超声造影作为一种监测局灶性肝脏病变的方法——初步报告。

IF 1.7 Q3 GASTROENTEROLOGY & HEPATOLOGY
Clinical and Experimental Hepatology Pub Date : 2024-03-01 Epub Date: 2024-06-11 DOI:10.5114/ceh.2024.140449
Adam Dobek, Mateusz Kobierecki, Patryk Wieczorek, Oliwia Grząsiak, Wojciech Ciesielski, Adam Fabisiak, Ludomir Stefańczyk
{"title":"超声造影作为一种监测局灶性肝脏病变的方法——初步报告。","authors":"Adam Dobek, Mateusz Kobierecki, Patryk Wieczorek, Oliwia Grząsiak, Wojciech Ciesielski, Adam Fabisiak, Ludomir Stefańczyk","doi":"10.5114/ceh.2024.140449","DOIUrl":null,"url":null,"abstract":"<p><strong>Aim of the study: </strong>Hepatocellular adenoma (HCA) and focal nodular hyperplasia (FNH) are benign liver tumors. Hepatocellular adenoma has potential for growth, metaplasia and rupture; therefore, it should be monitored long term. In the current guidelines biopsy is not recommended in the standard diagnostic protocol. Magnetic resonance imaging (MRI) is accepted as standard in diagnostics and monitoring of these lesions. The aim of the study was to compare contrast-enhanced ultrasound (CEUS) and MRI in imaging of these tumors and determine whether CEUS can be useful in monitoring benign liver tumors.</p><p><strong>Material and methods: </strong>A retrospective analysis of 47 patients with HCA (32 tumors) and FNH (27 tumors) was carried out. A comparison between MRI and CEUS in predicting malignant transformation was performed.</p><p><strong>Results: </strong>A similar tumor enhancement profile to unchanged liver parenchyma was observed in both groups. The difference in the arterial phase was on average up to 30 dB. After 20-30 s, the enhancement of HCA and FNH in relation to the liver parenchyma was similar (difference up to 4-5 dB). Homogeneity and equalization of the tumor to background enhancement was observed until the end of the examination. The discriminative feature is the presence of a non-contrasting central fibrous scar observed in both imaging methods in the FNH group.</p><p><strong>Conclusions: </strong>CEUS can be a promising method in monitoring focal liver lesions due to low cost and low risk of complications. It is essential to analyze the early arterial phase up to 30 s to demonstrate homogeneous enhancement of the tumor and potential presence of a wash-out effect during later phases of examination.</p>","PeriodicalId":10281,"journal":{"name":"Clinical and Experimental Hepatology","volume":"10 2","pages":"120-128"},"PeriodicalIF":1.7000,"publicationDate":"2024-03-01","publicationTypes":"Journal Article","fieldsOfStudy":null,"isOpenAccess":false,"openAccessPdf":"https://www.ncbi.nlm.nih.gov/pmc/articles/PMC11748225/pdf/","citationCount":"0","resultStr":"{\"title\":\"Contrast-enhanced ultrasonography as a method of monitoring focal liver lesions - initial report.\",\"authors\":\"Adam Dobek, Mateusz Kobierecki, Patryk Wieczorek, Oliwia Grząsiak, Wojciech Ciesielski, Adam Fabisiak, Ludomir Stefańczyk\",\"doi\":\"10.5114/ceh.2024.140449\",\"DOIUrl\":null,\"url\":null,\"abstract\":\"<p><strong>Aim of the study: </strong>Hepatocellular adenoma (HCA) and focal nodular hyperplasia (FNH) are benign liver tumors. Hepatocellular adenoma has potential for growth, metaplasia and rupture; therefore, it should be monitored long term. In the current guidelines biopsy is not recommended in the standard diagnostic protocol. Magnetic resonance imaging (MRI) is accepted as standard in diagnostics and monitoring of these lesions. The aim of the study was to compare contrast-enhanced ultrasound (CEUS) and MRI in imaging of these tumors and determine whether CEUS can be useful in monitoring benign liver tumors.</p><p><strong>Material and methods: </strong>A retrospective analysis of 47 patients with HCA (32 tumors) and FNH (27 tumors) was carried out. A comparison between MRI and CEUS in predicting malignant transformation was performed.</p><p><strong>Results: </strong>A similar tumor enhancement profile to unchanged liver parenchyma was observed in both groups. The difference in the arterial phase was on average up to 30 dB. After 20-30 s, the enhancement of HCA and FNH in relation to the liver parenchyma was similar (difference up to 4-5 dB). Homogeneity and equalization of the tumor to background enhancement was observed until the end of the examination. The discriminative feature is the presence of a non-contrasting central fibrous scar observed in both imaging methods in the FNH group.</p><p><strong>Conclusions: </strong>CEUS can be a promising method in monitoring focal liver lesions due to low cost and low risk of complications. It is essential to analyze the early arterial phase up to 30 s to demonstrate homogeneous enhancement of the tumor and potential presence of a wash-out effect during later phases of examination.</p>\",\"PeriodicalId\":10281,\"journal\":{\"name\":\"Clinical and Experimental Hepatology\",\"volume\":\"10 2\",\"pages\":\"120-128\"},\"PeriodicalIF\":1.7000,\"publicationDate\":\"2024-03-01\",\"publicationTypes\":\"Journal Article\",\"fieldsOfStudy\":null,\"isOpenAccess\":false,\"openAccessPdf\":\"https://www.ncbi.nlm.nih.gov/pmc/articles/PMC11748225/pdf/\",\"citationCount\":\"0\",\"resultStr\":null,\"platform\":\"Semanticscholar\",\"paperid\":null,\"PeriodicalName\":\"Clinical and Experimental Hepatology\",\"FirstCategoryId\":\"1085\",\"ListUrlMain\":\"https://doi.org/10.5114/ceh.2024.140449\",\"RegionNum\":0,\"RegionCategory\":null,\"ArticlePicture\":[],\"TitleCN\":null,\"AbstractTextCN\":null,\"PMCID\":null,\"EPubDate\":\"2024/6/11 0:00:00\",\"PubModel\":\"Epub\",\"JCR\":\"Q3\",\"JCRName\":\"GASTROENTEROLOGY & HEPATOLOGY\",\"Score\":null,\"Total\":0}","platform":"Semanticscholar","paperid":null,"PeriodicalName":"Clinical and Experimental Hepatology","FirstCategoryId":"1085","ListUrlMain":"https://doi.org/10.5114/ceh.2024.140449","RegionNum":0,"RegionCategory":null,"ArticlePicture":[],"TitleCN":null,"AbstractTextCN":null,"PMCID":null,"EPubDate":"2024/6/11 0:00:00","PubModel":"Epub","JCR":"Q3","JCRName":"GASTROENTEROLOGY & HEPATOLOGY","Score":null,"Total":0}
引用次数: 0

