decreased and 11 increased protein spots in the EOS-treated parasites relative to the control group. Additionally, in drug docking analysis, the EOS bioactive substances ursolic acid, rutin, and rosmarinic acid show a significant binding affinity with the principal differentially expressed proteins. This paper demonstrates, for the first time, that the anti-filarial efficacy of EOS is primarily facilitated by its impact on energy metabolism, antioxidant mechanisms, and stress response systems of the parasites.

求助全文
通过发布文献求助,成功后即可免费获取论文全文。 去求助
来源期刊
Proteomes
Proteomes Biochemistry, Genetics and Molecular Biology-Clinical Biochemistry
CiteScore
6.50
自引率
3.00%
发文量
37
审稿时长
11 weeks
期刊介绍: Proteomes (ISSN 2227-7382) is an open access, peer reviewed journal on all aspects of proteome science. Proteomes covers the multi-disciplinary topics of structural and functional biology, protein chemistry, cell biology, methodology used for protein analysis, including mass spectrometry, protein arrays, bioinformatics, HTS assays, etc. Our aim is to encourage scientists to publish their experimental and theoretical results in as much detail as possible. Therefore, there is no restriction on the length of papers. Scope: -whole proteome analysis of any organism -disease/pharmaceutical studies -comparative proteomics -protein-ligand/protein interactions -structure/functional proteomics -gene expression -methodology -bioinformatics -applications of proteomics
×
引用
GB/T 7714-2015
复制
MLA
复制
APA
复制
导出至
BibTeX EndNote RefMan NoteFirst NoteExpress
×
提示
您的信息不完整,为了账户安全,请先补充。
现在去补充
×
提示
您因"违规操作"
具体请查看互助需知
我知道了
×
提示
确定
请完成安全验证×
copy
已复制链接
快去分享给好友吧!
我知道了
右上角分享
点击右上角分享
0
联系我们:info@booksci.cn Book学术提供免费学术资源搜索服务,方便国内外学者检索中英文文献。致力于提供最便捷和优质的服务体验。 Copyright © 2023 布克学术 All rights reserved.
京ICP备2023020795号-1
ghs 京公网安备 11010802042870号
Book学术文献互助
Book学术文献互助群
群 号:604180095
Book学术官方微信