treatment-naïve丙型肝炎病毒感染的微小变化疾病:1例报告和文献复习。

Clinical nephrology. Case studies Pub Date : 2025-01-10 eCollection Date: 2025-01-01 DOI:10.5414/CNCS111506
Juliano Alhaddad, Hazim Allos, Dimo Dimitrov, Claudia M Nader, Helmut G Rennke, Bertrand L Jaber
{"title":"treatment-naïve丙型肝炎病毒感染的微小变化疾病:1例报告和文献复习。","authors":"Juliano Alhaddad, Hazim Allos, Dimo Dimitrov, Claudia M Nader, Helmut G Rennke, Bertrand L Jaber","doi":"10.5414/CNCS111506","DOIUrl":null,"url":null,"abstract":"<p><p>Minimal change disease (MCD) accounts for 10 - 15% of idiopathic nephrotic syndromes in adults. Chronic hepatitis C virus (HCV) infection is rarely ascribed as a cause of MCD and was previously associated with interferon-based therapy. MCD in treatment-naïve chronic HCV infection is extremely rare, with only 3 cases reported in the literature. We report on a 67-year-old woman presenting with acute nephrotic syndrome and severe acute kidney injury requiring short-term dialysis. She was initially treated empirically with glucocorticoids and underwent a kidney biopsy that revealed MCD with evidence of acute tubular necrosis and mild focal acute interstitial nephritis. An extensive work-up was only significant for the presence of anti-HCV antibody with an elevated HCV viral load of genotype 1b. Her kidney function recovered, and she was discharged on an oral prednisone course with a planned taper. 4.5 months later, her HCV infection was treated with ledipasvir and sofosbuvir, and she achieved sustained virological response. The nephrotic syndrome remained in remission 24 months after initial presentation. This is a unique case where sustained remission of both the nephrotic syndrome and the HCV infection were achieved with glucocorticoids and direct antiviral agents, respectively.</p>","PeriodicalId":510898,"journal":{"name":"Clinical nephrology. Case studies","volume":"13 ","pages":"1-7"},"PeriodicalIF":0.0000,"publicationDate":"2025-01-10","publicationTypes":"Journal Article","fieldsOfStudy":null,"isOpenAccess":false,"openAccessPdf":"https://www.ncbi.nlm.nih.gov/pmc/articles/PMC11730055/pdf/","citationCount":"0","resultStr":"{\"title\":\"Minimal change disease in treatment-naïve hepatitis C virus infection: A case report and literature review.\",\"authors\":\"Juliano Alhaddad, Hazim Allos, Dimo Dimitrov, Claudia M Nader, Helmut G Rennke, Bertrand L Jaber\",\"doi\":\"10.5414/CNCS111506\",\"DOIUrl\":null,\"url\":null,\"abstract\":\"<p><p>Minimal change disease (MCD) accounts for 10 - 15% of idiopathic nephrotic syndromes in adults. Chronic hepatitis C virus (HCV) infection is rarely ascribed as a cause of MCD and was previously associated with interferon-based therapy. MCD in treatment-naïve chronic HCV infection is extremely rare, with only 3 cases reported in the literature. We report on a 67-year-old woman presenting with acute nephrotic syndrome and severe acute kidney injury requiring short-term dialysis. She was initially treated empirically with glucocorticoids and underwent a kidney biopsy that revealed MCD with evidence of acute tubular necrosis and mild focal acute interstitial nephritis. An extensive work-up was only significant for the presence of anti-HCV antibody with an elevated HCV viral load of genotype 1b. Her kidney function recovered, and she was discharged on an oral prednisone course with a planned taper. 4.5 months later, her HCV infection was treated with ledipasvir and sofosbuvir, and she achieved sustained virological response. The nephrotic syndrome remained in remission 24 months after initial presentation. This is a unique case where sustained remission of both the nephrotic syndrome and the HCV infection were achieved with glucocorticoids and direct antiviral agents, respectively.</p>\",\"PeriodicalId\":510898,\"journal\":{\"name\":\"Clinical nephrology. Case studies\",\"volume\":\"13 \",\"pages\":\"1-7\"},\"PeriodicalIF\":0.0000,\"publicationDate\":\"2025-01-10\",\"publicationTypes\":\"Journal Article\",\"fieldsOfStudy\":null,\"isOpenAccess\":false,\"openAccessPdf\":\"https://www.ncbi.nlm.nih.gov/pmc/articles/PMC11730055/pdf/\",\"citationCount\":\"0\",\"resultStr\":null,\"platform\":\"Semanticscholar\",\"paperid\":null,\"PeriodicalName\":\"Clinical nephrology. Case studies\",\"FirstCategoryId\":\"1085\",\"ListUrlMain\":\"https://doi.org/10.5414/CNCS111506\",\"RegionNum\":0,\"RegionCategory\":null,\"ArticlePicture\":[],\"TitleCN\":null,\"AbstractTextCN\":null,\"PMCID\":null,\"EPubDate\":\"2025/1/1 0:00:00\",\"PubModel\":\"eCollection\",\"JCR\":\"\",\"JCRName\":\"\",\"Score\":null,\"Total\":0}","platform":"Semanticscholar","paperid":null,"PeriodicalName":"Clinical nephrology. Case studies","FirstCategoryId":"1085","ListUrlMain":"https://doi.org/10.5414/CNCS111506","RegionNum":0,"RegionCategory":null,"ArticlePicture":[],"TitleCN":null,"AbstractTextCN":null,"PMCID":null,"EPubDate":"2025/1/1 0:00:00","PubModel":"eCollection","JCR":"","JCRName":"","Score":null,"Total":0}
引用次数: 0