摘要

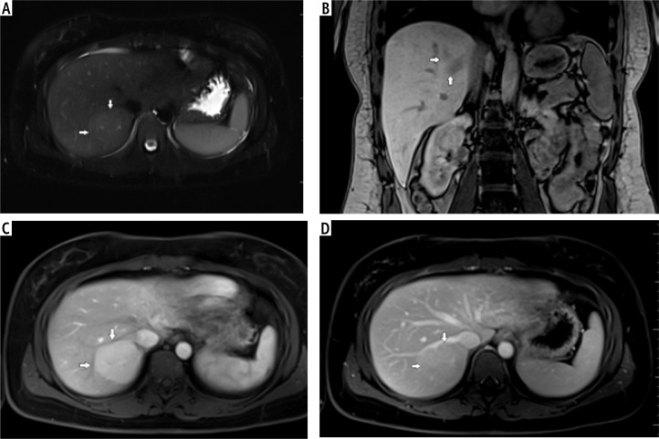
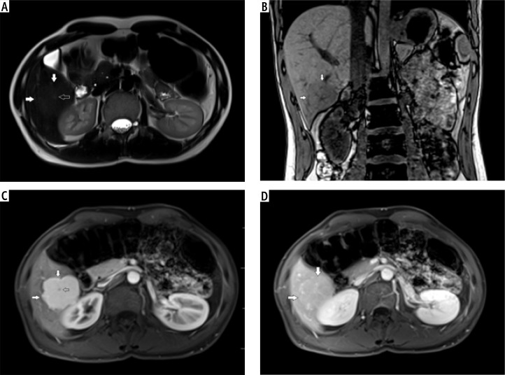
研究目的:肝细胞腺瘤(HCA)和局灶性结节性增生(FNH)是肝脏良性肿瘤。肝细胞腺瘤有生长、化生和破裂的可能;因此,应长期监测。在目前的指南中,活检不推荐作为标准诊断方案。磁共振成像(MRI)是公认的诊断和监测这些病变的标准。本研究的目的是比较超声造影(CEUS)和MRI对这些肿瘤的成像效果,并确定超声造影是否可用于监测良性肝脏肿瘤。材料与方法:回顾性分析47例HCA(32个肿瘤)和FNH(27个肿瘤)患者。比较MRI与超声造影预测恶性转化的效果。结果:两组患者的肿瘤增强特征与未改变的肝实质相似。动脉期的差异平均可达30db。20 ~ 30s后,HCA和FNH相对于肝实质的增强相似(差异可达4 ~ 5db)。观察到肿瘤与背景增强的均匀性和均衡性,直到检查结束。鉴别特征是在FNH组两种成像方法中观察到的非对比性中心纤维瘢痕的存在。结论:超声造影成本低,并发症风险低,是一种很有前途的肝局灶性病变监测方法。有必要分析早期动脉期至30秒,以证明肿瘤的均匀增强和在检查后期可能存在的冲洗效应。
本文章由计算机程序翻译,如有差异,请以英文原文为准。