摘要

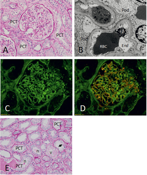
最小变化病(MCD)占成人特发性肾病综合征的10 - 15%。慢性丙型肝炎病毒(HCV)感染很少被认为是MCD的原因,以前与基于干扰素的治疗有关。treatment-naïve慢性HCV感染的MCD极为罕见,文献中仅报道了3例。我们报告了一位67岁的女性,她患有急性肾病综合征和严重的急性肾损伤,需要短期透析。她最初接受了经验性糖皮质激素治疗,并进行了肾活检,发现MCD伴有急性肾小管坏死和轻度局灶性急性间质性肾炎。广泛的检查只对抗HCV抗体的存在和基因型HCV病毒载量升高有意义。她的肾功能恢复,出院后开始口服强的松疗程,计划逐渐减少。4.5个月后,她的HCV感染接受了雷地帕韦和索非布韦治疗,她获得了持续的病毒学应答。肾病综合征在初次出现24个月后仍处于缓解期。这是一个独特的病例,分别用糖皮质激素和直接抗病毒药物实现了肾病综合征和丙型肝炎病毒感染的持续缓解。
本文章由计算机程序翻译,如有差异,请以英文原文为准。

Minimal change disease in treatment-naïve hepatitis C virus infection: A case report and literature review.

Minimal change disease in treatment-naïve hepatitis C virus infection: A case report and literature review.

Minimal change disease (MCD) accounts for 10 - 15% of idiopathic nephrotic syndromes in adults. Chronic hepatitis C virus (HCV) infection is rarely ascribed as a cause of MCD and was previously associated with interferon-based therapy. MCD in treatment-naïve chronic HCV infection is extremely rare, with only 3 cases reported in the literature. We report on a 67-year-old woman presenting with acute nephrotic syndrome and severe acute kidney injury requiring short-term dialysis. She was initially treated empirically with glucocorticoids and underwent a kidney biopsy that revealed MCD with evidence of acute tubular necrosis and mild focal acute interstitial nephritis. An extensive work-up was only significant for the presence of anti-HCV antibody with an elevated HCV viral load of genotype 1b. Her kidney function recovered, and she was discharged on an oral prednisone course with a planned taper. 4.5 months later, her HCV infection was treated with ledipasvir and sofosbuvir, and she achieved sustained virological response. The nephrotic syndrome remained in remission 24 months after initial presentation. This is a unique case where sustained remission of both the nephrotic syndrome and the HCV infection were achieved with glucocorticoids and direct antiviral agents, respectively.

求助全文
通过发布文献求助,成功后即可免费获取论文全文。 去求助
来源期刊
自引率
0.00%
发文量
0
×
引用
GB/T 7714-2015
复制
MLA
复制
APA
复制
导出至
BibTeX EndNote RefMan NoteFirst NoteExpress
×
提示
您的信息不完整,为了账户安全,请先补充。
现在去补充
×
提示
您因"违规操作"
具体请查看互助需知
我知道了
×
提示
确定
请完成安全验证×
copy
已复制链接
快去分享给好友吧!
我知道了
右上角分享
点击右上角分享
0
联系我们:info@booksci.cn Book学术提供免费学术资源搜索服务,方便国内外学者检索中英文文献。致力于提供最便捷和优质的服务体验。 Copyright © 2023 布克学术 All rights reserved.
京ICP备2023020795号-1
ghs 京公网安备 11010802042870号
Book学术文献互助
Book学术文献互助群
群 号:604180095
Book学术官方微信