Contrast-enhanced ultrasonography as a method of monitoring focal liver lesions - initial report.

Contrast-enhanced ultrasonography as a method of monitoring focal liver lesions - initial report.

Contrast-enhanced ultrasonography as a method of monitoring focal liver lesions - initial report.

Contrast-enhanced ultrasonography as a method of monitoring focal liver lesions - initial report.

Aim of the study: Hepatocellular adenoma (HCA) and focal nodular hyperplasia (FNH) are benign liver tumors. Hepatocellular adenoma has potential for growth, metaplasia and rupture; therefore, it should be monitored long term. In the current guidelines biopsy is not recommended in the standard diagnostic protocol. Magnetic resonance imaging (MRI) is accepted as standard in diagnostics and monitoring of these lesions. The aim of the study was to compare contrast-enhanced ultrasound (CEUS) and MRI in imaging of these tumors and determine whether CEUS can be useful in monitoring benign liver tumors.

Material and methods: A retrospective analysis of 47 patients with HCA (32 tumors) and FNH (27 tumors) was carried out. A comparison between MRI and CEUS in predicting malignant transformation was performed.

Results: A similar tumor enhancement profile to unchanged liver parenchyma was observed in both groups. The difference in the arterial phase was on average up to 30 dB. After 20-30 s, the enhancement of HCA and FNH in relation to the liver parenchyma was similar (difference up to 4-5 dB). Homogeneity and equalization of the tumor to background enhancement was observed until the end of the examination. The discriminative feature is the presence of a non-contrasting central fibrous scar observed in both imaging methods in the FNH group.

Conclusions: CEUS can be a promising method in monitoring focal liver lesions due to low cost and low risk of complications. It is essential to analyze the early arterial phase up to 30 s to demonstrate homogeneous enhancement of the tumor and potential presence of a wash-out effect during later phases of examination.

求助全文
通过发布文献求助,成功后即可免费获取论文全文。 去求助
来源期刊
Clinical and Experimental Hepatology
Clinical and Experimental Hepatology GASTROENTEROLOGY & HEPATOLOGY-
CiteScore
2.80
自引率
0.00%
发文量
32
期刊介绍: Clinical and Experimental Hepatology – quarterly of the Polish Association for Study of Liver – is a scientific and educational, peer-reviewed journal publishing original and review papers describing clinical and basic investigations in the field of hepatology.
×
引用
GB/T 7714-2015
复制
MLA
复制
APA
复制
导出至
BibTeX EndNote RefMan NoteFirst NoteExpress
×
提示
您的信息不完整,为了账户安全,请先补充。
现在去补充
×
提示
您因"违规操作"
具体请查看互助需知
我知道了
×
提示
确定
请完成安全验证×
copy
已复制链接
快去分享给好友吧!
我知道了
右上角分享
点击右上角分享
0
联系我们:info@booksci.cn Book学术提供免费学术资源搜索服务,方便国内外学者检索中英文文献。致力于提供最便捷和优质的服务体验。 Copyright © 2023 布克学术 All rights reserved.
京ICP备2023020795号-1
ghs 京公网安备 11010802042870号
Book学术文献互助
Book学术文献互助群
群 号:604180095
Book学术官方微信